About   Help   FAQ
Gene Expression Data
Assay Details
Assay
Reference: J:153498 Diez-Roux G, et al., A high-resolution anatomical atlas of the transcriptome in the mouse embryo. PLoS Biol. 2011;9(1):e1000582
Assay type: RNA in situ
MGI Accession ID: MGI:4823809
Gene symbol: Cenpo
Gene name: centromere protein O
Probe: IMAGE clone 560206
Probe preparation: Antisense labelled with digoxigenin RNA
Visualized with: Alkaline phosphatase
Assay notes: Cryosections of fresh frozen material were fixed in 4% paraformaldehyde for 20 min. before further processing. A tyramide-biotin/streptavidin amplification step was included in the in situ hybridization procedure.
Results
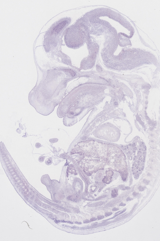
Specimen euxassay_000072_01: embryonic day 14.5 (more )
Structure Level Pattern Image Note
TS23: vibrissa Weak Regionally restricted euxassay_000072_01
TS23: liver lobe Moderate Regionally restricted euxassay_000072_01
TS23: telencephalon ventricular layer Moderate Uniform euxassay_000072_01
TS23: chondrocranium Weak Regionally restricted euxassay_000072_01
TS23: Meckel's cartilage Weak Regionally restricted euxassay_000072_01

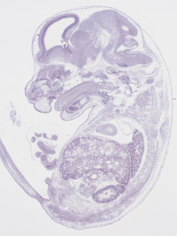
Specimen euxassay_000072_02: embryonic day 14.5 (more )
Structure Level Pattern Image Note
TS23: vibrissa Weak Regionally restricted euxassay_000072_02
TS23: liver lobe Moderate Regionally restricted euxassay_000072_02
TS23: telencephalon ventricular layer Moderate Uniform euxassay_000072_02
TS23: chondrocranium Weak Regionally restricted euxassay_000072_02
TS23: Meckel's cartilage Weak Regionally restricted euxassay_000072_02

Specimen euxassay_000072_03: embryonic day 14.5 (more )
Structure Level Pattern Image Note
TS23: vibrissa Weak Regionally restricted euxassay_000072_03
TS23: liver lobe Moderate Regionally restricted euxassay_000072_03
TS23: trigeminal ganglion Moderate Regionally restricted euxassay_000072_03
TS23: telencephalon ventricular layer Moderate Uniform euxassay_000072_03
TS23: chondrocranium Weak Regionally restricted euxassay_000072_03
TS23: Meckel's cartilage Weak Regionally restricted euxassay_000072_03

Specimen euxassay_000072_04: embryonic day 14.5 (more )
Structure Level Pattern Image Note
TS23: vibrissa Weak Regionally restricted euxassay_000072_04
TS23: liver lobe Moderate Regionally restricted euxassay_000072_04
TS23: trigeminal ganglion Moderate Regionally restricted euxassay_000072_04
TS23: facial ganglion Moderate Regionally restricted euxassay_000072_04
TS23: telencephalon ventricular layer Moderate Uniform euxassay_000072_04
TS23: chondrocranium Weak Regionally restricted euxassay_000072_04
TS23: Meckel's cartilage Weak Regionally restricted euxassay_000072_04

Specimen euxassay_000072_05: embryonic day 14.5 (more )
Structure Level Pattern Image Note
TS23: vibrissa Weak Regionally restricted euxassay_000072_05
TS23: liver lobe Moderate Regionally restricted euxassay_000072_05
TS23: testis Moderate Regionally restricted euxassay_000072_05
TS23: trigeminal ganglion Moderate Regionally restricted euxassay_000072_05
TS23: facial ganglion Moderate Regionally restricted euxassay_000072_05
TS23: telencephalon ventricular layer Moderate Uniform euxassay_000072_05
TS23: Meckel's cartilage Weak Regionally restricted euxassay_000072_05

Specimen euxassay_000072_06: embryonic day 14.5 (more )
Structure Level Pattern Image Note
TS23: lower jaw molar Moderate Regionally restricted euxassay_000072_06
TS23: upper jaw molar Moderate Regionally restricted euxassay_000072_06
TS23: vibrissa Weak Regionally restricted euxassay_000072_06
TS23: liver lobe Moderate Regionally restricted euxassay_000072_06
TS23: testis Moderate Regionally restricted euxassay_000072_06
TS23: trigeminal ganglion Moderate Regionally restricted euxassay_000072_06
TS23: facial ganglion Moderate Regionally restricted euxassay_000072_06
TS23: telencephalon ventricular layer Moderate Uniform euxassay_000072_06
TS23: olfactory epithelium Weak Regionally restricted euxassay_000072_06
TS23: Meckel's cartilage Weak Regionally restricted euxassay_000072_06
TS23: lung Weak Regionally restricted euxassay_000072_06

Specimen euxassay_000072_07: embryonic day 14.5 (more )
Structure Level Pattern Image Note
TS23: lower jaw molar Moderate Regionally restricted euxassay_000072_07
TS23: upper jaw molar Moderate Regionally restricted euxassay_000072_07
TS23: submandibular gland primordium Moderate Regionally restricted euxassay_000072_07
TS23: liver lobe Moderate Regionally restricted euxassay_000072_07
TS23: testis Moderate Regionally restricted euxassay_000072_07
TS23: renal cortex Moderate Regionally restricted euxassay_000072_07
TS23: trigeminal ganglion Moderate Regionally restricted euxassay_000072_07
TS23: vestibulo-cochlear ganglion Moderate Regionally restricted euxassay_000072_07
TS23: telencephalon ventricular layer Moderate Uniform euxassay_000072_07
TS23: olfactory epithelium Weak Regionally restricted euxassay_000072_07
TS23: lung Weak Regionally restricted euxassay_000072_07

Specimen euxassay_000072_08: embryonic day 14.5 (more )
Structure Level Pattern Image Note
TS23: submandibular gland primordium Moderate Regionally restricted euxassay_000072_08
TS23: liver lobe Moderate Regionally restricted euxassay_000072_08
TS23: testis Moderate Regionally restricted euxassay_000072_08
TS23: renal cortex Moderate Regionally restricted euxassay_000072_08
TS23: trigeminal ganglion Moderate Regionally restricted euxassay_000072_08
TS23: glossopharyngeal ganglion Moderate Regionally restricted euxassay_000072_08
TS23: telencephalon ventricular layer Moderate Uniform euxassay_000072_08
TS23: olfactory epithelium Weak Regionally restricted euxassay_000072_08
TS23: lung Weak Regionally restricted euxassay_000072_08

Specimen euxassay_000072_09: embryonic day 14.5 (more )
Structure Level Pattern Image Note
TS23: upper jaw incisor Moderate Regionally restricted euxassay_000072_09
TS23: lower jaw incisor Moderate Regionally restricted euxassay_000072_09
TS23: submandibular gland primordium Moderate Regionally restricted euxassay_000072_09
TS23: liver lobe Moderate Regionally restricted euxassay_000072_09
TS23: renal cortex Moderate Regionally restricted euxassay_000072_09
TS23: trigeminal ganglion Moderate Regionally restricted euxassay_000072_09
TS23: glossopharyngeal ganglion Moderate Regionally restricted euxassay_000072_09
TS23: telencephalon ventricular layer Moderate Uniform euxassay_000072_09
TS23: olfactory epithelium Weak Regionally restricted euxassay_000072_09
TS23: lung Weak Regionally restricted euxassay_000072_09

Specimen euxassay_000072_10: embryonic day 14.5 (more )
Structure Level Pattern Image Note
TS23: lower jaw incisor Moderate Regionally restricted euxassay_000072_10
TS23: upper jaw incisor Moderate Regionally restricted euxassay_000072_10
TS23: submandibular gland primordium Moderate Regionally restricted euxassay_000072_10
TS23: liver lobe Moderate Regionally restricted euxassay_000072_10
TS23: renal cortex Moderate Regionally restricted euxassay_000072_10
TS23: telencephalon ventricular layer Moderate Uniform euxassay_000072_10
TS23: olfactory epithelium Weak Regionally restricted euxassay_000072_10
TS23: lung Weak Regionally restricted euxassay_000072_10
TS23: medulla oblongata basal plate Moderate Regionally restricted euxassay_000072_10

Specimen euxassay_000072_11: embryonic day 14.5 (more )
Structure Level Pattern Image Note
TS23: lower jaw incisor Moderate Regionally restricted euxassay_000072_11
TS23: upper jaw incisor Moderate Regionally restricted euxassay_000072_11
TS23: tail dorsal root ganglion Moderate Regionally restricted euxassay_000072_11
TS23: liver lobe Moderate Regionally restricted euxassay_000072_11
TS23: renal cortex Moderate Regionally restricted euxassay_000072_11
TS23: telencephalon ventricular layer Moderate Uniform euxassay_000072_11
TS23: olfactory epithelium Weak Regionally restricted euxassay_000072_11
TS23: lung Weak Regionally restricted euxassay_000072_11
TS23: medulla oblongata basal plate Moderate Regionally restricted euxassay_000072_11

Specimen euxassay_000072_12: embryonic day 14.5 (more )
Structure Level Pattern Image Note
TS23: lower jaw incisor Moderate Regionally restricted euxassay_000072_12
TS23: tail dorsal root ganglion Moderate Regionally restricted euxassay_000072_12
TS23: liver lobe Moderate Regionally restricted euxassay_000072_12
TS23: telencephalon ventricular layer Moderate Uniform euxassay_000072_12
TS23: lung Weak Regionally restricted euxassay_000072_12

Specimen euxassay_000072_13: embryonic day 14.5 (more )
Structure Level Pattern Image Note
TS23: thymus primordium Moderate Uniform euxassay_000072_13
TS23: liver lobe Moderate Regionally restricted euxassay_000072_13
TS23: telencephalon ventricular layer Moderate Uniform euxassay_000072_13

Specimen euxassay_000072_14: embryonic day 14.5 (more )
Structure Level Pattern Image Note
TS23: upper jaw incisor Moderate Regionally restricted euxassay_000072_14
TS23: thymus primordium Moderate Uniform euxassay_000072_14
TS23: liver lobe Moderate Regionally restricted euxassay_000072_14
TS23: telencephalon ventricular layer Moderate Uniform euxassay_000072_14
TS23: olfactory epithelium Weak Regionally restricted euxassay_000072_14

Specimen euxassay_000072_15: embryonic day 14.5 (more )
Structure Level Pattern Image Note
TS23: lower jaw incisor Moderate Regionally restricted euxassay_000072_15
TS23: upper jaw incisor Moderate Regionally restricted euxassay_000072_15
TS23: thymus primordium Moderate Uniform euxassay_000072_15
TS23: liver lobe Moderate Regionally restricted euxassay_000072_15
TS23: telencephalon ventricular layer Moderate Uniform euxassay_000072_15
TS23: olfactory epithelium Weak Regionally restricted euxassay_000072_15

Specimen euxassay_000072_16: embryonic day 14.5 (more )
Structure Level Pattern Image Note
TS23: lower jaw incisor Moderate Regionally restricted euxassay_000072_16
TS23: tail dorsal root ganglion Moderate Regionally restricted euxassay_000072_16
TS23: thymus primordium Moderate Uniform euxassay_000072_16
TS23: liver lobe Moderate Regionally restricted euxassay_000072_16
TS23: telencephalon ventricular layer Moderate Uniform euxassay_000072_16
TS23: olfactory epithelium Weak Regionally restricted euxassay_000072_16
TS23: lung Weak Regionally restricted euxassay_000072_16

Specimen euxassay_000072_17: embryonic day 14.5 (more )
Structure Level Pattern Image Note
TS23: lower jaw incisor Moderate Regionally restricted euxassay_000072_17
TS23: tail dorsal root ganglion Moderate Regionally restricted euxassay_000072_17
TS23: thymus primordium Moderate Uniform euxassay_000072_17
TS23: liver lobe Moderate Regionally restricted euxassay_000072_17
TS23: telencephalon ventricular layer Moderate Uniform euxassay_000072_17
TS23: olfactory epithelium Weak Regionally restricted euxassay_000072_17
TS23: lung Weak Regionally restricted euxassay_000072_17

Specimen euxassay_000072_18: embryonic day 14.5 (more )
Structure Level Pattern Image Note
TS23: tail dorsal root ganglion Moderate Regionally restricted euxassay_000072_18
TS23: submandibular gland primordium Moderate Regionally restricted euxassay_000072_18
TS23: thymus primordium Moderate Uniform euxassay_000072_18
TS23: liver lobe Moderate Regionally restricted euxassay_000072_18
TS23: renal cortex Moderate Regionally restricted euxassay_000072_18
TS23: trigeminal ganglion Moderate Regionally restricted euxassay_000072_18
TS23: telencephalon ventricular layer Moderate Uniform euxassay_000072_18
TS23: olfactory epithelium Weak Regionally restricted euxassay_000072_18
TS23: lung Weak Regionally restricted euxassay_000072_18
TS23: medulla oblongata basal plate Moderate Regionally restricted euxassay_000072_18

Specimen euxassay_000072_19: embryonic day 14.5 (more )
Structure Level Pattern Image Note
TS23: lower jaw molar Moderate Regionally restricted euxassay_000072_19
TS23: upper jaw molar Moderate Regionally restricted euxassay_000072_19
TS23: tail dorsal root ganglion Moderate Regionally restricted euxassay_000072_19
TS23: submandibular gland primordium Moderate Regionally restricted euxassay_000072_19
TS23: vibrissa Weak Regionally restricted euxassay_000072_19
TS23: liver lobe Moderate Regionally restricted euxassay_000072_19
TS23: renal cortex Moderate Regionally restricted euxassay_000072_19
TS23: trigeminal ganglion Moderate Regionally restricted euxassay_000072_19
TS23: telencephalon ventricular layer Moderate Uniform euxassay_000072_19
TS23: olfactory epithelium Weak Regionally restricted euxassay_000072_19
TS23: lung Weak Regionally restricted euxassay_000072_19
TS23: medulla oblongata basal plate Moderate Regionally restricted euxassay_000072_19

Specimen euxassay_000072_20: embryonic day 14.5 (more )
Structure Level Pattern Image Note
TS23: upper jaw molar Moderate Regionally restricted euxassay_000072_20
TS23: lower jaw molar Moderate Regionally restricted euxassay_000072_20
TS23: tail dorsal root ganglion Moderate Regionally restricted euxassay_000072_20
TS23: submandibular gland primordium Moderate Regionally restricted euxassay_000072_20
TS23: vibrissa Weak Regionally restricted euxassay_000072_20
TS23: liver lobe Moderate Regionally restricted euxassay_000072_20
TS23: renal cortex Moderate Regionally restricted euxassay_000072_20
TS23: trigeminal ganglion Moderate Regionally restricted euxassay_000072_20
TS23: telencephalon ventricular layer Moderate Uniform euxassay_000072_20
TS23: lung Weak Regionally restricted euxassay_000072_20

Specimen euxassay_000072_21: embryonic day 14.5 (more )
Structure Level Pattern Image Note
TS23: tail dorsal root ganglion Moderate Regionally restricted euxassay_000072_21
TS23: submandibular gland primordium Moderate Regionally restricted euxassay_000072_21
TS23: vibrissa Weak Regionally restricted euxassay_000072_21
TS23: liver lobe Moderate Regionally restricted euxassay_000072_21
TS23: testis Moderate Regionally restricted euxassay_000072_21
TS23: renal cortex Moderate Regionally restricted euxassay_000072_21
TS23: trigeminal ganglion Moderate Regionally restricted euxassay_000072_21
TS23: facial ganglion Moderate Regionally restricted euxassay_000072_21
TS23: glossopharyngeal ganglion Moderate Regionally restricted euxassay_000072_21
TS23: telencephalon ventricular layer Moderate Uniform euxassay_000072_21
TS23: chondrocranium Weak Regionally restricted euxassay_000072_21
TS23: Meckel's cartilage Weak Regionally restricted euxassay_000072_21
TS23: lung Weak Regionally restricted euxassay_000072_21

Specimen euxassay_000072_22: embryonic day 14.5 (more )
Structure Level Pattern Image Note
TS23: submandibular gland primordium Moderate Regionally restricted euxassay_000072_22
TS23: liver lobe Moderate Regionally restricted euxassay_000072_22
TS23: testis Moderate Regionally restricted euxassay_000072_22
TS23: renal cortex Moderate Regionally restricted euxassay_000072_22
TS23: trigeminal ganglion Moderate Regionally restricted euxassay_000072_22
TS23: vestibulo-cochlear ganglion Moderate Regionally restricted euxassay_000072_22
TS23: telencephalon ventricular layer Moderate Uniform euxassay_000072_22
TS23: chondrocranium Weak Regionally restricted euxassay_000072_22
TS23: Meckel's cartilage Weak Regionally restricted euxassay_000072_22
TS23: lung Weak Regionally restricted euxassay_000072_22

Specimen euxassay_000072_23: embryonic day 14.5 (more )
Structure Level Pattern Image Note
TS23: vibrissa Weak Regionally restricted euxassay_000072_23
TS23: liver lobe Moderate Regionally restricted euxassay_000072_23
TS23: testis Moderate Regionally restricted euxassay_000072_23
TS23: trigeminal ganglion Moderate Regionally restricted euxassay_000072_23
TS23: facial ganglion Moderate Regionally restricted euxassay_000072_23
TS23: telencephalon ventricular layer Moderate Uniform euxassay_000072_23
TS23: chondrocranium Weak Regionally restricted euxassay_000072_23
TS23: lung Weak Regionally restricted euxassay_000072_23


Contributing Projects:
Mouse Genome Database (MGD), Gene Expression Database (GXD), Mouse Models of Human Cancer database (MMHCdb) (formerly Mouse Tumor Biology (MTB)), Gene Ontology (GO)
Citing These Resources
Funding Information
Warranty Disclaimer, Privacy Notice, Licensing, & Copyright
Send questions and comments to User Support.
last database update
01/28/2026
MGI 6.24
The Jackson Laboratory