About   Help   FAQ
Gene Expression Data
Assay Details
Assay
Reference: J:153498 Diez-Roux G, et al., A high-resolution anatomical atlas of the transcriptome in the mouse embryo. PLoS Biol. 2011;9(1):e1000582
Assay type: RNA in situ
MGI Accession ID: MGI:4823801
Gene symbol: Cela1
Gene name: chymotrypsin-like elastase family, member 1
Probe: T30942
Probe preparation: Antisense labelled with digoxigenin RNA
Visualized with: Alkaline phosphatase
Assay notes: Cryosections of fresh frozen material were fixed in 4% paraformaldehyde for 20 min. before further processing. A tyramide-biotin/streptavidin amplification step was included in the in situ hybridization procedure.
Results
Specimen euxassay_009879_07: embryonic day 14.5 (more )
Structure Level Pattern Image Note
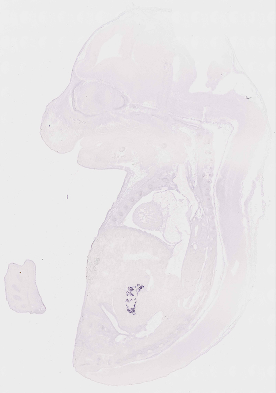
TS23: pancreas Moderate Regionally restricted euxassay_009879_07

Specimen euxassay_009879_08: embryonic day 14.5 (more )
Structure Level Pattern Image Note
TS23: pancreas Strong Regionally restricted euxassay_009879_08

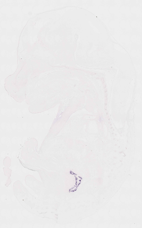
Specimen euxassay_009879_09: embryonic day 14.5 (more )
Structure Level Pattern Image Note
TS23: pancreas Strong Regionally restricted euxassay_009879_09

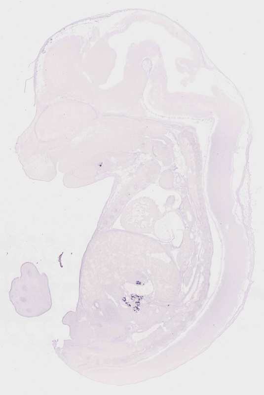
Specimen euxassay_009879_10: embryonic day 14.5 (more )
Structure Level Pattern Image Note
TS23: pancreas Strong Regionally restricted euxassay_009879_10

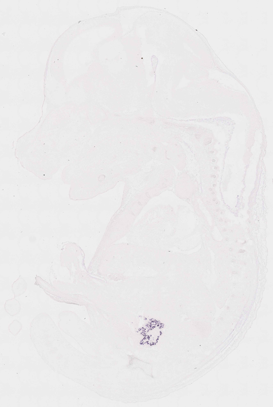
Specimen euxassay_009879_11: embryonic day 14.5 (more )
Structure Level Pattern Image Note
TS23: pancreas Strong Regionally restricted euxassay_009879_11

Specimen euxassay_009879_12: embryonic day 14.5 (more )
Structure Level Pattern Image Note
TS23: pancreas Strong Regionally restricted euxassay_009879_12

Specimen euxassay_009879_13: embryonic day 14.5 (more )
Structure Level Pattern Image Note
TS23: pancreas Strong Regionally restricted euxassay_009879_13

Specimen euxassay_009879_14: embryonic day 14.5 (more )
Structure Level Pattern Image Note
TS23: pancreas Strong Regionally restricted euxassay_009879_14

Specimen euxassay_009879_15: embryonic day 14.5 (more )
Structure Level Pattern Image Note
TS23: pancreas Strong Regionally restricted euxassay_009879_15


Contributing Projects:
Mouse Genome Database (MGD), Gene Expression Database (GXD), Mouse Models of Human Cancer database (MMHCdb) (formerly Mouse Tumor Biology (MTB)), Gene Ontology (GO)
Citing These Resources
Funding Information
Warranty Disclaimer, Privacy Notice, Licensing, & Copyright
Send questions and comments to User Support.
last database update
12/30/2025
MGI 6.24
The Jackson Laboratory