About   Help   FAQ
Gene Expression Data
Assay Details
Assay
Reference: J:153498 Diez-Roux G, et al., A high-resolution anatomical atlas of the transcriptome in the mouse embryo. PLoS Biol. 2011;9(1):e1000582
Assay type: RNA in situ
MGI Accession ID: MGI:4823787
Gene symbol: Cdkn2a
Gene name: cyclin dependent kinase inhibitor 2A
Probe: IMAGE clone 2812276
Probe preparation: Antisense labelled with digoxigenin RNA
Visualized with: Alkaline phosphatase
Assay notes: Cryosections of fresh frozen material were fixed in 4% paraformaldehyde for 20 min. before further processing. A tyramide-biotin/streptavidin amplification step was included in the in situ hybridization procedure.
Results
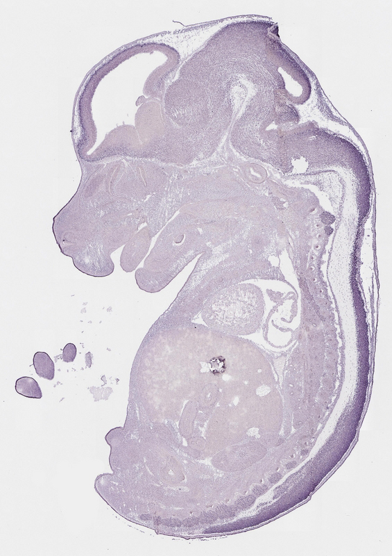
Specimen euxassay_002902_04: embryonic day 14.5 (more )
Structure Level Pattern Image Note
TS23: trigeminal ganglion Moderate Regionally restricted euxassay_002902_04

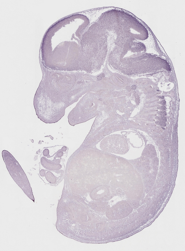
Specimen euxassay_002902_05: embryonic day 14.5 (more )
Structure Level Pattern Image Note
TS23: trigeminal ganglion Moderate Regionally restricted euxassay_002902_05
TS23: facial ganglion Moderate Regionally restricted euxassay_002902_05

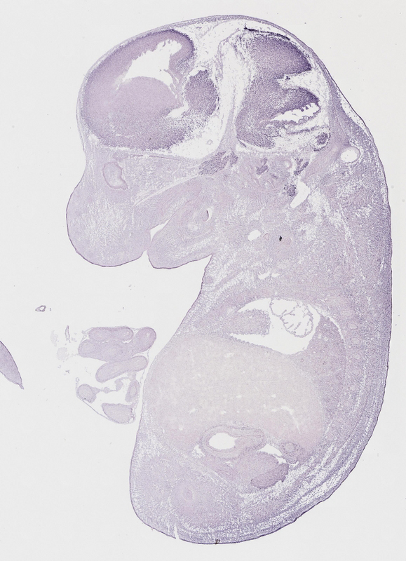
Specimen euxassay_002902_06: embryonic day 14.5 (more )
Structure Level Pattern Image Note
TS23: trigeminal ganglion Moderate Regionally restricted euxassay_002902_06

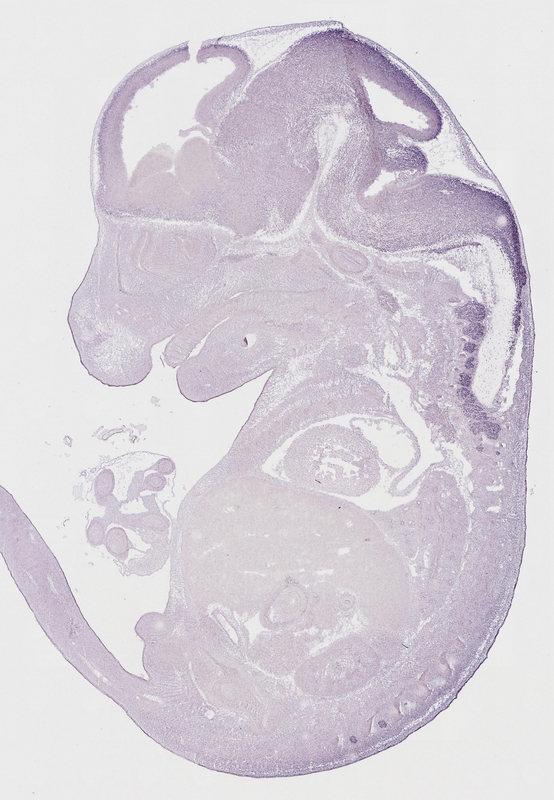
Specimen euxassay_002902_07: embryonic day 14.5 (more )
Structure Level Pattern Image Note
TS23: trigeminal ganglion Moderate Regionally restricted euxassay_002902_07

Specimen euxassay_002902_08: embryonic day 14.5 (more )
Structure Level Pattern Image Note
TS23: trigeminal ganglion Moderate Regionally restricted euxassay_002902_08
TS23: vestibulo-cochlear ganglion Moderate Regionally restricted euxassay_002902_08
TS23: glossopharyngeal ganglion Moderate Regionally restricted euxassay_002902_08

Specimen euxassay_002902_09: embryonic day 14.5 (more )
Structure Level Pattern Image Note
TS23: glossopharyngeal ganglion Moderate Regionally restricted euxassay_002902_09
TS23: trigeminal ganglion Moderate Regionally restricted euxassay_002902_09
TS23: vestibulo-cochlear ganglion Moderate Regionally restricted euxassay_002902_09
TS23: dorsal root ganglion Moderate Regionally restricted euxassay_002902_09

Specimen euxassay_002902_10: embryonic day 14.5 (more )
Structure Level Pattern Image Note
TS23: trigeminal ganglion Weak Regionally restricted euxassay_002902_10
TS23: dorsal root ganglion Moderate Regionally restricted euxassay_002902_10

Specimen euxassay_002902_11: embryonic day 14.5 (more )
Structure Level Pattern Image Note
TS23: dorsal root ganglion Moderate Regionally restricted euxassay_002902_11

Specimen euxassay_002902_12: embryonic day 14.5 (more )
Structure Level Pattern Image Note
TS23: dorsal root ganglion Moderate Regionally restricted euxassay_002902_12

Specimen euxassay_002902_18: embryonic day 14.5 (more )
Structure Level Pattern Image Note
TS23: dorsal root ganglion Moderate Regionally restricted euxassay_002902_18

Specimen euxassay_002902_19: embryonic day 14.5 (more )
Structure Level Pattern Image Note
TS23: trigeminal ganglion Moderate Regionally restricted euxassay_002902_19
TS23: dorsal root ganglion Moderate Regionally restricted euxassay_002902_19

Specimen euxassay_002902_20: embryonic day 14.5 (more )
Structure Level Pattern Image Note
TS23: trigeminal ganglion Moderate Regionally restricted euxassay_002902_20
TS23: glossopharyngeal ganglion Moderate Regionally restricted euxassay_002902_20
TS23: vestibulo-cochlear ganglion Moderate Regionally restricted euxassay_002902_20
TS23: dorsal root ganglion Moderate Regionally restricted euxassay_002902_20

Specimen euxassay_002902_21: embryonic day 14.5 (more )
Structure Level Pattern Image Note
TS23: vestibulo-cochlear ganglion Moderate Regionally restricted euxassay_002902_21
TS23: trigeminal ganglion Moderate Regionally restricted euxassay_002902_21
TS23: glossopharyngeal ganglion Moderate Regionally restricted euxassay_002902_21

Specimen euxassay_002902_22: embryonic day 14.5 (more )
Structure Level Pattern Image Note
TS23: trigeminal ganglion Moderate Regionally restricted euxassay_002902_22
TS23: facial ganglion Moderate Regionally restricted euxassay_002902_22

Specimen euxassay_002902_23: embryonic day 14.5 (more )
Structure Level Pattern Image Note
TS23: trigeminal ganglion Moderate Regionally restricted euxassay_002902_23
TS23: facial ganglion Moderate Regionally restricted euxassay_002902_23

Specimen euxassay_002902_24: embryonic day 14.5 (more )
Structure Level Pattern Image Note
TS23: trigeminal ganglion Moderate Regionally restricted euxassay_002902_24


Contributing Projects:
Mouse Genome Database (MGD), Gene Expression Database (GXD), Mouse Models of Human Cancer database (MMHCdb) (formerly Mouse Tumor Biology (MTB)), Gene Ontology (GO)
Citing These Resources
Funding Information
Warranty Disclaimer, Privacy Notice, Licensing, & Copyright
Send questions and comments to User Support.
last database update
12/30/2025
MGI 6.24
The Jackson Laboratory