About   Help   FAQ
Gene Expression Data
Assay Details
Assay
Reference: J:153498 Diez-Roux G, et al., A high-resolution anatomical atlas of the transcriptome in the mouse embryo. PLoS Biol. 2011;9(1):e1000582
Assay type: RNA in situ
MGI Accession ID: MGI:4823940
Gene symbol: Cluap1
Gene name: clusterin associated protein 1
Probe: T31295
Probe preparation: Antisense labelled with digoxigenin RNA
Visualized with: Alkaline phosphatase
Assay notes: Cryosections of fresh frozen material were fixed in 4% paraformaldehyde for 20 min. before further processing. A tyramide-biotin/streptavidin amplification step was included in the in situ hybridization procedure.
Results
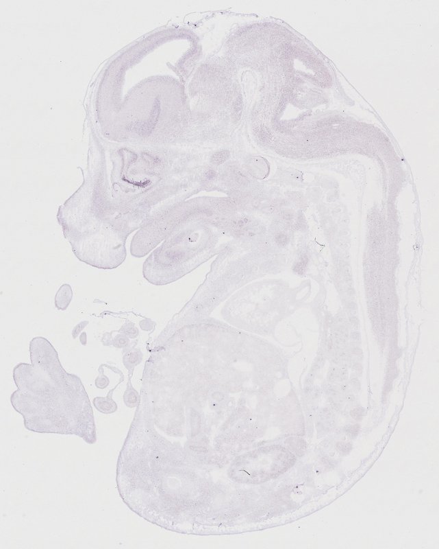
Specimen euxassay_012421_03: embryonic day 14.5 (more )
Structure Level Pattern Image Note
TS23: trigeminal ganglion Weak Regionally restricted euxassay_012421_03
TS23: facial ganglion Weak Regionally restricted euxassay_012421_03

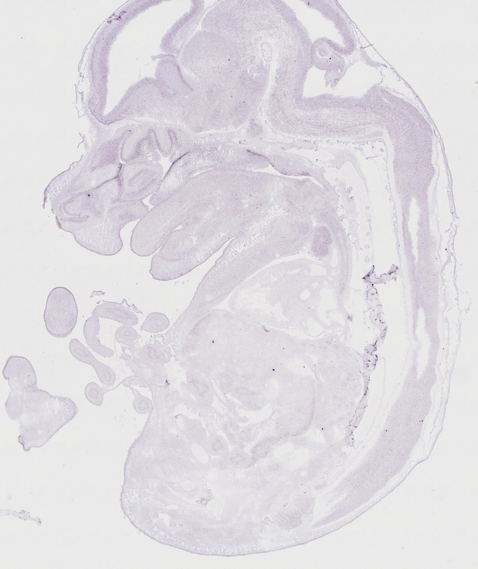
Specimen euxassay_012421_04: embryonic day 14.5 (more )
Structure Level Pattern Image Note
TS23: trigeminal ganglion Weak Regionally restricted euxassay_012421_04
TS23: facial ganglion Weak Regionally restricted euxassay_012421_04

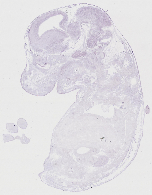
Specimen euxassay_012421_05: embryonic day 14.5 (more )
Structure Level Pattern Image Note
TS23: trigeminal ganglion Weak Regionally restricted euxassay_012421_05
TS23: facial ganglion Weak Regionally restricted euxassay_012421_05

Specimen euxassay_012421_06: embryonic day 14.5 (more )
Structure Level Pattern Image Note
TS23: trigeminal ganglion Weak Regionally restricted euxassay_012421_06

Specimen euxassay_012421_07: embryonic day 14.5 (more )
Structure Level Pattern Image Note
TS23: olfactory epithelium Weak Regionally restricted euxassay_012421_07
TS23: trigeminal ganglion Weak Regionally restricted euxassay_012421_07

Specimen euxassay_012421_08: embryonic day 14.5 (more )
Structure Level Pattern Image Note
TS23: olfactory epithelium Moderate Regionally restricted euxassay_012421_08
TS23: trigeminal ganglion Weak Regionally restricted euxassay_012421_08

Specimen euxassay_012421_09: embryonic day 14.5 (more )
Structure Level Pattern Image Note
TS23: olfactory epithelium Weak Regionally restricted euxassay_012421_09

Specimen euxassay_012421_10: embryonic day 14.5 (more )
Structure Level Pattern Image Note
TS23: olfactory epithelium Weak Regionally restricted euxassay_012421_10

Specimen euxassay_012421_11: embryonic day 14.5 (more )
Structure Level Pattern Image Note
TS23: olfactory epithelium Weak Regionally restricted euxassay_012421_11

Specimen euxassay_012421_12: embryonic day 14.5 (more )
Structure Level Pattern Image Note
TS23: thymus primordium Weak Regionally restricted euxassay_012421_12

Specimen euxassay_012421_13: embryonic day 14.5 (more )
Structure Level Pattern Image Note
TS23: olfactory epithelium Weak Regionally restricted euxassay_012421_13
TS23: thymus primordium Weak Regionally restricted euxassay_012421_13

Specimen euxassay_012421_14: embryonic day 14.5 (more )
Structure Level Pattern Image Note
TS23: thymus primordium Weak Regionally restricted euxassay_012421_14

Specimen euxassay_012421_15: embryonic day 14.5 (more )
Structure Level Pattern Image Note
TS23: thymus primordium Weak Regionally restricted euxassay_012421_15

Specimen euxassay_012421_16: embryonic day 14.5 (more )
Structure Level Pattern Image Note
TS23: olfactory epithelium Moderate Regionally restricted euxassay_012421_16
TS23: thymus primordium Weak Regionally restricted euxassay_012421_16

Specimen euxassay_012421_17: embryonic day 14.5 (more )
Structure Level Pattern Image Note
TS23: olfactory epithelium Moderate Regionally restricted euxassay_012421_17
TS23: trigeminal ganglion Weak Regionally restricted euxassay_012421_17

Specimen euxassay_012421_18: embryonic day 14.5 (more )
Structure Level Pattern Image Note
TS23: trigeminal ganglion Weak Regionally restricted euxassay_012421_18

Specimen euxassay_012421_19: embryonic day 14.5 (more )
Structure Level Pattern Image Note
TS23: trigeminal ganglion Weak Regionally restricted euxassay_012421_19
TS23: facial ganglion Weak Regionally restricted euxassay_012421_19

Specimen euxassay_012421_20: embryonic day 14.5 (more )
Structure Level Pattern Image Note
TS23: trigeminal ganglion Weak Regionally restricted euxassay_012421_20
TS23: facial ganglion Weak Regionally restricted euxassay_012421_20

Specimen euxassay_012421_21: embryonic day 14.5 (more )
Structure Level Pattern Image Note
TS23: trigeminal ganglion Weak Regionally restricted euxassay_012421_21
TS23: facial ganglion Weak Regionally restricted euxassay_012421_21


Contributing Projects:
Mouse Genome Database (MGD), Gene Expression Database (GXD), Mouse Models of Human Cancer database (MMHCdb) (formerly Mouse Tumor Biology (MTB)), Gene Ontology (GO)
Citing These Resources
Funding Information
Warranty Disclaimer, Privacy Notice, Licensing, & Copyright
Send questions and comments to User Support.
last database update
01/28/2026
MGI 6.24
The Jackson Laboratory