About   Help   FAQ
Gene Expression Data
Assay Details
Assay
Reference: J:153498 Diez-Roux G, et al., A high-resolution anatomical atlas of the transcriptome in the mouse embryo. PLoS Biol. 2011;9(1):e1000582
Assay type: RNA in situ
MGI Accession ID: MGI:4823995
Gene symbol: Col9a1
Gene name: collagen, type IX, alpha 1
Probe: T30372
Probe preparation: Antisense labelled with digoxigenin RNA
Visualized with: Alkaline phosphatase
Assay notes: Cryosections of fresh frozen material were fixed in 4% paraformaldehyde for 20 min. before further processing. A tyramide-biotin/streptavidin amplification step was included in the in situ hybridization procedure.
Results
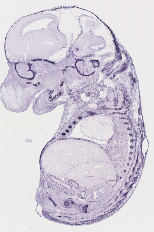
Specimen euxassay_011520_01: embryonic day 14.5 (more )
Structure Level Pattern Image Note
TS23: rib Strong Regionally restricted euxassay_011520_01
TS23: vault of skull Strong Regionally restricted euxassay_011520_01
TS23: orbito-sphenoid Strong Regionally restricted euxassay_011520_01
TS23: temporal bone Strong Regionally restricted euxassay_011520_01
TS23: tibia Strong Regionally restricted euxassay_011520_01
TS23: fibula Strong Regionally restricted euxassay_011520_01
TS23: ulna Strong Regionally restricted euxassay_011520_01
TS23: radius Strong Regionally restricted euxassay_011520_01
TS23: humerus Strong Regionally restricted euxassay_011520_01

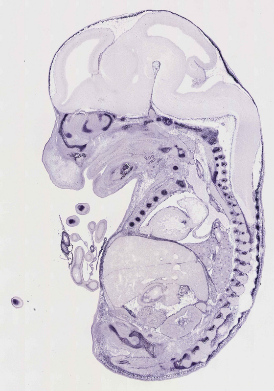
Specimen euxassay_011520_02: embryonic day 14.5 (more )
Structure Level Pattern Image Note
TS23: rib Strong Regionally restricted euxassay_011520_02
TS23: temporal bone Strong Regionally restricted euxassay_011520_02
TS23: vault of skull Strong Regionally restricted euxassay_011520_02
TS23: orbito-sphenoid Strong Regionally restricted euxassay_011520_02
TS23: exoccipital bone Strong Regionally restricted euxassay_011520_02
TS23: tibia Strong Regionally restricted euxassay_011520_02
TS23: fibula Strong Regionally restricted euxassay_011520_02
TS23: humerus Strong Regionally restricted euxassay_011520_02
TS23: radius Strong Regionally restricted euxassay_011520_02
TS23: ulna Strong Regionally restricted euxassay_011520_02

Specimen euxassay_011520_03: embryonic day 14.5 (more )
Structure Level Pattern Image Note
TS23: rib Strong Regionally restricted euxassay_011520_03
TS23: orbito-sphenoid Strong Regionally restricted euxassay_011520_03
TS23: vault of skull Strong Regionally restricted euxassay_011520_03
TS23: temporal bone Strong Regionally restricted euxassay_011520_03
TS23: exoccipital bone Strong Regionally restricted euxassay_011520_03
TS23: tibia Strong Regionally restricted euxassay_011520_03
TS23: fibula Strong Regionally restricted euxassay_011520_03
TS23: humerus Strong Regionally restricted euxassay_011520_03
TS23: scapula Strong Regionally restricted euxassay_011520_03
TS23: forelimb digit 5 phalanx Strong Regionally restricted euxassay_011520_03
TS23: forelimb digit 5 metacarpal Strong Regionally restricted euxassay_011520_03
TS23: forelimb digit 4 metacarpal Strong Regionally restricted euxassay_011520_03
TS23: forelimb digit 4 phalanx Strong Regionally restricted euxassay_011520_03

Specimen euxassay_011520_04: embryonic day 14.5 (more )
Structure Level Pattern Image Note
TS23: rib Strong Regionally restricted euxassay_011520_04
TS23: temporal bone Strong Regionally restricted euxassay_011520_04
TS23: exoccipital bone Strong Regionally restricted euxassay_011520_04
TS23: orbito-sphenoid Strong Regionally restricted euxassay_011520_04
TS23: vault of skull Strong Regionally restricted euxassay_011520_04
TS23: fibula Strong Regionally restricted euxassay_011520_04
TS23: tibia Strong Regionally restricted euxassay_011520_04
TS23: humerus Moderate Regionally restricted euxassay_011520_04
TS23: scapula Strong Regionally restricted euxassay_011520_04
TS23: mandible Moderate Regionally restricted euxassay_011520_04

Specimen euxassay_011520_05: embryonic day 14.5 (more )
Structure Level Pattern Image Note
TS23: temporal bone Strong Regionally restricted euxassay_011520_05
TS23: exoccipital bone Strong Regionally restricted euxassay_011520_05
TS23: orbito-sphenoid Strong Regionally restricted euxassay_011520_05
TS23: vault of skull Strong Regionally restricted euxassay_011520_05
TS23: humerus Moderate Regionally restricted euxassay_011520_05
TS23: scapula Strong Regionally restricted euxassay_011520_05
TS23: mandible Moderate Regionally restricted euxassay_011520_05

Specimen euxassay_011520_06: embryonic day 14.5 (more )
Structure Level Pattern Image Note
TS23: rib Strong Regionally restricted euxassay_011520_06
TS23: orbito-sphenoid Strong Regionally restricted euxassay_011520_06
TS23: temporal bone Strong Regionally restricted euxassay_011520_06
TS23: exoccipital bone Strong Regionally restricted euxassay_011520_06
TS23: vault of skull Strong Regionally restricted euxassay_011520_06
TS23: hindlimb digit 1 metatarsal Strong Regionally restricted euxassay_011520_06
TS23: hindlimb digit 2 metatarsal Strong Regionally restricted euxassay_011520_06
TS23: hindlimb digit 3 metatarsal Strong Regionally restricted euxassay_011520_06
TS23: hindlimb digit 2 phalanx Strong Regionally restricted euxassay_011520_06
TS23: hindlimb digit 3 phalanx Strong Regionally restricted euxassay_011520_06
TS23: hindlimb digit 4 phalanx Strong Regionally restricted euxassay_011520_06
TS23: hindlimb digit 4 metatarsal Strong Regionally restricted euxassay_011520_06
TS23: humerus Strong Regionally restricted euxassay_011520_06
TS23: scapula Strong Regionally restricted euxassay_011520_06
TS23: mandible Strong Regionally restricted euxassay_011520_06
TS23: forelimb digit 1 phalanx Strong Regionally restricted euxassay_011520_06
TS23: forelimb digit 2 phalanx Strong Regionally restricted euxassay_011520_06
TS23: forelimb digit 3 phalanx Strong Regionally restricted euxassay_011520_06

Specimen euxassay_011520_07: embryonic day 14.5 (more )
Structure Level Pattern Image Note
TS23: rib Strong Regionally restricted euxassay_011520_07
TS23: orbito-sphenoid Strong Regionally restricted euxassay_011520_07
TS23: exoccipital bone Strong Regionally restricted euxassay_011520_07
TS23: hindlimb digit 1 phalanx Strong Regionally restricted euxassay_011520_07
TS23: hindlimb digit 2 phalanx Strong Regionally restricted euxassay_011520_07
TS23: hindlimb digit 3 phalanx Strong Regionally restricted euxassay_011520_07
TS23: hindlimb digit 4 phalanx Strong Regionally restricted euxassay_011520_07
TS23: hindlimb digit 5 phalanx Strong Regionally restricted euxassay_011520_07
TS23: hindlimb digit 1 metatarsal Strong Regionally restricted euxassay_011520_07
TS23: hindlimb digit 2 metatarsal Strong Regionally restricted euxassay_011520_07
TS23: humerus Strong Regionally restricted euxassay_011520_07
TS23: mandible Strong Regionally restricted euxassay_011520_07
TS23: maxilla Strong Regionally restricted euxassay_011520_07
TS23: otic capsule Strong Regionally restricted euxassay_011520_07
TS23: forelimb digit 2 phalanx Strong Regionally restricted euxassay_011520_07
TS23: forelimb digit 1 phalanx Strong Regionally restricted euxassay_011520_07
TS23: forelimb digit 3 phalanx Strong Regionally restricted euxassay_011520_07
TS23: forelimb digit 4 phalanx Strong Regionally restricted euxassay_011520_07
TS23: submandibular gland primordium Moderate Regionally restricted euxassay_011520_07

Specimen euxassay_011520_08: embryonic day 14.5 (more )
Structure Level Pattern Image Note
TS23: axial skeleton Strong Regionally restricted euxassay_011520_08
TS23: rib Strong Regionally restricted euxassay_011520_08
TS23: orbito-sphenoid Strong Regionally restricted euxassay_011520_08
TS23: turbinate bone primordium Strong Regionally restricted euxassay_011520_08
TS23: exoccipital bone Strong Regionally restricted euxassay_011520_08
TS23: hindlimb digit 2 phalanx Strong Regionally restricted euxassay_011520_08
TS23: hindlimb digit 1 phalanx Strong Regionally restricted euxassay_011520_08
TS23: hindlimb digit 3 phalanx Strong Regionally restricted euxassay_011520_08
TS23: hindlimb digit 4 phalanx Strong Regionally restricted euxassay_011520_08
TS23: hindlimb digit 5 phalanx Strong Regionally restricted euxassay_011520_08
TS23: femur Strong Regionally restricted euxassay_011520_08
TS23: clavicle Strong Regionally restricted euxassay_011520_08
TS23: mandible Strong Regionally restricted euxassay_011520_08
TS23: maxilla Strong Regionally restricted euxassay_011520_08
TS23: otic capsule Strong Regionally restricted euxassay_011520_08
TS23: forelimb digit 4 phalanx Strong Regionally restricted euxassay_011520_08
TS23: forelimb digit 3 phalanx Strong Regionally restricted euxassay_011520_08
TS23: forelimb digit 2 phalanx Strong Regionally restricted euxassay_011520_08
TS23: forelimb digit 1 phalanx Strong Regionally restricted euxassay_011520_08
TS23: submandibular gland primordium Moderate Regionally restricted euxassay_011520_08

Specimen euxassay_011520_09: embryonic day 14.5 (more )
Structure Level Pattern Image Note
TS23: rib Strong Regionally restricted euxassay_011520_09
TS23: axial skeleton Strong Regionally restricted euxassay_011520_09
TS23: orbito-sphenoid Strong Regionally restricted euxassay_011520_09
TS23: turbinate bone primordium Strong Regionally restricted euxassay_011520_09
TS23: femur Strong Regionally restricted euxassay_011520_09
TS23: hindlimb digit 5 phalanx Strong Regionally restricted euxassay_011520_09
TS23: hindlimb digit 4 phalanx Strong Regionally restricted euxassay_011520_09
TS23: hindlimb digit 3 phalanx Strong Regionally restricted euxassay_011520_09
TS23: clavicle Strong Regionally restricted euxassay_011520_09
TS23: maxilla Strong Regionally restricted euxassay_011520_09
TS23: mandible Strong Regionally restricted euxassay_011520_09
TS23: otic capsule Strong Regionally restricted euxassay_011520_09
TS23: forelimb digit 1 phalanx Strong Regionally restricted euxassay_011520_09
TS23: forelimb digit 2 phalanx Strong Regionally restricted euxassay_011520_09
TS23: forelimb digit 3 phalanx Strong Regionally restricted euxassay_011520_09
TS23: submandibular gland primordium Moderate Regionally restricted euxassay_011520_09

Specimen euxassay_011520_10: embryonic day 14.5 (more )
Structure Level Pattern Image Note
TS23: axial skeleton Strong Regionally restricted euxassay_011520_10
TS23: rib Strong Regionally restricted euxassay_011520_10
TS23: turbinate bone primordium Strong Regionally restricted euxassay_011520_10
TS23: orbito-sphenoid Strong Regionally restricted euxassay_011520_10
TS23: hindlimb digit 5 phalanx Strong Regionally restricted euxassay_011520_10
TS23: hindlimb digit 4 phalanx Strong Regionally restricted euxassay_011520_10
TS23: hindlimb digit 3 phalanx Strong Regionally restricted euxassay_011520_10
TS23: pelvic girdle skeleton Strong Regionally restricted euxassay_011520_10
TS23: clavicle Strong Regionally restricted euxassay_011520_10
TS23: maxilla Strong Regionally restricted euxassay_011520_10
TS23: mandible Strong Regionally restricted euxassay_011520_10
TS23: otic capsule Strong Regionally restricted euxassay_011520_10
TS23: forelimb digit 2 phalanx Strong Regionally restricted euxassay_011520_10
TS23: forelimb digit 3 phalanx Strong Regionally restricted euxassay_011520_10
TS23: submandibular gland primordium Moderate Regionally restricted euxassay_011520_10

Specimen euxassay_011520_11: embryonic day 14.5 (more )
Structure Level Pattern Image Note
TS23: axial skeleton Strong Regionally restricted euxassay_011520_11
TS23: rib Strong Regionally restricted euxassay_011520_11
TS23: orbito-sphenoid Strong Regionally restricted euxassay_011520_11
TS23: turbinate bone primordium Strong Regionally restricted euxassay_011520_11
TS23: pelvic girdle skeleton Strong Regionally restricted euxassay_011520_11
TS23: clavicle Strong Regionally restricted euxassay_011520_11
TS23: maxilla Strong Regionally restricted euxassay_011520_11
TS23: mandible Strong Regionally restricted euxassay_011520_11
TS23: forelimb digit 3 phalanx Strong Regionally restricted euxassay_011520_11
TS23: forelimb digit 2 phalanx Strong Regionally restricted euxassay_011520_11
TS23: submandibular gland primordium Weak Regionally restricted euxassay_011520_11
TS23: hyoid Strong Regionally restricted euxassay_011520_11

Specimen euxassay_011520_12: embryonic day 14.5 (more )
Structure Level Pattern Image Note
TS23: rib Strong Regionally restricted euxassay_011520_12
TS23: axial skeleton Strong Regionally restricted euxassay_011520_12
TS23: orbito-sphenoid Strong Regionally restricted euxassay_011520_12
TS23: turbinate bone primordium Strong Regionally restricted euxassay_011520_12
TS23: pelvic girdle skeleton Strong Regionally restricted euxassay_011520_12
TS23: thyroid cartilage Strong Regionally restricted euxassay_011520_12
TS23: cricoid cartilage Strong Regionally restricted euxassay_011520_12
TS23: mandible Strong Regionally restricted euxassay_011520_12
TS23: maxilla Strong Regionally restricted euxassay_011520_12
TS23: nasal septum Strong Regionally restricted euxassay_011520_12
TS23: hyoid Strong Regionally restricted euxassay_011520_12

Specimen euxassay_011520_13: embryonic day 14.5 (more )
Structure Level Pattern Image Note
TS23: rib Strong Regionally restricted euxassay_011520_13
TS23: axial skeleton Strong Regionally restricted euxassay_011520_13
TS23: orbito-sphenoid Strong Regionally restricted euxassay_011520_13
TS23: thyroid cartilage Strong Regionally restricted euxassay_011520_13
TS23: cricoid cartilage Strong Regionally restricted euxassay_011520_13
TS23: mandible Strong Regionally restricted euxassay_011520_13
TS23: maxilla Strong Regionally restricted euxassay_011520_13
TS23: bladder Moderate Regionally restricted euxassay_011520_13
TS23: nasal septum Strong Regionally restricted euxassay_011520_13

Specimen euxassay_011520_14: embryonic day 14.5 (more )
Structure Level Pattern Image Note
TS23: sternum Strong Regionally restricted euxassay_011520_14
TS23: axial skeleton Strong Regionally restricted euxassay_011520_14
TS23: orbito-sphenoid Strong Regionally restricted euxassay_011520_14
TS23: thyroid cartilage Strong Regionally restricted euxassay_011520_14
TS23: trachea Strong Regionally restricted euxassay_011520_14
TS23: maxilla Strong Regionally restricted euxassay_011520_14
TS23: mandible Strong Regionally restricted euxassay_011520_14
TS23: bladder Moderate Regionally restricted euxassay_011520_14
TS23: axial skeleton tail region Strong Regionally restricted euxassay_011520_14
TS23: nasal septum Strong Regionally restricted euxassay_011520_14
TS23: hyoid Moderate Regionally restricted euxassay_011520_14

Specimen euxassay_011520_15: embryonic day 14.5 (more )
Structure Level Pattern Image Note
TS23: sternum Strong Regionally restricted euxassay_011520_15
TS23: axial skeleton Strong Regionally restricted euxassay_011520_15
TS23: orbito-sphenoid Strong Regionally restricted euxassay_011520_15
TS23: thyroid cartilage Strong Regionally restricted euxassay_011520_15
TS23: cricoid cartilage Strong Regionally restricted euxassay_011520_15
TS23: trachea Strong Regionally restricted euxassay_011520_15
TS23: bladder Moderate Regionally restricted euxassay_011520_15
TS23: axial skeleton tail region Strong Regionally restricted euxassay_011520_15
TS23: nasal septum Strong Regionally restricted euxassay_011520_15
TS23: hyoid Moderate Regionally restricted euxassay_011520_15

Specimen euxassay_011520_16: embryonic day 14.5 (more )
Structure Level Pattern Image Note
TS23: sternum Strong Regionally restricted euxassay_011520_16
TS23: rib Strong Regionally restricted euxassay_011520_16
TS23: axial skeleton Strong Regionally restricted euxassay_011520_16
TS23: thyroid cartilage Strong Regionally restricted euxassay_011520_16
TS23: bladder Moderate Regionally restricted euxassay_011520_16
TS23: axial skeleton tail region Strong Regionally restricted euxassay_011520_16
TS23: nasal septum Strong Regionally restricted euxassay_011520_16
TS23: hyoid Moderate Regionally restricted euxassay_011520_16

Specimen euxassay_011520_17: embryonic day 14.5 (more )
Structure Level Pattern Image Note
TS23: axial skeleton Strong Regionally restricted euxassay_011520_17
TS23: rib Strong Regionally restricted euxassay_011520_17
TS23: exoccipital bone Strong Regionally restricted euxassay_011520_17
TS23: turbinate bone primordium Strong Regionally restricted euxassay_011520_17
TS23: clavicle Strong Regionally restricted euxassay_011520_17
TS23: otic capsule Strong Regionally restricted euxassay_011520_17
TS23: axial skeleton tail region Strong Regionally restricted euxassay_011520_17
TS23: nasal septum Strong Regionally restricted euxassay_011520_17

Specimen euxassay_011520_18: embryonic day 14.5 (more )
Structure Level Pattern Image Note
TS23: rib Strong Regionally restricted euxassay_011520_18
TS23: axial skeleton Strong Regionally restricted euxassay_011520_18
TS23: orbito-sphenoid Strong Regionally restricted euxassay_011520_18
TS23: exoccipital bone Strong Regionally restricted euxassay_011520_18
TS23: pelvic girdle skeleton Strong Regionally restricted euxassay_011520_18
TS23: clavicle Strong Regionally restricted euxassay_011520_18
TS23: mandible Strong Regionally restricted euxassay_011520_18
TS23: maxilla Strong Regionally restricted euxassay_011520_18
TS23: otic capsule Strong Regionally restricted euxassay_011520_18
TS23: naris Strong Regionally restricted euxassay_011520_18

Specimen euxassay_011520_19: embryonic day 14.5 (more )
Structure Level Pattern Image Note
TS23: axial skeleton Strong Regionally restricted euxassay_011520_19
TS23: rib Strong Regionally restricted euxassay_011520_19
TS23: turbinate bone primordium Strong Regionally restricted euxassay_011520_19
TS23: orbito-sphenoid Strong Regionally restricted euxassay_011520_19
TS23: temporal bone Strong Regionally restricted euxassay_011520_19
TS23: exoccipital bone Strong Regionally restricted euxassay_011520_19
TS23: pelvic girdle skeleton Strong Regionally restricted euxassay_011520_19
TS23: clavicle Strong Regionally restricted euxassay_011520_19
TS23: mandible Strong Regionally restricted euxassay_011520_19
TS23: maxilla Strong Regionally restricted euxassay_011520_19
TS23: otic capsule Strong Regionally restricted euxassay_011520_19
TS23: submandibular gland primordium Moderate Regionally restricted euxassay_011520_19

Specimen euxassay_011520_20: embryonic day 14.5 (more )
Structure Level Pattern Image Note
TS23: rib Strong Regionally restricted euxassay_011520_20
TS23: orbito-sphenoid Strong Regionally restricted euxassay_011520_20
TS23: turbinate bone primordium Strong Regionally restricted euxassay_011520_20
TS23: temporal bone Strong Regionally restricted euxassay_011520_20
TS23: exoccipital bone Strong Regionally restricted euxassay_011520_20
TS23: pelvic girdle skeleton Strong Regionally restricted euxassay_011520_20
TS23: maxilla Strong Regionally restricted euxassay_011520_20
TS23: mandible Strong Regionally restricted euxassay_011520_20
TS23: submandibular gland primordium Weak Regionally restricted euxassay_011520_20

Specimen euxassay_011520_21: embryonic day 14.5 (more )
Structure Level Pattern Image Note
TS23: rib Strong Regionally restricted euxassay_011520_21
TS23: orbito-sphenoid Strong Regionally restricted euxassay_011520_21
TS23: turbinate bone primordium Strong Regionally restricted euxassay_011520_21
TS23: temporal bone Strong Regionally restricted euxassay_011520_21
TS23: exoccipital bone Strong Regionally restricted euxassay_011520_21
TS23: pelvic girdle skeleton Strong Regionally restricted euxassay_011520_21
TS23: humerus Strong Regionally restricted euxassay_011520_21
TS23: maxilla Strong Regionally restricted euxassay_011520_21
TS23: mandible Strong Regionally restricted euxassay_011520_21
TS23: submandibular gland primordium Moderate Regionally restricted euxassay_011520_21

Specimen euxassay_011520_22: embryonic day 14.5 (more )
Structure Level Pattern Image Note
TS23: rib Strong Regionally restricted euxassay_011520_22
TS23: temporal bone Strong Regionally restricted euxassay_011520_22
TS23: exoccipital bone Strong Regionally restricted euxassay_011520_22
TS23: orbito-sphenoid Strong Regionally restricted euxassay_011520_22
TS23: femur Strong Regionally restricted euxassay_011520_22
TS23: humerus Strong Regionally restricted euxassay_011520_22
TS23: maxilla Strong Regionally restricted euxassay_011520_22
TS23: mandible Strong Regionally restricted euxassay_011520_22

Specimen euxassay_011520_23: embryonic day 14.5 (more )
Structure Level Pattern Image Note
TS23: rib Strong Regionally restricted euxassay_011520_23
TS23: orbito-sphenoid Strong Regionally restricted euxassay_011520_23
TS23: temporal bone Strong Regionally restricted euxassay_011520_23
TS23: exoccipital bone Strong Regionally restricted euxassay_011520_23
TS23: femur Strong Regionally restricted euxassay_011520_23
TS23: hindlimb digit 2 phalanx Strong Regionally restricted euxassay_011520_23
TS23: hindlimb digit 3 phalanx Strong Regionally restricted euxassay_011520_23
TS23: hindlimb digit 4 phalanx Strong Regionally restricted euxassay_011520_23
TS23: hindlimb digit 5 phalanx Strong Regionally restricted euxassay_011520_23
TS23: hindlimb digit 2 metatarsal Strong Regionally restricted euxassay_011520_23
TS23: hindlimb digit 3 metatarsal Strong Regionally restricted euxassay_011520_23
TS23: humerus Strong Regionally restricted euxassay_011520_23
TS23: scapula Strong Regionally restricted euxassay_011520_23
TS23: mandible Strong Regionally restricted euxassay_011520_23
TS23: maxilla Strong Regionally restricted euxassay_011520_23
TS23: forelimb digit 3 phalanx Strong Regionally restricted euxassay_011520_23
TS23: forelimb digit 2 phalanx Strong Regionally restricted euxassay_011520_23


Contributing Projects:
Mouse Genome Database (MGD), Gene Expression Database (GXD), Mouse Models of Human Cancer database (MMHCdb) (formerly Mouse Tumor Biology (MTB)), Gene Ontology (GO)
Citing These Resources
Funding Information
Warranty Disclaimer, Privacy Notice, Licensing, & Copyright
Send questions and comments to User Support.
last database update
01/20/2026
MGI 6.24
The Jackson Laboratory