About   Help   FAQ
Gene Expression Data
Assay Details
Assay
Reference: J:153498 Diez-Roux G, et al., A high-resolution anatomical atlas of the transcriptome in the mouse embryo. PLoS Biol. 2011;9(1):e1000582
Assay type: RNA in situ
MGI Accession ID: MGI:4823768
Gene symbol: Cdh2
Gene name: cadherin 2
Probe: MGC clone 36119
Probe preparation: Antisense labelled with digoxigenin RNA
Visualized with: Alkaline phosphatase
Assay notes: Cryosections of fresh frozen material were fixed in 4% paraformaldehyde for 20 min. before further processing. A tyramide-biotin/streptavidin amplification step was included in the in situ hybridization procedure.
Results
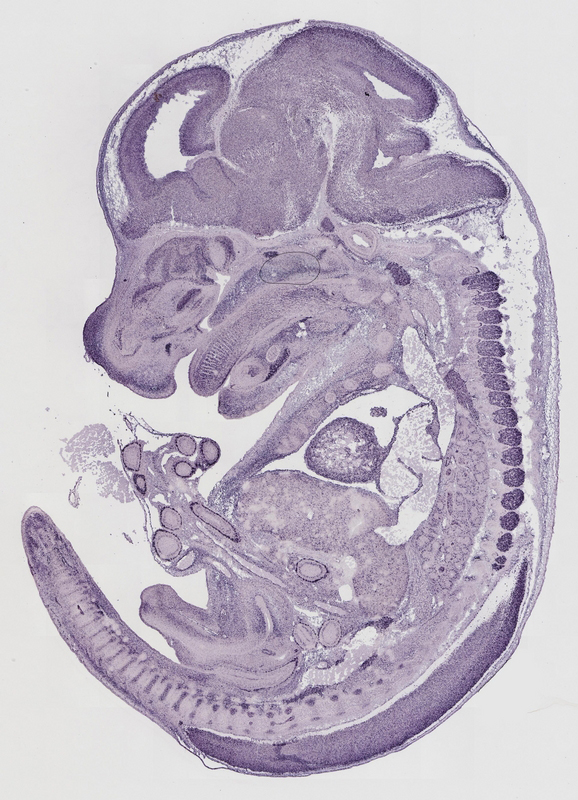
Specimen euxassay_001234_01: embryonic day 14.5 (more )
Note: Additional information for this specimen was included in the Eurexpress data submission file.
Structure Level Pattern Image Note
TS23: chondrocranium Strong Regionally restricted euxassay_001234_01
TS23: leg Moderate Regionally restricted euxassay_001234_01 mesenchyme
TS23: forelimb Moderate Regionally restricted euxassay_001234_01
TS23: forelimb mesenchyme Present euxassay_001234_01
TS23: head mesenchyme Weak Regionally restricted euxassay_001234_01
TS23: neural retina Moderate Uniform euxassay_001234_01

Specimen euxassay_001234_02: embryonic day 14.5 (more )
Note: Additional information for this specimen was included in the Eurexpress data submission file.
Structure Level Pattern Image Note
TS23: chondrocranium Strong Regionally restricted euxassay_001234_02
TS23: forelimb Moderate Regionally restricted euxassay_001234_02
TS23: forelimb mesenchyme Present euxassay_001234_02
TS23: leg Moderate Regionally restricted euxassay_001234_02 mesenchyme
TS23: stomach Moderate Regionally restricted euxassay_001234_02 smooth muscle
TS23: smooth muscle tissue Present euxassay_001234_02
TS23: head mesenchyme Weak Regionally restricted euxassay_001234_02
TS23: neural retina Moderate Uniform euxassay_001234_02

Specimen euxassay_001234_03: embryonic day 14.5 (more )
Note: Additional information for this specimen was included in the Eurexpress data submission file.
Structure Level Pattern Image Note
TS23: chondrocranium Strong Regionally restricted euxassay_001234_03
TS23: forelimb Moderate Regionally restricted euxassay_001234_03
TS23: forelimb mesenchyme Present euxassay_001234_03
TS23: leg Moderate Regionally restricted euxassay_001234_03 mesenchyme
TS23: stomach Moderate Regionally restricted euxassay_001234_03 smooth muscle
TS23: smooth muscle tissue Present euxassay_001234_03
TS23: rib Strong Regionally restricted euxassay_001234_03
TS23: head mesenchyme Weak Regionally restricted euxassay_001234_03
TS23: neural retina Moderate Uniform euxassay_001234_03

Specimen euxassay_001234_04: embryonic day 14.5 (more )
Note: Additional information for this specimen was included in the Eurexpress data submission file.
Structure Level Pattern Image Note
TS23: chondrocranium Strong Regionally restricted euxassay_001234_04
TS23: trigeminal ganglion Moderate Regionally restricted euxassay_001234_04
TS23: leg Moderate Regionally restricted euxassay_001234_04 mesenchyme
TS23: forelimb Moderate Regionally restricted euxassay_001234_04
TS23: forelimb mesenchyme Present euxassay_001234_04
TS23: stomach Strong Regionally restricted euxassay_001234_04 smooth muscle
TS23: smooth muscle tissue Present euxassay_001234_04
TS23: rib Strong Regionally restricted euxassay_001234_04
TS23: head mesenchyme Weak Regionally restricted euxassay_001234_04
TS23: neural retina Moderate Uniform euxassay_001234_04

Specimen euxassay_001234_05: embryonic day 14.5 (more )
Note: Additional information for this specimen was included in the Eurexpress data submission file.
Structure Level Pattern Image Note
TS23: chondrocranium Strong Regionally restricted euxassay_001234_05
TS23: trigeminal ganglion Moderate Regionally restricted euxassay_001234_05
TS23: facial ganglion Moderate Regionally restricted euxassay_001234_05
TS23: hindlimb Moderate Regionally restricted euxassay_001234_05
TS23: hindlimb mesenchyme Present euxassay_001234_05
TS23: forelimb Moderate Regionally restricted euxassay_001234_05
TS23: forelimb mesenchyme Present euxassay_001234_05
TS23: stomach Strong Regionally restricted euxassay_001234_05 smooth muscle
TS23: smooth muscle tissue Present euxassay_001234_05
TS23: rib Strong Regionally restricted euxassay_001234_05
TS23: head mesenchyme Weak Regionally restricted euxassay_001234_05
TS23: vibrissa Moderate Regionally restricted euxassay_001234_05
TS23: neural retina Moderate Uniform euxassay_001234_05

Specimen euxassay_001234_06: embryonic day 14.5 (more )
Note: Additional information for this specimen was included in the Eurexpress data submission file.
Structure Level Pattern Image Note
TS23: chondrocranium Strong Regionally restricted euxassay_001234_06
TS23: vestibulo-cochlear ganglion Moderate Regionally restricted euxassay_001234_06
TS23: trigeminal ganglion Moderate Regionally restricted euxassay_001234_06
TS23: facial ganglion Moderate Regionally restricted euxassay_001234_06
TS23: hindlimb Moderate Regionally restricted euxassay_001234_06
TS23: hindlimb mesenchyme Present euxassay_001234_06
TS23: forelimb Moderate Regionally restricted euxassay_001234_06
TS23: forelimb mesenchyme Present euxassay_001234_06
TS23: stomach Strong Regionally restricted euxassay_001234_06 smooth muscle
TS23: smooth muscle tissue Present euxassay_001234_06
TS23: rib Moderate Regionally restricted euxassay_001234_06
TS23: head mesenchyme Weak Regionally restricted euxassay_001234_06
TS23: vibrissa Moderate Regionally restricted euxassay_001234_06

Specimen euxassay_001234_07: embryonic day 14.5 (more )
Note: Additional information for this specimen was included in the Eurexpress data submission file.
Structure Level Pattern Image Note
TS23: chondrocranium Strong Regionally restricted euxassay_001234_07
TS23: vestibulo-cochlear ganglion Moderate Regionally restricted euxassay_001234_07
TS23: glossopharyngeal ganglion Moderate Regionally restricted euxassay_001234_07
TS23: trigeminal ganglion Moderate Regionally restricted euxassay_001234_07
TS23: facial ganglion Moderate Regionally restricted euxassay_001234_07
TS23: dorsal root ganglion Strong Regionally restricted euxassay_001234_07
TS23: hindlimb Moderate Regionally restricted euxassay_001234_07
TS23: hindlimb mesenchyme Present euxassay_001234_07
TS23: hindlimb digit 2 skin Moderate Regionally restricted euxassay_001234_07
TS23: hindlimb digit 1 skin Moderate Regionally restricted euxassay_001234_07
TS23: hindlimb digit 1 mesenchyme Moderate Regionally restricted euxassay_001234_07
TS23: hindlimb digit 2 mesenchyme Moderate Regionally restricted euxassay_001234_07
TS23: hindlimb digit 3 mesenchyme Moderate Regionally restricted euxassay_001234_07
TS23: hindlimb digit 4 mesenchyme Moderate Regionally restricted euxassay_001234_07
TS23: hindlimb digit 5 mesenchyme Moderate Regionally restricted euxassay_001234_07
TS23: stomach Strong Regionally restricted euxassay_001234_07 smooth muscle
TS23: smooth muscle tissue Present euxassay_001234_07
TS23: rib Moderate Regionally restricted euxassay_001234_07
TS23: head mesenchyme Weak Regionally restricted euxassay_001234_07
TS23: lower jaw molar Moderate Regionally restricted euxassay_001234_07
TS23: upper jaw molar Moderate Regionally restricted euxassay_001234_07
TS23: Meckel's cartilage Moderate Regionally restricted euxassay_001234_07
TS23: vibrissa Moderate Regionally restricted euxassay_001234_07
TS23: upper lip Moderate Regionally restricted euxassay_001234_07

Specimen euxassay_001234_08: embryonic day 14.5 (more )
Note: Additional information for this specimen was included in the Eurexpress data submission file.
Structure Level Pattern Image Note
TS23: chondrocranium Weak Regionally restricted euxassay_001234_08
TS23: glossopharyngeal ganglion Moderate Regionally restricted euxassay_001234_08
TS23: trigeminal ganglion Moderate Regionally restricted euxassay_001234_08
TS23: vestibulo-cochlear ganglion Moderate Regionally restricted euxassay_001234_08
TS23: dorsal root ganglion Strong Regionally restricted euxassay_001234_08
TS23: renal cortex Moderate Regionally restricted euxassay_001234_08
TS23: hindlimb Moderate Regionally restricted euxassay_001234_08
TS23: hindlimb mesenchyme Present euxassay_001234_08
TS23: hindlimb digit 2 skin Moderate Regionally restricted euxassay_001234_08
TS23: hindlimb digit 3 skin Moderate Regionally restricted euxassay_001234_08
TS23: hindlimb digit 4 skin Moderate Regionally restricted euxassay_001234_08
TS23: hindlimb digit 2 mesenchyme Moderate Regionally restricted euxassay_001234_08
TS23: hindlimb digit 3 mesenchyme Moderate Regionally restricted euxassay_001234_08
TS23: hindlimb digit 4 mesenchyme Moderate Regionally restricted euxassay_001234_08
TS23: hindlimb digit 5 mesenchyme Moderate Regionally restricted euxassay_001234_08
TS23: stomach Strong Regionally restricted euxassay_001234_08 smooth muscle
TS23: smooth muscle tissue Present euxassay_001234_08
TS23: rib Moderate Regionally restricted euxassay_001234_08
TS23: head mesenchyme Weak Regionally restricted euxassay_001234_08
TS23: lower jaw molar Moderate Regionally restricted euxassay_001234_08
TS23: upper jaw molar Moderate Regionally restricted euxassay_001234_08
TS23: Meckel's cartilage Moderate Regionally restricted euxassay_001234_08
TS23: vibrissa Moderate Regionally restricted euxassay_001234_08
TS23: upper lip Moderate Regionally restricted euxassay_001234_08

Specimen euxassay_001234_09: embryonic day 14.5 (more )
Note: Additional information for this specimen was included in the Eurexpress data submission file.
Structure Level Pattern Image Note
TS23: vagus ganglion Moderate Regionally restricted euxassay_001234_09
TS23: vestibulo-cochlear ganglion Moderate Regionally restricted euxassay_001234_09
TS23: trigeminal ganglion Moderate Regionally restricted euxassay_001234_09
TS23: dorsal root ganglion Strong Regionally restricted euxassay_001234_09
TS23: renal cortex Moderate Regionally restricted euxassay_001234_09
TS23: hindlimb Moderate Regionally restricted euxassay_001234_09
TS23: hindlimb mesenchyme Present euxassay_001234_09
TS23: stomach Strong Regionally restricted euxassay_001234_09 smooth muscle
TS23: smooth muscle tissue Present euxassay_001234_09
TS23: rib Moderate Regionally restricted euxassay_001234_09
TS23: lower jaw molar Moderate Regionally restricted euxassay_001234_09
TS23: upper jaw molar Moderate Regionally restricted euxassay_001234_09
TS23: Meckel's cartilage Moderate Regionally restricted euxassay_001234_09
TS23: upper lip Moderate Regionally restricted euxassay_001234_09
TS23: lower lip Moderate Regionally restricted euxassay_001234_09

Specimen euxassay_001234_10: embryonic day 14.5 (more )
Note: Additional information for this specimen was included in the Eurexpress data submission file.
Structure Level Pattern Image Note
TS23: trigeminal ganglion Moderate Regionally restricted euxassay_001234_10
TS23: dorsal root ganglion Strong Regionally restricted euxassay_001234_10
TS23: cervico-thoracic ganglion Moderate Regionally restricted euxassay_001234_10
TS23: cervical ganglion Moderate Regionally restricted euxassay_001234_10
TS23: renal cortex Moderate Regionally restricted euxassay_001234_10
TS23: hindlimb Moderate Regionally restricted euxassay_001234_10
TS23: hindlimb mesenchyme Present euxassay_001234_10
TS23: stomach Strong Regionally restricted euxassay_001234_10 smooth muscle
TS23: smooth muscle tissue Present euxassay_001234_10
TS23: rib Moderate Regionally restricted euxassay_001234_10
TS23: upper jaw molar Moderate Regionally restricted euxassay_001234_10
TS23: lower jaw molar Moderate Regionally restricted euxassay_001234_10
TS23: Meckel's cartilage Moderate Regionally restricted euxassay_001234_10
TS23: upper lip Moderate Regionally restricted euxassay_001234_10
TS23: olfactory epithelium Moderate Regionally restricted euxassay_001234_10

Specimen euxassay_001234_11: embryonic day 14.5 (more )
Note: Additional information for this specimen was included in the Eurexpress data submission file.
Structure Level Pattern Image Note
TS23: dorsal root ganglion Strong Regionally restricted euxassay_001234_11
TS23: cervico-thoracic ganglion Moderate Regionally restricted euxassay_001234_11
TS23: renal cortex Moderate Regionally restricted euxassay_001234_11
TS23: hindlimb Moderate Regionally restricted euxassay_001234_11
TS23: hindlimb mesenchyme Present euxassay_001234_11
TS23: stomach Strong Regionally restricted euxassay_001234_11 smooth muscle
TS23: smooth muscle tissue Present euxassay_001234_11
TS23: midgut Strong Regionally restricted euxassay_001234_11 smooth muscle
TS23: lower jaw incisor Moderate Regionally restricted euxassay_001234_11
TS23: upper jaw incisor Moderate Regionally restricted euxassay_001234_11
TS23: Meckel's cartilage Moderate Regionally restricted euxassay_001234_11
TS23: upper lip Moderate Regionally restricted euxassay_001234_11
TS23: olfactory epithelium Moderate Regionally restricted euxassay_001234_11
TS23: tongue Moderate Regionally restricted euxassay_001234_11
TS23: pituitary gland Moderate Uniform euxassay_001234_11
TS23: brain Moderate Uniform euxassay_001234_11
TS23: spinal cord Moderate Uniform euxassay_001234_11

Specimen euxassay_001234_12: embryonic day 14.5 (more )
Note: Additional information for this specimen was included in the Eurexpress data submission file.
Structure Level Pattern Image Note
TS23: dorsal root ganglion Strong Regionally restricted euxassay_001234_12
TS23: thoracic ganglion Moderate Regionally restricted euxassay_001234_12
TS23: renal cortex Moderate Regionally restricted euxassay_001234_12
TS23: stomach Strong Regionally restricted euxassay_001234_12 smooth muscle
TS23: smooth muscle tissue Present euxassay_001234_12
TS23: midgut Strong Regionally restricted euxassay_001234_12 smooth muscle
TS23: upper jaw incisor Moderate Regionally restricted euxassay_001234_12
TS23: lower jaw incisor Moderate Regionally restricted euxassay_001234_12
TS23: Meckel's cartilage Moderate Regionally restricted euxassay_001234_12
TS23: lower lip Moderate Regionally restricted euxassay_001234_12
TS23: upper lip Moderate Regionally restricted euxassay_001234_12
TS23: olfactory epithelium Moderate Regionally restricted euxassay_001234_12
TS23: tongue Moderate Regionally restricted euxassay_001234_12
TS23: pituitary gland Moderate Uniform euxassay_001234_12
TS23: brain Moderate Uniform euxassay_001234_12
TS23: spinal cord Moderate Uniform euxassay_001234_12

Specimen euxassay_001234_13: embryonic day 14.5 (more )
Note: Additional information for this specimen was included in the Eurexpress data submission file.
Structure Level Pattern Image Note
TS23: dorsal root ganglion Strong Regionally restricted euxassay_001234_13
TS23: thoracic ganglion Moderate Regionally restricted euxassay_001234_13
TS23: renal cortex Moderate Regionally restricted euxassay_001234_13
TS23: stomach Strong Regionally restricted euxassay_001234_13 smooth muscle
TS23: smooth muscle tissue Present euxassay_001234_13
TS23: midgut Strong Regionally restricted euxassay_001234_13 smooth muscle
TS23: upper jaw incisor Moderate Regionally restricted euxassay_001234_13
TS23: lower jaw incisor Moderate Regionally restricted euxassay_001234_13
TS23: lower lip Moderate Regionally restricted euxassay_001234_13
TS23: upper lip Moderate Regionally restricted euxassay_001234_13
TS23: olfactory epithelium Moderate Regionally restricted euxassay_001234_13
TS23: tongue Moderate Regionally restricted euxassay_001234_13
TS23: pituitary gland Moderate Uniform euxassay_001234_13
TS23: C2 nucleus pulposus Moderate Regionally restricted euxassay_001234_13
TS23: C3 nucleus pulposus Moderate Regionally restricted euxassay_001234_13
TS23: C4 nucleus pulposus Moderate Regionally restricted euxassay_001234_13
TS23: C5 nucleus pulposus Moderate Regionally restricted euxassay_001234_13
TS23: C6 nucleus pulposus Moderate Regionally restricted euxassay_001234_13
TS23: C7 nucleus pulposus Moderate Regionally restricted euxassay_001234_13
TS23: brain Moderate Uniform euxassay_001234_13
TS23: spinal cord Moderate Uniform euxassay_001234_13

Specimen euxassay_001234_14: embryonic day 14.5 (more )
Note: Additional information for this specimen was included in the Eurexpress data submission file.
Structure Level Pattern Image Note
TS23: dorsal root ganglion Moderate Regionally restricted euxassay_001234_14
TS23: thoracic ganglion Moderate Regionally restricted euxassay_001234_14
TS23: midgut Strong Regionally restricted euxassay_001234_14 smooth muscle
TS23: smooth muscle tissue Present euxassay_001234_14
TS23: upper jaw incisor Moderate Regionally restricted euxassay_001234_14
TS23: lower jaw incisor Moderate Regionally restricted euxassay_001234_14
TS23: lower lip Moderate Regionally restricted euxassay_001234_14
TS23: upper lip Moderate Regionally restricted euxassay_001234_14
TS23: olfactory epithelium Moderate Regionally restricted euxassay_001234_14
TS23: tongue Moderate Regionally restricted euxassay_001234_14
TS23: pituitary gland Weak Uniform euxassay_001234_14
TS23: T3 nucleus pulposus Moderate Regionally restricted euxassay_001234_14
TS23: T2 nucleus pulposus Moderate Regionally restricted euxassay_001234_14
TS23: T5 nucleus pulposus Moderate Regionally restricted euxassay_001234_14
TS23: T6 nucleus pulposus Moderate Regionally restricted euxassay_001234_14
TS23: C2 annulus fibrosus Moderate Regionally restricted euxassay_001234_14
TS23: C3 annulus fibrosus Moderate Regionally restricted euxassay_001234_14
TS23: C4 annulus fibrosus Moderate Regionally restricted euxassay_001234_14
TS23: C5 annulus fibrosus Moderate Regionally restricted euxassay_001234_14
TS23: C6 annulus fibrosus Moderate Regionally restricted euxassay_001234_14
TS23: C7 annulus fibrosus Moderate Regionally restricted euxassay_001234_14
TS23: T1 annulus fibrosus Moderate Regionally restricted euxassay_001234_14
TS23: T2 annulus fibrosus Moderate Regionally restricted euxassay_001234_14
TS23: T3 annulus fibrosus Moderate Regionally restricted euxassay_001234_14
TS23: T4 annulus fibrosus Moderate Regionally restricted euxassay_001234_14
TS23: T5 annulus fibrosus Moderate Regionally restricted euxassay_001234_14
TS23: T6 annulus fibrosus Moderate Regionally restricted euxassay_001234_14
TS23: T7 annulus fibrosus Moderate Regionally restricted euxassay_001234_14
TS23: T8 annulus fibrosus Moderate Regionally restricted euxassay_001234_14
TS23: T9 annulus fibrosus Moderate Regionally restricted euxassay_001234_14
TS23: T10 annulus fibrosus Moderate Regionally restricted euxassay_001234_14
TS23: T11 annulus fibrosus Moderate Regionally restricted euxassay_001234_14
TS23: T12 annulus fibrosus Moderate Regionally restricted euxassay_001234_14
TS23: T13 annulus fibrosus Moderate Regionally restricted euxassay_001234_14
TS23: tail mesenchyme Moderate Regionally restricted euxassay_001234_14
TS23: brain Moderate Uniform euxassay_001234_14
TS23: spinal cord Moderate Uniform euxassay_001234_14

Specimen euxassay_001234_15: embryonic day 14.5 (more )
Note: Additional information for this specimen was included in the Eurexpress data submission file.
Structure Level Pattern Image Note
TS23: dorsal root ganglion Moderate Regionally restricted euxassay_001234_15
TS23: thoracic ganglion Moderate Regionally restricted euxassay_001234_15
TS23: midgut Strong Regionally restricted euxassay_001234_15 smooth muscle
TS23: foregut-midgut junction Strong Regionally restricted euxassay_001234_15 smooth muscle
TS23: smooth muscle tissue Present euxassay_001234_15
TS23: upper jaw incisor Moderate Regionally restricted euxassay_001234_15
TS23: lower lip Moderate Regionally restricted euxassay_001234_15
TS23: upper lip Moderate Regionally restricted euxassay_001234_15
TS23: tongue Moderate Regionally restricted euxassay_001234_15
TS23: pituitary gland Moderate Uniform euxassay_001234_15
TS23: glans of male genital tubercle Moderate Regionally restricted euxassay_001234_15
TS23: T10 annulus fibrosus Moderate Regionally restricted euxassay_001234_15
TS23: T11 annulus fibrosus Moderate Regionally restricted euxassay_001234_15
TS23: T12 annulus fibrosus Moderate Regionally restricted euxassay_001234_15
TS23: T13 annulus fibrosus Moderate Regionally restricted euxassay_001234_15
TS23: T7 annulus fibrosus Moderate Regionally restricted euxassay_001234_15
TS23: T8 annulus fibrosus Moderate Regionally restricted euxassay_001234_15
TS23: T9 annulus fibrosus Moderate Regionally restricted euxassay_001234_15
TS23: T9 nucleus pulposus Moderate Regionally restricted euxassay_001234_15
TS23: T8 nucleus pulposus Moderate Regionally restricted euxassay_001234_15
TS23: T7 nucleus pulposus Moderate Regionally restricted euxassay_001234_15
TS23: T13 nucleus pulposus Moderate Regionally restricted euxassay_001234_15
TS23: T12 nucleus pulposus Moderate Regionally restricted euxassay_001234_15
TS23: T11 nucleus pulposus Moderate Regionally restricted euxassay_001234_15
TS23: T10 nucleus pulposus Moderate Regionally restricted euxassay_001234_15
TS23: L2 vertebral cartilage condensation Moderate Regionally restricted euxassay_001234_15
TS23: L3 vertebral cartilage condensation Moderate Regionally restricted euxassay_001234_15
TS23: L4 vertebral cartilage condensation Moderate Regionally restricted euxassay_001234_15
TS23: L5 vertebral cartilage condensation Moderate Regionally restricted euxassay_001234_15
TS23: L1 vertebra Moderate Regionally restricted euxassay_001234_15
TS23: tail mesenchyme Moderate Regionally restricted euxassay_001234_15
TS23: brain Moderate Uniform euxassay_001234_15
TS23: spinal cord Moderate Uniform euxassay_001234_15

Specimen euxassay_001234_16: embryonic day 14.5 (more )
Note: Additional information for this specimen was included in the Eurexpress data submission file.
Structure Level Pattern Image Note
TS23: dorsal root ganglion Moderate Regionally restricted euxassay_001234_16
TS23: midgut Strong Regionally restricted euxassay_001234_16 smooth muscle
TS23: hindgut Strong Regionally restricted euxassay_001234_16 smooth muscle
TS23: foregut-midgut junction Strong Regionally restricted euxassay_001234_16 smooth muscle
TS23: smooth muscle tissue Present euxassay_001234_16
TS23: head mesenchyme Weak Regionally restricted euxassay_001234_16
TS23: lower jaw incisor Moderate Regionally restricted euxassay_001234_16
TS23: lower lip Moderate Regionally restricted euxassay_001234_16
TS23: upper lip Moderate Regionally restricted euxassay_001234_16
TS23: olfactory epithelium Moderate Regionally restricted euxassay_001234_16
TS23: tongue Moderate Regionally restricted euxassay_001234_16
TS23: pituitary gland Moderate Uniform euxassay_001234_16
TS23: glans of male genital tubercle Moderate Regionally restricted euxassay_001234_16
TS23: axial skeleton sacral region Moderate Regionally restricted euxassay_001234_16
TS23: axial skeleton lumbar region Moderate Regionally restricted euxassay_001234_16
TS23: tail mesenchyme Moderate Regionally restricted euxassay_001234_16
TS23: brain Moderate Uniform euxassay_001234_16
TS23: spinal cord Moderate Uniform euxassay_001234_16

Specimen euxassay_001234_17: embryonic day 14.5 (more )
Note: Additional information for this specimen was included in the Eurexpress data submission file.
Structure Level Pattern Image Note
TS23: dorsal root ganglion Strong Regionally restricted euxassay_001234_17
TS23: cervico-thoracic ganglion Moderate Regionally restricted euxassay_001234_17
TS23: cervical ganglion Moderate Regionally restricted euxassay_001234_17
TS23: midgut Strong Regionally restricted euxassay_001234_17 smooth muscle
TS23: foregut-midgut junction Strong Regionally restricted euxassay_001234_17 smooth muscle
TS23: smooth muscle tissue Present euxassay_001234_17
TS23: hindgut Strong Regionally restricted euxassay_001234_17 smooth muscle
TS23: head mesenchyme Weak Regionally restricted euxassay_001234_17
TS23: Meckel's cartilage Moderate Regionally restricted euxassay_001234_17
TS23: lower jaw incisor Moderate Regionally restricted euxassay_001234_17
TS23: upper jaw incisor Moderate Regionally restricted euxassay_001234_17
TS23: lower lip Moderate Regionally restricted euxassay_001234_17
TS23: upper lip Moderate Regionally restricted euxassay_001234_17
TS23: olfactory epithelium Moderate Regionally restricted euxassay_001234_17
TS23: tongue Moderate Regionally restricted euxassay_001234_17
TS23: pituitary gland Moderate Uniform euxassay_001234_17
TS23: glans of male genital tubercle Moderate Regionally restricted euxassay_001234_17
TS23: axial skeleton sacral region Moderate Regionally restricted euxassay_001234_17
TS23: axial skeleton lumbar region Moderate Regionally restricted euxassay_001234_17
TS23: tail mesenchyme Moderate Regionally restricted euxassay_001234_17
TS23: brain Moderate Uniform euxassay_001234_17

Specimen euxassay_001234_18: embryonic day 14.5 (more )
Note: Additional information for this specimen was included in the Eurexpress data submission file.
Structure Level Pattern Image Note
TS23: vestibulo-cochlear ganglion Moderate Regionally restricted euxassay_001234_18
TS23: vagus ganglion Moderate Regionally restricted euxassay_001234_18
TS23: dorsal root ganglion Strong Regionally restricted euxassay_001234_18
TS23: foregut-midgut junction Strong Regionally restricted euxassay_001234_18 smooth muscle
TS23: smooth muscle tissue Present euxassay_001234_18
TS23: hindgut Strong Regionally restricted euxassay_001234_18 smooth muscle
TS23: midgut Strong Regionally restricted euxassay_001234_18 smooth muscle
TS23: head mesenchyme Weak Regionally restricted euxassay_001234_18
TS23: upper jaw incisor Moderate Regionally restricted euxassay_001234_18
TS23: lower jaw incisor Moderate Regionally restricted euxassay_001234_18
TS23: Meckel's cartilage Moderate Regionally restricted euxassay_001234_18
TS23: lower lip Moderate Regionally restricted euxassay_001234_18
TS23: upper lip Moderate Regionally restricted euxassay_001234_18
TS23: olfactory epithelium Moderate Regionally restricted euxassay_001234_18
TS23: tongue Moderate Regionally restricted euxassay_001234_18
TS23: glans of male genital tubercle Moderate Regionally restricted euxassay_001234_18
TS23: axial skeleton lumbar region Moderate Regionally restricted euxassay_001234_18
TS23: axial skeleton sacral region Moderate Regionally restricted euxassay_001234_18
TS23: tail mesenchyme Moderate Regionally restricted euxassay_001234_18
TS23: brain Moderate Uniform euxassay_001234_18

Specimen euxassay_001234_19: embryonic day 14.5 (more )
Note: Additional information for this specimen was included in the Eurexpress data submission file.
Structure Level Pattern Image Note
TS23: vestibulo-cochlear ganglion Moderate Regionally restricted euxassay_001234_19
TS23: trigeminal ganglion Moderate Regionally restricted euxassay_001234_19
TS23: glossopharyngeal ganglion Moderate Regionally restricted euxassay_001234_19
TS23: dorsal root ganglion Strong Regionally restricted euxassay_001234_19
TS23: renal cortex Moderate Regionally restricted euxassay_001234_19
TS23: foregut-midgut junction Strong Regionally restricted euxassay_001234_19 smooth muscle
TS23: smooth muscle tissue Present euxassay_001234_19
TS23: hindgut Strong Regionally restricted euxassay_001234_19 smooth muscle
TS23: midgut Strong Regionally restricted euxassay_001234_19 smooth muscle
TS23: rib Moderate Regionally restricted euxassay_001234_19
TS23: head mesenchyme Weak Regionally restricted euxassay_001234_19
TS23: Meckel's cartilage Moderate Regionally restricted euxassay_001234_19
TS23: lower jaw molar Moderate Regionally restricted euxassay_001234_19
TS23: upper jaw molar Moderate Regionally restricted euxassay_001234_19
TS23: lower lip Moderate Regionally restricted euxassay_001234_19
TS23: upper lip Moderate Regionally restricted euxassay_001234_19
TS23: olfactory epithelium Moderate Regionally restricted euxassay_001234_19
TS23: glans of male genital tubercle Moderate Regionally restricted euxassay_001234_19
TS23: axial skeleton sacral region Moderate Regionally restricted euxassay_001234_19
TS23: tail mesenchyme Moderate Regionally restricted euxassay_001234_19
TS23: brain Moderate Uniform euxassay_001234_19

Specimen euxassay_001234_20: embryonic day 14.5 (more )
Note: Additional information for this specimen was included in the Eurexpress data submission file.
Structure Level Pattern Image Note
TS23: trigeminal ganglion Moderate Regionally restricted euxassay_001234_20
TS23: facial ganglion Moderate Regionally restricted euxassay_001234_20
TS23: glossopharyngeal ganglion Moderate Regionally restricted euxassay_001234_20
TS23: vestibulo-cochlear ganglion Moderate Regionally restricted euxassay_001234_20
TS23: dorsal root ganglion Strong Regionally restricted euxassay_001234_20
TS23: renal cortex Moderate Regionally restricted euxassay_001234_20
TS23: foregut-midgut junction Strong Regionally restricted euxassay_001234_20 smooth muscle
TS23: smooth muscle tissue Present euxassay_001234_20
TS23: midgut Strong Regionally restricted euxassay_001234_20 smooth muscle
TS23: rib Moderate Regionally restricted euxassay_001234_20
TS23: head mesenchyme Weak Regionally restricted euxassay_001234_20
TS23: upper jaw molar Moderate Regionally restricted euxassay_001234_20
TS23: lower jaw molar Moderate Regionally restricted euxassay_001234_20
TS23: Meckel's cartilage Moderate Regionally restricted euxassay_001234_20
TS23: upper lip Moderate Regionally restricted euxassay_001234_20
TS23: lower lip Moderate Regionally restricted euxassay_001234_20
TS23: olfactory epithelium Moderate Regionally restricted euxassay_001234_20
TS23: tail mesenchyme Moderate Regionally restricted euxassay_001234_20
TS23: brain Moderate Uniform euxassay_001234_20

Specimen euxassay_001234_21: embryonic day 14.5 (more )
Note: Additional information for this specimen was included in the Eurexpress data submission file.
Structure Level Pattern Image Note
TS23: chondrocranium Weak Regionally restricted euxassay_001234_21
TS23: trigeminal ganglion Moderate Regionally restricted euxassay_001234_21
TS23: facial ganglion Moderate Regionally restricted euxassay_001234_21
TS23: renal cortex Moderate Regionally restricted euxassay_001234_21
TS23: foregut-midgut junction Strong Regionally restricted euxassay_001234_21 smooth muscle
TS23: smooth muscle tissue Present euxassay_001234_21
TS23: midgut Strong Regionally restricted euxassay_001234_21 smooth muscle
TS23: rib Strong Regionally restricted euxassay_001234_21
TS23: head mesenchyme Weak Regionally restricted euxassay_001234_21
TS23: upper jaw molar Moderate Regionally restricted euxassay_001234_21
TS23: lower jaw molar Moderate Regionally restricted euxassay_001234_21
TS23: upper lip Moderate Regionally restricted euxassay_001234_21
TS23: lower lip Moderate Regionally restricted euxassay_001234_21
TS23: olfactory epithelium Moderate Regionally restricted euxassay_001234_21
TS23: tail mesenchyme Moderate Regionally restricted euxassay_001234_21
TS23: brain Moderate Uniform euxassay_001234_21

Specimen euxassay_001234_22: embryonic day 14.5 (more )
Note: Additional information for this specimen was included in the Eurexpress data submission file.
Structure Level Pattern Image Note
TS23: chondrocranium Weak Regionally restricted euxassay_001234_22
TS23: trigeminal ganglion Moderate Regionally restricted euxassay_001234_22
TS23: facial ganglion Moderate Regionally restricted euxassay_001234_22
TS23: renal cortex Moderate Regionally restricted euxassay_001234_22
TS23: midgut Strong Regionally restricted euxassay_001234_22 smooth muscle
TS23: foregut-midgut junction Strong Regionally restricted euxassay_001234_22 smooth muscle
TS23: smooth muscle tissue Present euxassay_001234_22
TS23: rib Strong Regionally restricted euxassay_001234_22
TS23: head mesenchyme Weak Regionally restricted euxassay_001234_22
TS23: upper jaw molar Moderate Regionally restricted euxassay_001234_22
TS23: lower jaw molar Moderate Regionally restricted euxassay_001234_22
TS23: upper lip Moderate Regionally restricted euxassay_001234_22
TS23: brain Moderate Uniform euxassay_001234_22

Specimen euxassay_001234_23: embryonic day 14.5 (more )
Structure Level Pattern Image Note
TS23: chondrocranium Weak Regionally restricted euxassay_001234_23
TS23: trigeminal ganglion Moderate Regionally restricted euxassay_001234_23
TS23: renal cortex Moderate Regionally restricted euxassay_001234_23
TS23: rib Strong Regionally restricted euxassay_001234_23
TS23: head mesenchyme Weak Regionally restricted euxassay_001234_23
TS23: lower jaw molar Moderate Regionally restricted euxassay_001234_23
TS23: upper jaw molar Moderate Regionally restricted euxassay_001234_23
TS23: vibrissa Moderate Regionally restricted euxassay_001234_23
TS23: upper lip Moderate Regionally restricted euxassay_001234_23
TS23: brain Moderate Uniform euxassay_001234_23

Specimen euxassay_001234_24: embryonic day 14.5 (more )
Note: Additional information for this specimen was included in the Eurexpress data submission file.
Structure Level Pattern Image Note
TS23: chondrocranium Strong Regionally restricted euxassay_001234_24
TS23: hindlimb Moderate Regionally restricted euxassay_001234_24
TS23: hindlimb mesenchyme Present euxassay_001234_24
TS23: hindlimb digit 2 skin Moderate Regionally restricted euxassay_001234_24
TS23: hindlimb digit 3 skin Moderate Regionally restricted euxassay_001234_24
TS23: hindlimb digit 4 skin Moderate Regionally restricted euxassay_001234_24
TS23: hindlimb digit 5 skin Moderate Regionally restricted euxassay_001234_24
TS23: rib Strong Regionally restricted euxassay_001234_24
TS23: head mesenchyme Weak Regionally restricted euxassay_001234_24
TS23: vibrissa Moderate Regionally restricted euxassay_001234_24
TS23: neural retina Moderate Uniform euxassay_001234_24
TS23: brain Moderate Uniform euxassay_001234_24


Contributing Projects:
Mouse Genome Database (MGD), Gene Expression Database (GXD), Mouse Models of Human Cancer database (MMHCdb) (formerly Mouse Tumor Biology (MTB)), Gene Ontology (GO)
Citing These Resources
Funding Information
Warranty Disclaimer, Privacy Notice, Licensing, & Copyright
Send questions and comments to User Support.
last database update
01/20/2026
MGI 6.24
The Jackson Laboratory