About   Help   FAQ
Gene Expression Data
Assay Details
Assay
Reference: J:153498 Diez-Roux G, et al., A high-resolution anatomical atlas of the transcriptome in the mouse embryo. PLoS Biol. 2011;9(1):e1000582
Assay type: RNA in situ
MGI Accession ID: MGI:4823954
Gene symbol: Cnn1
Gene name: calponin 1
Probe: IMAGE clone 1138605
Probe preparation: Antisense labelled with digoxigenin RNA
Visualized with: Alkaline phosphatase
Assay notes: Cryosections of fresh frozen material were fixed in 4% paraformaldehyde for 20 min. before further processing. A tyramide-biotin/streptavidin amplification step was included in the in situ hybridization procedure.
Results
Specimen euxassay_000846_02: embryonic day 14.5 (more )
Note: Additional information for this specimen was included in the Eurexpress data submission file.
Structure Level Pattern Image Note
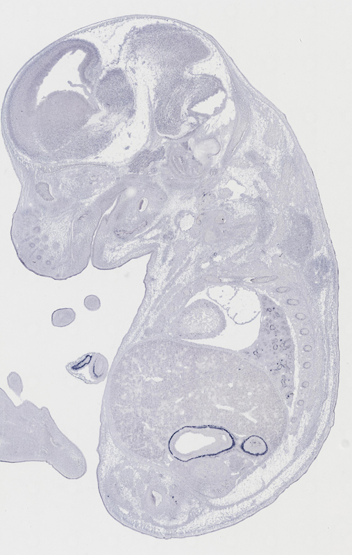
TS23: stomach Strong Regionally restricted euxassay_000846_02 smooth muscle
TS23: smooth muscle tissue Present euxassay_000846_02

Specimen euxassay_000846_03: embryonic day 14.5 (more )
Note: Additional information for this specimen was included in the Eurexpress data submission file.
Structure Level Pattern Image Note
TS23: stomach Strong Regionally restricted euxassay_000846_03 smooth muscle
TS23: smooth muscle tissue Present euxassay_000846_03

Specimen euxassay_000846_04: embryonic day 14.5 (more )
Note: Additional information for this specimen was included in the Eurexpress data submission file.
Structure Level Pattern Image Note
TS23: stomach Strong Regionally restricted euxassay_000846_04 smooth muscle
TS23: smooth muscle tissue Present euxassay_000846_04

Specimen euxassay_000846_05: embryonic day 14.5 (more )
Note: Additional information for this specimen was included in the Eurexpress data submission file.
Structure Level Pattern Image Note
TS23: stomach Strong Regionally restricted euxassay_000846_05 smooth muscle
TS23: smooth muscle tissue Present euxassay_000846_05

Specimen euxassay_000846_06: embryonic day 14.5 (more )
Note: Additional information for this specimen was included in the Eurexpress data submission file.
Structure Level Pattern Image Note
TS23: stomach Strong Regionally restricted euxassay_000846_06 smooth muscle
TS23: smooth muscle tissue Present euxassay_000846_06

Specimen euxassay_000846_07: embryonic day 14.5 (more )
Note: Additional information for this specimen was included in the Eurexpress data submission file.
Structure Level Pattern Image Note
TS23: stomach Strong Regionally restricted euxassay_000846_07 smooth muscle
TS23: smooth muscle tissue Present euxassay_000846_07

Specimen euxassay_000846_08: embryonic day 14.5 (more )
Note: Additional information for this specimen was included in the Eurexpress data submission file.
Structure Level Pattern Image Note
TS23: stomach Strong Regionally restricted euxassay_000846_08 smooth muscle
TS23: smooth muscle tissue Present euxassay_000846_08
TS23: midgut Strong Regionally restricted euxassay_000846_08

Specimen euxassay_000846_09: embryonic day 14.5 (more )
Note: Additional information for this specimen was included in the Eurexpress data submission file.
Structure Level Pattern Image Note
TS23: stomach Strong Regionally restricted euxassay_000846_09 smooth muscle
TS23: smooth muscle tissue Present euxassay_000846_09
TS23: midgut Strong Regionally restricted euxassay_000846_09

Specimen euxassay_000846_10: embryonic day 14.5 (more )
Note: Additional information for this specimen was included in the Eurexpress data submission file.
Structure Level Pattern Image Note
TS23: stomach Strong Regionally restricted euxassay_000846_10 smooth muscle
TS23: smooth muscle tissue Present euxassay_000846_10
TS23: midgut Strong Regionally restricted euxassay_000846_10

Specimen euxassay_000846_11: embryonic day 14.5 (more )
Note: Additional information for this specimen was included in the Eurexpress data submission file.
Structure Level Pattern Image Note
TS23: stomach Strong Regionally restricted euxassay_000846_11 smooth muscle
TS23: smooth muscle tissue Present euxassay_000846_11
TS23: midgut Strong Regionally restricted euxassay_000846_11

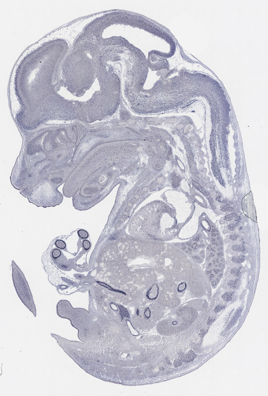
Specimen euxassay_000846_12: embryonic day 14.5 (more )
Structure Level Pattern Image Note
TS23: midgut Strong Regionally restricted euxassay_000846_12

Specimen euxassay_000846_13: embryonic day 14.5 (more )
Structure Level Pattern Image Note
TS23: midgut Strong Regionally restricted euxassay_000846_13
TS23: foregut-midgut junction Strong Regionally restricted euxassay_000846_13
TS23: hindgut Strong Regionally restricted euxassay_000846_13

Specimen euxassay_000846_14: embryonic day 14.5 (more )
Structure Level Pattern Image Note
TS23: midgut Strong Regionally restricted euxassay_000846_14
TS23: hindgut Strong Regionally restricted euxassay_000846_14
TS23: foregut-midgut junction Strong Regionally restricted euxassay_000846_14

Specimen euxassay_000846_15: embryonic day 14.5 (more )
Structure Level Pattern Image Note
TS23: esophagus Strong Regionally restricted euxassay_000846_15
TS23: midgut Strong Regionally restricted euxassay_000846_15
TS23: hindgut Strong Regionally restricted euxassay_000846_15
TS23: foregut-midgut junction Strong Regionally restricted euxassay_000846_15

Specimen euxassay_000846_16: embryonic day 14.5 (more )
Structure Level Pattern Image Note
TS23: esophagus Strong Regionally restricted euxassay_000846_16
TS23: midgut Strong Regionally restricted euxassay_000846_16
TS23: hindgut Strong Regionally restricted euxassay_000846_16
TS23: foregut-midgut junction Strong Regionally restricted euxassay_000846_16

Specimen euxassay_000846_17: embryonic day 14.5 (more )
Structure Level Pattern Image Note
TS23: midgut Strong Regionally restricted euxassay_000846_17
TS23: foregut-midgut junction Strong Regionally restricted euxassay_000846_17
TS23: hindgut Strong Regionally restricted euxassay_000846_17

Specimen euxassay_000846_18: embryonic day 14.5 (more )
Structure Level Pattern Image Note
TS23: midgut Strong Regionally restricted euxassay_000846_18
TS23: foregut-midgut junction Strong Regionally restricted euxassay_000846_18

Specimen euxassay_000846_19: embryonic day 14.5 (more )
Structure Level Pattern Image Note
TS23: foregut-midgut junction Strong Regionally restricted euxassay_000846_19
TS23: midgut Strong Regionally restricted euxassay_000846_19

Specimen euxassay_000846_20: embryonic day 14.5 (more )
Structure Level Pattern Image Note
TS23: foregut-midgut junction Strong Regionally restricted euxassay_000846_20
TS23: midgut Strong Regionally restricted euxassay_000846_20

Specimen euxassay_000846_21: embryonic day 14.5 (more )
Structure Level Pattern Image Note
TS23: midgut Strong Regionally restricted euxassay_000846_21


Contributing Projects:
Mouse Genome Database (MGD), Gene Expression Database (GXD), Mouse Models of Human Cancer database (MMHCdb) (formerly Mouse Tumor Biology (MTB)), Gene Ontology (GO)
Citing These Resources
Funding Information
Warranty Disclaimer, Privacy Notice, Licensing, & Copyright
Send questions and comments to User Support.
last database update
01/06/2026
MGI 6.24
The Jackson Laboratory