About   Help   FAQ
Gene Expression Data
Assay Details
Assay
Reference: J:153498 Diez-Roux G, et al., A high-resolution anatomical atlas of the transcriptome in the mouse embryo. PLoS Biol. 2011;9(1):e1000582
Assay type: RNA in situ
MGI Accession ID: MGI:4823798
Gene symbol: Cebpz
Gene name: CCAAT/enhancer binding protein zeta
Probe: T31526
Probe preparation: Antisense labelled with digoxigenin RNA
Visualized with: Alkaline phosphatase
Assay notes: Cryosections of fresh frozen material were fixed in 4% paraformaldehyde for 20 min. before further processing. A tyramide-biotin/streptavidin amplification step was included in the in situ hybridization procedure.
Results
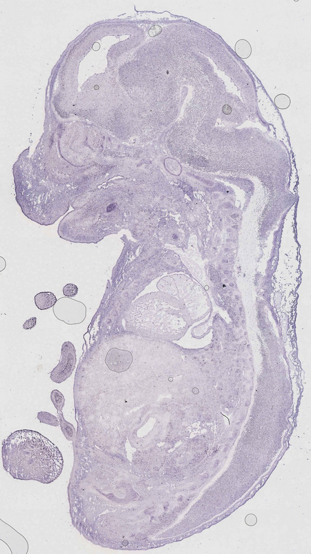
Specimen euxassay_014370_01: embryonic day 14.5 (more )
Structure Level Pattern Image Note
TS23: basioccipital bone Strong Regionally restricted euxassay_014370_01
TS23: temporal bone petrous part Strong Regionally restricted euxassay_014370_01
TS23: vault of skull Strong Regionally restricted euxassay_014370_01
TS23: orbito-sphenoid Strong Regionally restricted euxassay_014370_01
TS23: rib Strong Regionally restricted euxassay_014370_01
TS23: fibula Strong Regionally restricted euxassay_014370_01
TS23: tibia Strong Regionally restricted euxassay_014370_01
TS23: femur Strong Regionally restricted euxassay_014370_01
TS23: radius Strong Regionally restricted euxassay_014370_01
TS23: humerus Strong Regionally restricted euxassay_014370_01
TS23: scapula Strong Regionally restricted euxassay_014370_01

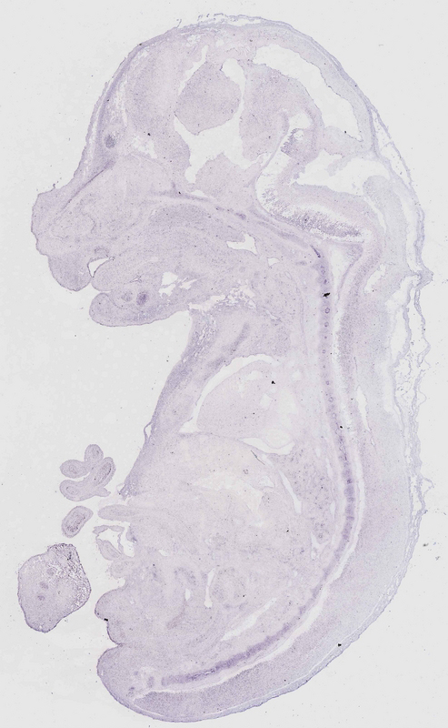
Specimen euxassay_014370_02: embryonic day 14.5 (more )
Structure Level Pattern Image Note
TS23: basioccipital bone Strong Regionally restricted euxassay_014370_02
TS23: temporal bone petrous part Strong Regionally restricted euxassay_014370_02
TS23: orbito-sphenoid Strong Regionally restricted euxassay_014370_02
TS23: Meckel's cartilage Strong Regionally restricted euxassay_014370_02
TS23: rib Strong Regionally restricted euxassay_014370_02
TS23: fibula Strong Regionally restricted euxassay_014370_02
TS23: tibia Strong Regionally restricted euxassay_014370_02
TS23: femur Strong Regionally restricted euxassay_014370_02
TS23: humerus Strong Regionally restricted euxassay_014370_02
TS23: scapula Strong Regionally restricted euxassay_014370_02
TS23: radius Strong Regionally restricted euxassay_014370_02
TS23: ulna Strong Regionally restricted euxassay_014370_02

Specimen euxassay_014370_03: embryonic day 14.5 (more )
Structure Level Pattern Image Note
TS23: basioccipital bone Strong Regionally restricted euxassay_014370_03
TS23: temporal bone petrous part Strong Regionally restricted euxassay_014370_03
TS23: orbito-sphenoid Strong Regionally restricted euxassay_014370_03
TS23: Meckel's cartilage Strong Regionally restricted euxassay_014370_03
TS23: rib Strong Regionally restricted euxassay_014370_03
TS23: fibula Strong Regionally restricted euxassay_014370_03
TS23: tibia Strong Regionally restricted euxassay_014370_03
TS23: femur Strong Regionally restricted euxassay_014370_03
TS23: humerus Strong Regionally restricted euxassay_014370_03
TS23: scapula Strong Regionally restricted euxassay_014370_03

Specimen euxassay_014370_04: embryonic day 14.5 (more )
Structure Level Pattern Image Note
TS23: basioccipital bone Strong Regionally restricted euxassay_014370_04
TS23: temporal bone petrous part Strong Regionally restricted euxassay_014370_04
TS23: orbito-sphenoid Strong Regionally restricted euxassay_014370_04
TS23: Meckel's cartilage Strong Regionally restricted euxassay_014370_04
TS23: rib Strong Regionally restricted euxassay_014370_04
TS23: fibula Strong Regionally restricted euxassay_014370_04
TS23: tibia Strong Regionally restricted euxassay_014370_04
TS23: femur Strong Regionally restricted euxassay_014370_04
TS23: humerus Strong Regionally restricted euxassay_014370_04
TS23: scapula Strong Regionally restricted euxassay_014370_04

Specimen euxassay_014370_05: embryonic day 14.5 (more )
Structure Level Pattern Image Note
TS23: basioccipital bone Strong Regionally restricted euxassay_014370_05
TS23: orbito-sphenoid Strong Regionally restricted euxassay_014370_05
TS23: temporal bone petrous part Strong Regionally restricted euxassay_014370_05
TS23: Meckel's cartilage Strong Regionally restricted euxassay_014370_05
TS23: rib Strong Regionally restricted euxassay_014370_05
TS23: tibia Strong Regionally restricted euxassay_014370_05
TS23: femur Strong Regionally restricted euxassay_014370_05
TS23: humerus Strong Regionally restricted euxassay_014370_05

Specimen euxassay_014370_06: embryonic day 14.5 (more )
Structure Level Pattern Image Note
TS23: basioccipital bone Strong Regionally restricted euxassay_014370_06
TS23: temporal bone petrous part Strong Regionally restricted euxassay_014370_06
TS23: orbito-sphenoid Strong Regionally restricted euxassay_014370_06
TS23: Meckel's cartilage Strong Regionally restricted euxassay_014370_06
TS23: rib Strong Regionally restricted euxassay_014370_06
TS23: tibia Strong Regionally restricted euxassay_014370_06
TS23: femur Strong Regionally restricted euxassay_014370_06

Specimen euxassay_014370_07: embryonic day 14.5 (more )
Structure Level Pattern Image Note
TS23: basioccipital bone Strong Regionally restricted euxassay_014370_07
TS23: orbito-sphenoid Strong Regionally restricted euxassay_014370_07
TS23: Meckel's cartilage Strong Regionally restricted euxassay_014370_07
TS23: turbinate bone primordium Strong Regionally restricted euxassay_014370_07
TS23: otic capsule Strong Regionally restricted euxassay_014370_07
TS23: rib Strong Regionally restricted euxassay_014370_07
TS23: axial skeleton Strong Regionally restricted euxassay_014370_07
TS23: femur Strong Regionally restricted euxassay_014370_07
TS23: scapula Strong Regionally restricted euxassay_014370_07
TS23: hindlimb digit 4 metatarsal Strong Regionally restricted euxassay_014370_07
TS23: hindlimb digit 4 phalanx Strong Regionally restricted euxassay_014370_07
TS23: hindlimb digit 3 metatarsal Strong Regionally restricted euxassay_014370_07
TS23: hindlimb digit 3 phalanx Strong Regionally restricted euxassay_014370_07
TS23: clavicle Strong Regionally restricted euxassay_014370_07

Specimen euxassay_014370_08: embryonic day 14.5 (more )
Structure Level Pattern Image Note
TS23: basioccipital bone Strong Regionally restricted euxassay_014370_08
TS23: basisphenoid bone Strong Regionally restricted euxassay_014370_08
TS23: orbito-sphenoid Strong Regionally restricted euxassay_014370_08
TS23: Meckel's cartilage Strong Regionally restricted euxassay_014370_08
TS23: turbinate bone primordium Strong Regionally restricted euxassay_014370_08
TS23: otic capsule Strong Regionally restricted euxassay_014370_08
TS23: rib Strong Regionally restricted euxassay_014370_08
TS23: axial skeleton Strong Regionally restricted euxassay_014370_08
TS23: pelvic girdle skeleton Strong Regionally restricted euxassay_014370_08
TS23: clavicle Strong Regionally restricted euxassay_014370_08

Specimen euxassay_014370_09: embryonic day 14.5 (more )
Structure Level Pattern Image Note
TS23: basioccipital bone Moderate Regionally restricted euxassay_014370_09
TS23: basisphenoid bone Moderate Regionally restricted euxassay_014370_09
TS23: Meckel's cartilage Strong Regionally restricted euxassay_014370_09
TS23: turbinate bone primordium Strong Regionally restricted euxassay_014370_09
TS23: otic capsule Strong Regionally restricted euxassay_014370_09

Specimen euxassay_014370_10: embryonic day 14.5 (more )
Structure Level Pattern Image Note
TS23: basioccipital bone Moderate Regionally restricted euxassay_014370_10
TS23: basisphenoid bone Moderate Regionally restricted euxassay_014370_10
TS23: Meckel's cartilage Strong Regionally restricted euxassay_014370_10
TS23: turbinate bone primordium Strong Regionally restricted euxassay_014370_10
TS23: axial skeleton Moderate Regionally restricted euxassay_014370_10

Specimen euxassay_014370_11: embryonic day 14.5 (more )
Structure Level Pattern Image Note
TS23: basioccipital bone Moderate Regionally restricted euxassay_014370_11
TS23: basisphenoid bone Moderate Regionally restricted euxassay_014370_11
TS23: Meckel's cartilage Strong Regionally restricted euxassay_014370_11
TS23: turbinate bone primordium Strong Regionally restricted euxassay_014370_11
TS23: axial skeleton Moderate Regionally restricted euxassay_014370_11
TS23: rib Moderate Regionally restricted euxassay_014370_11
TS23: hindlimb digit 4 phalanx Strong Regionally restricted euxassay_014370_11
TS23: hindlimb digit 3 phalanx Strong Regionally restricted euxassay_014370_11
TS23: hindlimb digit 2 phalanx Strong Regionally restricted euxassay_014370_11
TS23: hindlimb digit 5 phalanx Strong Regionally restricted euxassay_014370_11

Specimen euxassay_014370_12: embryonic day 14.5 (more )
Structure Level Pattern Image Note
TS23: basioccipital bone Moderate Regionally restricted euxassay_014370_12
TS23: basisphenoid bone Moderate Regionally restricted euxassay_014370_12
TS23: Meckel's cartilage Strong Regionally restricted euxassay_014370_12
TS23: turbinate bone primordium Moderate Regionally restricted euxassay_014370_12
TS23: sternum Moderate Regionally restricted euxassay_014370_12
TS23: axial skeleton Moderate Regionally restricted euxassay_014370_12

Specimen euxassay_014370_13: embryonic day 14.5 (more )
Structure Level Pattern Image Note
TS23: basioccipital bone Moderate Regionally restricted euxassay_014370_13
TS23: basisphenoid bone Moderate Regionally restricted euxassay_014370_13
TS23: Meckel's cartilage Strong Regionally restricted euxassay_014370_13
TS23: turbinate bone primordium Moderate Regionally restricted euxassay_014370_13
TS23: axial skeleton Moderate Regionally restricted euxassay_014370_13

Specimen euxassay_014370_14: embryonic day 14.5 (more )
Structure Level Pattern Image Note
TS23: basioccipital bone Moderate Regionally restricted euxassay_014370_14
TS23: basisphenoid bone Moderate Regionally restricted euxassay_014370_14
TS23: Meckel's cartilage Moderate Regionally restricted euxassay_014370_14
TS23: turbinate bone primordium Moderate Regionally restricted euxassay_014370_14
TS23: axial skeleton Moderate Regionally restricted euxassay_014370_14

Specimen euxassay_014370_15: embryonic day 14.5 (more )
Structure Level Pattern Image Note
TS23: basioccipital bone Moderate Regionally restricted euxassay_014370_15
TS23: Meckel's cartilage Strong Regionally restricted euxassay_014370_15
TS23: turbinate bone primordium Moderate Regionally restricted euxassay_014370_15
TS23: otic capsule Moderate Regionally restricted euxassay_014370_15
TS23: rib Moderate Regionally restricted euxassay_014370_15

Specimen euxassay_014370_16: embryonic day 14.5 (more )
Structure Level Pattern Image Note
TS23: basioccipital bone Moderate Regionally restricted euxassay_014370_16
TS23: Meckel's cartilage Strong Regionally restricted euxassay_014370_16
TS23: turbinate bone primordium Moderate Regionally restricted euxassay_014370_16
TS23: otic capsule Moderate Regionally restricted euxassay_014370_16

Specimen euxassay_014370_17: embryonic day 14.5 (more )
Structure Level Pattern Image Note
TS23: basioccipital bone Moderate Regionally restricted euxassay_014370_17
TS23: orbito-sphenoid Moderate Regionally restricted euxassay_014370_17
TS23: Meckel's cartilage Strong Regionally restricted euxassay_014370_17
TS23: turbinate bone primordium Strong Regionally restricted euxassay_014370_17
TS23: otic capsule Moderate Regionally restricted euxassay_014370_17
TS23: rib Moderate Regionally restricted euxassay_014370_17
TS23: axial skeleton Moderate Regionally restricted euxassay_014370_17
TS23: femur Moderate Regionally restricted euxassay_014370_17

Specimen euxassay_014370_18: embryonic day 14.5 (more )
Structure Level Pattern Image Note
TS23: basioccipital bone Moderate Regionally restricted euxassay_014370_18
TS23: orbito-sphenoid Moderate Regionally restricted euxassay_014370_18
TS23: Meckel's cartilage Strong Regionally restricted euxassay_014370_18
TS23: turbinate bone primordium Strong Regionally restricted euxassay_014370_18
TS23: rib Moderate Regionally restricted euxassay_014370_18
TS23: femur Moderate Regionally restricted euxassay_014370_18

Specimen euxassay_014370_19: embryonic day 14.5 (more )
Structure Level Pattern Image Note
TS23: basioccipital bone Moderate Regionally restricted euxassay_014370_19
TS23: temporal bone petrous part Moderate Regionally restricted euxassay_014370_19
TS23: orbito-sphenoid Moderate Regionally restricted euxassay_014370_19
TS23: Meckel's cartilage Moderate Regionally restricted euxassay_014370_19
TS23: turbinate bone primordium Strong Regionally restricted euxassay_014370_19
TS23: rib Moderate Regionally restricted euxassay_014370_19
TS23: femur Moderate Regionally restricted euxassay_014370_19

Specimen euxassay_014370_20: embryonic day 14.5 (more )
Structure Level Pattern Image Note
TS23: basioccipital bone Moderate Regionally restricted euxassay_014370_20
TS23: temporal bone petrous part Moderate Regionally restricted euxassay_014370_20
TS23: orbito-sphenoid Moderate Regionally restricted euxassay_014370_20
TS23: Meckel's cartilage Moderate Regionally restricted euxassay_014370_20
TS23: rib Moderate Regionally restricted euxassay_014370_20
TS23: femur Moderate Regionally restricted euxassay_014370_20
TS23: humerus Weak Regionally restricted euxassay_014370_20
TS23: scapula Weak Regionally restricted euxassay_014370_20

Specimen euxassay_014370_21: embryonic day 14.5 (more )
Structure Level Pattern Image Note
TS23: basioccipital bone Strong Regionally restricted euxassay_014370_21
TS23: temporal bone petrous part Strong Regionally restricted euxassay_014370_21
TS23: orbito-sphenoid Strong Regionally restricted euxassay_014370_21
TS23: rib Moderate Regionally restricted euxassay_014370_21
TS23: femur Moderate Regionally restricted euxassay_014370_21
TS23: humerus Moderate Regionally restricted euxassay_014370_21
TS23: scapula Moderate Regionally restricted euxassay_014370_21

Specimen euxassay_014370_22: embryonic day 14.5 (more )
Structure Level Pattern Image Note
TS23: basioccipital bone Strong Regionally restricted euxassay_014370_22
TS23: temporal bone petrous part Strong Regionally restricted euxassay_014370_22
TS23: orbito-sphenoid Strong Regionally restricted euxassay_014370_22
TS23: rib Moderate Regionally restricted euxassay_014370_22
TS23: femur Moderate Regionally restricted euxassay_014370_22

Specimen euxassay_014370_23: embryonic day 14.5 (more )
Structure Level Pattern Image Note
TS23: basioccipital bone Strong Regionally restricted euxassay_014370_23
TS23: temporal bone petrous part Strong Regionally restricted euxassay_014370_23
TS23: orbito-sphenoid Strong Regionally restricted euxassay_014370_23
TS23: rib Moderate Regionally restricted euxassay_014370_23
TS23: femur Moderate Regionally restricted euxassay_014370_23
TS23: humerus Moderate Regionally restricted euxassay_014370_23

Specimen euxassay_014370_24: embryonic day 14.5 (more )
Structure Level Pattern Image Note
TS23: basioccipital bone Strong Regionally restricted euxassay_014370_24
TS23: temporal bone petrous part Strong Regionally restricted euxassay_014370_24
TS23: orbito-sphenoid Strong Regionally restricted euxassay_014370_24
TS23: radius Moderate Regionally restricted euxassay_014370_24
TS23: ulna Moderate Regionally restricted euxassay_014370_24
TS23: humerus Moderate Regionally restricted euxassay_014370_24


Contributing Projects:
Mouse Genome Database (MGD), Gene Expression Database (GXD), Mouse Models of Human Cancer database (MMHCdb) (formerly Mouse Tumor Biology (MTB)), Gene Ontology (GO)
Citing These Resources
Funding Information
Warranty Disclaimer, Privacy Notice, Licensing, & Copyright
Send questions and comments to User Support.
last database update
01/06/2026
MGI 6.24
The Jackson Laboratory