About   Help   FAQ
Gene Expression Data
Assay Details
Assay
Reference: J:153498 Diez-Roux G, et al., A high-resolution anatomical atlas of the transcriptome in the mouse embryo. PLoS Biol. 2011;9(1):e1000582
Assay type: RNA in situ
MGI Accession ID: MGI:4823920
Gene symbol: Clec1a
Gene name: C-type lectin domain family 1, member a
Probe: MGC clone 60749
Probe preparation: Antisense labelled with digoxigenin RNA
Visualized with: Alkaline phosphatase
Assay notes: Cryosections of fresh frozen material were fixed in 4% paraformaldehyde for 20 min. before further processing. A tyramide-biotin/streptavidin amplification step was included in the in situ hybridization procedure.
Results
Specimen euxassay_006533_02: embryonic day 14.5 (more )
Structure Level Pattern Image Note
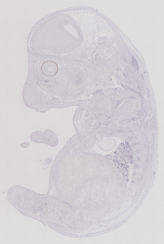
TS23: stomach Weak Regionally restricted euxassay_006533_02

Specimen euxassay_006533_03: embryonic day 14.5 (more )
Structure Level Pattern Image Note
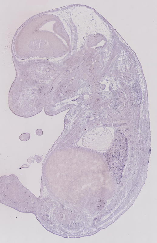
TS23: lung Moderate Regionally restricted euxassay_006533_03
TS23: stomach Weak Regionally restricted euxassay_006533_03

Specimen euxassay_006533_04: embryonic day 14.5 (more )
Structure Level Pattern Image Note
TS23: lung Moderate Regionally restricted euxassay_006533_04
TS23: stomach Weak Regionally restricted euxassay_006533_04

Specimen euxassay_006533_05: embryonic day 14.5 (more )
Structure Level Pattern Image Note
TS23: lung Moderate Regionally restricted euxassay_006533_05
TS23: stomach Weak Regionally restricted euxassay_006533_05

Specimen euxassay_006533_06: embryonic day 14.5 (more )
Structure Level Pattern Image Note
TS23: lung Moderate Regionally restricted euxassay_006533_06
TS23: heart ventricle Moderate Regionally restricted euxassay_006533_06
TS23: stomach Weak Regionally restricted euxassay_006533_06
TS23: midgut Weak Regionally restricted euxassay_006533_06

Specimen euxassay_006533_07: embryonic day 14.5 (more )
Structure Level Pattern Image Note
TS23: lung Moderate Regionally restricted euxassay_006533_07
TS23: heart ventricle Moderate Regionally restricted euxassay_006533_07
TS23: stomach Weak Regionally restricted euxassay_006533_07
TS23: midgut Weak Regionally restricted euxassay_006533_07
TS23: metanephros Moderate Regionally restricted euxassay_006533_07

Specimen euxassay_006533_08: embryonic day 14.5 (more )
Structure Level Pattern Image Note
TS23: lung Moderate Regionally restricted euxassay_006533_08
TS23: heart ventricle Moderate Regionally restricted euxassay_006533_08
TS23: stomach Weak Regionally restricted euxassay_006533_08
TS23: midgut Weak Regionally restricted euxassay_006533_08
TS23: metanephros Moderate Regionally restricted euxassay_006533_08

Specimen euxassay_006533_09: embryonic day 14.5 (more )
Structure Level Pattern Image Note
TS23: lung Moderate Regionally restricted euxassay_006533_09
TS23: heart ventricle Moderate Regionally restricted euxassay_006533_09
TS23: midgut Weak Regionally restricted euxassay_006533_09
TS23: metanephros Moderate Regionally restricted euxassay_006533_09
TS23: adrenal gland Weak Regionally restricted euxassay_006533_09

Specimen euxassay_006533_10: embryonic day 14.5 (more )
Structure Level Pattern Image Note
TS23: lung Moderate Regionally restricted euxassay_006533_10
TS23: heart ventricle Moderate Regionally restricted euxassay_006533_10
TS23: midgut Weak Regionally restricted euxassay_006533_10
TS23: metanephros Moderate Regionally restricted euxassay_006533_10
TS23: adrenal gland Weak Regionally restricted euxassay_006533_10
TS23: midbrain mantle layer Moderate Regionally restricted euxassay_006533_10
TS23: diencephalon lateral wall mantle layer Moderate Regionally restricted euxassay_006533_10

Specimen euxassay_006533_11: embryonic day 14.5 (more )
Structure Level Pattern Image Note
TS23: lung Moderate Regionally restricted euxassay_006533_11
TS23: heart ventricle Moderate Regionally restricted euxassay_006533_11
TS23: midgut Weak Regionally restricted euxassay_006533_11
TS23: metanephros Moderate Regionally restricted euxassay_006533_11
TS23: adrenal gland Weak Regionally restricted euxassay_006533_11
TS23: midbrain mantle layer Weak Regionally restricted euxassay_006533_11

Specimen euxassay_006533_12: embryonic day 14.5 (more )
Structure Level Pattern Image Note
TS23: lung Moderate Regionally restricted euxassay_006533_12
TS23: heart ventricle Moderate Regionally restricted euxassay_006533_12
TS23: midgut Weak Regionally restricted euxassay_006533_12

Specimen euxassay_006533_13: embryonic day 14.5 (more )
Structure Level Pattern Image Note
TS23: lung Moderate Regionally restricted euxassay_006533_13
TS23: heart ventricle Moderate Regionally restricted euxassay_006533_13
TS23: midgut Weak Regionally restricted euxassay_006533_13
TS23: hindgut Weak Regionally restricted euxassay_006533_13

Specimen euxassay_006533_14: embryonic day 14.5 (more )
Structure Level Pattern Image Note
TS23: lung Moderate Regionally restricted euxassay_006533_14
TS23: heart ventricle Moderate Regionally restricted euxassay_006533_14
TS23: midgut Weak Regionally restricted euxassay_006533_14

Specimen euxassay_006533_15: embryonic day 14.5 (more )
Structure Level Pattern Image Note
TS23: lung Moderate Regionally restricted euxassay_006533_15
TS23: heart ventricle Moderate Regionally restricted euxassay_006533_15
TS23: midbrain mantle layer Moderate Regionally restricted euxassay_006533_15
TS23: diencephalon lateral wall mantle layer Moderate Regionally restricted euxassay_006533_15

Specimen euxassay_006533_16: embryonic day 14.5 (more )
Structure Level Pattern Image Note
TS23: lung Moderate Regionally restricted euxassay_006533_16
TS23: heart ventricle Moderate Regionally restricted euxassay_006533_16
TS23: midgut Weak Regionally restricted euxassay_006533_16
TS23: metanephros Moderate Regionally restricted euxassay_006533_16

Specimen euxassay_006533_17: embryonic day 14.5 (more )
Structure Level Pattern Image Note
TS23: lung Moderate Regionally restricted euxassay_006533_17
TS23: midgut Weak Regionally restricted euxassay_006533_17
TS23: metanephros Moderate Regionally restricted euxassay_006533_17
TS23: adrenal gland Weak Regionally restricted euxassay_006533_17

Specimen euxassay_006533_18: embryonic day 14.5 (more )
Structure Level Pattern Image Note
TS23: lung Moderate Regionally restricted euxassay_006533_18
TS23: midgut Weak Regionally restricted euxassay_006533_18
TS23: metanephros Moderate Regionally restricted euxassay_006533_18
TS23: adrenal gland Weak Regionally restricted euxassay_006533_18

Specimen euxassay_006533_19: embryonic day 14.5 (more )
Structure Level Pattern Image Note
TS23: lung Moderate Regionally restricted euxassay_006533_19
TS23: midgut Weak Regionally restricted euxassay_006533_19
TS23: metanephros Moderate Regionally restricted euxassay_006533_19
TS23: adrenal gland Weak Regionally restricted euxassay_006533_19

Specimen euxassay_006533_20: embryonic day 14.5 (more )
Structure Level Pattern Image Note
TS23: lung Moderate Regionally restricted euxassay_006533_20
TS23: metanephros Moderate Regionally restricted euxassay_006533_20
TS23: adrenal gland Weak Regionally restricted euxassay_006533_20

Specimen euxassay_006533_21: embryonic day 14.5 (more )
Structure Level Pattern Image Note
TS23: lung Moderate Regionally restricted euxassay_006533_21
TS23: metanephros Moderate Regionally restricted euxassay_006533_21

Specimen euxassay_006533_22: embryonic day 14.5 (more )
Structure Level Pattern Image Note
TS23: lung Moderate Regionally restricted euxassay_006533_22

Specimen euxassay_006533_23: embryonic day 14.5 (more )
Structure Level Pattern Image Note
TS23: lung Moderate Regionally restricted euxassay_006533_23

Specimen euxassay_006533_24: embryonic day 14.5 (more )
Structure Level Pattern Image Note
TS23: lung Moderate Regionally restricted euxassay_006533_24


Contributing Projects:
Mouse Genome Database (MGD), Gene Expression Database (GXD), Mouse Models of Human Cancer database (MMHCdb) (formerly Mouse Tumor Biology (MTB)), Gene Ontology (GO)
Citing These Resources
Funding Information
Warranty Disclaimer, Privacy Notice, Licensing, & Copyright
Send questions and comments to User Support.
last database update
01/06/2026
MGI 6.24
The Jackson Laboratory