About   Help   FAQ
Gene Expression Data
Assay Details
Assay
Reference: J:153498 Diez-Roux G, et al., A high-resolution anatomical atlas of the transcriptome in the mouse embryo. PLoS Biol. 2011;9(1):e1000582
Assay type: RNA in situ
MGI Accession ID: MGI:4823888
Gene symbol: Ckb
Gene name: creatine kinase, brain
Probe: T30969
Probe preparation: Antisense labelled with digoxigenin RNA
Visualized with: Alkaline phosphatase
Assay notes: Cryosections of fresh frozen material were fixed in 4% paraformaldehyde for 20 min. before further processing. A tyramide-biotin/streptavidin amplification step was included in the in situ hybridization procedure.
Results
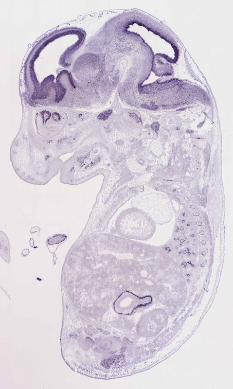
Specimen euxassay_011493_01: embryonic day 14.5 (more )
Note: Additional information for this specimen was included in the Eurexpress data submission file.
Structure Level Pattern Image Note
TS23: neural retina Strong Uniform euxassay_011493_01
TS23: stomach Strong Regionally restricted euxassay_011493_01 smooth muscle
TS23: smooth muscle tissue Present euxassay_011493_01
TS23: vertebral axis musculature Weak Regionally restricted euxassay_011493_01
TS23: telencephalon ventricular layer Strong Uniform euxassay_011493_01
TS23: telencephalon mantle layer Strong Single cells euxassay_011493_01

Specimen euxassay_011493_02: embryonic day 14.5 (more )
Note: Additional information for this specimen was included in the Eurexpress data submission file.
Structure Level Pattern Image Note
TS23: neural retina Strong Uniform euxassay_011493_02
TS23: stomach Strong Regionally restricted euxassay_011493_02 smooth muscle
TS23: smooth muscle tissue Present euxassay_011493_02
TS23: vertebral axis musculature Weak Regionally restricted euxassay_011493_02
TS23: telencephalon ventricular layer Strong Uniform euxassay_011493_02
TS23: telencephalon mantle layer Strong Single cells euxassay_011493_02

Specimen euxassay_011493_03: embryonic day 14.5 (more )
Note: Additional information for this specimen was included in the Eurexpress data submission file.
Structure Level Pattern Image Note
TS23: neural retina Strong Uniform euxassay_011493_03
TS23: trigeminal ganglion Strong Regionally restricted euxassay_011493_03
TS23: stomach Strong Regionally restricted euxassay_011493_03 smooth muscle
TS23: smooth muscle tissue Present euxassay_011493_03
TS23: vertebral axis musculature Weak Regionally restricted euxassay_011493_03
TS23: telencephalon ventricular layer Strong Uniform euxassay_011493_03
TS23: rest of cerebellum ventricular layer Strong Uniform euxassay_011493_03
TS23: telencephalon mantle layer Strong Single cells euxassay_011493_03

Specimen euxassay_011493_04: embryonic day 14.5 (more )
Note: Additional information for this specimen was included in the Eurexpress data submission file.
Structure Level Pattern Image Note
TS23: neural retina Strong Uniform euxassay_011493_04
TS23: trigeminal ganglion Strong Regionally restricted euxassay_011493_04
TS23: facial ganglion Strong Regionally restricted euxassay_011493_04
TS23: stomach Strong Regionally restricted euxassay_011493_04 smooth muscle
TS23: smooth muscle tissue Present euxassay_011493_04
TS23: lung Moderate Regionally restricted euxassay_011493_04
TS23: mandible Strong Single cells euxassay_011493_04
TS23: vertebral axis musculature Weak Regionally restricted euxassay_011493_04
TS23: rest of cerebellum ventricular layer Strong Uniform euxassay_011493_04
TS23: telencephalon ventricular layer Strong Uniform euxassay_011493_04
TS23: telencephalon mantle layer Strong Single cells euxassay_011493_04

Specimen euxassay_011493_05: embryonic day 14.5 (more )
Note: Additional information for this specimen was included in the Eurexpress data submission file.
Structure Level Pattern Image Note
TS23: trigeminal ganglion Strong Regionally restricted euxassay_011493_05
TS23: facial ganglion Strong Regionally restricted euxassay_011493_05
TS23: vestibulo-cochlear ganglion Strong Regionally restricted euxassay_011493_05
TS23: stomach Strong Regionally restricted euxassay_011493_05 smooth muscle
TS23: smooth muscle tissue Present euxassay_011493_05
TS23: lung Strong Regionally restricted euxassay_011493_05
TS23: mandible Strong Single cells euxassay_011493_05
TS23: vertebral axis musculature Weak Regionally restricted euxassay_011493_05
TS23: telencephalon ventricular layer Strong Uniform euxassay_011493_05
TS23: rest of cerebellum ventricular layer Strong Uniform euxassay_011493_05
TS23: telencephalon mantle layer Strong Single cells euxassay_011493_05

Specimen euxassay_011493_06: embryonic day 14.5 (more )
Note: Additional information for this specimen was included in the Eurexpress data submission file.
Structure Level Pattern Image Note
TS23: trigeminal ganglion Strong Regionally restricted euxassay_011493_06
TS23: vestibulo-cochlear ganglion Strong Regionally restricted euxassay_011493_06
TS23: stomach Strong Regionally restricted euxassay_011493_06 smooth muscle
TS23: smooth muscle tissue Present euxassay_011493_06
TS23: lung Strong Regionally restricted euxassay_011493_06
TS23: mandible Strong Single cells euxassay_011493_06
TS23: maxilla Strong Single cells euxassay_011493_06
TS23: vertebral axis musculature Weak Regionally restricted euxassay_011493_06
TS23: rest of cerebellum ventricular layer Strong Uniform euxassay_011493_06
TS23: telencephalon ventricular layer Strong Uniform euxassay_011493_06
TS23: midbrain ventricular layer Strong Uniform euxassay_011493_06
TS23: telencephalon mantle layer Strong Single cells euxassay_011493_06
TS23: diencephalon lateral wall mantle layer Strong Single cells euxassay_011493_06
TS23: midbrain mantle layer Strong Single cells euxassay_011493_06
TS23: pons mantle layer Strong Single cells euxassay_011493_06

Specimen euxassay_011493_07: embryonic day 14.5 (more )
Note: Additional information for this specimen was included in the Eurexpress data submission file.
Structure Level Pattern Image Note
TS23: trigeminal ganglion Strong Regionally restricted euxassay_011493_07
TS23: vestibulo-cochlear ganglion Strong Regionally restricted euxassay_011493_07
TS23: glossopharyngeal ganglion Strong Regionally restricted euxassay_011493_07
TS23: stomach Strong Regionally restricted euxassay_011493_07 smooth muscle
TS23: smooth muscle tissue Present euxassay_011493_07
TS23: lung Strong Regionally restricted euxassay_011493_07
TS23: maxilla Strong Single cells euxassay_011493_07
TS23: mandible Strong Single cells euxassay_011493_07
TS23: vertebral axis musculature Weak Regionally restricted euxassay_011493_07
TS23: telencephalon ventricular layer Strong Uniform euxassay_011493_07
TS23: rest of cerebellum ventricular layer Strong Uniform euxassay_011493_07
TS23: pons ventricular layer Strong Uniform euxassay_011493_07
TS23: midbrain ventricular layer Strong Uniform euxassay_011493_07
TS23: telencephalon mantle layer Strong Single cells euxassay_011493_07
TS23: diencephalon lateral wall mantle layer Strong Single cells euxassay_011493_07
TS23: midbrain mantle layer Strong Single cells euxassay_011493_07
TS23: medulla oblongata basal plate mantle layer Strong Single cells euxassay_011493_07
TS23: pons mantle layer Strong Single cells euxassay_011493_07

Specimen euxassay_011493_08: embryonic day 14.5 (more )
Note: Additional information for this specimen was included in the Eurexpress data submission file.
Structure Level Pattern Image Note
TS23: trigeminal ganglion Strong Regionally restricted euxassay_011493_08
TS23: vestibulo-cochlear ganglion Strong Regionally restricted euxassay_011493_08
TS23: glossopharyngeal ganglion Strong Regionally restricted euxassay_011493_08
TS23: olfactory epithelium Strong Regionally restricted euxassay_011493_08
TS23: stomach Strong Regionally restricted euxassay_011493_08 smooth muscle
TS23: smooth muscle tissue Present euxassay_011493_08
TS23: lung Strong Regionally restricted euxassay_011493_08
TS23: maxilla Strong Single cells euxassay_011493_08
TS23: mandible Strong Single cells euxassay_011493_08
TS23: vertebral axis musculature Weak Regionally restricted euxassay_011493_08
TS23: telencephalon ventricular layer Strong Uniform euxassay_011493_08
TS23: rest of cerebellum ventricular layer Strong Uniform euxassay_011493_08
TS23: pons ventricular layer Strong Uniform euxassay_011493_08
TS23: midbrain ventricular layer Strong Uniform euxassay_011493_08
TS23: medulla oblongata basal plate ventricular layer Strong Regionally restricted euxassay_011493_08
TS23: midbrain mantle layer Strong Single cells euxassay_011493_08
TS23: diencephalon lateral wall mantle layer Strong Single cells euxassay_011493_08
TS23: hypothalamus mantle layer Strong Single cells euxassay_011493_08
TS23: telencephalon mantle layer Strong Single cells euxassay_011493_08
TS23: medulla oblongata basal plate mantle layer Strong Single cells euxassay_011493_08
TS23: pons mantle layer Strong Single cells euxassay_011493_08

Specimen euxassay_011493_09: embryonic day 14.5 (more )
Note: Additional information for this specimen was included in the Eurexpress data submission file.
Structure Level Pattern Image Note
TS23: trigeminal ganglion Strong Regionally restricted euxassay_011493_09
TS23: vestibulo-cochlear ganglion Strong Regionally restricted euxassay_011493_09
TS23: glossopharyngeal ganglion Strong Regionally restricted euxassay_011493_09
TS23: olfactory epithelium Strong Regionally restricted euxassay_011493_09
TS23: stomach Strong Regionally restricted euxassay_011493_09 smooth muscle
TS23: smooth muscle tissue Present euxassay_011493_09
TS23: lung Strong Regionally restricted euxassay_011493_09
TS23: maxilla Strong Single cells euxassay_011493_09
TS23: mandible Strong Single cells euxassay_011493_09
TS23: vertebral axis musculature Weak Regionally restricted euxassay_011493_09
TS23: pons ventricular layer Strong Uniform euxassay_011493_09
TS23: telencephalon ventricular layer Strong Uniform euxassay_011493_09
TS23: olfactory cortex ventricular layer Strong Uniform euxassay_011493_09
TS23: rest of cerebellum ventricular layer Strong Uniform euxassay_011493_09
TS23: midbrain ventricular layer Strong Uniform euxassay_011493_09
TS23: medulla oblongata basal plate ventricular layer Strong Regionally restricted euxassay_011493_09
TS23: hypothalamus mantle layer Strong Single cells euxassay_011493_09
TS23: diencephalon lateral wall mantle layer Strong Single cells euxassay_011493_09
TS23: telencephalon mantle layer Strong Single cells euxassay_011493_09
TS23: midbrain mantle layer Strong Single cells euxassay_011493_09
TS23: medulla oblongata basal plate mantle layer Strong Single cells euxassay_011493_09
TS23: pons mantle layer Strong Single cells euxassay_011493_09

Specimen euxassay_011493_10: embryonic day 14.5 (more )
Note: Additional information for this specimen was included in the Eurexpress data submission file.
Structure Level Pattern Image Note
TS23: trigeminal ganglion Strong Regionally restricted euxassay_011493_10
TS23: dorsal root ganglion Strong Regionally restricted euxassay_011493_10
TS23: olfactory epithelium Strong Regionally restricted euxassay_011493_10
TS23: stomach Strong Regionally restricted euxassay_011493_10 smooth muscle
TS23: smooth muscle tissue Present euxassay_011493_10
TS23: midgut Strong Regionally restricted euxassay_011493_10 smooth muscle
TS23: lung Strong Regionally restricted euxassay_011493_10
TS23: maxilla Strong Single cells euxassay_011493_10
TS23: mandible Strong Single cells euxassay_011493_10
TS23: adrenal gland Strong Spotted euxassay_011493_10
TS23: vertebral axis musculature Weak Regionally restricted euxassay_011493_10
TS23: pons ventricular layer Strong Uniform euxassay_011493_10
TS23: rest of cerebellum ventricular layer Strong Uniform euxassay_011493_10
TS23: telencephalon ventricular layer Strong Uniform euxassay_011493_10
TS23: olfactory cortex ventricular layer Strong Uniform euxassay_011493_10
TS23: midbrain ventricular layer Strong Uniform euxassay_011493_10
TS23: diencephalon lateral wall ventricular layer Strong Uniform euxassay_011493_10
TS23: medulla oblongata basal plate ventricular layer Strong Regionally restricted euxassay_011493_10
TS23: telencephalon mantle layer Strong Single cells euxassay_011493_10
TS23: diencephalon lateral wall mantle layer Strong Single cells euxassay_011493_10
TS23: hypothalamus mantle layer Strong Single cells euxassay_011493_10
TS23: midbrain mantle layer Strong Single cells euxassay_011493_10
TS23: medulla oblongata basal plate mantle layer Strong Single cells euxassay_011493_10
TS23: pons mantle layer Strong Single cells euxassay_011493_10

Specimen euxassay_011493_11: embryonic day 14.5 (more )
Note: Additional information for this specimen was included in the Eurexpress data submission file.
Structure Level Pattern Image Note
TS23: dorsal root ganglion Strong Regionally restricted euxassay_011493_11
TS23: olfactory epithelium Strong Regionally restricted euxassay_011493_11
TS23: stomach Strong Regionally restricted euxassay_011493_11 smooth muscle
TS23: smooth muscle tissue Present euxassay_011493_11
TS23: midgut Strong Regionally restricted euxassay_011493_11 smooth muscle
TS23: lung Strong Regionally restricted euxassay_011493_11
TS23: maxilla Strong Single cells euxassay_011493_11
TS23: mandible Strong Single cells euxassay_011493_11
TS23: adrenal gland Strong Spotted euxassay_011493_11
TS23: vertebral axis musculature Weak Regionally restricted euxassay_011493_11
TS23: olfactory cortex ventricular layer Strong Uniform euxassay_011493_11
TS23: telencephalon ventricular layer Strong Uniform euxassay_011493_11
TS23: rest of cerebellum ventricular layer Strong Uniform euxassay_011493_11
TS23: pons ventricular layer Strong Uniform euxassay_011493_11
TS23: diencephalon lateral wall ventricular layer Strong Uniform euxassay_011493_11
TS23: midbrain ventricular layer Strong Uniform euxassay_011493_11
TS23: hypothalamus ventricular layer Strong Uniform euxassay_011493_11
TS23: medulla oblongata basal plate ventricular layer Strong Regionally restricted euxassay_011493_11
TS23: hypothalamus mantle layer Strong Single cells euxassay_011493_11
TS23: diencephalon lateral wall mantle layer Strong Single cells euxassay_011493_11
TS23: telencephalon mantle layer Strong Single cells euxassay_011493_11
TS23: midbrain mantle layer Strong Single cells euxassay_011493_11
TS23: medulla oblongata basal plate mantle layer Strong Single cells euxassay_011493_11
TS23: pons mantle layer Strong Single cells euxassay_011493_11

Specimen euxassay_011493_12: embryonic day 14.5 (more )
Note: Additional information for this specimen was included in the Eurexpress data submission file.
Structure Level Pattern Image Note
TS23: dorsal root ganglion Moderate Regionally restricted euxassay_011493_12
TS23: vomeronasal organ Strong Regionally restricted euxassay_011493_12
TS23: olfactory epithelium Strong Regionally restricted euxassay_011493_12
TS23: midgut Strong Regionally restricted euxassay_011493_12 smooth muscle
TS23: smooth muscle tissue Present euxassay_011493_12
TS23: lung Strong Regionally restricted euxassay_011493_12
TS23: bladder wall Strong Regionally restricted euxassay_011493_12
TS23: maxilla Strong Single cells euxassay_011493_12
TS23: mandible Strong Single cells euxassay_011493_12
TS23: adrenal gland Strong Spotted euxassay_011493_12
TS23: vertebral axis musculature Weak Regionally restricted euxassay_011493_12
TS23: rest of cerebellum ventricular layer Strong Uniform euxassay_011493_12
TS23: pons ventricular layer Strong Uniform euxassay_011493_12
TS23: telencephalon ventricular layer Strong Uniform euxassay_011493_12
TS23: diencephalon lateral wall ventricular layer Strong Uniform euxassay_011493_12
TS23: hypothalamus ventricular layer Strong Uniform euxassay_011493_12
TS23: midbrain ventricular layer Strong Uniform euxassay_011493_12
TS23: medulla oblongata basal plate ventricular layer Strong Regionally restricted euxassay_011493_12
TS23: telencephalon mantle layer Strong Single cells euxassay_011493_12
TS23: diencephalon lateral wall mantle layer Strong Single cells euxassay_011493_12
TS23: medulla oblongata basal plate mantle layer Strong Single cells euxassay_011493_12
TS23: ventral grey horn Strong Single cells euxassay_011493_12

Specimen euxassay_011493_13: embryonic day 14.5 (more )
Note: Additional information for this specimen was included in the Eurexpress data submission file.
Structure Level Pattern Image Note
TS23: dorsal root ganglion Strong Regionally restricted euxassay_011493_13
TS23: vomeronasal organ Strong Regionally restricted euxassay_011493_13
TS23: olfactory epithelium Strong Regionally restricted euxassay_011493_13
TS23: midgut Strong Regionally restricted euxassay_011493_13 smooth muscle
TS23: rectum Strong Regionally restricted euxassay_011493_13 smooth muscle
TS23: hindgut Strong Regionally restricted euxassay_011493_13 smooth muscle
TS23: smooth muscle tissue Present euxassay_011493_13
TS23: lung Moderate Regionally restricted euxassay_011493_13
TS23: bladder wall Strong Regionally restricted euxassay_011493_13
TS23: esophagus Strong Regionally restricted euxassay_011493_13
TS23: maxilla Strong Single cells euxassay_011493_13
TS23: mandible Strong Single cells euxassay_011493_13
TS23: vertebral axis musculature Weak Regionally restricted euxassay_011493_13
TS23: telencephalon ventricular layer Strong Uniform euxassay_011493_13
TS23: pons ventricular layer Strong Uniform euxassay_011493_13
TS23: rest of cerebellum ventricular layer Strong Uniform euxassay_011493_13
TS23: midbrain ventricular layer Strong Uniform euxassay_011493_13
TS23: diencephalon lateral wall ventricular layer Strong Uniform euxassay_011493_13
TS23: hypothalamus ventricular layer Strong Uniform euxassay_011493_13
TS23: medulla oblongata basal plate ventricular layer Strong Regionally restricted euxassay_011493_13
TS23: diencephalon lateral wall mantle layer Strong Single cells euxassay_011493_13
TS23: hypothalamus mantle layer Strong Single cells euxassay_011493_13
TS23: telencephalon mantle layer Strong Single cells euxassay_011493_13
TS23: midbrain mantle layer Strong Single cells euxassay_011493_13
TS23: medulla oblongata basal plate mantle layer Strong Single cells euxassay_011493_13
TS23: pons mantle layer Strong Single cells euxassay_011493_13
TS23: ventral grey horn Strong Single cells euxassay_011493_13

Specimen euxassay_011493_14: embryonic day 14.5 (more )
Note: Additional information for this specimen was included in the Eurexpress data submission file.
Structure Level Pattern Image Note
TS23: midgut Strong Regionally restricted euxassay_011493_14 smooth muscle
TS23: rectum Strong Regionally restricted euxassay_011493_14 smooth muscle
TS23: hindgut Strong Regionally restricted euxassay_011493_14 smooth muscle
TS23: smooth muscle tissue Present euxassay_011493_14
TS23: bladder wall Strong Regionally restricted euxassay_011493_14
TS23: esophagus Strong Regionally restricted euxassay_011493_14
TS23: mandible Strong Single cells euxassay_011493_14
TS23: vertebral axis musculature Weak Regionally restricted euxassay_011493_14
TS23: telencephalon ventricular layer Strong Uniform euxassay_011493_14
TS23: pons ventricular layer Strong Uniform euxassay_011493_14
TS23: rest of cerebellum ventricular layer Strong Uniform euxassay_011493_14
TS23: hypothalamus ventricular layer Strong Uniform euxassay_011493_14
TS23: midbrain ventricular layer Strong Uniform euxassay_011493_14
TS23: medulla oblongata basal plate ventricular layer Strong Regionally restricted euxassay_011493_14
TS23: diencephalon lateral wall mantle layer Strong Single cells euxassay_011493_14
TS23: hypothalamus mantle layer Strong Single cells euxassay_011493_14
TS23: midbrain mantle layer Strong Single cells euxassay_011493_14
TS23: medulla oblongata basal plate mantle layer Strong Single cells euxassay_011493_14
TS23: pons mantle layer Strong Single cells euxassay_011493_14
TS23: ventral grey horn Strong Single cells euxassay_011493_14
TS23: sternum Strong Regionally restricted euxassay_011493_14

Specimen euxassay_011493_15: embryonic day 14.5 (more )
Note: Additional information for this specimen was included in the Eurexpress data submission file.
Structure Level Pattern Image Note
TS23: olfactory epithelium Strong Regionally restricted euxassay_011493_15
TS23: vomeronasal organ Strong Regionally restricted euxassay_011493_15
TS23: midgut Strong Regionally restricted euxassay_011493_15 smooth muscle
TS23: rectum Strong Regionally restricted euxassay_011493_15 smooth muscle
TS23: hindgut Strong Regionally restricted euxassay_011493_15 smooth muscle
TS23: smooth muscle tissue Present euxassay_011493_15
TS23: bladder wall Strong Regionally restricted euxassay_011493_15
TS23: esophagus Strong Regionally restricted euxassay_011493_15
TS23: olfactory cortex ventricular layer Strong Uniform euxassay_011493_15
TS23: telencephalon ventricular layer Strong Uniform euxassay_011493_15
TS23: pons ventricular layer Strong Uniform euxassay_011493_15
TS23: rest of cerebellum ventricular layer Strong Uniform euxassay_011493_15
TS23: hypothalamus ventricular layer Strong Uniform euxassay_011493_15
TS23: midbrain ventricular layer Strong Uniform euxassay_011493_15
TS23: medulla oblongata basal plate ventricular layer Strong Regionally restricted euxassay_011493_15
TS23: diencephalon lateral wall mantle layer Strong Single cells euxassay_011493_15
TS23: hypothalamus mantle layer Strong Single cells euxassay_011493_15
TS23: telencephalon mantle layer Strong Single cells euxassay_011493_15
TS23: midbrain mantle layer Strong Single cells euxassay_011493_15
TS23: pons mantle layer Strong Single cells euxassay_011493_15
TS23: medulla oblongata basal plate mantle layer Strong Single cells euxassay_011493_15
TS23: ventral grey horn Strong Single cells euxassay_011493_15
TS23: sternum Moderate Regionally restricted euxassay_011493_15

Specimen euxassay_011493_16: embryonic day 14.5 (more )
Note: Additional information for this specimen was included in the Eurexpress data submission file.
Structure Level Pattern Image Note
TS23: olfactory epithelium Strong Regionally restricted euxassay_011493_16
TS23: midgut Strong Regionally restricted euxassay_011493_16 smooth muscle
TS23: smooth muscle tissue Present euxassay_011493_16
TS23: bladder wall Strong Regionally restricted euxassay_011493_16
TS23: maxilla Strong Single cells euxassay_011493_16
TS23: mandible Strong Single cells euxassay_011493_16
TS23: vertebral axis musculature Weak Regionally restricted euxassay_011493_16
TS23: rest of cerebellum ventricular layer Strong Uniform euxassay_011493_16
TS23: pons ventricular layer Strong Uniform euxassay_011493_16
TS23: olfactory cortex ventricular layer Strong Uniform euxassay_011493_16
TS23: telencephalon ventricular layer Strong Uniform euxassay_011493_16
TS23: midbrain ventricular layer Strong Uniform euxassay_011493_16
TS23: hypothalamus ventricular layer Strong Uniform euxassay_011493_16
TS23: medulla oblongata basal plate ventricular layer Strong Regionally restricted euxassay_011493_16
TS23: hypothalamus mantle layer Strong Single cells euxassay_011493_16
TS23: diencephalon lateral wall mantle layer Strong Single cells euxassay_011493_16
TS23: telencephalon mantle layer Strong Single cells euxassay_011493_16
TS23: midbrain mantle layer Strong Single cells euxassay_011493_16
TS23: medulla oblongata basal plate mantle layer Strong Single cells euxassay_011493_16
TS23: pons mantle layer Strong Single cells euxassay_011493_16
TS23: ventral grey horn Strong Single cells euxassay_011493_16
TS23: sternum Strong Regionally restricted euxassay_011493_16

Specimen euxassay_011493_17: embryonic day 14.5 (more )
Note: Additional information for this specimen was included in the Eurexpress data submission file.
Structure Level Pattern Image Note
TS23: trigeminal ganglion Strong Regionally restricted euxassay_011493_17
TS23: dorsal root ganglion Strong Regionally restricted euxassay_011493_17
TS23: olfactory epithelium Strong Regionally restricted euxassay_011493_17
TS23: midgut Strong Regionally restricted euxassay_011493_17 smooth muscle
TS23: smooth muscle tissue Present euxassay_011493_17
TS23: lung Strong Regionally restricted euxassay_011493_17
TS23: maxilla Strong Single cells euxassay_011493_17
TS23: mandible Strong Single cells euxassay_011493_17
TS23: vertebral axis musculature Weak Regionally restricted euxassay_011493_17
TS23: rest of cerebellum ventricular layer Strong Uniform euxassay_011493_17
TS23: pons ventricular layer Strong Uniform euxassay_011493_17
TS23: telencephalon ventricular layer Strong Uniform euxassay_011493_17
TS23: olfactory cortex ventricular layer Strong Uniform euxassay_011493_17
TS23: midbrain ventricular layer Strong Uniform euxassay_011493_17
TS23: hypothalamus mantle layer Strong Single cells euxassay_011493_17
TS23: diencephalon lateral wall mantle layer Strong Single cells euxassay_011493_17
TS23: telencephalon mantle layer Strong Single cells euxassay_011493_17
TS23: midbrain mantle layer Strong Single cells euxassay_011493_17
TS23: pons mantle layer Strong Single cells euxassay_011493_17
TS23: medulla oblongata basal plate mantle layer Strong Single cells euxassay_011493_17
TS23: ventral grey horn Strong Single cells euxassay_011493_17

Specimen euxassay_011493_18: embryonic day 14.5 (more )
Note: Additional information for this specimen was included in the Eurexpress data submission file.
Structure Level Pattern Image Note
TS23: trigeminal ganglion Strong Regionally restricted euxassay_011493_18
TS23: vestibulo-cochlear ganglion Moderate Regionally restricted euxassay_011493_18
TS23: dorsal root ganglion Strong Regionally restricted euxassay_011493_18
TS23: olfactory epithelium Strong Regionally restricted euxassay_011493_18
TS23: midgut Strong Regionally restricted euxassay_011493_18 smooth muscle
TS23: smooth muscle tissue Present euxassay_011493_18
TS23: lung Strong Regionally restricted euxassay_011493_18
TS23: maxilla Strong Single cells euxassay_011493_18
TS23: mandible Strong Single cells euxassay_011493_18
TS23: vertebral axis musculature Weak Regionally restricted euxassay_011493_18
TS23: rest of cerebellum ventricular layer Strong Uniform euxassay_011493_18
TS23: telencephalon ventricular layer Strong Uniform euxassay_011493_18
TS23: midbrain mantle layer Strong Single cells euxassay_011493_18
TS23: telencephalon mantle layer Strong Single cells euxassay_011493_18
TS23: pons mantle layer Strong Single cells euxassay_011493_18
TS23: medulla oblongata basal plate mantle layer Strong Single cells euxassay_011493_18
TS23: ventral grey horn Strong Single cells euxassay_011493_18

Specimen euxassay_011493_19: embryonic day 14.5 (more )
Note: Additional information for this specimen was included in the Eurexpress data submission file.
Structure Level Pattern Image Note
TS23: trigeminal ganglion Strong Regionally restricted euxassay_011493_19
TS23: glossopharyngeal ganglion Strong Regionally restricted euxassay_011493_19
TS23: vestibulo-cochlear ganglion Strong Regionally restricted euxassay_011493_19
TS23: dorsal root ganglion Strong Regionally restricted euxassay_011493_19
TS23: olfactory epithelium Strong Regionally restricted euxassay_011493_19
TS23: midgut Strong Regionally restricted euxassay_011493_19 smooth muscle
TS23: smooth muscle tissue Present euxassay_011493_19
TS23: lung Strong Regionally restricted euxassay_011493_19
TS23: maxilla Strong Single cells euxassay_011493_19
TS23: mandible Strong Single cells euxassay_011493_19
TS23: adrenal gland Strong Spotted euxassay_011493_19
TS23: vertebral axis musculature Weak Regionally restricted euxassay_011493_19
TS23: rest of cerebellum ventricular layer Strong Uniform euxassay_011493_19
TS23: telencephalon ventricular layer Strong Uniform euxassay_011493_19
TS23: telencephalon mantle layer Strong Single cells euxassay_011493_19
TS23: pons mantle layer Strong Single cells euxassay_011493_19
TS23: medulla oblongata basal plate mantle layer Strong Single cells euxassay_011493_19

Specimen euxassay_011493_20: embryonic day 14.5 (more )
Note: Additional information for this specimen was included in the Eurexpress data submission file.
Structure Level Pattern Image Note
TS23: trigeminal ganglion Strong Regionally restricted euxassay_011493_20
TS23: vestibulo-cochlear ganglion Strong Regionally restricted euxassay_011493_20
TS23: glossopharyngeal ganglion Strong Regionally restricted euxassay_011493_20
TS23: dorsal root ganglion Strong Regionally restricted euxassay_011493_20
TS23: midgut Strong Regionally restricted euxassay_011493_20 smooth muscle
TS23: smooth muscle tissue Present euxassay_011493_20
TS23: lung Strong Regionally restricted euxassay_011493_20
TS23: maxilla Strong Single cells euxassay_011493_20
TS23: mandible Strong Single cells euxassay_011493_20
TS23: adrenal gland Strong Spotted euxassay_011493_20
TS23: vertebral axis musculature Weak Regionally restricted euxassay_011493_20
TS23: rest of cerebellum ventricular layer Strong Uniform euxassay_011493_20
TS23: telencephalon ventricular layer Strong Uniform euxassay_011493_20
TS23: telencephalon mantle layer Strong Single cells euxassay_011493_20
TS23: pons mantle layer Strong Single cells euxassay_011493_20

Specimen euxassay_011493_21: embryonic day 14.5 (more )
Note: Additional information for this specimen was included in the Eurexpress data submission file.
Structure Level Pattern Image Note
TS23: trigeminal ganglion Strong Regionally restricted euxassay_011493_21
TS23: facial ganglion Strong Regionally restricted euxassay_011493_21
TS23: vestibulo-cochlear ganglion Strong Regionally restricted euxassay_011493_21
TS23: midgut Strong Regionally restricted euxassay_011493_21 smooth muscle
TS23: smooth muscle tissue Present euxassay_011493_21
TS23: lung Strong Regionally restricted euxassay_011493_21
TS23: maxilla Strong Single cells euxassay_011493_21
TS23: mandible Strong Single cells euxassay_011493_21
TS23: adrenal gland Strong Spotted euxassay_011493_21
TS23: vertebral axis musculature Weak Regionally restricted euxassay_011493_21
TS23: rest of cerebellum ventricular layer Strong Uniform euxassay_011493_21
TS23: telencephalon ventricular layer Strong Uniform euxassay_011493_21
TS23: telencephalon mantle layer Strong Single cells euxassay_011493_21

Specimen euxassay_011493_22: embryonic day 14.5 (more )
Structure Level Pattern Image Note
TS23: trigeminal ganglion Strong Regionally restricted euxassay_011493_22
TS23: facial ganglion Strong Regionally restricted euxassay_011493_22
TS23: lung Strong Regionally restricted euxassay_011493_22
TS23: maxilla Strong Single cells euxassay_011493_22
TS23: mandible Strong Single cells euxassay_011493_22
TS23: vertebral axis musculature Weak Regionally restricted euxassay_011493_22
TS23: telencephalon ventricular layer Strong Uniform euxassay_011493_22
TS23: telencephalon mantle layer Strong Single cells euxassay_011493_22

Specimen euxassay_011493_23: embryonic day 14.5 (more )
Structure Level Pattern Image Note
TS23: neural retina Strong Uniform euxassay_011493_23
TS23: trigeminal ganglion Strong Regionally restricted euxassay_011493_23
TS23: lung Strong Regionally restricted euxassay_011493_23
TS23: maxilla Strong Single cells euxassay_011493_23
TS23: mandible Strong Single cells euxassay_011493_23
TS23: vertebral axis musculature Weak Regionally restricted euxassay_011493_23
TS23: telencephalon ventricular layer Strong Uniform euxassay_011493_23
TS23: telencephalon mantle layer Strong Single cells euxassay_011493_23

Specimen euxassay_011493_24: embryonic day 14.5 (more )
Structure Level Pattern Image Note
TS23: neural retina Strong Uniform euxassay_011493_24
TS23: lung Strong Regionally restricted euxassay_011493_24
TS23: mandible Strong Single cells euxassay_011493_24
TS23: vertebral axis musculature Weak Regionally restricted euxassay_011493_24
TS23: telencephalon mantle layer Strong Single cells euxassay_011493_24


Contributing Projects:
Mouse Genome Database (MGD), Gene Expression Database (GXD), Mouse Models of Human Cancer database (MMHCdb) (formerly Mouse Tumor Biology (MTB)), Gene Ontology (GO)
Citing These Resources
Funding Information
Warranty Disclaimer, Privacy Notice, Licensing, & Copyright
Send questions and comments to User Support.
last database update
01/28/2026
MGI 6.24
The Jackson Laboratory