About   Help   FAQ
Gene Expression Data
Assay Details
Assay
Reference: J:153498 Diez-Roux G, et al., A high-resolution anatomical atlas of the transcriptome in the mouse embryo. PLoS Biol. 2011;9(1):e1000582
Assay type: RNA in situ
MGI Accession ID: MGI:4823945
Gene symbol: Nat8f2
Gene name: N-acetyltransferase 8 (GCN5-related) family member 2
Probe: MGC clone 49548
Probe preparation: Antisense labelled with digoxigenin RNA
Visualized with: Alkaline phosphatase
Assay notes: Cryosections of fresh frozen material were fixed in 4% paraformaldehyde for 20 min. before further processing. A tyramide-biotin/streptavidin amplification step was included in the in situ hybridization procedure.
Results
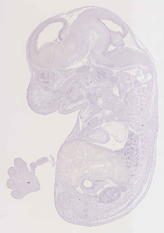
Specimen euxassay_006794_04: embryonic day 14.5 (more )
Structure Level Pattern Image Note
TS23: left lung Moderate Regionally restricted euxassay_006794_04

Specimen euxassay_006794_05: embryonic day 14.5 (more )
Structure Level Pattern Image Note
TS23: left lung Moderate Regionally restricted euxassay_006794_05

Specimen euxassay_006794_06: embryonic day 14.5 (more )
Structure Level Pattern Image Note
TS23: left lung Moderate Regionally restricted euxassay_006794_06

Specimen euxassay_006794_07: embryonic day 14.5 (more )
Structure Level Pattern Image Note
TS23: left lung Moderate Regionally restricted euxassay_006794_07
TS23: renal calyx Weak Regionally restricted euxassay_006794_07

Specimen euxassay_006794_08: embryonic day 14.5 (more )
Structure Level Pattern Image Note
TS23: left lung Moderate Regionally restricted euxassay_006794_08
TS23: renal calyx Weak Regionally restricted euxassay_006794_08

Specimen euxassay_006794_09: embryonic day 14.5 (more )
Structure Level Pattern Image Note
TS23: left lung Moderate Regionally restricted euxassay_006794_09
TS23: renal calyx Weak Regionally restricted euxassay_006794_09

Specimen euxassay_006794_10: embryonic day 14.5 (more )
Structure Level Pattern Image Note
TS23: left lung Moderate Regionally restricted euxassay_006794_10
TS23: renal calyx Weak Regionally restricted euxassay_006794_10

Specimen euxassay_006794_11: embryonic day 14.5 (more )
Structure Level Pattern Image Note
TS23: left lung Moderate Regionally restricted euxassay_006794_11
TS23: renal calyx Weak Regionally restricted euxassay_006794_11

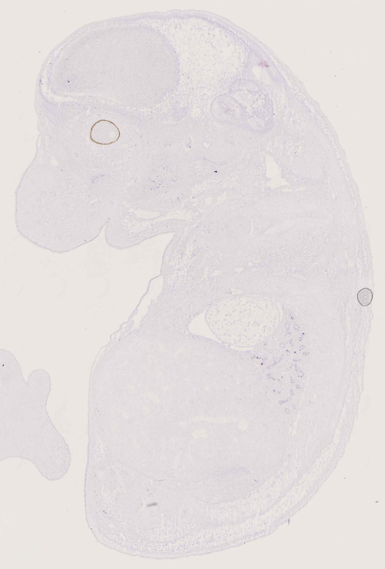
Specimen euxassay_006794_12: embryonic day 14.5 (more )
Structure Level Pattern Image Note
TS23: left lung Moderate Regionally restricted euxassay_006794_12
TS23: renal calyx Weak Regionally restricted euxassay_006794_12
TS23: adenohypophysis Weak Spotted euxassay_006794_12

Specimen euxassay_006794_13: embryonic day 14.5 (more )
Structure Level Pattern Image Note
TS23: left lung Moderate Regionally restricted euxassay_006794_13
TS23: adenohypophysis Weak Spotted euxassay_006794_13

Specimen euxassay_006794_14: embryonic day 14.5 (more )
Structure Level Pattern Image Note
TS23: left lung Moderate Regionally restricted euxassay_006794_14
TS23: adenohypophysis Weak Spotted euxassay_006794_14

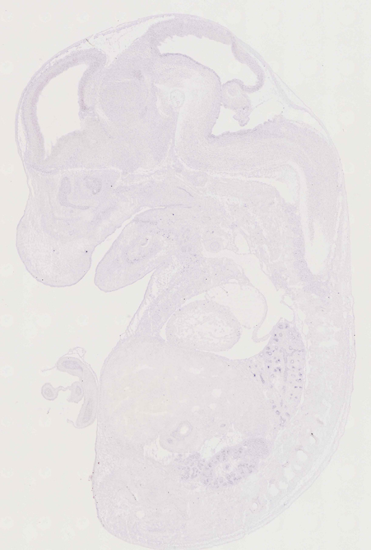
Specimen euxassay_006794_15: embryonic day 14.5 (more )
Structure Level Pattern Image Note
TS23: left lung Moderate Regionally restricted euxassay_006794_15
TS23: trachea epithelium Moderate Regionally restricted euxassay_006794_15
TS23: adenohypophysis Weak Spotted euxassay_006794_15

Specimen euxassay_006794_16: embryonic day 14.5 (more )
Structure Level Pattern Image Note
TS23: right lung Moderate Regionally restricted euxassay_006794_16
TS23: adenohypophysis Weak Spotted euxassay_006794_16

Specimen euxassay_006794_17: embryonic day 14.5 (more )
Structure Level Pattern Image Note
TS23: right lung Moderate Regionally restricted euxassay_006794_17
TS23: adenohypophysis Weak Spotted euxassay_006794_17

Specimen euxassay_006794_18: embryonic day 14.5 (more )
Structure Level Pattern Image Note
TS23: right lung Moderate Regionally restricted euxassay_006794_18

Specimen euxassay_006794_19: embryonic day 14.5 (more )
Structure Level Pattern Image Note
TS23: right lung Moderate Regionally restricted euxassay_006794_19
TS23: renal calyx Weak Regionally restricted euxassay_006794_19

Specimen euxassay_006794_20: embryonic day 14.5 (more )
Structure Level Pattern Image Note
TS23: right lung Moderate Regionally restricted euxassay_006794_20
TS23: renal calyx Weak Regionally restricted euxassay_006794_20

Specimen euxassay_006794_21: embryonic day 14.5 (more )
Structure Level Pattern Image Note
TS23: right lung Moderate Regionally restricted euxassay_006794_21
TS23: renal calyx Weak Regionally restricted euxassay_006794_21

Specimen euxassay_006794_22: embryonic day 14.5 (more )
Structure Level Pattern Image Note
TS23: right lung Moderate Regionally restricted euxassay_006794_22
TS23: renal calyx Moderate Regionally restricted euxassay_006794_22

Specimen euxassay_006794_23: embryonic day 14.5 (more )
Structure Level Pattern Image Note
TS23: right lung Moderate Regionally restricted euxassay_006794_23
TS23: renal calyx Moderate Regionally restricted euxassay_006794_23

Specimen euxassay_006794_24: embryonic day 14.5 (more )
Structure Level Pattern Image Note
TS23: right lung Moderate Regionally restricted euxassay_006794_24


Contributing Projects:
Mouse Genome Database (MGD), Gene Expression Database (GXD), Mouse Models of Human Cancer database (MMHCdb) (formerly Mouse Tumor Biology (MTB)), Gene Ontology (GO)
Citing These Resources
Funding Information
Warranty Disclaimer, Privacy Notice, Licensing, & Copyright
Send questions and comments to User Support.
last database update
01/06/2026
MGI 6.24
The Jackson Laboratory