About   Help   FAQ
Gene Expression Data
Assay Details
Assay
Reference: J:153498 Diez-Roux G, et al., A high-resolution anatomical atlas of the transcriptome in the mouse embryo. PLoS Biol. 2011;9(1):e1000582
Assay type: RNA in situ
MGI Accession ID: MGI:4823870
Gene symbol: Chst8
Gene name: carbohydrate sulfotransferase 8
Probe: IMAGE clone 426351
Probe preparation: Antisense labelled with digoxigenin RNA
Visualized with: Alkaline phosphatase
Assay notes: Cryosections of fresh frozen material were fixed in 4% paraformaldehyde for 20 min. before further processing. A tyramide-biotin/streptavidin amplification step was included in the in situ hybridization procedure.
Results
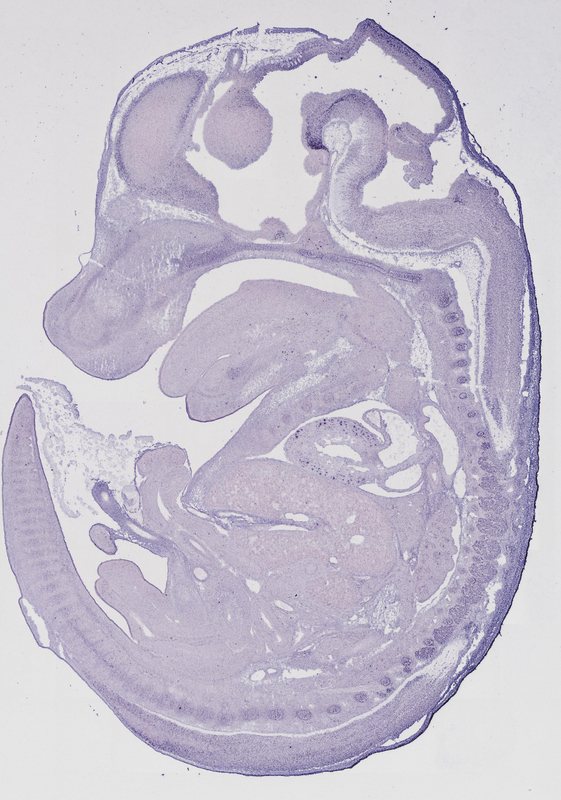
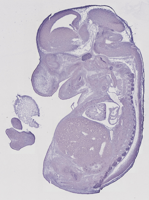
Specimen euxassay_000088_01: embryonic day 14.5 (more )
Structure Level Pattern Image Note
TS23: thoracic segment skeleton Moderate Regionally restricted euxassay_000088_01
TS23: pelvic girdle skeleton Moderate Regionally restricted euxassay_000088_01

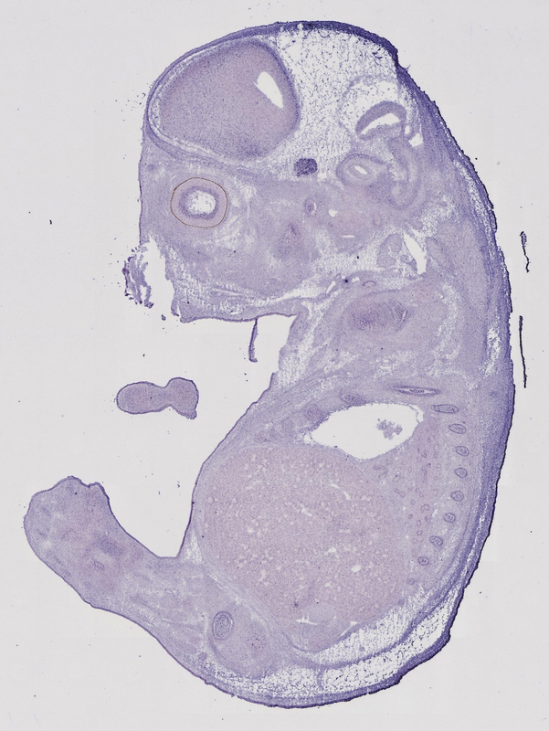
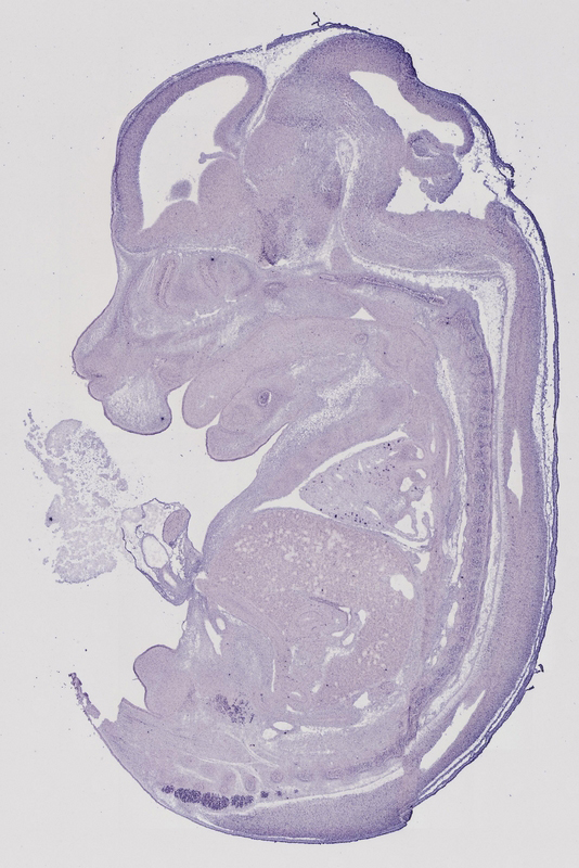
Specimen euxassay_000088_02: embryonic day 14.5 (more )
Structure Level Pattern Image Note
TS23: trigeminal ganglion Strong Regionally restricted euxassay_000088_02
TS23: rib Weak Regionally restricted euxassay_000088_02
TS23: pelvic girdle skeleton Strong Regionally restricted euxassay_000088_02

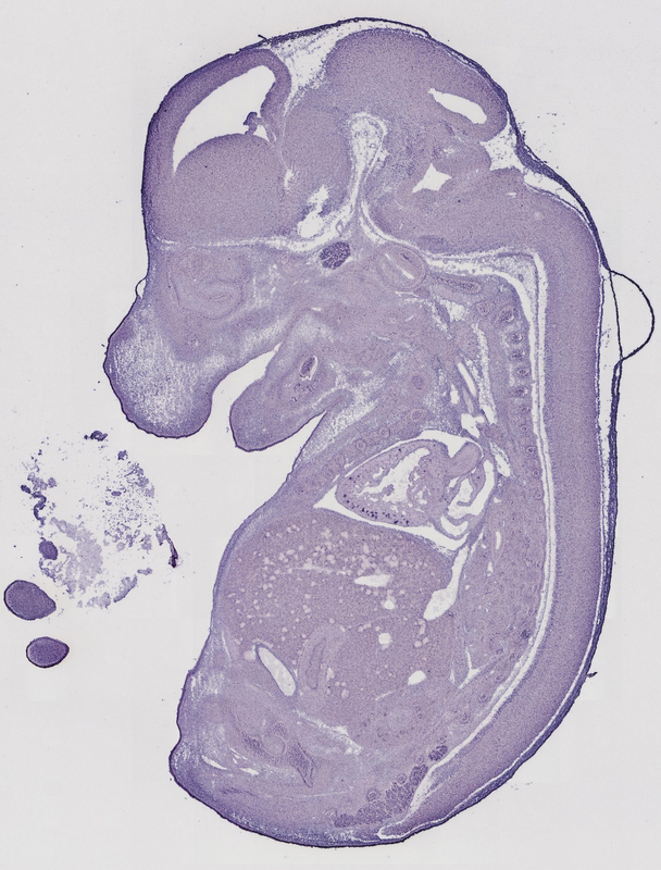
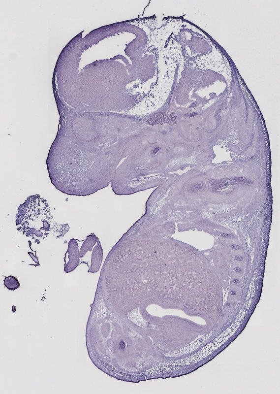
Specimen euxassay_000088_03: embryonic day 14.5 (more )
Structure Level Pattern Image Note
TS23: pelvic girdle skeleton Weak Regionally restricted euxassay_000088_03
TS23: thoracic segment skeleton Weak Regionally restricted euxassay_000088_03
TS23: rib Weak Regionally restricted euxassay_000088_03
TS23: trigeminal ganglion Strong Regionally restricted euxassay_000088_03

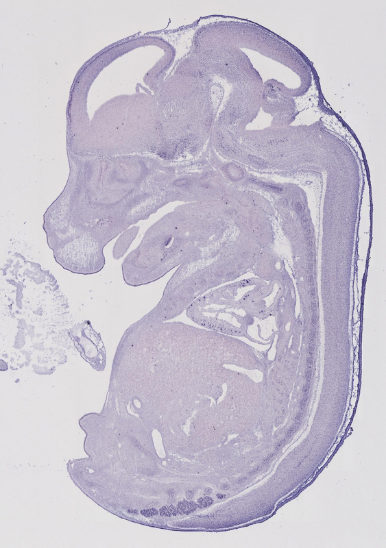
Specimen euxassay_000088_04: embryonic day 14.5 (more )
Structure Level Pattern Image Note
TS23: trigeminal ganglion Strong Regionally restricted euxassay_000088_04
TS23: vestibulo-cochlear ganglion Strong Regionally restricted euxassay_000088_04
TS23: rib Moderate Regionally restricted euxassay_000088_04
TS23: pelvic girdle skeleton Moderate Regionally restricted euxassay_000088_04
TS23: thoracic segment skeleton Moderate Regionally restricted euxassay_000088_04

Specimen euxassay_000088_05: embryonic day 14.5 (more )
Structure Level Pattern Image Note
TS23: rib Strong Regionally restricted euxassay_000088_05
TS23: acetabular region Strong Regionally restricted euxassay_000088_05
TS23: thoracic segment skeleton Strong Regionally restricted euxassay_000088_05
TS23: trigeminal ganglion Strong Regionally restricted euxassay_000088_05
TS23: facial nerve Strong Regionally restricted euxassay_000088_05

Specimen euxassay_000088_06: embryonic day 14.5 (more )
Structure Level Pattern Image Note
TS23: trigeminal ganglion Strong Uniform euxassay_000088_06
TS23: vagus ganglion Strong Uniform euxassay_000088_06
TS23: vestibulo-cochlear ganglion Strong Uniform euxassay_000088_06
TS23: trigeminal nerve mandibular division Strong Uniform euxassay_000088_06
TS23: trigeminal nerve maxillary division Strong Uniform euxassay_000088_06
TS23: trigeminal nerve ophthalmic division Strong Uniform euxassay_000088_06
TS23: trigeminal nerve Strong Uniform euxassay_000088_06
TS23: rib Moderate Regionally restricted euxassay_000088_06
TS23: pelvic girdle skeleton Moderate Regionally restricted euxassay_000088_06
TS23: thoracic segment skeleton Moderate Regionally restricted euxassay_000088_06

Specimen euxassay_000088_07: embryonic day 14.5 (more )
Structure Level Pattern Image Note
TS23: pelvic girdle skeleton Weak Regionally restricted euxassay_000088_07
TS23: acetabular region Weak Regionally restricted euxassay_000088_07
TS23: rib Weak Regionally restricted euxassay_000088_07
TS23: trigeminal nerve mandibular division Strong Regionally restricted euxassay_000088_07
TS23: trigeminal ganglion Strong Regionally restricted euxassay_000088_07
TS23: vestibulo-cochlear ganglion Strong Regionally restricted euxassay_000088_07
TS23: vagus ganglion Strong Regionally restricted euxassay_000088_07

Specimen euxassay_000088_08: embryonic day 14.5 (more )
Structure Level Pattern Image Note
TS23: vestibulo-cochlear ganglion Strong Regionally restricted euxassay_000088_08
TS23: vagus ganglion Strong Regionally restricted euxassay_000088_08
TS23: trigeminal ganglion Strong Regionally restricted euxassay_000088_08
TS23: trigeminal nerve mandibular division Strong Regionally restricted euxassay_000088_08
TS23: pelvic girdle skeleton Weak Regionally restricted euxassay_000088_08
TS23: rib Weak Regionally restricted euxassay_000088_08
TS23: hypothalamus Moderate Regionally restricted euxassay_000088_08
TS23: cerebral internal capsule Moderate Regionally restricted euxassay_000088_08

Specimen euxassay_000088_10: embryonic day 14.5 (more )
Note: Additional information for this specimen was included in the Eurexpress data submission file.
Structure Level Pattern Image Note
TS23: diencephalon Moderate Regionally restricted euxassay_000088_10 mammillary region
TS23: dorsal root ganglion Strong Uniform euxassay_000088_10

Specimen euxassay_000088_11: embryonic day 14.5 (more )
Note: Additional information for this specimen was included in the Eurexpress data submission file.
Structure Level Pattern Image Note
TS23: dorsal root ganglion Strong Regionally restricted euxassay_000088_11
TS23: diencephalon Strong Regionally restricted euxassay_000088_11 mammillary region
TS23: hypothalamus Strong Regionally restricted euxassay_000088_11 mammillary region
TS23: trigeminal ganglion Strong Regionally restricted euxassay_000088_11
TS23: trigeminal nerve ophthalmic division Strong Regionally restricted euxassay_000088_11
TS23: trigeminal nerve maxillary division Strong Regionally restricted euxassay_000088_11
TS23: heart Moderate Single cells euxassay_000088_11
TS23: heart ventricle Moderate Single cells euxassay_000088_11

Specimen euxassay_000088_12: embryonic day 14.5 (more )
Note: Additional information for this specimen was included in the Eurexpress data submission file.
Structure Level Pattern Image Note
TS23: heart Moderate Single cells euxassay_000088_12
TS23: heart ventricle Moderate Single cells euxassay_000088_12
TS23: diencephalon Strong Regionally restricted euxassay_000088_12 mammillary region
TS23: hypothalamus Strong Regionally restricted euxassay_000088_12 mammillary region
TS23: trigeminal nerve maxillary division Moderate Uniform euxassay_000088_12
TS23: dorsal root ganglion Moderate Uniform euxassay_000088_12

Specimen euxassay_000088_14: embryonic day 14.5 (more )
Note: Additional information for this specimen was included in the Eurexpress data submission file.
Structure Level Pattern Image Note
TS23: hypothalamus Moderate Regionally restricted euxassay_000088_14 mammillary region
TS23: diencephalon lateral wall Moderate Regionally restricted euxassay_000088_14 mammillary region
TS23: heart Weak Single cells euxassay_000088_14

Specimen euxassay_000088_15: embryonic day 14.5 (more )
Note: Additional information for this specimen was included in the Eurexpress data submission file.
Structure Level Pattern Image Note
TS23: dorsal root ganglion Strong Uniform euxassay_000088_15
TS23: diencephalon Moderate Regionally restricted euxassay_000088_15 hypothalamic and mammillary region
TS23: hypothalamus Moderate Regionally restricted euxassay_000088_15
TS23: cerebral internal capsule Moderate Regionally restricted euxassay_000088_15
TS23: bladder Strong Regionally restricted euxassay_000088_15

Specimen euxassay_000088_16: embryonic day 14.5 (more )
Structure Level Pattern Image Note
TS23: dorsal root ganglion Moderate Uniform euxassay_000088_16
TS23: hypothalamus Moderate Regionally restricted euxassay_000088_16
TS23: diencephalon Moderate Regionally restricted euxassay_000088_16
TS23: cerebral cortex Moderate Regionally restricted euxassay_000088_16
TS23: cerebral cortex marginal layer Moderate Regionally restricted euxassay_000088_16
TS23: heart Strong Single cells euxassay_000088_16

Specimen euxassay_000088_17: embryonic day 14.5 (more )
Structure Level Pattern Image Note
TS23: dorsal root ganglion Strong Uniform euxassay_000088_17
TS23: trigeminal ganglion Strong Uniform euxassay_000088_17

Specimen euxassay_000088_18: embryonic day 14.5 (more )
Structure Level Pattern Image Note
TS23: dorsal root ganglion Strong Single cells euxassay_000088_18
TS23: trigeminal ganglion Strong Single cells euxassay_000088_18
TS23: heart Strong Single cells euxassay_000088_18
TS23: vestibulo-cochlear ganglion Strong Uniform euxassay_000088_18
TS23: vagus ganglion Strong Uniform euxassay_000088_18

Specimen euxassay_000088_19: embryonic day 14.5 (more )
Structure Level Pattern Image Note
TS23: glossopharyngeal ganglion Strong Uniform euxassay_000088_19
TS23: trigeminal ganglion Strong Uniform euxassay_000088_19
TS23: vagus ganglion Strong Uniform euxassay_000088_19
TS23: dorsal root ganglion Strong Uniform euxassay_000088_19
TS23: vestibulo-cochlear ganglion Strong Uniform euxassay_000088_19
TS23: heart Strong Single cells euxassay_000088_19

Specimen euxassay_000088_20: embryonic day 14.5 (more )
Structure Level Pattern Image Note
TS23: dorsal root ganglion Strong Uniform euxassay_000088_20
TS23: glossopharyngeal ganglion Strong Uniform euxassay_000088_20
TS23: trigeminal ganglion Strong Uniform euxassay_000088_20
TS23: vagus ganglion Strong Uniform euxassay_000088_20
TS23: vestibulo-cochlear ganglion Strong Uniform euxassay_000088_20

Specimen euxassay_000088_22: embryonic day 14.5 (more )
Structure Level Pattern Image Note
TS23: trigeminal ganglion Moderate Uniform euxassay_000088_22
TS23: rib Moderate Uniform euxassay_000088_22

Specimen euxassay_000088_23: embryonic day 14.5 (more )
Structure Level Pattern Image Note
TS23: trigeminal ganglion Strong Uniform euxassay_000088_23
TS23: rib Moderate Uniform euxassay_000088_23

Specimen euxassay_000088_24: embryonic day 14.5 (more )
Structure Level Pattern Image Note
TS23: pelvic girdle skeleton Strong Regionally restricted euxassay_000088_24
TS23: thoracic segment skeleton Strong Regionally restricted euxassay_000088_24


Contributing Projects:
Mouse Genome Database (MGD), Gene Expression Database (GXD), Mouse Models of Human Cancer database (MMHCdb) (formerly Mouse Tumor Biology (MTB)), Gene Ontology (GO)
Citing These Resources
Funding Information
Warranty Disclaimer, Privacy Notice, Licensing, & Copyright
Send questions and comments to User Support.
last database update
12/30/2025
MGI 6.24
The Jackson Laboratory