About   Help   FAQ
Gene Expression Data
Assay Details
Assay
Reference: J:153498 Diez-Roux G, et al., A high-resolution anatomical atlas of the transcriptome in the mouse embryo. PLoS Biol. 2011;9(1):e1000582
Assay type: RNA in situ
MGI Accession ID: MGI:4823887
Gene symbol: Ckap5
Gene name: cytoskeleton associated protein 5
Probe: T35662
Probe preparation: Antisense labelled with digoxigenin RNA
Visualized with: Alkaline phosphatase
Assay notes: Cryosections of fresh frozen material were fixed in 4% paraformaldehyde for 20 min. before further processing. A tyramide-biotin/streptavidin amplification step was included in the in situ hybridization procedure.
Results
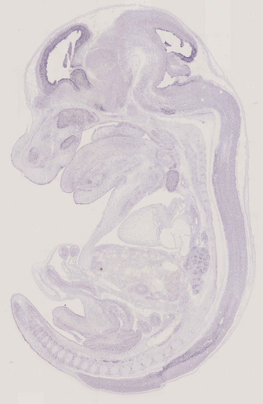
Specimen euxassay_011048_01: embryonic day 14.5 (more )
Structure Level Pattern Image Note
TS23: telencephalon ventricular layer Moderate Uniform euxassay_011048_01

Specimen euxassay_011048_02: embryonic day 14.5 (more )
Structure Level Pattern Image Note
TS23: telencephalon ventricular layer Moderate Uniform euxassay_011048_02

Specimen euxassay_011048_03: embryonic day 14.5 (more )
Structure Level Pattern Image Note
TS23: telencephalon ventricular layer Moderate Uniform euxassay_011048_03
TS23: trigeminal ganglion Weak Regionally restricted euxassay_011048_03

Specimen euxassay_011048_04: embryonic day 14.5 (more )
Structure Level Pattern Image Note
TS23: telencephalon ventricular layer Moderate Uniform euxassay_011048_04
TS23: trigeminal ganglion Weak Regionally restricted euxassay_011048_04
TS23: facial ganglion Weak Regionally restricted euxassay_011048_04

Specimen euxassay_011048_05: embryonic day 14.5 (more )
Structure Level Pattern Image Note
TS23: telencephalon ventricular layer Moderate Uniform euxassay_011048_05
TS23: trigeminal ganglion Weak Regionally restricted euxassay_011048_05
TS23: lung Weak Regionally restricted euxassay_011048_05

Specimen euxassay_011048_06: embryonic day 14.5 (more )
Structure Level Pattern Image Note
TS23: telencephalon ventricular layer Moderate Uniform euxassay_011048_06
TS23: vibrissa Weak Regionally restricted euxassay_011048_06
TS23: trigeminal ganglion Weak Regionally restricted euxassay_011048_06
TS23: lung Weak Regionally restricted euxassay_011048_06

Specimen euxassay_011048_07: embryonic day 14.5 (more )
Structure Level Pattern Image Note
TS23: telencephalon ventricular layer Moderate Uniform euxassay_011048_07
TS23: vibrissa Weak Regionally restricted euxassay_011048_07
TS23: trigeminal ganglion Weak Regionally restricted euxassay_011048_07
TS23: glossopharyngeal ganglion Weak Regionally restricted euxassay_011048_07
TS23: vestibulo-cochlear ganglion Weak Regionally restricted euxassay_011048_07
TS23: lung Weak Regionally restricted euxassay_011048_07
TS23: submandibular gland primordium Weak Regionally restricted euxassay_011048_07
TS23: midbrain ventricular layer Moderate Regionally restricted euxassay_011048_07
TS23: upper jaw molar Weak Regionally restricted euxassay_011048_07
TS23: lower jaw molar Weak Regionally restricted euxassay_011048_07

Specimen euxassay_011048_08: embryonic day 14.5 (more )
Structure Level Pattern Image Note
TS23: telencephalon ventricular layer Moderate Uniform euxassay_011048_08
TS23: renal cortex Weak Regionally restricted euxassay_011048_08
TS23: lung Weak Regionally restricted euxassay_011048_08
TS23: submandibular gland primordium Weak Regionally restricted euxassay_011048_08
TS23: midbrain ventricular layer Moderate Regionally restricted euxassay_011048_08
TS23: upper jaw molar Weak Regionally restricted euxassay_011048_08
TS23: lower jaw molar Weak Regionally restricted euxassay_011048_08

Specimen euxassay_011048_09: embryonic day 14.5 (more )
Structure Level Pattern Image Note
TS23: telencephalon ventricular layer Moderate Uniform euxassay_011048_09
TS23: dorsal root ganglion Weak Regionally restricted euxassay_011048_09
TS23: olfactory epithelium Weak Regionally restricted euxassay_011048_09
TS23: renal cortex Moderate Regionally restricted euxassay_011048_09
TS23: lung Weak Regionally restricted euxassay_011048_09
TS23: submandibular gland primordium Weak Regionally restricted euxassay_011048_09
TS23: midbrain ventricular layer Moderate Regionally restricted euxassay_011048_09
TS23: cervical ganglion Weak Regionally restricted euxassay_011048_09
TS23: upper jaw molar Weak Regionally restricted euxassay_011048_09
TS23: lower jaw molar Weak Regionally restricted euxassay_011048_09

Specimen euxassay_011048_10: embryonic day 14.5 (more )
Structure Level Pattern Image Note
TS23: telencephalon ventricular layer Moderate Uniform euxassay_011048_10
TS23: olfactory cortex ventricular layer Moderate Uniform euxassay_011048_10
TS23: dorsal root ganglion Weak Regionally restricted euxassay_011048_10
TS23: olfactory epithelium Weak Regionally restricted euxassay_011048_10
TS23: renal cortex Moderate Regionally restricted euxassay_011048_10
TS23: lung Weak Regionally restricted euxassay_011048_10
TS23: submandibular gland primordium Weak Regionally restricted euxassay_011048_10
TS23: midbrain ventricular layer Moderate Regionally restricted euxassay_011048_10
TS23: cervico-thoracic ganglion Weak Regionally restricted euxassay_011048_10

Specimen euxassay_011048_11: embryonic day 14.5 (more )
Structure Level Pattern Image Note
TS23: olfactory cortex ventricular layer Moderate Uniform euxassay_011048_11
TS23: telencephalon ventricular layer Moderate Uniform euxassay_011048_11
TS23: dorsal root ganglion Weak Regionally restricted euxassay_011048_11
TS23: olfactory epithelium Weak Regionally restricted euxassay_011048_11
TS23: renal cortex Weak Regionally restricted euxassay_011048_11
TS23: lung Weak Regionally restricted euxassay_011048_11
TS23: midbrain ventricular layer Moderate Regionally restricted euxassay_011048_11
TS23: diencephalon lateral wall ventricular layer Moderate Regionally restricted euxassay_011048_11
TS23: hypothalamus ventricular layer Moderate Regionally restricted euxassay_011048_11
TS23: thymus primordium Weak Regionally restricted euxassay_011048_11
TS23: upper jaw incisor Weak Regionally restricted euxassay_011048_11
TS23: lower jaw incisor Weak Regionally restricted euxassay_011048_11

Specimen euxassay_011048_12: embryonic day 14.5 (more )
Structure Level Pattern Image Note
TS23: telencephalon ventricular layer Weak Regionally restricted euxassay_011048_12
TS23: dorsal root ganglion Weak Regionally restricted euxassay_011048_12
TS23: renal cortex Weak Regionally restricted euxassay_011048_12
TS23: lung Weak Regionally restricted euxassay_011048_12
TS23: midbrain ventricular layer Moderate Regionally restricted euxassay_011048_12
TS23: diencephalon lateral wall ventricular layer Moderate Regionally restricted euxassay_011048_12
TS23: hypothalamus ventricular layer Moderate Regionally restricted euxassay_011048_12
TS23: thymus primordium Weak Regionally restricted euxassay_011048_12
TS23: upper jaw incisor Weak Regionally restricted euxassay_011048_12
TS23: lower jaw incisor Weak Regionally restricted euxassay_011048_12

Specimen euxassay_011048_13: embryonic day 14.5 (more )
Structure Level Pattern Image Note
TS23: dorsal root ganglion Weak Regionally restricted euxassay_011048_13
TS23: lung Weak Regionally restricted euxassay_011048_13
TS23: midbrain ventricular layer Moderate Regionally restricted euxassay_011048_13
TS23: diencephalon lateral wall ventricular layer Moderate Regionally restricted euxassay_011048_13
TS23: hypothalamus ventricular layer Moderate Regionally restricted euxassay_011048_13
TS23: thymus primordium Weak Regionally restricted euxassay_011048_13
TS23: trachea Weak Regionally restricted euxassay_011048_13
TS23: upper jaw incisor Weak Regionally restricted euxassay_011048_13
TS23: lower jaw incisor Weak Regionally restricted euxassay_011048_13

Specimen euxassay_011048_14: embryonic day 14.5 (more )
Structure Level Pattern Image Note
TS23: telencephalon ventricular layer Moderate Regionally restricted euxassay_011048_14
TS23: lung Weak Regionally restricted euxassay_011048_14
TS23: midbrain ventricular layer Moderate Regionally restricted euxassay_011048_14
TS23: hypothalamus ventricular layer Moderate Regionally restricted euxassay_011048_14
TS23: diencephalon lateral wall ventricular layer Moderate Regionally restricted euxassay_011048_14
TS23: thoracic ganglion Weak Regionally restricted euxassay_011048_14
TS23: thymus primordium Weak Regionally restricted euxassay_011048_14
TS23: trachea Weak Regionally restricted euxassay_011048_14

Specimen euxassay_011048_15: embryonic day 14.5 (more )
Structure Level Pattern Image Note
TS23: telencephalon ventricular layer Moderate Regionally restricted euxassay_011048_15
TS23: vomeronasal organ Weak Regionally restricted euxassay_011048_15
TS23: olfactory epithelium Weak Regionally restricted euxassay_011048_15
TS23: lung Weak Regionally restricted euxassay_011048_15
TS23: midbrain ventricular layer Moderate Regionally restricted euxassay_011048_15
TS23: hypothalamus ventricular layer Moderate Regionally restricted euxassay_011048_15
TS23: thymus primordium Weak Regionally restricted euxassay_011048_15

Specimen euxassay_011048_16: embryonic day 14.5 (more )
Structure Level Pattern Image Note
TS23: olfactory cortex ventricular layer Moderate Regionally restricted euxassay_011048_16
TS23: telencephalon ventricular layer Moderate Regionally restricted euxassay_011048_16
TS23: dorsal root ganglion Weak Regionally restricted euxassay_011048_16
TS23: olfactory epithelium Weak Regionally restricted euxassay_011048_16
TS23: lung Weak Regionally restricted euxassay_011048_16
TS23: submandibular gland primordium Weak Regionally restricted euxassay_011048_16
TS23: midbrain ventricular layer Moderate Regionally restricted euxassay_011048_16
TS23: upper jaw incisor Weak Regionally restricted euxassay_011048_16
TS23: lower jaw incisor Weak Regionally restricted euxassay_011048_16

Specimen euxassay_011048_17: embryonic day 14.5 (more )
Structure Level Pattern Image Note
TS23: telencephalon ventricular layer Moderate Regionally restricted euxassay_011048_17
TS23: olfactory cortex ventricular layer Moderate Regionally restricted euxassay_011048_17
TS23: dorsal root ganglion Weak Regionally restricted euxassay_011048_17
TS23: vestibulo-cochlear ganglion Weak Regionally restricted euxassay_011048_17
TS23: olfactory epithelium Weak Regionally restricted euxassay_011048_17
TS23: lung Weak Regionally restricted euxassay_011048_17
TS23: submandibular gland primordium Moderate Regionally restricted euxassay_011048_17
TS23: cervical ganglion Weak Regionally restricted euxassay_011048_17
TS23: cervico-thoracic ganglion Weak Regionally restricted euxassay_011048_17
TS23: upper jaw incisor Moderate Regionally restricted euxassay_011048_17
TS23: lower jaw incisor Moderate Regionally restricted euxassay_011048_17

Specimen euxassay_011048_18: embryonic day 14.5 (more )
Structure Level Pattern Image Note
TS23: telencephalon ventricular layer Moderate Regionally restricted euxassay_011048_18
TS23: dorsal root ganglion Weak Regionally restricted euxassay_011048_18
TS23: trigeminal ganglion Weak Regionally restricted euxassay_011048_18
TS23: glossopharyngeal ganglion Weak Regionally restricted euxassay_011048_18
TS23: vestibulo-cochlear ganglion Weak Regionally restricted euxassay_011048_18
TS23: olfactory epithelium Weak Regionally restricted euxassay_011048_18
TS23: renal cortex Moderate Regionally restricted euxassay_011048_18
TS23: lung Weak Regionally restricted euxassay_011048_18
TS23: submandibular gland primordium Weak Regionally restricted euxassay_011048_18
TS23: upper jaw molar Weak Regionally restricted euxassay_011048_18
TS23: lower jaw molar Weak Regionally restricted euxassay_011048_18

Specimen euxassay_011048_19: embryonic day 14.5 (more )
Structure Level Pattern Image Note
TS23: telencephalon ventricular layer Moderate Regionally restricted euxassay_011048_19
TS23: dorsal root ganglion Weak Regionally restricted euxassay_011048_19
TS23: trigeminal ganglion Weak Regionally restricted euxassay_011048_19
TS23: glossopharyngeal ganglion Weak Regionally restricted euxassay_011048_19
TS23: olfactory epithelium Weak Regionally restricted euxassay_011048_19
TS23: renal cortex Moderate Regionally restricted euxassay_011048_19
TS23: lung Weak Regionally restricted euxassay_011048_19
TS23: submandibular gland primordium Moderate Regionally restricted euxassay_011048_19
TS23: upper jaw molar Weak Regionally restricted euxassay_011048_19
TS23: lower jaw molar Weak Regionally restricted euxassay_011048_19

Specimen euxassay_011048_20: embryonic day 14.5 (more )
Structure Level Pattern Image Note
TS23: telencephalon ventricular layer Moderate Regionally restricted euxassay_011048_20
TS23: vibrissa Weak Regionally restricted euxassay_011048_20
TS23: trigeminal ganglion Weak Regionally restricted euxassay_011048_20
TS23: facial ganglion Weak Regionally restricted euxassay_011048_20
TS23: renal cortex Moderate Regionally restricted euxassay_011048_20
TS23: lung Weak Regionally restricted euxassay_011048_20

Specimen euxassay_011048_21: embryonic day 14.5 (more )
Structure Level Pattern Image Note
TS23: telencephalon ventricular layer Moderate Regionally restricted euxassay_011048_21
TS23: vibrissa Weak Regionally restricted euxassay_011048_21
TS23: trigeminal ganglion Weak Regionally restricted euxassay_011048_21
TS23: facial ganglion Weak Regionally restricted euxassay_011048_21
TS23: renal cortex Moderate Regionally restricted euxassay_011048_21
TS23: lung Weak Regionally restricted euxassay_011048_21

Specimen euxassay_011048_22: embryonic day 14.5 (more )
Structure Level Pattern Image Note
TS23: telencephalon ventricular layer Moderate Regionally restricted euxassay_011048_22
TS23: vibrissa Weak Regionally restricted euxassay_011048_22
TS23: lung Weak Regionally restricted euxassay_011048_22

Specimen euxassay_011048_23: embryonic day 14.5 (more )
Structure Level Pattern Image Note
TS23: lung Weak Regionally restricted euxassay_011048_23


Contributing Projects:
Mouse Genome Database (MGD), Gene Expression Database (GXD), Mouse Models of Human Cancer database (MMHCdb) (formerly Mouse Tumor Biology (MTB)), Gene Ontology (GO)
Citing These Resources
Funding Information
Warranty Disclaimer, Privacy Notice, Licensing, & Copyright
Send questions and comments to User Support.
last database update
04/07/2026
MGI 6.24
The Jackson Laboratory