About   Help   FAQ
Gene Expression Data
Assay Details
Assay
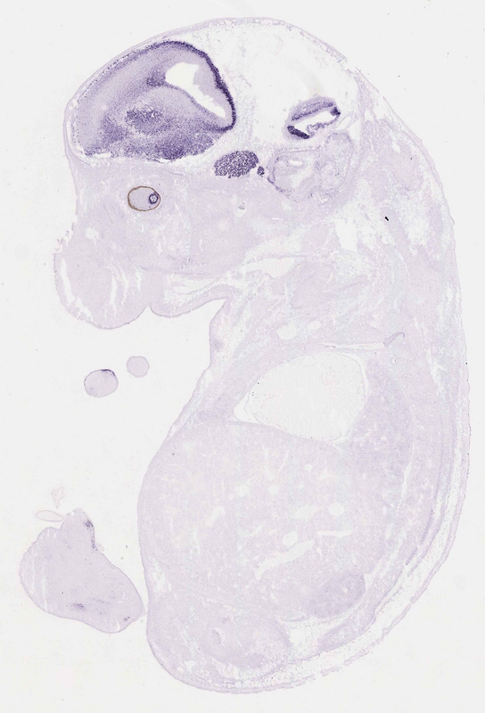
Reference: J:153498 Diez-Roux G, et al., A high-resolution anatomical atlas of the transcriptome in the mouse embryo. PLoS Biol. 2011;9(1):e1000582
Assay type: RNA in situ
MGI Accession ID: MGI:4823965
Gene symbol: Cntnap2
Gene name: contactin associated protein-like 2
Probe: T30308
Probe preparation: Antisense labelled with digoxigenin RNA
Visualized with: Alkaline phosphatase
Assay notes: Cryosections of fresh frozen material were fixed in 4% paraformaldehyde for 20 min. before further processing. A tyramide-biotin/streptavidin amplification step was included in the in situ hybridization procedure.
Results
Specimen euxassay_011473_01: embryonic day 14.5 (more )
Structure Level Pattern Image Note
TS23: neural retina Strong Regionally restricted euxassay_011473_01

Specimen euxassay_011473_02: embryonic day 14.5 (more )
Structure Level Pattern Image Note
TS23: neural retina Strong Regionally restricted euxassay_011473_02

Specimen euxassay_011473_03: embryonic day 14.5 (more )
Structure Level Pattern Image Note
TS23: neural retina Strong Regionally restricted euxassay_011473_03
TS23: forebrain Strong Regionally restricted euxassay_011473_03

Specimen euxassay_011473_04: embryonic day 14.5 (more )
Structure Level Pattern Image Note
TS23: neural retina Strong Regionally restricted euxassay_011473_04
TS23: trigeminal ganglion Strong Regionally restricted euxassay_011473_04
TS23: forebrain Strong Regionally restricted euxassay_011473_04
TS23: hindbrain Strong Regionally restricted euxassay_011473_04

Specimen euxassay_011473_05: embryonic day 14.5 (more )
Structure Level Pattern Image Note
TS23: trigeminal ganglion Strong Regionally restricted euxassay_011473_05
TS23: facial ganglion Strong Regionally restricted euxassay_011473_05
TS23: forebrain Strong Regionally restricted euxassay_011473_05
TS23: hindbrain Strong Regionally restricted euxassay_011473_05

Specimen euxassay_011473_06: embryonic day 14.5 (more )
Structure Level Pattern Image Note
TS23: trigeminal ganglion Strong Regionally restricted euxassay_011473_06
TS23: facial ganglion Strong Regionally restricted euxassay_011473_06
TS23: forebrain Strong Regionally restricted euxassay_011473_06
TS23: hindbrain Strong Regionally restricted euxassay_011473_06

Specimen euxassay_011473_07: embryonic day 14.5 (more )
Structure Level Pattern Image Note
TS23: trigeminal ganglion Strong Regionally restricted euxassay_011473_07
TS23: facial ganglion Strong Regionally restricted euxassay_011473_07
TS23: hindbrain Strong Regionally restricted euxassay_011473_07
TS23: forebrain Strong Regionally restricted euxassay_011473_07
TS23: midbrain Strong Regionally restricted euxassay_011473_07

Specimen euxassay_011473_08: embryonic day 14.5 (more )
Structure Level Pattern Image Note
TS23: glossopharyngeal ganglion Strong Regionally restricted euxassay_011473_08
TS23: trigeminal ganglion Strong Regionally restricted euxassay_011473_08
TS23: facial ganglion Strong Regionally restricted euxassay_011473_08
TS23: forebrain Strong Regionally restricted euxassay_011473_08
TS23: hindbrain Strong Regionally restricted euxassay_011473_08
TS23: midbrain Strong Regionally restricted euxassay_011473_08

Specimen euxassay_011473_09: embryonic day 14.5 (more )
Structure Level Pattern Image Note
TS23: glossopharyngeal ganglion Strong Regionally restricted euxassay_011473_09
TS23: trigeminal ganglion Strong Regionally restricted euxassay_011473_09
TS23: forebrain Strong Regionally restricted euxassay_011473_09
TS23: hindbrain Strong Regionally restricted euxassay_011473_09
TS23: midbrain Strong Regionally restricted euxassay_011473_09

Specimen euxassay_011473_10: embryonic day 14.5 (more )
Structure Level Pattern Image Note
TS23: trigeminal ganglion Strong Regionally restricted euxassay_011473_10
TS23: glossopharyngeal ganglion Strong Regionally restricted euxassay_011473_10

Specimen euxassay_011473_11: embryonic day 14.5 (more )
Structure Level Pattern Image Note
TS23: midbrain Strong Regionally restricted euxassay_011473_11
TS23: hindbrain Strong Regionally restricted euxassay_011473_11
TS23: forebrain Strong Regionally restricted euxassay_011473_11
TS23: spinal cord Strong Regionally restricted euxassay_011473_11

Specimen euxassay_011473_12: embryonic day 14.5 (more )
Structure Level Pattern Image Note
TS23: spinal cord Strong Regionally restricted euxassay_011473_12
TS23: midbrain Strong Regionally restricted euxassay_011473_12
TS23: hindbrain Strong Regionally restricted euxassay_011473_12
TS23: forebrain Strong Regionally restricted euxassay_011473_12

Specimen euxassay_011473_13: embryonic day 14.5 (more )
Structure Level Pattern Image Note
TS23: spinal cord Strong Regionally restricted euxassay_011473_13
TS23: midbrain Strong Regionally restricted euxassay_011473_13
TS23: hindbrain Strong Regionally restricted euxassay_011473_13
TS23: forebrain Strong Regionally restricted euxassay_011473_13

Specimen euxassay_011473_14: embryonic day 14.5 (more )
Structure Level Pattern Image Note
TS23: spinal cord Strong Regionally restricted euxassay_011473_14
TS23: midbrain Strong Regionally restricted euxassay_011473_14
TS23: hindbrain Strong Regionally restricted euxassay_011473_14
TS23: forebrain Strong Regionally restricted euxassay_011473_14

Specimen euxassay_011473_15: embryonic day 14.5 (more )
Structure Level Pattern Image Note
TS23: spinal cord Strong Regionally restricted euxassay_011473_15
TS23: midbrain Strong Regionally restricted euxassay_011473_15
TS23: hindbrain Strong Regionally restricted euxassay_011473_15
TS23: forebrain Strong Regionally restricted euxassay_011473_15

Specimen euxassay_011473_16: embryonic day 14.5 (more )
Structure Level Pattern Image Note
TS23: spinal cord Strong Regionally restricted euxassay_011473_16
TS23: midbrain Strong Regionally restricted euxassay_011473_16
TS23: hindbrain Strong Regionally restricted euxassay_011473_16
TS23: forebrain Strong Regionally restricted euxassay_011473_16

Specimen euxassay_011473_17: embryonic day 14.5 (more )
Structure Level Pattern Image Note
TS23: spinal cord Strong Regionally restricted euxassay_011473_17
TS23: midbrain Strong Regionally restricted euxassay_011473_17
TS23: hindbrain Strong Regionally restricted euxassay_011473_17
TS23: forebrain Strong Regionally restricted euxassay_011473_17

Specimen euxassay_011473_18: embryonic day 14.5 (more )
Structure Level Pattern Image Note
TS23: trigeminal ganglion Strong Regionally restricted euxassay_011473_18
TS23: spinal cord Strong Regionally restricted euxassay_011473_18
TS23: midbrain Strong Regionally restricted euxassay_011473_18
TS23: hindbrain Strong Regionally restricted euxassay_011473_18
TS23: forebrain Strong Regionally restricted euxassay_011473_18

Specimen euxassay_011473_19: embryonic day 14.5 (more )
Structure Level Pattern Image Note
TS23: trigeminal ganglion Strong Regionally restricted euxassay_011473_19
TS23: glossopharyngeal ganglion Strong Regionally restricted euxassay_011473_19
TS23: spinal cord Strong Regionally restricted euxassay_011473_19
TS23: midbrain Strong Regionally restricted euxassay_011473_19
TS23: hindbrain Strong Regionally restricted euxassay_011473_19
TS23: forebrain Strong Regionally restricted euxassay_011473_19

Specimen euxassay_011473_20: embryonic day 14.5 (more )
Structure Level Pattern Image Note
TS23: glossopharyngeal ganglion Strong Regionally restricted euxassay_011473_20
TS23: trigeminal ganglion Strong Regionally restricted euxassay_011473_20
TS23: midbrain Strong Regionally restricted euxassay_011473_20
TS23: hindbrain Strong Regionally restricted euxassay_011473_20
TS23: forebrain Strong Regionally restricted euxassay_011473_20

Specimen euxassay_011473_21: embryonic day 14.5 (more )
Structure Level Pattern Image Note
TS23: trigeminal ganglion Strong Regionally restricted euxassay_011473_21
TS23: glossopharyngeal ganglion Strong Regionally restricted euxassay_011473_21
TS23: facial ganglion Strong Regionally restricted euxassay_011473_21
TS23: hindbrain Strong Regionally restricted euxassay_011473_21
TS23: forebrain Strong Regionally restricted euxassay_011473_21
TS23: midbrain Strong Regionally restricted euxassay_011473_21

Specimen euxassay_011473_22: embryonic day 14.5 (more )
Structure Level Pattern Image Note
TS23: trigeminal ganglion Strong Regionally restricted euxassay_011473_22
TS23: facial ganglion Strong Regionally restricted euxassay_011473_22
TS23: hindbrain Strong Regionally restricted euxassay_011473_22
TS23: forebrain Strong Regionally restricted euxassay_011473_22

Specimen euxassay_011473_23: embryonic day 14.5 (more )
Structure Level Pattern Image Note
TS23: neural retina Strong Regionally restricted euxassay_011473_23
TS23: trigeminal ganglion Strong Regionally restricted euxassay_011473_23
TS23: facial ganglion Strong Regionally restricted euxassay_011473_23
TS23: hindbrain Strong Regionally restricted euxassay_011473_23
TS23: forebrain Strong Regionally restricted euxassay_011473_23

Specimen euxassay_011473_24: embryonic day 14.5 (more )
Structure Level Pattern Image Note
TS23: neural retina Strong Regionally restricted euxassay_011473_24
TS23: trigeminal ganglion Strong Regionally restricted euxassay_011473_24
TS23: forebrain Strong Regionally restricted euxassay_011473_24


Contributing Projects:
Mouse Genome Database (MGD), Gene Expression Database (GXD), Mouse Models of Human Cancer database (MMHCdb) (formerly Mouse Tumor Biology (MTB)), Gene Ontology (GO)
Citing These Resources
Funding Information
Warranty Disclaimer, Privacy Notice, Licensing, & Copyright
Send questions and comments to User Support.
last database update
01/20/2026
MGI 6.24
The Jackson Laboratory