About   Help   FAQ
Gene Expression Data
Assay Details
Assay
Reference: J:153498 Diez-Roux G, et al., A high-resolution anatomical atlas of the transcriptome in the mouse embryo. PLoS Biol. 2011;9(1):e1000582
Assay type: RNA in situ
MGI Accession ID: MGI:4824008
Gene symbol: Cops7b
Gene name: COP9 signalosome subunit 7B
Probe: T30082
Probe preparation: Antisense labelled with digoxigenin RNA
Visualized with: Alkaline phosphatase
Assay notes: Cryosections of fresh frozen material were fixed in 4% paraformaldehyde for 20 min. before further processing. A tyramide-biotin/streptavidin amplification step was included in the in situ hybridization procedure.
Results
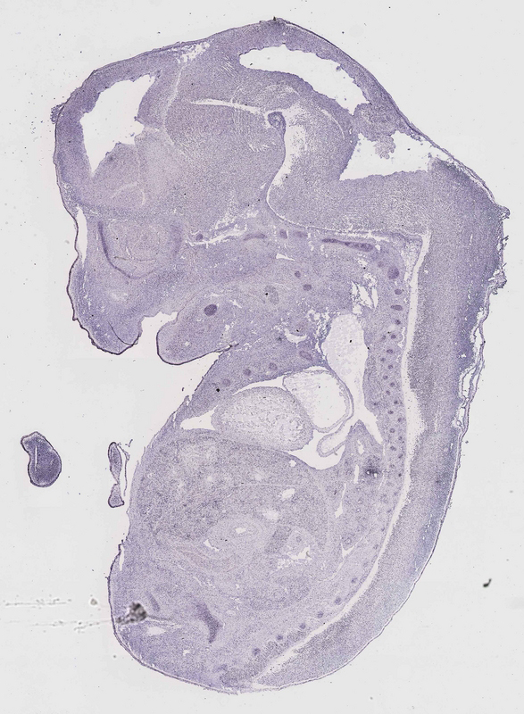
Specimen euxassay_011995_01: embryonic day 14.5 (more )
Structure Level Pattern Image Note
TS23: temporal bone petrous part Moderate Regionally restricted euxassay_011995_01
TS23: basioccipital bone Moderate Regionally restricted euxassay_011995_01
TS23: orbito-sphenoid Moderate Regionally restricted euxassay_011995_01
TS23: rib Moderate Regionally restricted euxassay_011995_01
TS23: humerus Moderate Regionally restricted euxassay_011995_01
TS23: femur Moderate Regionally restricted euxassay_011995_01

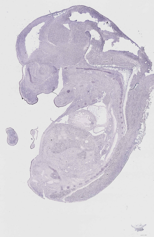
Specimen euxassay_011995_02: embryonic day 14.5 (more )
Structure Level Pattern Image Note
TS23: orbito-sphenoid Moderate Regionally restricted euxassay_011995_02
TS23: basioccipital bone Moderate Regionally restricted euxassay_011995_02
TS23: temporal bone petrous part Moderate Regionally restricted euxassay_011995_02
TS23: Meckel's cartilage Moderate Regionally restricted euxassay_011995_02
TS23: rib Moderate Regionally restricted euxassay_011995_02
TS23: humerus Moderate Regionally restricted euxassay_011995_02
TS23: scapula Moderate Regionally restricted euxassay_011995_02
TS23: femur Moderate Regionally restricted euxassay_011995_02
TS23: fibula Moderate Regionally restricted euxassay_011995_02
TS23: tibia Moderate Regionally restricted euxassay_011995_02

Specimen euxassay_011995_03: embryonic day 14.5 (more )
Structure Level Pattern Image Note
TS23: basioccipital bone Moderate Regionally restricted euxassay_011995_03
TS23: orbito-sphenoid Moderate Regionally restricted euxassay_011995_03
TS23: Meckel's cartilage Moderate Regionally restricted euxassay_011995_03
TS23: rib Moderate Regionally restricted euxassay_011995_03
TS23: humerus Moderate Regionally restricted euxassay_011995_03
TS23: scapula Moderate Regionally restricted euxassay_011995_03
TS23: femur Moderate Regionally restricted euxassay_011995_03

Specimen euxassay_011995_04: embryonic day 14.5 (more )
Structure Level Pattern Image Note
TS23: basioccipital bone Moderate Regionally restricted euxassay_011995_04
TS23: orbito-sphenoid Moderate Regionally restricted euxassay_011995_04
TS23: Meckel's cartilage Moderate Regionally restricted euxassay_011995_04
TS23: rib Moderate Regionally restricted euxassay_011995_04
TS23: humerus Moderate Regionally restricted euxassay_011995_04
TS23: scapula Moderate Regionally restricted euxassay_011995_04
TS23: femur Moderate Regionally restricted euxassay_011995_04

Specimen euxassay_011995_05: embryonic day 14.5 (more )
Structure Level Pattern Image Note
TS23: basioccipital bone Moderate Regionally restricted euxassay_011995_05
TS23: orbito-sphenoid Moderate Regionally restricted euxassay_011995_05
TS23: Meckel's cartilage Moderate Regionally restricted euxassay_011995_05
TS23: rib Moderate Regionally restricted euxassay_011995_05
TS23: femur Moderate Regionally restricted euxassay_011995_05

Specimen euxassay_011995_06: embryonic day 14.5 (more )
Structure Level Pattern Image Note
TS23: orbito-sphenoid Moderate Regionally restricted euxassay_011995_06
TS23: basioccipital bone Moderate Regionally restricted euxassay_011995_06
TS23: Meckel's cartilage Moderate Regionally restricted euxassay_011995_06
TS23: axial skeleton Moderate Regionally restricted euxassay_011995_06
TS23: femur Moderate Regionally restricted euxassay_011995_06

Specimen euxassay_011995_07: embryonic day 14.5 (more )
Structure Level Pattern Image Note
TS23: basisphenoid bone Moderate Regionally restricted euxassay_011995_07
TS23: orbito-sphenoid Moderate Regionally restricted euxassay_011995_07
TS23: turbinate bone primordium Moderate Regionally restricted euxassay_011995_07
TS23: Meckel's cartilage Moderate Regionally restricted euxassay_011995_07
TS23: axial skeleton Moderate Regionally restricted euxassay_011995_07
TS23: femur Moderate Regionally restricted euxassay_011995_07

Specimen euxassay_011995_08: embryonic day 14.5 (more )
Structure Level Pattern Image Note
TS23: orbito-sphenoid Moderate Regionally restricted euxassay_011995_08
TS23: basisphenoid bone Moderate Regionally restricted euxassay_011995_08
TS23: turbinate bone primordium Moderate Regionally restricted euxassay_011995_08
TS23: Meckel's cartilage Moderate Regionally restricted euxassay_011995_08
TS23: axial skeleton cervical region Moderate Regionally restricted euxassay_011995_08
TS23: pelvic girdle skeleton Moderate Regionally restricted euxassay_011995_08
TS23: femur Moderate Regionally restricted euxassay_011995_08

Specimen euxassay_011995_09: embryonic day 14.5 (more )
Structure Level Pattern Image Note
TS23: basisphenoid bone Moderate Regionally restricted euxassay_011995_09
TS23: turbinate bone primordium Moderate Regionally restricted euxassay_011995_09
TS23: Meckel's cartilage Moderate Regionally restricted euxassay_011995_09
TS23: axial skeleton Moderate Regionally restricted euxassay_011995_09
TS23: pelvic girdle skeleton Moderate Regionally restricted euxassay_011995_09

Specimen euxassay_011995_10: embryonic day 14.5 (more )
Structure Level Pattern Image Note
TS23: basisphenoid bone Moderate Regionally restricted euxassay_011995_10
TS23: Meckel's cartilage Moderate Regionally restricted euxassay_011995_10
TS23: axial skeleton Moderate Regionally restricted euxassay_011995_10
TS23: pelvic girdle skeleton Moderate Regionally restricted euxassay_011995_10

Specimen euxassay_011995_11: embryonic day 14.5 (more )
Structure Level Pattern Image Note
TS23: basisphenoid bone Moderate Regionally restricted euxassay_011995_11
TS23: Meckel's cartilage Moderate Regionally restricted euxassay_011995_11
TS23: axial skeleton Moderate Regionally restricted euxassay_011995_11

Specimen euxassay_011995_12: embryonic day 14.5 (more )
Structure Level Pattern Image Note
TS23: basisphenoid bone Moderate Regionally restricted euxassay_011995_12
TS23: Meckel's cartilage Moderate Regionally restricted euxassay_011995_12
TS23: axial skeleton Moderate Regionally restricted euxassay_011995_12

Specimen euxassay_011995_13: embryonic day 14.5 (more )
Structure Level Pattern Image Note
TS23: basisphenoid bone Moderate Regionally restricted euxassay_011995_13
TS23: axial skeleton Moderate Regionally restricted euxassay_011995_13

Specimen euxassay_011995_14: embryonic day 14.5 (more )
Structure Level Pattern Image Note
TS23: basisphenoid bone Moderate Regionally restricted euxassay_011995_14

Specimen euxassay_011995_16: embryonic day 14.5 (more )
Structure Level Pattern Image Note
TS23: Meckel's cartilage Moderate Regionally restricted euxassay_011995_16
TS23: pelvic girdle skeleton Moderate Regionally restricted euxassay_011995_16

Specimen euxassay_011995_17: embryonic day 14.5 (more )
Structure Level Pattern Image Note
TS23: Meckel's cartilage Moderate Regionally restricted euxassay_011995_17

Specimen euxassay_011995_18: embryonic day 14.5 (more )
Structure Level Pattern Image Note
TS23: basioccipital bone Moderate Regionally restricted euxassay_011995_18

Specimen euxassay_011995_19: embryonic day 14.5 (more )
Structure Level Pattern Image Note
TS23: basioccipital bone Moderate Regionally restricted euxassay_011995_19
TS23: orbito-sphenoid Moderate Regionally restricted euxassay_011995_19
TS23: temporal bone petrous part Moderate Regionally restricted euxassay_011995_19
TS23: femur Moderate Regionally restricted euxassay_011995_19

Specimen euxassay_011995_20: embryonic day 14.5 (more )
Structure Level Pattern Image Note
TS23: temporal bone petrous part Moderate Regionally restricted euxassay_011995_20
TS23: orbito-sphenoid Moderate Regionally restricted euxassay_011995_20
TS23: humerus Moderate Regionally restricted euxassay_011995_20
TS23: scapula Moderate Regionally restricted euxassay_011995_20
TS23: femur Moderate Regionally restricted euxassay_011995_20

Specimen euxassay_011995_21: embryonic day 14.5 (more )
Structure Level Pattern Image Note
TS23: temporal bone petrous part Moderate Regionally restricted euxassay_011995_21
TS23: femur Moderate Regionally restricted euxassay_011995_21

Specimen euxassay_011995_22: embryonic day 14.5 (more )
Structure Level Pattern Image Note
TS23: temporal bone petrous part Moderate Regionally restricted euxassay_011995_22
TS23: humerus Moderate Regionally restricted euxassay_011995_22
TS23: scapula Moderate Regionally restricted euxassay_011995_22
TS23: femur Moderate Regionally restricted euxassay_011995_22

Specimen euxassay_011995_23: embryonic day 14.5 (more )
Structure Level Pattern Image Note
TS23: temporal bone petrous part Moderate Regionally restricted euxassay_011995_23
TS23: humerus Moderate Regionally restricted euxassay_011995_23

Specimen euxassay_011995_24: embryonic day 14.5 (more )
Structure Level Pattern Image Note
TS23: humerus Moderate Regionally restricted euxassay_011995_24
TS23: fibula Moderate Regionally restricted euxassay_011995_24
TS23: tibia Moderate Regionally restricted euxassay_011995_24
TS23: femur Moderate Regionally restricted euxassay_011995_24


Contributing Projects:
Mouse Genome Database (MGD), Gene Expression Database (GXD), Mouse Models of Human Cancer database (MMHCdb) (formerly Mouse Tumor Biology (MTB)), Gene Ontology (GO)
Citing These Resources
Funding Information
Warranty Disclaimer, Privacy Notice, Licensing, & Copyright
Send questions and comments to User Support.
last database update
01/06/2026
MGI 6.24
The Jackson Laboratory