About   Help   FAQ
Gene Expression Data
Assay Details
Assay
Reference: J:153498 Diez-Roux G, et al., A high-resolution anatomical atlas of the transcriptome in the mouse embryo. PLoS Biol. 2011;9(1):e1000582
Assay type: RNA in situ
MGI Accession ID: MGI:4824011
Gene symbol: Coro1a
Gene name: coronin, actin binding protein 1A
Probe: MGC clone 7245
Probe preparation: Antisense labelled with digoxigenin RNA
Visualized with: Alkaline phosphatase
Assay notes: Cryosections of fresh frozen material were fixed in 4% paraformaldehyde for 20 min. before further processing. A tyramide-biotin/streptavidin amplification step was included in the in situ hybridization procedure.
Results
Specimen euxassay_003404_01: embryonic day 14.5 (more )
Structure Level Pattern Image Note
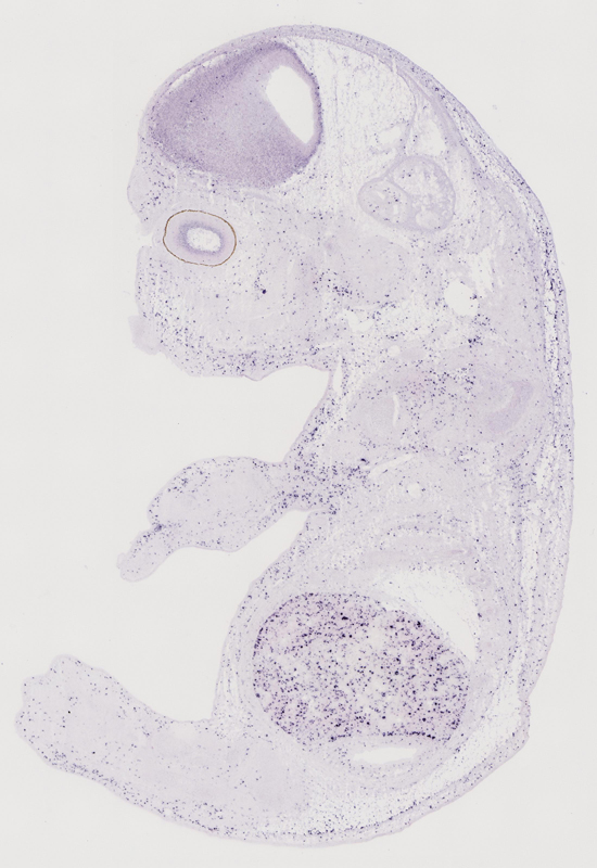
TS23: liver Strong Regionally restricted euxassay_003404_01

Specimen euxassay_003404_02: embryonic day 14.5 (more )
Structure Level Pattern Image Note
TS23: liver Strong Regionally restricted euxassay_003404_02

Specimen euxassay_003404_03: embryonic day 14.5 (more )
Structure Level Pattern Image Note
TS23: liver Strong Regionally restricted euxassay_003404_03

Specimen euxassay_003404_04: embryonic day 14.5 (more )
Structure Level Pattern Image Note
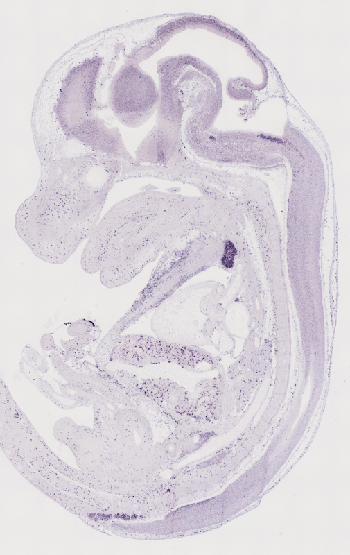
TS23: liver Strong Regionally restricted euxassay_003404_04
TS23: trigeminal ganglion Strong Regionally restricted euxassay_003404_04

Specimen euxassay_003404_05: embryonic day 14.5 (more )
Structure Level Pattern Image Note
TS23: liver Strong Regionally restricted euxassay_003404_05
TS23: trigeminal ganglion Strong Regionally restricted euxassay_003404_05

Specimen euxassay_003404_06: embryonic day 14.5 (more )
Structure Level Pattern Image Note
TS23: liver Strong Regionally restricted euxassay_003404_06
TS23: trigeminal ganglion Strong Regionally restricted euxassay_003404_06

Specimen euxassay_003404_07: embryonic day 14.5 (more )
Structure Level Pattern Image Note
TS23: liver Strong Regionally restricted euxassay_003404_07
TS23: trigeminal ganglion Strong Regionally restricted euxassay_003404_07

Specimen euxassay_003404_08: embryonic day 14.5 (more )
Structure Level Pattern Image Note
TS23: liver Strong Regionally restricted euxassay_003404_08
TS23: trigeminal ganglion Strong Regionally restricted euxassay_003404_08
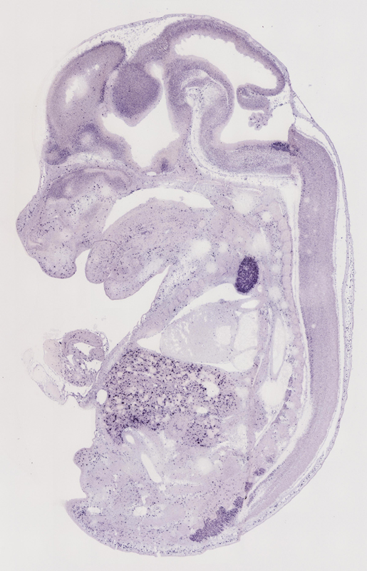
TS23: dorsal root ganglion Moderate Regionally restricted euxassay_003404_08

Specimen euxassay_003404_09: embryonic day 14.5 (more )
Structure Level Pattern Image Note
TS23: liver Strong Regionally restricted euxassay_003404_09
TS23: trigeminal ganglion Strong Regionally restricted euxassay_003404_09
TS23: dorsal root ganglion Moderate Regionally restricted euxassay_003404_09

Specimen euxassay_003404_10: embryonic day 14.5 (more )
Structure Level Pattern Image Note
TS23: liver Strong Regionally restricted euxassay_003404_10
TS23: trigeminal ganglion Strong Regionally restricted euxassay_003404_10
TS23: dorsal root ganglion Moderate Regionally restricted euxassay_003404_10

Specimen euxassay_003404_11: embryonic day 14.5 (more )
Structure Level Pattern Image Note
TS23: liver Strong Regionally restricted euxassay_003404_11
TS23: dorsal root ganglion Moderate Regionally restricted euxassay_003404_11

Specimen euxassay_003404_12: embryonic day 14.5 (more )
Structure Level Pattern Image Note
TS23: liver Strong Regionally restricted euxassay_003404_12
TS23: thymus primordium Strong Regionally restricted euxassay_003404_12
TS23: dorsal root ganglion Moderate Regionally restricted euxassay_003404_12

Specimen euxassay_003404_13: embryonic day 14.5 (more )
Structure Level Pattern Image Note
TS23: liver Strong Regionally restricted euxassay_003404_13
TS23: thymus primordium Strong Regionally restricted euxassay_003404_13
TS23: dorsal root ganglion Moderate Regionally restricted euxassay_003404_13

Specimen euxassay_003404_14: embryonic day 14.5 (more )
Structure Level Pattern Image Note
TS23: liver Strong Regionally restricted euxassay_003404_14
TS23: thymus primordium Strong Regionally restricted euxassay_003404_14
TS23: dorsal root ganglion Moderate Regionally restricted euxassay_003404_14

Specimen euxassay_003404_15: embryonic day 14.5 (more )
Structure Level Pattern Image Note
TS23: liver Strong Regionally restricted euxassay_003404_15
TS23: thymus primordium Strong Regionally restricted euxassay_003404_15
TS23: dorsal root ganglion Moderate Regionally restricted euxassay_003404_15

Specimen euxassay_003404_16: embryonic day 14.5 (more )
Structure Level Pattern Image Note
TS23: liver Strong Regionally restricted euxassay_003404_16
TS23: thymus primordium Strong Regionally restricted euxassay_003404_16

Specimen euxassay_003404_17: embryonic day 14.5 (more )
Structure Level Pattern Image Note
TS23: liver Strong Regionally restricted euxassay_003404_17
TS23: thymus primordium Strong Regionally restricted euxassay_003404_17
TS23: dorsal root ganglion Moderate Regionally restricted euxassay_003404_17

Specimen euxassay_003404_18: embryonic day 14.5 (more )
Structure Level Pattern Image Note
TS23: liver Strong Regionally restricted euxassay_003404_18
TS23: trigeminal ganglion Strong Regionally restricted euxassay_003404_18
TS23: dorsal root ganglion Moderate Regionally restricted euxassay_003404_18

Specimen euxassay_003404_19: embryonic day 14.5 (more )
Structure Level Pattern Image Note
TS23: liver Strong Regionally restricted euxassay_003404_19
TS23: trigeminal ganglion Strong Regionally restricted euxassay_003404_19
TS23: dorsal root ganglion Moderate Regionally restricted euxassay_003404_19

Specimen euxassay_003404_20: embryonic day 14.5 (more )
Structure Level Pattern Image Note
TS23: liver Strong Regionally restricted euxassay_003404_20
TS23: trigeminal ganglion Strong Regionally restricted euxassay_003404_20

Specimen euxassay_003404_21: embryonic day 14.5 (more )
Structure Level Pattern Image Note
TS23: liver Strong Regionally restricted euxassay_003404_21
TS23: trigeminal ganglion Strong Regionally restricted euxassay_003404_21

Specimen euxassay_003404_22: embryonic day 14.5 (more )
Structure Level Pattern Image Note
TS23: liver Strong Regionally restricted euxassay_003404_22
TS23: trigeminal ganglion Strong Regionally restricted euxassay_003404_22

Specimen euxassay_003404_23: embryonic day 14.5 (more )
Structure Level Pattern Image Note
TS23: liver Strong Regionally restricted euxassay_003404_23
TS23: trigeminal ganglion Strong Regionally restricted euxassay_003404_23

Specimen euxassay_003404_24: embryonic day 14.5 (more )
Structure Level Pattern Image Note
TS23: liver Strong Regionally restricted euxassay_003404_24
TS23: trigeminal ganglion Strong Regionally restricted euxassay_003404_24


Contributing Projects:
Mouse Genome Database (MGD), Gene Expression Database (GXD), Mouse Models of Human Cancer database (MMHCdb) (formerly Mouse Tumor Biology (MTB)), Gene Ontology (GO)
Citing These Resources
Funding Information
Warranty Disclaimer, Privacy Notice, Licensing, & Copyright
Send questions and comments to User Support.
last database update
01/06/2026
MGI 6.24
The Jackson Laboratory