About   Help   FAQ
Gene Expression Data
Assay Details
Assay
Reference: J:153498 Diez-Roux G, et al., A high-resolution anatomical atlas of the transcriptome in the mouse embryo. PLoS Biol. 2011;9(1):e1000582
Assay type: RNA in situ
MGI Accession ID: MGI:4823836
Gene symbol: Chchd3
Gene name: coiled-coil-helix-coiled-coil-helix domain containing 3
Probe: MGC clone 36194
Probe preparation: Antisense labelled with digoxigenin RNA
Visualized with: Alkaline phosphatase
Assay notes: Cryosections of fresh frozen material were fixed in 4% paraformaldehyde for 20 min. before further processing. A tyramide-biotin/streptavidin amplification step was included in the in situ hybridization procedure.
Results
Specimen euxassay_001805_01: embryonic day 14.5 (more )
Structure Level Pattern Image Note
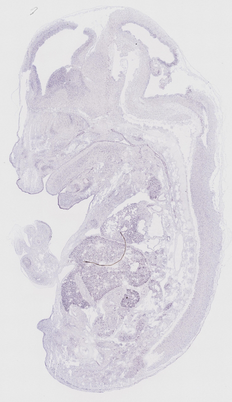
TS23: liver lobe Moderate Uniform euxassay_001805_01
TS23: orbito-sphenoid Moderate Regionally restricted euxassay_001805_01

Specimen euxassay_001805_02: embryonic day 14.5 (more )
Structure Level Pattern Image Note
TS23: liver lobe Moderate Uniform euxassay_001805_02
TS23: orbito-sphenoid Moderate Regionally restricted euxassay_001805_02

Specimen euxassay_001805_03: embryonic day 14.5 (more )
Structure Level Pattern Image Note
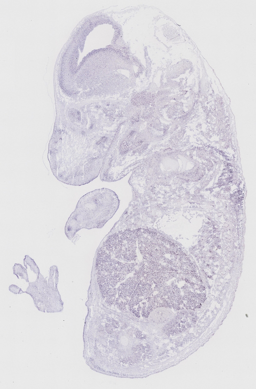
TS23: liver lobe Moderate Uniform euxassay_001805_03
TS23: orbito-sphenoid Moderate Regionally restricted euxassay_001805_03

Specimen euxassay_001805_04: embryonic day 14.5 (more )
Structure Level Pattern Image Note
TS23: liver lobe Moderate Uniform euxassay_001805_04
TS23: orbito-sphenoid Moderate Regionally restricted euxassay_001805_04

Specimen euxassay_001805_05: embryonic day 14.5 (more )
Structure Level Pattern Image Note
TS23: liver lobe Moderate Uniform euxassay_001805_05
TS23: orbito-sphenoid Moderate Regionally restricted euxassay_001805_05

Specimen euxassay_001805_06: embryonic day 14.5 (more )
Structure Level Pattern Image Note
TS23: liver lobe Moderate Uniform euxassay_001805_06
TS23: orbito-sphenoid Moderate Regionally restricted euxassay_001805_06

Specimen euxassay_001805_07: embryonic day 14.5 (more )
Structure Level Pattern Image Note
TS23: liver lobe Moderate Uniform euxassay_001805_07

Specimen euxassay_001805_08: embryonic day 14.5 (more )
Structure Level Pattern Image Note
TS23: liver lobe Moderate Uniform euxassay_001805_08

Specimen euxassay_001805_09: embryonic day 14.5 (more )
Structure Level Pattern Image Note
TS23: liver lobe Moderate Uniform euxassay_001805_09

Specimen euxassay_001805_10: embryonic day 14.5 (more )
Structure Level Pattern Image Note
TS23: liver lobe Weak Regionally restricted euxassay_001805_10
TS23: thymus primordium Weak Uniform euxassay_001805_10

Specimen euxassay_001805_11: embryonic day 14.5 (more )
Structure Level Pattern Image Note
TS23: liver lobe Weak Regionally restricted euxassay_001805_11
TS23: thymus primordium Weak Uniform euxassay_001805_11

Specimen euxassay_001805_12: embryonic day 14.5 (more )
Structure Level Pattern Image Note
TS23: liver lobe Weak Regionally restricted euxassay_001805_12

Specimen euxassay_001805_13: embryonic day 14.5 (more )
Structure Level Pattern Image Note
TS23: liver lobe Weak Regionally restricted euxassay_001805_13
TS23: thymus primordium Weak Uniform euxassay_001805_13

Specimen euxassay_001805_14: embryonic day 14.5 (more )
Structure Level Pattern Image Note
TS23: liver lobe Weak Regionally restricted euxassay_001805_14
TS23: thymus primordium Weak Uniform euxassay_001805_14

Specimen euxassay_001805_15: embryonic day 14.5 (more )
Structure Level Pattern Image Note
TS23: liver lobe Weak Regionally restricted euxassay_001805_15

Specimen euxassay_001805_16: embryonic day 14.5 (more )
Structure Level Pattern Image Note
TS23: liver lobe Weak Regionally restricted euxassay_001805_16

Specimen euxassay_001805_17: embryonic day 14.5 (more )
Structure Level Pattern Image Note
TS23: liver lobe Weak Uniform euxassay_001805_17

Specimen euxassay_001805_18: embryonic day 14.5 (more )
Structure Level Pattern Image Note
TS23: liver lobe Weak Uniform euxassay_001805_18

Specimen euxassay_001805_19: embryonic day 14.5 (more )
Structure Level Pattern Image Note
TS23: liver lobe Weak Uniform euxassay_001805_19

Specimen euxassay_001805_20: embryonic day 14.5 (more )
Structure Level Pattern Image Note
TS23: liver lobe Weak Uniform euxassay_001805_20

Specimen euxassay_001805_24: embryonic day 14.5 (more )
Structure Level Pattern Image Note
TS23: liver lobe Moderate Uniform euxassay_001805_24
TS23: orbito-sphenoid Moderate Regionally restricted euxassay_001805_24


Contributing Projects:
Mouse Genome Database (MGD), Gene Expression Database (GXD), Mouse Models of Human Cancer database (MMHCdb) (formerly Mouse Tumor Biology (MTB)), Gene Ontology (GO)
Citing These Resources
Funding Information
Warranty Disclaimer, Privacy Notice, Licensing, & Copyright
Send questions and comments to User Support.
last database update
01/06/2026
MGI 6.24
The Jackson Laboratory