About   Help   FAQ
Gene Expression Data
Assay Details
Assay
Reference: J:153498 Diez-Roux G, et al., A high-resolution anatomical atlas of the transcriptome in the mouse embryo. PLoS Biol. 2011;9(1):e1000582
Assay type: RNA in situ
MGI Accession ID: MGI:4823927
Gene symbol: Clint1
Gene name: clathrin interactor 1
Probe: T37550
Probe preparation: Antisense labelled with digoxigenin RNA
Visualized with: Alkaline phosphatase
Assay notes: Cryosections of fresh frozen material were fixed in 4% paraformaldehyde for 20 min. before further processing. A tyramide-biotin/streptavidin amplification step was included in the in situ hybridization procedure.
Results
Specimen euxassay_011314_01: embryonic day 14.5 (more )
Structure Level Pattern Image Note
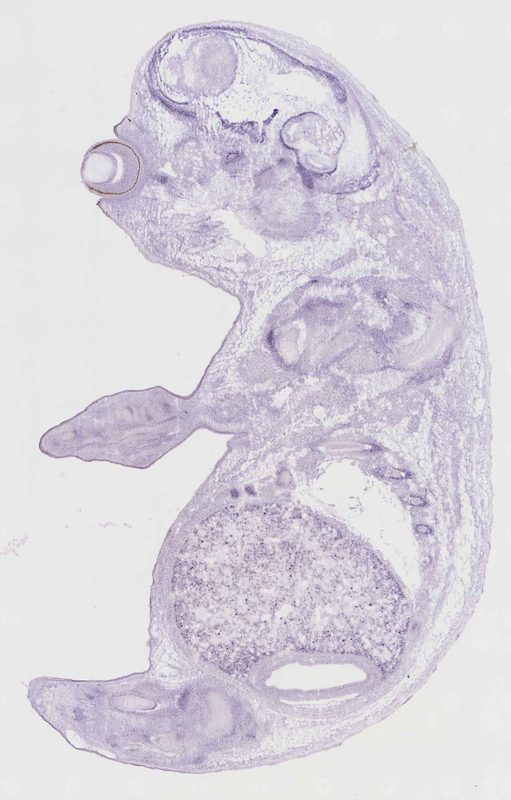
TS23: rib Moderate Regionally restricted euxassay_011314_01
TS23: liver Strong Regionally restricted euxassay_011314_01

Specimen euxassay_011314_02: embryonic day 14.5 (more )
Structure Level Pattern Image Note
TS23: basioccipital bone Strong Regionally restricted euxassay_011314_02
TS23: vault of skull Strong Regionally restricted euxassay_011314_02
TS23: temporal bone Strong Regionally restricted euxassay_011314_02
TS23: orbito-sphenoid Strong Regionally restricted euxassay_011314_02
TS23: rib Moderate Regionally restricted euxassay_011314_02
TS23: liver Strong Regionally restricted euxassay_011314_02

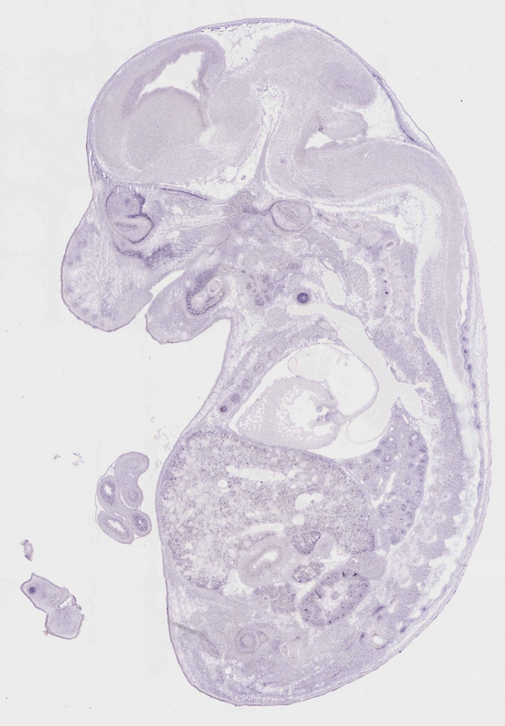
Specimen euxassay_011314_03: embryonic day 14.5 (more )
Structure Level Pattern Image Note
TS23: orbito-sphenoid Strong Regionally restricted euxassay_011314_03
TS23: basioccipital bone Strong Regionally restricted euxassay_011314_03
TS23: vault of skull Strong Regionally restricted euxassay_011314_03
TS23: temporal bone petrous part Strong Regionally restricted euxassay_011314_03
TS23: rib Moderate Regionally restricted euxassay_011314_03
TS23: liver Strong Regionally restricted euxassay_011314_03

Specimen euxassay_011314_04: embryonic day 14.5 (more )
Structure Level Pattern Image Note
TS23: basioccipital bone Strong Regionally restricted euxassay_011314_04
TS23: temporal bone petrous part Strong Regionally restricted euxassay_011314_04
TS23: vault of skull Strong Regionally restricted euxassay_011314_04
TS23: orbito-sphenoid Strong Regionally restricted euxassay_011314_04
TS23: rib Moderate Regionally restricted euxassay_011314_04
TS23: liver Moderate Regionally restricted euxassay_011314_04

Specimen euxassay_011314_05: embryonic day 14.5 (more )
Structure Level Pattern Image Note
TS23: basioccipital bone Strong Regionally restricted euxassay_011314_05
TS23: temporal bone petrous part Strong Regionally restricted euxassay_011314_05
TS23: vault of skull Strong Regionally restricted euxassay_011314_05
TS23: orbito-sphenoid Strong Regionally restricted euxassay_011314_05
TS23: mandible Strong Regionally restricted euxassay_011314_05
TS23: rib Strong Regionally restricted euxassay_011314_05
TS23: liver Strong Regionally restricted euxassay_011314_05

Specimen euxassay_011314_06: embryonic day 14.5 (more )
Structure Level Pattern Image Note
TS23: basioccipital bone Strong Regionally restricted euxassay_011314_06
TS23: orbito-sphenoid Strong Regionally restricted euxassay_011314_06
TS23: temporal bone petrous part Strong Regionally restricted euxassay_011314_06
TS23: mandible Strong Regionally restricted euxassay_011314_06
TS23: rib Strong Regionally restricted euxassay_011314_06
TS23: liver Strong Regionally restricted euxassay_011314_06
TS23: renal cortex Strong Regionally restricted euxassay_011314_06

Specimen euxassay_011314_07: embryonic day 14.5 (more )
Structure Level Pattern Image Note
TS23: temporal bone petrous part Strong Regionally restricted euxassay_011314_07
TS23: basioccipital bone Strong Regionally restricted euxassay_011314_07
TS23: orbito-sphenoid Strong Regionally restricted euxassay_011314_07
TS23: mandible Strong Regionally restricted euxassay_011314_07
TS23: maxilla Strong Regionally restricted euxassay_011314_07
TS23: rib Moderate Regionally restricted euxassay_011314_07
TS23: liver Strong Regionally restricted euxassay_011314_07
TS23: renal cortex Strong Regionally restricted euxassay_011314_07

Specimen euxassay_011314_08: embryonic day 14.5 (more )
Structure Level Pattern Image Note
TS23: basioccipital bone Strong Regionally restricted euxassay_011314_08
TS23: orbito-sphenoid Strong Regionally restricted euxassay_011314_08
TS23: otic capsule Strong Regionally restricted euxassay_011314_08
TS23: mandible Strong Regionally restricted euxassay_011314_08
TS23: maxilla Strong Regionally restricted euxassay_011314_08
TS23: rib Moderate Regionally restricted euxassay_011314_08
TS23: liver Moderate Regionally restricted euxassay_011314_08
TS23: renal cortex Strong Regionally restricted euxassay_011314_08
TS23: submandibular gland primordium Strong Regionally restricted euxassay_011314_08

Specimen euxassay_011314_09: embryonic day 14.5 (more )
Structure Level Pattern Image Note
TS23: basioccipital bone Strong Regionally restricted euxassay_011314_09
TS23: orbito-sphenoid Strong Regionally restricted euxassay_011314_09
TS23: otic capsule Strong Regionally restricted euxassay_011314_09
TS23: mandible Strong Regionally restricted euxassay_011314_09
TS23: maxilla Strong Regionally restricted euxassay_011314_09
TS23: rib Moderate Regionally restricted euxassay_011314_09
TS23: clavicle Moderate Regionally restricted euxassay_011314_09
TS23: liver Strong Regionally restricted euxassay_011314_09
TS23: renal cortex Strong Regionally restricted euxassay_011314_09
TS23: submandibular gland primordium Strong Regionally restricted euxassay_011314_09

Specimen euxassay_011314_10: embryonic day 14.5 (more )
Structure Level Pattern Image Note
TS23: basioccipital bone Strong Regionally restricted euxassay_011314_10
TS23: orbito-sphenoid Strong Regionally restricted euxassay_011314_10
TS23: otic capsule Strong Regionally restricted euxassay_011314_10
TS23: mandible Strong Regionally restricted euxassay_011314_10
TS23: maxilla Strong Regionally restricted euxassay_011314_10
TS23: turbinate bone primordium Strong Regionally restricted euxassay_011314_10
TS23: clavicle Strong Regionally restricted euxassay_011314_10
TS23: rib Moderate Regionally restricted euxassay_011314_10
TS23: liver Strong Regionally restricted euxassay_011314_10
TS23: renal cortex Strong Regionally restricted euxassay_011314_10
TS23: midgut Moderate Regionally restricted euxassay_011314_10

Specimen euxassay_011314_11: embryonic day 14.5 (more )
Structure Level Pattern Image Note
TS23: basioccipital bone Strong Regionally restricted euxassay_011314_11
TS23: orbito-sphenoid Strong Regionally restricted euxassay_011314_11
TS23: otic capsule Strong Regionally restricted euxassay_011314_11
TS23: mandible Strong Regionally restricted euxassay_011314_11
TS23: maxilla Strong Regionally restricted euxassay_011314_11
TS23: turbinate bone primordium Strong Regionally restricted euxassay_011314_11
TS23: clavicle Strong Regionally restricted euxassay_011314_11
TS23: rib Strong Regionally restricted euxassay_011314_11
TS23: liver Strong Regionally restricted euxassay_011314_11
TS23: renal cortex Strong Regionally restricted euxassay_011314_11
TS23: sublingual gland primordium Strong Regionally restricted euxassay_011314_11
TS23: heart valve Weak Regionally restricted euxassay_011314_11
TS23: midgut Moderate Regionally restricted euxassay_011314_11

Specimen euxassay_011314_12: embryonic day 14.5 (more )
Structure Level Pattern Image Note
TS23: basioccipital bone Strong Regionally restricted euxassay_011314_12
TS23: orbito-sphenoid Strong Regionally restricted euxassay_011314_12
TS23: mandible Strong Regionally restricted euxassay_011314_12
TS23: turbinate bone primordium Strong Regionally restricted euxassay_011314_12
TS23: clavicle Strong Regionally restricted euxassay_011314_12
TS23: liver Strong Regionally restricted euxassay_011314_12
TS23: heart valve Weak Regionally restricted euxassay_011314_12
TS23: midgut Moderate Regionally restricted euxassay_011314_12

Specimen euxassay_011314_13: embryonic day 14.5 (more )
Structure Level Pattern Image Note
TS23: basioccipital bone Strong Regionally restricted euxassay_011314_13
TS23: mandible Strong Regionally restricted euxassay_011314_13
TS23: naris Strong Regionally restricted euxassay_011314_13
TS23: turbinate bone primordium Strong Regionally restricted euxassay_011314_13
TS23: sternum Strong Regionally restricted euxassay_011314_13
TS23: liver Strong Regionally restricted euxassay_011314_13
TS23: heart valve Moderate Regionally restricted euxassay_011314_13
TS23: midgut Strong Regionally restricted euxassay_011314_13

Specimen euxassay_011314_14: embryonic day 14.5 (more )
Structure Level Pattern Image Note
TS23: basioccipital bone Strong Regionally restricted euxassay_011314_14
TS23: basisphenoid bone Strong Regionally restricted euxassay_011314_14
TS23: naris Strong Regionally restricted euxassay_011314_14
TS23: thyroid cartilage Strong Regionally restricted euxassay_011314_14
TS23: sternum Strong Regionally restricted euxassay_011314_14
TS23: liver Strong Regionally restricted euxassay_011314_14
TS23: heart valve Moderate Regionally restricted euxassay_011314_14
TS23: midgut Strong Regionally restricted euxassay_011314_14

Specimen euxassay_011314_15: embryonic day 14.5 (more )
Structure Level Pattern Image Note
TS23: basioccipital bone Strong Regionally restricted euxassay_011314_15
TS23: mandible Strong Regionally restricted euxassay_011314_15
TS23: naris Strong Regionally restricted euxassay_011314_15
TS23: thyroid cartilage Strong Regionally restricted euxassay_011314_15
TS23: cricoid cartilage Strong Regionally restricted euxassay_011314_15
TS23: sternum Strong Regionally restricted euxassay_011314_15
TS23: liver Strong Regionally restricted euxassay_011314_15
TS23: midgut Strong Regionally restricted euxassay_011314_15
TS23: rectum Strong Regionally restricted euxassay_011314_15

Specimen euxassay_011314_16: embryonic day 14.5 (more )
Structure Level Pattern Image Note
TS23: basioccipital bone Strong Regionally restricted euxassay_011314_16
TS23: naris Strong Regionally restricted euxassay_011314_16
TS23: thyroid cartilage Strong Regionally restricted euxassay_011314_16
TS23: sternum Strong Regionally restricted euxassay_011314_16
TS23: liver Strong Regionally restricted euxassay_011314_16
TS23: midgut Strong Regionally restricted euxassay_011314_16

Specimen euxassay_011314_17: embryonic day 14.5 (more )
Structure Level Pattern Image Note
TS23: basioccipital bone Strong Regionally restricted euxassay_011314_17
TS23: mandible Strong Regionally restricted euxassay_011314_17
TS23: naris Strong Regionally restricted euxassay_011314_17
TS23: turbinate bone primordium Strong Regionally restricted euxassay_011314_17
TS23: rib Strong Regionally restricted euxassay_011314_17
TS23: sternum Strong Regionally restricted euxassay_011314_17
TS23: liver Strong Regionally restricted euxassay_011314_17
TS23: midgut Strong Regionally restricted euxassay_011314_17

Specimen euxassay_011314_18: embryonic day 14.5 (more )
Structure Level Pattern Image Note
TS23: basioccipital bone Strong Regionally restricted euxassay_011314_18
TS23: otic capsule Strong Regionally restricted euxassay_011314_18
TS23: mandible Strong Regionally restricted euxassay_011314_18
TS23: naris Strong Regionally restricted euxassay_011314_18
TS23: turbinate bone primordium Strong Regionally restricted euxassay_011314_18
TS23: clavicle Strong Regionally restricted euxassay_011314_18
TS23: rib Strong Regionally restricted euxassay_011314_18
TS23: liver Strong Regionally restricted euxassay_011314_18
TS23: renal cortex Strong Regionally restricted euxassay_011314_18
TS23: sublingual gland primordium Strong Regionally restricted euxassay_011314_18
TS23: midgut Strong Regionally restricted euxassay_011314_18

Specimen euxassay_011314_19: embryonic day 14.5 (more )
Structure Level Pattern Image Note
TS23: basioccipital bone Strong Regionally restricted euxassay_011314_19
TS23: otic capsule Strong Regionally restricted euxassay_011314_19
TS23: mandible Strong Regionally restricted euxassay_011314_19
TS23: turbinate bone primordium Strong Regionally restricted euxassay_011314_19
TS23: naris Strong Regionally restricted euxassay_011314_19
TS23: clavicle Strong Regionally restricted euxassay_011314_19
TS23: rib Moderate Regionally restricted euxassay_011314_19
TS23: liver Strong Regionally restricted euxassay_011314_19
TS23: renal cortex Strong Regionally restricted euxassay_011314_19
TS23: submandibular gland primordium Strong Regionally restricted euxassay_011314_19
TS23: midgut Strong Regionally restricted euxassay_011314_19

Specimen euxassay_011314_20: embryonic day 14.5 (more )
Structure Level Pattern Image Note
TS23: basioccipital bone Strong Regionally restricted euxassay_011314_20
TS23: mandible Strong Regionally restricted euxassay_011314_20
TS23: maxilla Strong Regionally restricted euxassay_011314_20
TS23: turbinate bone primordium Strong Regionally restricted euxassay_011314_20
TS23: rib Weak Regionally restricted euxassay_011314_20
TS23: liver Strong Regionally restricted euxassay_011314_20
TS23: renal cortex Strong Regionally restricted euxassay_011314_20
TS23: submandibular gland primordium Strong Regionally restricted euxassay_011314_20
TS23: midgut Strong Regionally restricted euxassay_011314_20

Specimen euxassay_011314_21: embryonic day 14.5 (more )
Structure Level Pattern Image Note
TS23: basioccipital bone Strong Regionally restricted euxassay_011314_21
TS23: temporal bone petrous part Strong Regionally restricted euxassay_011314_21
TS23: orbito-sphenoid Strong Regionally restricted euxassay_011314_21
TS23: mandible Strong Regionally restricted euxassay_011314_21
TS23: maxilla Strong Regionally restricted euxassay_011314_21
TS23: turbinate bone primordium Strong Regionally restricted euxassay_011314_21
TS23: rib Moderate Regionally restricted euxassay_011314_21
TS23: liver Strong Regionally restricted euxassay_011314_21
TS23: renal cortex Strong Regionally restricted euxassay_011314_21
TS23: submandibular gland primordium Strong Regionally restricted euxassay_011314_21
TS23: midgut Strong Regionally restricted euxassay_011314_21

Specimen euxassay_011314_22: embryonic day 14.5 (more )
Structure Level Pattern Image Note
TS23: basioccipital bone Strong Regionally restricted euxassay_011314_22
TS23: temporal bone petrous part Strong Regionally restricted euxassay_011314_22
TS23: orbito-sphenoid Strong Regionally restricted euxassay_011314_22
TS23: mandible Strong Regionally restricted euxassay_011314_22
TS23: maxilla Strong Regionally restricted euxassay_011314_22
TS23: turbinate bone primordium Strong Regionally restricted euxassay_011314_22
TS23: rib Moderate Regionally restricted euxassay_011314_22
TS23: liver Strong Regionally restricted euxassay_011314_22
TS23: renal cortex Strong Regionally restricted euxassay_011314_22

Specimen euxassay_011314_23: embryonic day 14.5 (more )
Structure Level Pattern Image Note
TS23: basioccipital bone Strong Regionally restricted euxassay_011314_23
TS23: temporal bone petrous part Strong Regionally restricted euxassay_011314_23
TS23: orbito-sphenoid Strong Regionally restricted euxassay_011314_23
TS23: mandible Strong Regionally restricted euxassay_011314_23
TS23: maxilla Strong Regionally restricted euxassay_011314_23
TS23: rib Moderate Regionally restricted euxassay_011314_23
TS23: liver Strong Regionally restricted euxassay_011314_23
TS23: renal cortex Strong Regionally restricted euxassay_011314_23

Specimen euxassay_011314_24: embryonic day 14.5 (more )
Structure Level Pattern Image Note
TS23: basioccipital bone Strong Regionally restricted euxassay_011314_24
TS23: temporal bone petrous part Strong Regionally restricted euxassay_011314_24
TS23: orbito-sphenoid Strong Regionally restricted euxassay_011314_24
TS23: mandible Moderate Regionally restricted euxassay_011314_24
TS23: maxilla Moderate Regionally restricted euxassay_011314_24
TS23: liver Strong Regionally restricted euxassay_011314_24


Contributing Projects:
Mouse Genome Database (MGD), Gene Expression Database (GXD), Mouse Models of Human Cancer database (MMHCdb) (formerly Mouse Tumor Biology (MTB)), Gene Ontology (GO)
Citing These Resources
Funding Information
Warranty Disclaimer, Privacy Notice, Licensing, & Copyright
Send questions and comments to User Support.
last database update
01/20/2026
MGI 6.24
The Jackson Laboratory