About   Help   FAQ
Gene Expression Data
Assay Details
Assay
Reference: J:153498 Diez-Roux G, et al., A high-resolution anatomical atlas of the transcriptome in the mouse embryo. PLoS Biol. 2011;9(1):e1000582
Assay type: RNA in situ
MGI Accession ID: MGI:4823997
Gene symbol: Col9a3
Gene name: collagen, type IX, alpha 3
Probe: MGC clone 32160
Probe preparation: Antisense labelled with digoxigenin RNA
Visualized with: Alkaline phosphatase
Assay notes: Cryosections of fresh frozen material were fixed in 4% paraformaldehyde for 20 min. before further processing. A tyramide-biotin/streptavidin amplification step was included in the in situ hybridization procedure.
Results
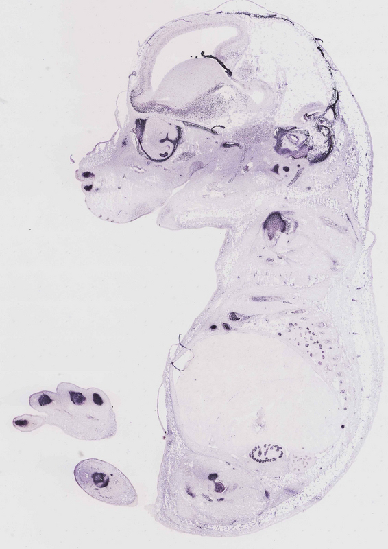
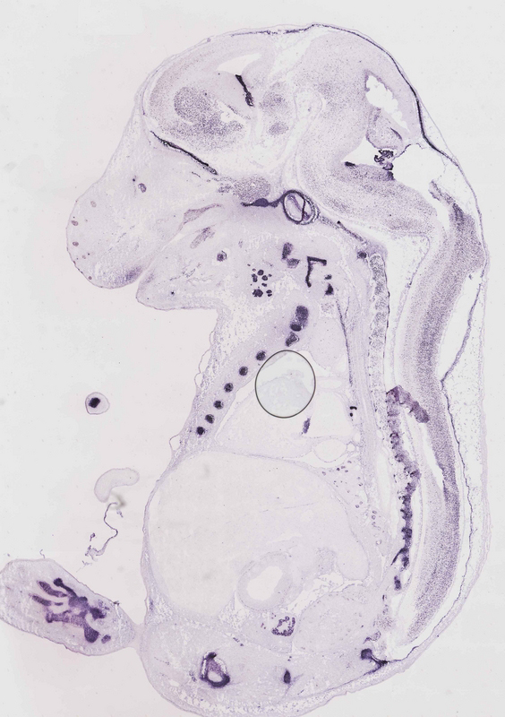
Specimen euxassay_002050_01: embryonic day 14.5 (more )
Structure Level Pattern Image Note
TS23: pectoral girdle and thoracic body wall musculature Strong Regionally restricted euxassay_002050_01
TS23: axial skeleton Strong Regionally restricted euxassay_002050_01
TS23: hand mesenchyme Strong Regionally restricted euxassay_002050_01
TS23: leg Strong Regionally restricted euxassay_002050_01
TS23: trachea Strong Regionally restricted euxassay_002050_01
TS23: exoccipital bone Strong Regionally restricted euxassay_002050_01
TS23: orbito-sphenoid Strong Regionally restricted euxassay_002050_01

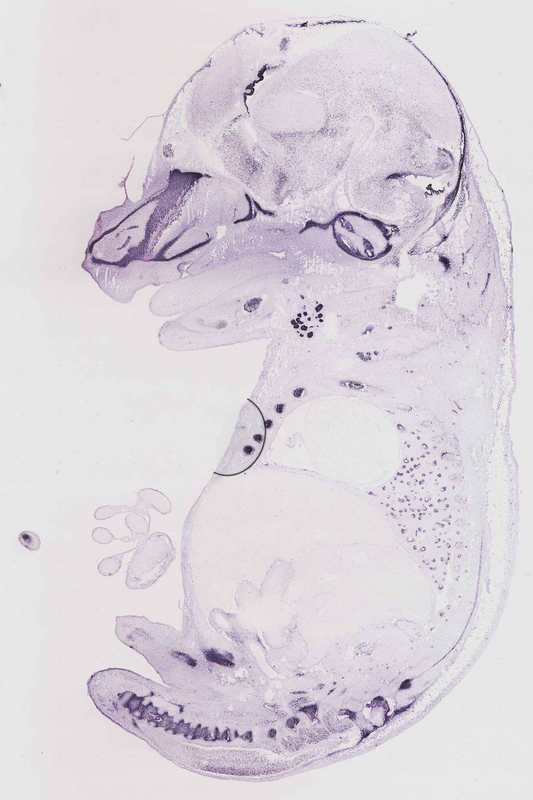
Specimen euxassay_002050_02: embryonic day 14.5 (more )
Structure Level Pattern Image Note
TS23: pectoral girdle and thoracic body wall musculature Strong Regionally restricted euxassay_002050_02
TS23: submandibular gland primordium Strong Regionally restricted euxassay_002050_02
TS23: axial skeleton Strong Regionally restricted euxassay_002050_02
TS23: hand mesenchyme Strong Regionally restricted euxassay_002050_02
TS23: leg Strong Regionally restricted euxassay_002050_02
TS23: exoccipital bone Strong Regionally restricted euxassay_002050_02
TS23: orbito-sphenoid Strong Regionally restricted euxassay_002050_02
TS23: 4th ventricle lateral recess Strong Regionally restricted euxassay_002050_02
TS23: testis Strong Regionally restricted euxassay_002050_02

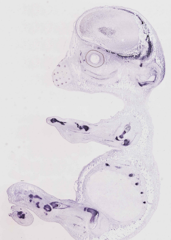
Specimen euxassay_002050_03: embryonic day 14.5 (more )
Structure Level Pattern Image Note
TS23: pectoral girdle and thoracic body wall musculature Strong Regionally restricted euxassay_002050_03
TS23: submandibular gland primordium Strong Regionally restricted euxassay_002050_03
TS23: axial skeleton Strong Regionally restricted euxassay_002050_03
TS23: leg Strong Regionally restricted euxassay_002050_03
TS23: hand mesenchyme Strong Regionally restricted euxassay_002050_03
TS23: orbito-sphenoid Strong Regionally restricted euxassay_002050_03
TS23: exoccipital bone Strong Regionally restricted euxassay_002050_03
TS23: 4th ventricle lateral recess Strong Regionally restricted euxassay_002050_03
TS23: testis Strong Regionally restricted euxassay_002050_03

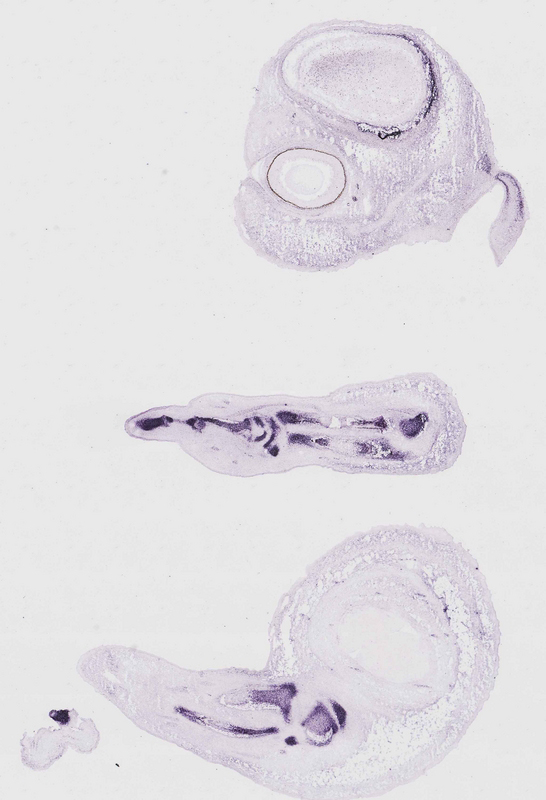
Specimen euxassay_002050_04: embryonic day 14.5 (more )
Structure Level Pattern Image Note
TS23: pectoral girdle and thoracic body wall musculature Strong Regionally restricted euxassay_002050_04
TS23: submandibular gland primordium Strong Regionally restricted euxassay_002050_04
TS23: axial skeleton Strong Regionally restricted euxassay_002050_04
TS23: hand mesenchyme Strong Regionally restricted euxassay_002050_04
TS23: leg Strong Regionally restricted euxassay_002050_04
TS23: orbito-sphenoid Strong Regionally restricted euxassay_002050_04
TS23: exoccipital bone Strong Regionally restricted euxassay_002050_04
TS23: 4th ventricle lateral recess Strong Regionally restricted euxassay_002050_04
TS23: testis Strong Regionally restricted euxassay_002050_04

Specimen euxassay_002050_05: embryonic day 14.5 (more )
Structure Level Pattern Image Note
TS23: pectoral girdle and thoracic body wall musculature Strong Regionally restricted euxassay_002050_05
TS23: submandibular gland primordium Strong Regionally restricted euxassay_002050_05
TS23: axial skeleton Strong Regionally restricted euxassay_002050_05
TS23: hindlimb digit 1 mesenchyme Strong Regionally restricted euxassay_002050_05
TS23: hindlimb digit 2 mesenchyme Strong Regionally restricted euxassay_002050_05
TS23: hindlimb digit 3 mesenchyme Strong Regionally restricted euxassay_002050_05
TS23: hindlimb digit 4 mesenchyme Strong Regionally restricted euxassay_002050_05
TS23: orbito-sphenoid Strong Regionally restricted euxassay_002050_05
TS23: exoccipital bone Strong Regionally restricted euxassay_002050_05
TS23: lateral ventricle choroid plexus Strong Regionally restricted euxassay_002050_05
TS23: 4th ventricle lateral recess Strong Regionally restricted euxassay_002050_05
TS23: testis Strong Regionally restricted euxassay_002050_05

Specimen euxassay_002050_06: embryonic day 14.5 (more )
Structure Level Pattern Image Note
TS23: pectoral girdle and thoracic body wall musculature Strong Regionally restricted euxassay_002050_06
TS23: axial skeleton Strong Regionally restricted euxassay_002050_06
TS23: hindlimb digit 4 mesenchyme Strong Regionally restricted euxassay_002050_06
TS23: hindlimb digit 3 mesenchyme Strong Regionally restricted euxassay_002050_06
TS23: hindlimb digit 5 mesenchyme Strong Regionally restricted euxassay_002050_06
TS23: hindlimb digit 2 mesenchyme Strong Regionally restricted euxassay_002050_06
TS23: hindlimb digit 1 mesenchyme Strong Regionally restricted euxassay_002050_06
TS23: trachea Strong Regionally restricted euxassay_002050_06
TS23: orbito-sphenoid Strong Regionally restricted euxassay_002050_06
TS23: exoccipital bone Strong Regionally restricted euxassay_002050_06
TS23: 4th ventricle lateral recess Strong Regionally restricted euxassay_002050_06
TS23: lateral ventricle choroid plexus Strong Regionally restricted euxassay_002050_06

Specimen euxassay_002050_07: embryonic day 14.5 (more )
Structure Level Pattern Image Note
TS23: pectoral girdle and thoracic body wall musculature Strong Regionally restricted euxassay_002050_07
TS23: axial skeleton Strong Regionally restricted euxassay_002050_07
TS23: hindlimb digit 1 mesenchyme Strong Regionally restricted euxassay_002050_07
TS23: hindlimb digit 2 mesenchyme Strong Regionally restricted euxassay_002050_07
TS23: hindlimb digit 3 mesenchyme Strong Regionally restricted euxassay_002050_07
TS23: hindlimb digit 4 mesenchyme Strong Regionally restricted euxassay_002050_07
TS23: hindlimb digit 5 mesenchyme Strong Regionally restricted euxassay_002050_07
TS23: orbito-sphenoid Strong Regionally restricted euxassay_002050_07
TS23: exoccipital bone Strong Regionally restricted euxassay_002050_07
TS23: turbinate bone primordium Strong Regionally restricted euxassay_002050_07
TS23: 4th ventricle lateral recess Strong Regionally restricted euxassay_002050_07
TS23: lateral ventricle choroid plexus Strong Regionally restricted euxassay_002050_07

Specimen euxassay_002050_08: embryonic day 14.5 (more )
Structure Level Pattern Image Note
TS23: pectoral girdle and thoracic body wall musculature Strong Regionally restricted euxassay_002050_08
TS23: axial skeleton Strong Regionally restricted euxassay_002050_08
TS23: hindlimb digit 1 mesenchyme Strong Regionally restricted euxassay_002050_08
TS23: hindlimb digit 5 mesenchyme Strong Regionally restricted euxassay_002050_08
TS23: turbinate bone primordium Strong Regionally restricted euxassay_002050_08
TS23: exoccipital bone Strong Regionally restricted euxassay_002050_08
TS23: basisphenoid bone Strong Regionally restricted euxassay_002050_08
TS23: lateral ventricle choroid plexus Strong Regionally restricted euxassay_002050_08
TS23: 4th ventricle lateral recess Strong Regionally restricted euxassay_002050_08

Specimen euxassay_002050_09: embryonic day 14.5 (more )
Structure Level Pattern Image Note
TS23: pectoral girdle and thoracic body wall musculature Strong Regionally restricted euxassay_002050_09
TS23: axial skeleton Strong Regionally restricted euxassay_002050_09
TS23: hindlimb digit 5 mesenchyme Strong Regionally restricted euxassay_002050_09
TS23: turbinate bone primordium Strong Regionally restricted euxassay_002050_09
TS23: basisphenoid bone Strong Regionally restricted euxassay_002050_09
TS23: exoccipital bone Strong Regionally restricted euxassay_002050_09
TS23: lateral ventricle choroid plexus Strong Regionally restricted euxassay_002050_09

Specimen euxassay_002050_10: embryonic day 14.5 (more )
Structure Level Pattern Image Note
TS23: pectoral girdle and thoracic body wall musculature Strong Regionally restricted euxassay_002050_10
TS23: axial skeleton Strong Regionally restricted euxassay_002050_10
TS23: exoccipital bone Strong Regionally restricted euxassay_002050_10
TS23: basisphenoid bone Strong Regionally restricted euxassay_002050_10
TS23: turbinate bone primordium Strong Regionally restricted euxassay_002050_10
TS23: orbito-sphenoid Strong Regionally restricted euxassay_002050_10
TS23: 4th ventricle lateral recess Strong Regionally restricted euxassay_002050_10
TS23: lateral ventricle choroid plexus Strong Regionally restricted euxassay_002050_10

Specimen euxassay_002050_11: embryonic day 14.5 (more )
Structure Level Pattern Image Note
TS23: pectoral girdle and thoracic body wall musculature Strong Regionally restricted euxassay_002050_11
TS23: submandibular gland primordium Strong Regionally restricted euxassay_002050_11
TS23: axial skeleton Strong Regionally restricted euxassay_002050_11
TS23: basioccipital bone Strong Regionally restricted euxassay_002050_11
TS23: basisphenoid bone Strong Regionally restricted euxassay_002050_11
TS23: exoccipital bone Strong Regionally restricted euxassay_002050_11
TS23: orbito-sphenoid Strong Regionally restricted euxassay_002050_11
TS23: turbinate bone primordium Strong Regionally restricted euxassay_002050_11
TS23: 4th ventricle lateral recess Strong Regionally restricted euxassay_002050_11

Specimen euxassay_002050_12: embryonic day 14.5 (more )
Structure Level Pattern Image Note
TS23: pectoral girdle and thoracic body wall musculature Strong Regionally restricted euxassay_002050_12
TS23: submandibular gland primordium Strong Regionally restricted euxassay_002050_12
TS23: axial skeleton Strong Regionally restricted euxassay_002050_12
TS23: exoccipital bone Strong Regionally restricted euxassay_002050_12
TS23: temporal bone Strong Regionally restricted euxassay_002050_12
TS23: orbito-sphenoid Strong Regionally restricted euxassay_002050_12
TS23: turbinate bone primordium Strong Regionally restricted euxassay_002050_12
TS23: 4th ventricle lateral recess Strong Regionally restricted euxassay_002050_12
TS23: lateral ventricle choroid plexus Strong Regionally restricted euxassay_002050_12

Specimen euxassay_002050_13: embryonic day 14.5 (more )
Structure Level Pattern Image Note
TS23: pectoral girdle and thoracic body wall musculature Strong Regionally restricted euxassay_002050_13
TS23: submandibular gland primordium Strong Regionally restricted euxassay_002050_13
TS23: axial skeleton Strong Regionally restricted euxassay_002050_13
TS23: exoccipital bone Strong Regionally restricted euxassay_002050_13
TS23: temporal bone Strong Regionally restricted euxassay_002050_13
TS23: orbito-sphenoid Strong Regionally restricted euxassay_002050_13
TS23: turbinate bone primordium Strong Regionally restricted euxassay_002050_13
TS23: 4th ventricle lateral recess Strong Regionally restricted euxassay_002050_13
TS23: lateral ventricle choroid plexus Strong Regionally restricted euxassay_002050_13

Specimen euxassay_002050_14: embryonic day 14.5 (more )
Structure Level Pattern Image Note
TS23: pectoral girdle and thoracic body wall musculature Strong Regionally restricted euxassay_002050_14
TS23: submandibular gland primordium Strong Regionally restricted euxassay_002050_14
TS23: axial skeleton Strong Regionally restricted euxassay_002050_14
TS23: exoccipital bone Strong Regionally restricted euxassay_002050_14
TS23: temporal bone Strong Regionally restricted euxassay_002050_14
TS23: 4th ventricle lateral recess Strong Regionally restricted euxassay_002050_14

Specimen euxassay_002050_15: embryonic day 14.5 (more )
Structure Level Pattern Image Note
TS23: pectoral girdle and thoracic body wall musculature Strong Regionally restricted euxassay_002050_15
TS23: axial skeleton Strong Regionally restricted euxassay_002050_15
TS23: hindlimb digit 1 mesenchyme Strong Regionally restricted euxassay_002050_15
TS23: hindlimb digit 2 mesenchyme Strong Regionally restricted euxassay_002050_15
TS23: hindlimb digit 3 mesenchyme Strong Regionally restricted euxassay_002050_15
TS23: temporal bone Strong Regionally restricted euxassay_002050_15
TS23: exoccipital bone Strong Regionally restricted euxassay_002050_15
TS23: basioccipital bone Strong Regionally restricted euxassay_002050_15
TS23: basisphenoid bone Strong Regionally restricted euxassay_002050_15
TS23: orbito-sphenoid Strong Regionally restricted euxassay_002050_15
TS23: lateral ventricle choroid plexus Strong Regionally restricted euxassay_002050_15
TS23: testis Strong Regionally restricted euxassay_002050_15

Specimen euxassay_002050_16: embryonic day 14.5 (more )
Structure Level Pattern Image Note
TS23: pectoral girdle and thoracic body wall musculature Strong Regionally restricted euxassay_002050_16
TS23: hindlimb digit 1 mesenchyme Strong Regionally restricted euxassay_002050_16
TS23: hindlimb digit 2 mesenchyme Strong Regionally restricted euxassay_002050_16
TS23: hindlimb digit 3 mesenchyme Strong Regionally restricted euxassay_002050_16
TS23: temporal bone Strong Regionally restricted euxassay_002050_16
TS23: basisphenoid bone Strong Regionally restricted euxassay_002050_16
TS23: basioccipital bone Strong Regionally restricted euxassay_002050_16
TS23: exoccipital bone Strong Regionally restricted euxassay_002050_16
TS23: lateral ventricle choroid plexus Strong Regionally restricted euxassay_002050_16
TS23: testis Strong Regionally restricted euxassay_002050_16

Specimen euxassay_002050_17: embryonic day 14.5 (more )
Structure Level Pattern Image Note
TS23: pectoral girdle and thoracic body wall musculature Strong Regionally restricted euxassay_002050_17
TS23: hindlimb digit 1 mesenchyme Strong Regionally restricted euxassay_002050_17
TS23: hindlimb digit 2 mesenchyme Strong Regionally restricted euxassay_002050_17
TS23: hindlimb digit 3 mesenchyme Strong Regionally restricted euxassay_002050_17
TS23: hindlimb digit 4 mesenchyme Strong Regionally restricted euxassay_002050_17
TS23: turbinate bone primordium Strong Regionally restricted euxassay_002050_17
TS23: orbito-sphenoid Strong Regionally restricted euxassay_002050_17
TS23: temporal bone Strong Regionally restricted euxassay_002050_17
TS23: basioccipital bone Strong Regionally restricted euxassay_002050_17
TS23: basisphenoid bone Strong Regionally restricted euxassay_002050_17
TS23: exoccipital bone Strong Regionally restricted euxassay_002050_17
TS23: lateral ventricle choroid plexus Strong Regionally restricted euxassay_002050_17
TS23: testis Strong Regionally restricted euxassay_002050_17

Specimen euxassay_002050_18: embryonic day 14.5 (more )
Structure Level Pattern Image Note
TS23: pectoral girdle and thoracic body wall musculature Strong Regionally restricted euxassay_002050_18
TS23: rib Strong Regionally restricted euxassay_002050_18
TS23: hindlimb digit 1 mesenchyme Strong Regionally restricted euxassay_002050_18
TS23: hindlimb digit 2 mesenchyme Strong Regionally restricted euxassay_002050_18
TS23: hindlimb digit 3 mesenchyme Strong Regionally restricted euxassay_002050_18
TS23: hindlimb digit 4 mesenchyme Strong Regionally restricted euxassay_002050_18
TS23: temporal bone Strong Regionally restricted euxassay_002050_18
TS23: basisphenoid bone Strong Regionally restricted euxassay_002050_18
TS23: exoccipital bone Strong Regionally restricted euxassay_002050_18
TS23: orbito-sphenoid Strong Regionally restricted euxassay_002050_18
TS23: turbinate bone primordium Strong Regionally restricted euxassay_002050_18
TS23: lateral ventricle choroid plexus Strong Regionally restricted euxassay_002050_18
TS23: testis Strong Regionally restricted euxassay_002050_18

Specimen euxassay_002050_19: embryonic day 14.5 (more )
Structure Level Pattern Image Note
TS23: pectoral girdle and thoracic body wall musculature Strong Regionally restricted euxassay_002050_19
TS23: rib Strong Regionally restricted euxassay_002050_19
TS23: hindlimb digit 1 mesenchyme Strong Regionally restricted euxassay_002050_19
TS23: hindlimb digit 2 mesenchyme Strong Regionally restricted euxassay_002050_19
TS23: hindlimb digit 3 mesenchyme Strong Regionally restricted euxassay_002050_19
TS23: hindlimb digit 4 mesenchyme Strong Regionally restricted euxassay_002050_19
TS23: hindlimb digit 5 mesenchyme Strong Regionally restricted euxassay_002050_19
TS23: orbito-sphenoid Strong Regionally restricted euxassay_002050_19
TS23: turbinate bone primordium Strong Regionally restricted euxassay_002050_19
TS23: temporal bone Strong Regionally restricted euxassay_002050_19
TS23: basisphenoid bone Strong Regionally restricted euxassay_002050_19
TS23: exoccipital bone Strong Regionally restricted euxassay_002050_19
TS23: basioccipital bone Strong Regionally restricted euxassay_002050_19

Specimen euxassay_002050_20: embryonic day 14.5 (more )
Structure Level Pattern Image Note
TS23: rib Strong Regionally restricted euxassay_002050_20
TS23: hindlimb digit 2 mesenchyme Strong Regionally restricted euxassay_002050_20
TS23: hindlimb digit 3 mesenchyme Strong Regionally restricted euxassay_002050_20
TS23: hindlimb digit 4 mesenchyme Strong Regionally restricted euxassay_002050_20
TS23: hindlimb digit 5 mesenchyme Strong Regionally restricted euxassay_002050_20
TS23: hand mesenchyme Strong Regionally restricted euxassay_002050_20
TS23: basioccipital bone Strong Regionally restricted euxassay_002050_20
TS23: basisphenoid bone Strong Regionally restricted euxassay_002050_20
TS23: exoccipital bone Strong Regionally restricted euxassay_002050_20
TS23: temporal bone Strong Regionally restricted euxassay_002050_20
TS23: orbito-sphenoid Strong Regionally restricted euxassay_002050_20

Specimen euxassay_002050_21: embryonic day 14.5 (more )
Structure Level Pattern Image Note
TS23: rib Strong Regionally restricted euxassay_002050_21
TS23: hand mesenchyme Strong Regionally restricted euxassay_002050_21
TS23: hindlimb digit 1 mesenchyme Strong Regionally restricted euxassay_002050_21
TS23: hindlimb digit 2 mesenchyme Strong Regionally restricted euxassay_002050_21
TS23: orbito-sphenoid Strong Regionally restricted euxassay_002050_21
TS23: temporal bone Strong Regionally restricted euxassay_002050_21
TS23: exoccipital bone Strong Regionally restricted euxassay_002050_21

Specimen euxassay_002050_22: embryonic day 14.5 (more )
Structure Level Pattern Image Note
TS23: rib Strong Regionally restricted euxassay_002050_22
TS23: leg Strong Regionally restricted euxassay_002050_22
TS23: hand mesenchyme Strong Regionally restricted euxassay_002050_22

Specimen euxassay_002050_23: embryonic day 14.5 (more )
Structure Level Pattern Image Note
TS23: hand mesenchyme Strong Regionally restricted euxassay_002050_23
TS23: leg Strong Regionally restricted euxassay_002050_23


Contributing Projects:
Mouse Genome Database (MGD), Gene Expression Database (GXD), Mouse Models of Human Cancer database (MMHCdb) (formerly Mouse Tumor Biology (MTB)), Gene Ontology (GO)
Citing These Resources
Funding Information
Warranty Disclaimer, Privacy Notice, Licensing, & Copyright
Send questions and comments to User Support.
last database update
01/20/2026
MGI 6.24
The Jackson Laboratory