About   Help   FAQ
Gene Expression Data
Assay Details
Assay
Reference: J:153498 Diez-Roux G, et al., A high-resolution anatomical atlas of the transcriptome in the mouse embryo. PLoS Biol. 2011;9(1):e1000582
Assay type: RNA in situ
MGI Accession ID: MGI:4823943
Gene symbol: Cmas
Gene name: cytidine monophospho-N-acetylneuraminic acid synthetase
Probe: MGC clone 70211
Probe preparation: Antisense labelled with digoxigenin RNA
Visualized with: Alkaline phosphatase
Assay notes: Cryosections of fresh frozen material were fixed in 4% paraformaldehyde for 20 min. before further processing. A tyramide-biotin/streptavidin amplification step was included in the in situ hybridization procedure.
Results
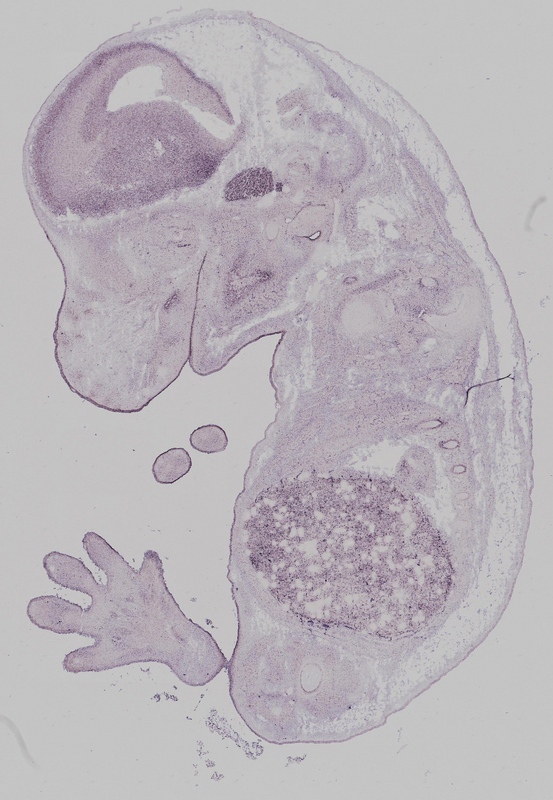
Specimen euxassay_002137_01: embryonic day 14.5 (more )
Structure Level Pattern Image Note
TS23: brain Moderate Uniform euxassay_002137_01
TS23: liver lobe Weak Uniform euxassay_002137_01

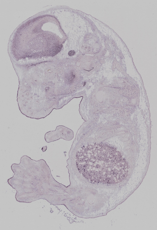
Specimen euxassay_002137_02: embryonic day 14.5 (more )
Structure Level Pattern Image Note
TS23: brain Moderate Uniform euxassay_002137_02
TS23: liver lobe Weak Uniform euxassay_002137_02

Specimen euxassay_002137_03: embryonic day 14.5 (more )
Structure Level Pattern Image Note
TS23: brain Moderate Uniform euxassay_002137_03
TS23: liver lobe Weak Uniform euxassay_002137_03

Specimen euxassay_002137_04: embryonic day 14.5 (more )
Structure Level Pattern Image Note
TS23: brain Moderate Uniform euxassay_002137_04
TS23: liver lobe Weak Uniform euxassay_002137_04

Specimen euxassay_002137_05: embryonic day 14.5 (more )
Structure Level Pattern Image Note
TS23: brain Moderate Uniform euxassay_002137_05
TS23: liver lobe Weak Uniform euxassay_002137_05

Specimen euxassay_002137_06: embryonic day 14.5 (more )
Structure Level Pattern Image Note
TS23: brain Weak Uniform euxassay_002137_06
TS23: spinal cord Weak Uniform euxassay_002137_06
TS23: liver lobe Weak Uniform euxassay_002137_06
TS23: dorsal root ganglion Moderate Regionally restricted euxassay_002137_06

Specimen euxassay_002137_07: embryonic day 14.5 (more )
Structure Level Pattern Image Note
TS23: spinal cord Weak Uniform euxassay_002137_07
TS23: brain Weak Uniform euxassay_002137_07
TS23: liver lobe Moderate Uniform euxassay_002137_07
TS23: dorsal root ganglion Moderate Regionally restricted euxassay_002137_07
TS23: cervico-thoracic ganglion Weak Regionally restricted euxassay_002137_07
TS23: cervical ganglion Weak Regionally restricted euxassay_002137_07

Specimen euxassay_002137_08: embryonic day 14.5 (more )
Structure Level Pattern Image Note
TS23: spinal cord Moderate Uniform euxassay_002137_08
TS23: brain Moderate Uniform euxassay_002137_08
TS23: liver lobe Moderate Uniform euxassay_002137_08
TS23: dorsal root ganglion Moderate Regionally restricted euxassay_002137_08

Specimen euxassay_002137_09: embryonic day 14.5 (more )
Structure Level Pattern Image Note
TS23: spinal cord Moderate Uniform euxassay_002137_09
TS23: brain Moderate Uniform euxassay_002137_09
TS23: liver lobe Weak Uniform euxassay_002137_09
TS23: dorsal root ganglion Moderate Regionally restricted euxassay_002137_09

Specimen euxassay_002137_10: embryonic day 14.5 (more )
Structure Level Pattern Image Note
TS23: spinal cord Moderate Uniform euxassay_002137_10
TS23: brain Moderate Uniform euxassay_002137_10
TS23: liver lobe Weak Uniform euxassay_002137_10
TS23: thoracic ganglion Weak Regionally restricted euxassay_002137_10

Specimen euxassay_002137_11: embryonic day 14.5 (more )
Structure Level Pattern Image Note
TS23: spinal cord Moderate Uniform euxassay_002137_11
TS23: brain Moderate Uniform euxassay_002137_11
TS23: liver lobe Moderate Regionally restricted euxassay_002137_11
TS23: thoracic ganglion Weak Regionally restricted euxassay_002137_11

Specimen euxassay_002137_12: embryonic day 14.5 (more )
Structure Level Pattern Image Note
TS23: spinal cord Moderate Uniform euxassay_002137_12
TS23: brain Moderate Uniform euxassay_002137_12
TS23: liver lobe Moderate Regionally restricted euxassay_002137_12
TS23: dorsal root ganglion Moderate Regionally restricted euxassay_002137_12
TS23: rectum Strong Regionally restricted euxassay_002137_12

Specimen euxassay_002137_13: embryonic day 14.5 (more )
Structure Level Pattern Image Note
TS23: spinal cord Moderate Uniform euxassay_002137_13
TS23: brain Moderate Uniform euxassay_002137_13
TS23: liver lobe Moderate Regionally restricted euxassay_002137_13
TS23: dorsal root ganglion Moderate Regionally restricted euxassay_002137_13
TS23: rectum Strong Regionally restricted euxassay_002137_13

Specimen euxassay_002137_14: embryonic day 14.5 (more )
Structure Level Pattern Image Note
TS23: brain Moderate Uniform euxassay_002137_14
TS23: liver lobe Moderate Regionally restricted euxassay_002137_14
TS23: dorsal root ganglion Moderate Regionally restricted euxassay_002137_14
TS23: cervico-thoracic ganglion Weak Regionally restricted euxassay_002137_14

Specimen euxassay_002137_15: embryonic day 14.5 (more )
Structure Level Pattern Image Note
TS23: brain Moderate Uniform euxassay_002137_15
TS23: liver lobe Moderate Regionally restricted euxassay_002137_15
TS23: dorsal root ganglion Moderate Regionally restricted euxassay_002137_15
TS23: cervical ganglion Weak Regionally restricted euxassay_002137_15

Specimen euxassay_002137_16: embryonic day 14.5 (more )
Structure Level Pattern Image Note
TS23: brain Moderate Uniform euxassay_002137_16
TS23: liver lobe Moderate Regionally restricted euxassay_002137_16

Specimen euxassay_002137_17: embryonic day 14.5 (more )
Structure Level Pattern Image Note
TS23: brain Moderate Uniform euxassay_002137_17
TS23: liver lobe Moderate Regionally restricted euxassay_002137_17

Specimen euxassay_002137_18: embryonic day 14.5 (more )
Structure Level Pattern Image Note
TS23: brain Moderate Uniform euxassay_002137_18
TS23: liver lobe Moderate Regionally restricted euxassay_002137_18

Specimen euxassay_002137_19: embryonic day 14.5 (more )
Structure Level Pattern Image Note
TS23: brain Moderate Uniform euxassay_002137_19
TS23: liver lobe Moderate Regionally restricted euxassay_002137_19

Specimen euxassay_002137_20: embryonic day 14.5 (more )
Structure Level Pattern Image Note
TS23: brain Moderate Uniform euxassay_002137_20
TS23: liver lobe Moderate Regionally restricted euxassay_002137_20

Specimen euxassay_002137_21: embryonic day 14.5 (more )
Structure Level Pattern Image Note
TS23: brain Moderate Uniform euxassay_002137_21
TS23: liver lobe Moderate Regionally restricted euxassay_002137_21

Specimen euxassay_002137_22: embryonic day 14.5 (more )
Structure Level Pattern Image Note
TS23: brain Moderate Uniform euxassay_002137_22
TS23: liver lobe Moderate Regionally restricted euxassay_002137_22

Specimen euxassay_002137_23: embryonic day 14.5 (more )
Structure Level Pattern Image Note
TS23: brain Moderate Uniform euxassay_002137_23
TS23: liver lobe Moderate Regionally restricted euxassay_002137_23


Contributing Projects:
Mouse Genome Database (MGD), Gene Expression Database (GXD), Mouse Models of Human Cancer database (MMHCdb) (formerly Mouse Tumor Biology (MTB)), Gene Ontology (GO)
Citing These Resources
Funding Information
Warranty Disclaimer, Privacy Notice, Licensing, & Copyright
Send questions and comments to User Support.
last database update
03/24/2026
MGI 6.24
The Jackson Laboratory