About   Help   FAQ
Gene Expression Data
Assay Details
Assay
Reference: J:153498 Diez-Roux G, et al., A high-resolution anatomical atlas of the transcriptome in the mouse embryo. PLoS Biol. 2011;9(1):e1000582
Assay type: RNA in situ
MGI Accession ID: MGI:4823835
Gene symbol: Chchd2
Gene name: coiled-coil-helix-coiled-coil-helix domain containing 2
Probe: T3339
Probe preparation: Antisense labelled with digoxigenin RNA
Visualized with: Alkaline phosphatase
Assay notes: Cryosections of fresh frozen material were fixed in 4% paraformaldehyde for 20 min. before further processing. A tyramide-biotin/streptavidin amplification step was included in the in situ hybridization procedure.
Results
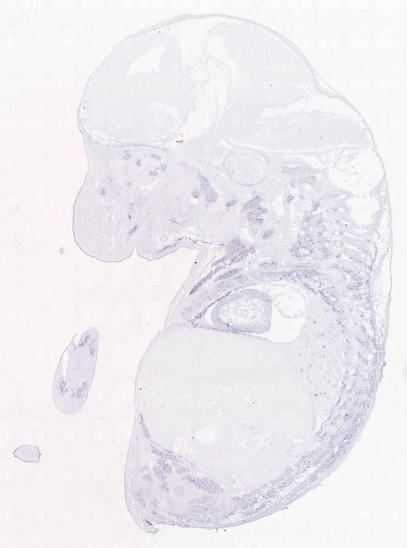
Specimen euxassay_002441_01: embryonic day 14.5 (more )
Structure Level Pattern Image Note
TS23: vertebral axis musculature Moderate Regionally restricted euxassay_002441_01
TS23: diaphragm Moderate Regionally restricted euxassay_002441_01

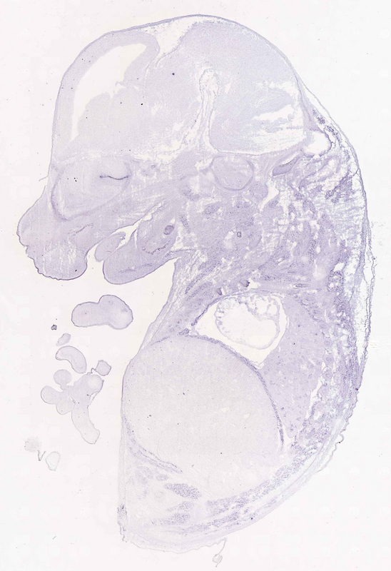
Specimen euxassay_002441_02: embryonic day 14.5 (more )
Structure Level Pattern Image Note
TS23: vertebral axis musculature Moderate Regionally restricted euxassay_002441_02
TS23: head mesenchyme Moderate Regionally restricted euxassay_002441_02
TS23: diaphragm Moderate Regionally restricted euxassay_002441_02

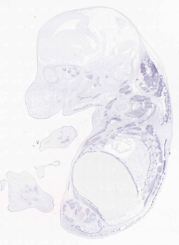
Specimen euxassay_002441_03: embryonic day 14.5 (more )
Structure Level Pattern Image Note
TS23: vertebral axis musculature Moderate Regionally restricted euxassay_002441_03
TS23: head mesenchyme Moderate Regionally restricted euxassay_002441_03
TS23: diaphragm Moderate Regionally restricted euxassay_002441_03

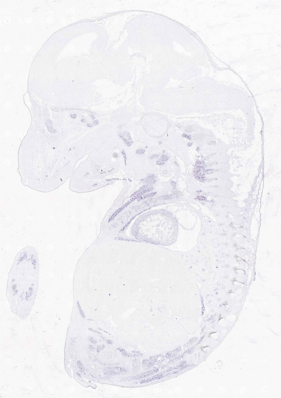
Specimen euxassay_002441_04: embryonic day 14.5 (more )
Structure Level Pattern Image Note
TS23: vertebral axis musculature Moderate Regionally restricted euxassay_002441_04
TS23: head mesenchyme Moderate Regionally restricted euxassay_002441_04
TS23: diaphragm Moderate Regionally restricted euxassay_002441_04

Specimen euxassay_002441_05: embryonic day 14.5 (more )
Structure Level Pattern Image Note
TS23: vertebral axis musculature Moderate Regionally restricted euxassay_002441_05
TS23: head mesenchyme Moderate Regionally restricted euxassay_002441_05
TS23: diaphragm Moderate Regionally restricted euxassay_002441_05
TS23: heart ventricle Weak Regionally restricted euxassay_002441_05

Specimen euxassay_002441_06: embryonic day 14.5 (more )
Structure Level Pattern Image Note
TS23: vertebral axis musculature Moderate Regionally restricted euxassay_002441_06
TS23: head mesenchyme Moderate Regionally restricted euxassay_002441_06
TS23: diaphragm Moderate Regionally restricted euxassay_002441_06
TS23: heart ventricle Weak Regionally restricted euxassay_002441_06

Specimen euxassay_002441_07: embryonic day 14.5 (more )
Structure Level Pattern Image Note
TS23: vertebral axis musculature Moderate Regionally restricted euxassay_002441_07
TS23: head mesenchyme Moderate Regionally restricted euxassay_002441_07
TS23: heart ventricle Weak Regionally restricted euxassay_002441_07

Specimen euxassay_002441_08: embryonic day 14.5 (more )
Structure Level Pattern Image Note
TS23: vertebral axis musculature Moderate Regionally restricted euxassay_002441_08
TS23: head mesenchyme Moderate Regionally restricted euxassay_002441_08
TS23: heart ventricle Weak Regionally restricted euxassay_002441_08

Specimen euxassay_002441_09: embryonic day 14.5 (more )
Structure Level Pattern Image Note
TS23: vertebral axis musculature Moderate Regionally restricted euxassay_002441_09
TS23: head mesenchyme Moderate Regionally restricted euxassay_002441_09
TS23: heart ventricle Weak Regionally restricted euxassay_002441_09

Specimen euxassay_002441_10: embryonic day 14.5 (more )
Structure Level Pattern Image Note
TS23: vertebral axis musculature Moderate Regionally restricted euxassay_002441_10
TS23: tongue Moderate Regionally restricted euxassay_002441_10
TS23: heart ventricle Weak Regionally restricted euxassay_002441_10

Specimen euxassay_002441_11: embryonic day 14.5 (more )
Structure Level Pattern Image Note
TS23: tongue Moderate Regionally restricted euxassay_002441_11
TS23: heart ventricle Weak Regionally restricted euxassay_002441_11

Specimen euxassay_002441_12: embryonic day 14.5 (more )
Structure Level Pattern Image Note
TS23: vertebral axis musculature Moderate Regionally restricted euxassay_002441_12
TS23: tongue Moderate Regionally restricted euxassay_002441_12
TS23: heart ventricle Weak Regionally restricted euxassay_002441_12

Specimen euxassay_002441_13: embryonic day 14.5 (more )
Structure Level Pattern Image Note
TS23: vertebral axis musculature Moderate Regionally restricted euxassay_002441_13
TS23: tongue Moderate Regionally restricted euxassay_002441_13
TS23: heart ventricle Weak Regionally restricted euxassay_002441_13

Specimen euxassay_002441_14: embryonic day 14.5 (more )
Structure Level Pattern Image Note
TS23: vertebral axis musculature Moderate Regionally restricted euxassay_002441_14
TS23: tongue Moderate Regionally restricted euxassay_002441_14
TS23: heart ventricle Weak Regionally restricted euxassay_002441_14

Specimen euxassay_002441_15: embryonic day 14.5 (more )
Structure Level Pattern Image Note
TS23: vertebral axis musculature Moderate Regionally restricted euxassay_002441_15
TS23: tongue Moderate Regionally restricted euxassay_002441_15
TS23: diaphragm Moderate Regionally restricted euxassay_002441_15
TS23: heart ventricle Weak Regionally restricted euxassay_002441_15

Specimen euxassay_002441_16: embryonic day 14.5 (more )
Structure Level Pattern Image Note
TS23: vertebral axis musculature Moderate Regionally restricted euxassay_002441_16
TS23: tongue Moderate Regionally restricted euxassay_002441_16
TS23: diaphragm Strong Regionally restricted euxassay_002441_16

Specimen euxassay_002441_17: embryonic day 14.5 (more )
Structure Level Pattern Image Note
TS23: vertebral axis musculature Moderate Regionally restricted euxassay_002441_17
TS23: diaphragm Strong Regionally restricted euxassay_002441_17

Specimen euxassay_002441_18: embryonic day 14.5 (more )
Structure Level Pattern Image Note
TS23: vertebral axis musculature Moderate Regionally restricted euxassay_002441_18
TS23: diaphragm Strong Regionally restricted euxassay_002441_18

Specimen euxassay_002441_19: embryonic day 14.5 (more )
Structure Level Pattern Image Note
TS23: vertebral axis musculature Moderate Regionally restricted euxassay_002441_19
TS23: head mesenchyme Moderate Regionally restricted euxassay_002441_19
TS23: diaphragm Strong Regionally restricted euxassay_002441_19

Specimen euxassay_002441_20: embryonic day 14.5 (more )
Structure Level Pattern Image Note
TS23: vertebral axis musculature Moderate Regionally restricted euxassay_002441_20
TS23: head mesenchyme Moderate Regionally restricted euxassay_002441_20
TS23: diaphragm Strong Regionally restricted euxassay_002441_20

Specimen euxassay_002441_21: embryonic day 14.5 (more )
Structure Level Pattern Image Note
TS23: vertebral axis musculature Moderate Regionally restricted euxassay_002441_21
TS23: head mesenchyme Moderate Regionally restricted euxassay_002441_21
TS23: diaphragm Strong Regionally restricted euxassay_002441_21

Specimen euxassay_002441_22: embryonic day 14.5 (more )
Structure Level Pattern Image Note
TS23: vertebral axis musculature Moderate Regionally restricted euxassay_002441_22
TS23: head mesenchyme Moderate Regionally restricted euxassay_002441_22
TS23: diaphragm Strong Regionally restricted euxassay_002441_22

Specimen euxassay_002441_23: embryonic day 14.5 (more )
Structure Level Pattern Image Note
TS23: vertebral axis musculature Moderate Regionally restricted euxassay_002441_23
TS23: head mesenchyme Moderate Regionally restricted euxassay_002441_23


Contributing Projects:
Mouse Genome Database (MGD), Gene Expression Database (GXD), Mouse Models of Human Cancer database (MMHCdb) (formerly Mouse Tumor Biology (MTB)), Gene Ontology (GO)
Citing These Resources
Funding Information
Warranty Disclaimer, Privacy Notice, Licensing, & Copyright
Send questions and comments to User Support.
last database update
12/30/2025
MGI 6.24
The Jackson Laboratory