About   Help   FAQ
Gene Expression Data
Assay Details
Assay
Reference: J:153498 Diez-Roux G, et al., A high-resolution anatomical atlas of the transcriptome in the mouse embryo. PLoS Biol. 2011;9(1):e1000582
Assay type: RNA in situ
MGI Accession ID: MGI:4824030
Gene symbol: Cpne2
Gene name: copine II
Probe: MGC clone 30751
Probe preparation: Antisense labelled with digoxigenin RNA
Visualized with: Alkaline phosphatase
Assay notes: Cryosections of fresh frozen material were fixed in 4% paraformaldehyde for 20 min. before further processing. A tyramide-biotin/streptavidin amplification step was included in the in situ hybridization procedure.
Results
Specimen euxassay_001619_02: embryonic day 14.5 (more )
Structure Level Pattern Image Note
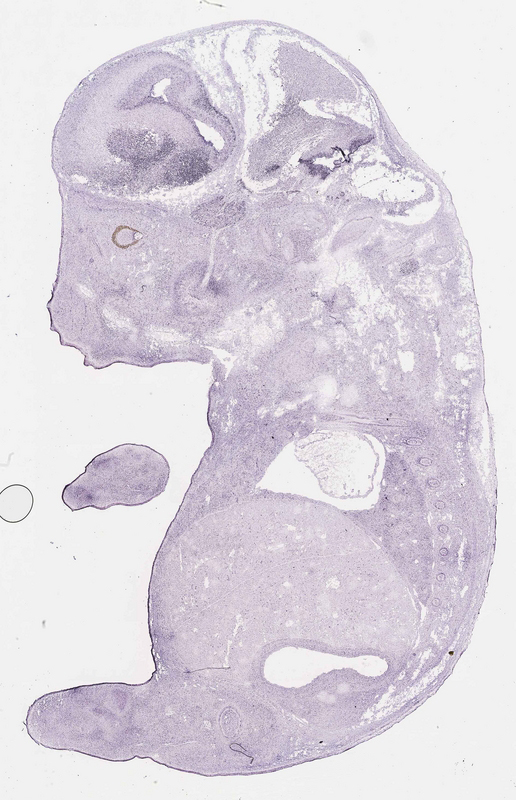
TS23: rest of cerebellum ventricular layer Strong Uniform euxassay_001619_02

Specimen euxassay_001619_03: embryonic day 14.5 (more )
Structure Level Pattern Image Note
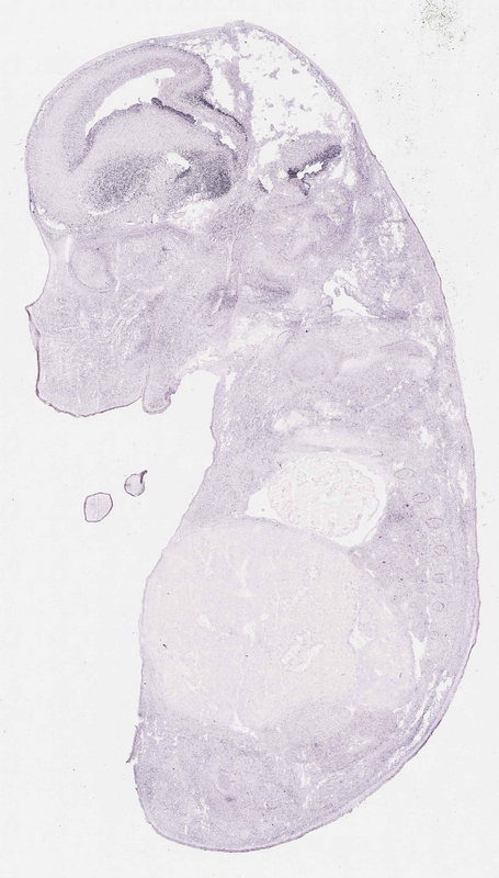
TS23: rest of cerebellum ventricular layer Strong Uniform euxassay_001619_03
TS23: cerebral cortex marginal layer Moderate Regionally restricted euxassay_001619_03

Specimen euxassay_001619_04: embryonic day 14.5 (more )
Structure Level Pattern Image Note
TS23: rest of cerebellum ventricular layer Strong Uniform euxassay_001619_04
TS23: cerebral cortex marginal layer Moderate Regionally restricted euxassay_001619_04

Specimen euxassay_001619_05: embryonic day 14.5 (more )
Structure Level Pattern Image Note
TS23: rest of cerebellum ventricular layer Moderate Regionally restricted euxassay_001619_05
TS23: cerebral cortex marginal layer Moderate Regionally restricted euxassay_001619_05

Specimen euxassay_001619_06: embryonic day 14.5 (more )
Structure Level Pattern Image Note
TS23: rest of cerebellum ventricular layer Moderate Regionally restricted euxassay_001619_06
TS23: pons ventricular layer Moderate Regionally restricted euxassay_001619_06
TS23: cerebral cortex marginal layer Moderate Regionally restricted euxassay_001619_06

Specimen euxassay_001619_07: embryonic day 14.5 (more )
Structure Level Pattern Image Note
TS23: rest of cerebellum ventricular layer Moderate Regionally restricted euxassay_001619_07
TS23: pons ventricular layer Moderate Regionally restricted euxassay_001619_07
TS23: lateral ventricle choroid plexus Moderate Regionally restricted euxassay_001619_07
TS23: cerebral cortex marginal layer Moderate Regionally restricted euxassay_001619_07

Specimen euxassay_001619_08: embryonic day 14.5 (more )
Structure Level Pattern Image Note
TS23: pons ventricular layer Moderate Regionally restricted euxassay_001619_08
TS23: rest of cerebellum ventricular layer Moderate Regionally restricted euxassay_001619_08
TS23: cerebral cortex marginal layer Moderate Regionally restricted euxassay_001619_08
TS23: lateral ventricle choroid plexus Moderate Regionally restricted euxassay_001619_08

Specimen euxassay_001619_09: embryonic day 14.5 (more )
Structure Level Pattern Image Note
TS23: pons ventricular layer Moderate Regionally restricted euxassay_001619_09
TS23: medulla oblongata basal plate ventricular layer Moderate Regionally restricted euxassay_001619_09
TS23: lateral ventricle choroid plexus Moderate Regionally restricted euxassay_001619_09
TS23: cerebral cortex marginal layer Moderate Regionally restricted euxassay_001619_09

Specimen euxassay_001619_10: embryonic day 14.5 (more )
Structure Level Pattern Image Note
TS23: medulla oblongata basal plate ventricular layer Moderate Regionally restricted euxassay_001619_10
TS23: spinal cord ventricular layer Strong Regionally restricted euxassay_001619_10
TS23: lateral ventricle choroid plexus Moderate Regionally restricted euxassay_001619_10

Specimen euxassay_001619_11: embryonic day 14.5 (more )
Structure Level Pattern Image Note
TS23: spinal cord ventricular layer Strong Regionally restricted euxassay_001619_11
TS23: lateral ventricle choroid plexus Moderate Regionally restricted euxassay_001619_11

Specimen euxassay_001619_12: embryonic day 14.5 (more )
Structure Level Pattern Image Note
TS23: spinal cord ventricular layer Strong Regionally restricted euxassay_001619_12
TS23: lateral ventricle choroid plexus Moderate Regionally restricted euxassay_001619_12

Specimen euxassay_001619_13: embryonic day 14.5 (more )
Structure Level Pattern Image Note
TS23: medulla oblongata basal plate ventricular layer Moderate Regionally restricted euxassay_001619_13

Specimen euxassay_001619_14: embryonic day 14.5 (more )
Structure Level Pattern Image Note
TS23: medulla oblongata basal plate ventricular layer Moderate Regionally restricted euxassay_001619_14
TS23: pons ventricular layer Moderate Regionally restricted euxassay_001619_14

Specimen euxassay_001619_15: embryonic day 14.5 (more )
Structure Level Pattern Image Note
TS23: pons ventricular layer Moderate Regionally restricted euxassay_001619_15
TS23: medulla oblongata basal plate ventricular layer Moderate Regionally restricted euxassay_001619_15

Specimen euxassay_001619_16: embryonic day 14.5 (more )
Structure Level Pattern Image Note
TS23: pons ventricular layer Moderate Regionally restricted euxassay_001619_16
TS23: rest of cerebellum ventricular layer Moderate Regionally restricted euxassay_001619_16
TS23: cerebral cortex marginal layer Moderate Regionally restricted euxassay_001619_16
TS23: lateral ventricle choroid plexus Moderate Regionally restricted euxassay_001619_16

Specimen euxassay_001619_17: embryonic day 14.5 (more )
Structure Level Pattern Image Note
TS23: pons ventricular layer Moderate Regionally restricted euxassay_001619_17
TS23: rest of cerebellum ventricular layer Moderate Regionally restricted euxassay_001619_17
TS23: cerebral cortex ventricular layer Moderate Regionally restricted euxassay_001619_17
TS23: lateral ventricle choroid plexus Moderate Regionally restricted euxassay_001619_17

Specimen euxassay_001619_18: embryonic day 14.5 (more )
Structure Level Pattern Image Note
TS23: pons ventricular layer Moderate Regionally restricted euxassay_001619_18
TS23: rest of cerebellum ventricular layer Moderate Regionally restricted euxassay_001619_18
TS23: lateral ventricle choroid plexus Moderate Regionally restricted euxassay_001619_18
TS23: cerebral cortex marginal layer Moderate Regionally restricted euxassay_001619_18

Specimen euxassay_001619_19: embryonic day 14.5 (more )
Structure Level Pattern Image Note
TS23: rest of cerebellum ventricular layer Moderate Regionally restricted euxassay_001619_19
TS23: cerebral cortex ventricular layer Moderate Regionally restricted euxassay_001619_19
TS23: lateral ventricle choroid plexus Moderate Regionally restricted euxassay_001619_19

Specimen euxassay_001619_20: embryonic day 14.5 (more )
Structure Level Pattern Image Note
TS23: rest of cerebellum ventricular layer Moderate Regionally restricted euxassay_001619_20
TS23: lateral ventricle choroid plexus Moderate Regionally restricted euxassay_001619_20
TS23: cerebral cortex marginal layer Moderate Regionally restricted euxassay_001619_20

Specimen euxassay_001619_21: embryonic day 14.5 (more )
Structure Level Pattern Image Note
TS23: rest of cerebellum ventricular layer Moderate Regionally restricted euxassay_001619_21


Contributing Projects:
Mouse Genome Database (MGD), Gene Expression Database (GXD), Mouse Models of Human Cancer database (MMHCdb) (formerly Mouse Tumor Biology (MTB)), Gene Ontology (GO)
Citing These Resources
Funding Information
Warranty Disclaimer, Privacy Notice, Licensing, & Copyright
Send questions and comments to User Support.
last database update
05/05/2026
MGI 6.24
The Jackson Laboratory