About   Help   FAQ
Gene Expression Data
Assay Details
Assay
Reference: J:153498 Diez-Roux G, et al., A high-resolution anatomical atlas of the transcriptome in the mouse embryo. PLoS Biol. 2011;9(1):e1000582
Assay type: RNA in situ
MGI Accession ID: MGI:4823761
Gene symbol: Cdh1
Gene name: cadherin 1
Probe: T36138
Probe preparation: Antisense labelled with digoxigenin RNA
Visualized with: Alkaline phosphatase
Assay notes: Cryosections of fresh frozen material were fixed in 4% paraformaldehyde for 20 min. before further processing. A tyramide-biotin/streptavidin amplification step was included in the in situ hybridization procedure.
Results
Specimen euxassay_012131_01: embryonic day 14.5 (more )
Structure Level Pattern Image Note
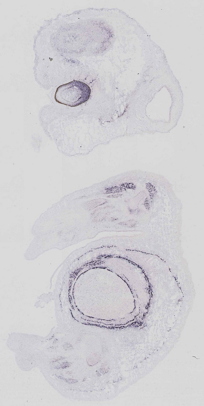
TS23: vertebral axis musculature Strong Regionally restricted euxassay_012131_01
TS23: diaphragm Strong Regionally restricted euxassay_012131_01
TS23: stomach Strong Regionally restricted euxassay_012131_01
TS23: retina Strong Regionally restricted euxassay_012131_01
TS23: brain Strong Regionally restricted euxassay_012131_01
TS23: upper arm muscle Moderate Regionally restricted euxassay_012131_01

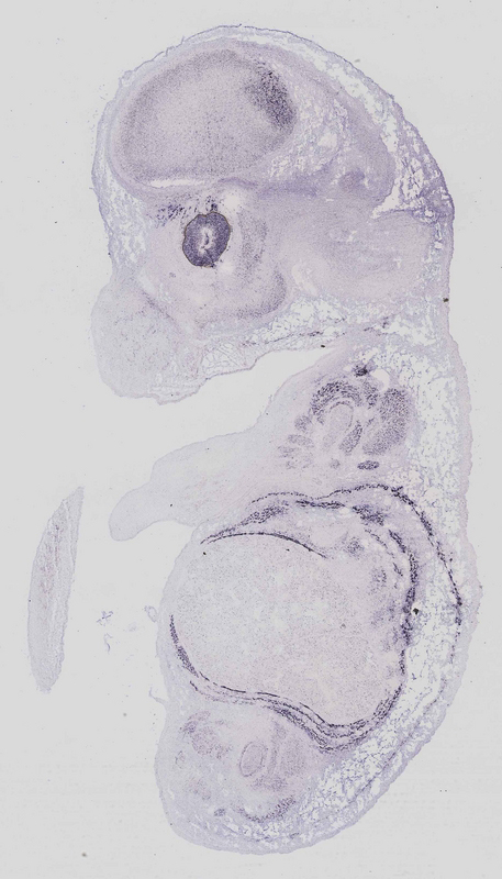
Specimen euxassay_012131_02: embryonic day 14.5 (more )
Structure Level Pattern Image Note
TS23: vertebral axis musculature Strong Regionally restricted euxassay_012131_02
TS23: diaphragm Strong Regionally restricted euxassay_012131_02
TS23: stomach Strong Regionally restricted euxassay_012131_02
TS23: retina Strong Regionally restricted euxassay_012131_02
TS23: trigeminal ganglion Moderate Regionally restricted euxassay_012131_02
TS23: facial ganglion Moderate Regionally restricted euxassay_012131_02
TS23: brain Strong Regionally restricted euxassay_012131_02
TS23: lower leg rest of mesenchyme Moderate Regionally restricted euxassay_012131_02
TS23: upper arm muscle Moderate Regionally restricted euxassay_012131_02

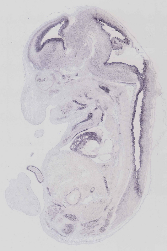
Specimen euxassay_012131_03: embryonic day 14.5 (more )
Structure Level Pattern Image Note
TS23: vertebral axis musculature Strong Regionally restricted euxassay_012131_03
TS23: diaphragm Strong Regionally restricted euxassay_012131_03
TS23: heart ventricle Strong Regionally restricted euxassay_012131_03
TS23: stomach Strong Regionally restricted euxassay_012131_03
TS23: retina Strong Regionally restricted euxassay_012131_03
TS23: trigeminal ganglion Moderate Regionally restricted euxassay_012131_03
TS23: facial ganglion Moderate Regionally restricted euxassay_012131_03
TS23: vestibulo-cochlear ganglion Moderate Regionally restricted euxassay_012131_03
TS23: brain Strong Regionally restricted euxassay_012131_03
TS23: lower leg rest of mesenchyme Moderate Regionally restricted euxassay_012131_03

Specimen euxassay_012131_04: embryonic day 14.5 (more )
Structure Level Pattern Image Note
TS23: vertebral axis musculature Strong Regionally restricted euxassay_012131_04
TS23: diaphragm Strong Regionally restricted euxassay_012131_04
TS23: heart ventricle Strong Regionally restricted euxassay_012131_04
TS23: stomach Strong Regionally restricted euxassay_012131_04
TS23: retina Strong Regionally restricted euxassay_012131_04
TS23: trigeminal ganglion Moderate Regionally restricted euxassay_012131_04
TS23: vestibulo-cochlear ganglion Moderate Regionally restricted euxassay_012131_04
TS23: glossopharyngeal ganglion Moderate Regionally restricted euxassay_012131_04
TS23: facial ganglion Moderate Regionally restricted euxassay_012131_04
TS23: dorsal root ganglion Moderate Regionally restricted euxassay_012131_04
TS23: brain Strong Regionally restricted euxassay_012131_04
TS23: upper leg muscle Moderate Regionally restricted euxassay_012131_04
TS23: lower leg rest of mesenchyme Moderate Regionally restricted euxassay_012131_04

Specimen euxassay_012131_05: embryonic day 14.5 (more )
Structure Level Pattern Image Note
TS23: diaphragm Strong Regionally restricted euxassay_012131_05
TS23: vertebral axis musculature Strong Regionally restricted euxassay_012131_05
TS23: heart ventricle Strong Regionally restricted euxassay_012131_05
TS23: stomach Strong Regionally restricted euxassay_012131_05
TS23: trigeminal ganglion Moderate Regionally restricted euxassay_012131_05
TS23: vestibulo-cochlear ganglion Moderate Regionally restricted euxassay_012131_05
TS23: facial ganglion Moderate Regionally restricted euxassay_012131_05
TS23: dorsal root ganglion Moderate Regionally restricted euxassay_012131_05
TS23: brain Strong Regionally restricted euxassay_012131_05
TS23: spinal cord Strong Regionally restricted euxassay_012131_05
TS23: upper leg muscle Moderate Regionally restricted euxassay_012131_05

Specimen euxassay_012131_06: embryonic day 14.5 (more )
Structure Level Pattern Image Note
TS23: diaphragm Strong Regionally restricted euxassay_012131_06
TS23: vertebral axis musculature Strong Regionally restricted euxassay_012131_06
TS23: heart ventricle Strong Regionally restricted euxassay_012131_06
TS23: stomach Strong Regionally restricted euxassay_012131_06
TS23: trigeminal ganglion Moderate Regionally restricted euxassay_012131_06
TS23: facial ganglion Moderate Regionally restricted euxassay_012131_06
TS23: vestibulo-cochlear ganglion Moderate Regionally restricted euxassay_012131_06
TS23: dorsal root ganglion Moderate Regionally restricted euxassay_012131_06
TS23: brain Strong Regionally restricted euxassay_012131_06
TS23: spinal cord Strong Regionally restricted euxassay_012131_06
TS23: upper leg muscle Moderate Regionally restricted euxassay_012131_06

Specimen euxassay_012131_07: embryonic day 14.5 (more )
Structure Level Pattern Image Note
TS23: diaphragm Strong Regionally restricted euxassay_012131_07
TS23: vertebral axis musculature Strong Regionally restricted euxassay_012131_07
TS23: heart ventricle Strong Regionally restricted euxassay_012131_07
TS23: stomach Strong Regionally restricted euxassay_012131_07
TS23: midgut Strong Regionally restricted euxassay_012131_07
TS23: trigeminal ganglion Moderate Regionally restricted euxassay_012131_07
TS23: dorsal root ganglion Moderate Regionally restricted euxassay_012131_07
TS23: brain Strong Regionally restricted euxassay_012131_07
TS23: spinal cord Strong Regionally restricted euxassay_012131_07
TS23: upper leg muscle Moderate Regionally restricted euxassay_012131_07

Specimen euxassay_012131_08: embryonic day 14.5 (more )
Structure Level Pattern Image Note
TS23: diaphragm Strong Regionally restricted euxassay_012131_08
TS23: vertebral axis musculature Strong Regionally restricted euxassay_012131_08
TS23: heart ventricle Strong Regionally restricted euxassay_012131_08
TS23: stomach Strong Regionally restricted euxassay_012131_08
TS23: midgut Strong Regionally restricted euxassay_012131_08
TS23: olfactory epithelium Strong Regionally restricted euxassay_012131_08
TS23: dorsal root ganglion Moderate Regionally restricted euxassay_012131_08
TS23: brain Strong Regionally restricted euxassay_012131_08
TS23: spinal cord Strong Regionally restricted euxassay_012131_08
TS23: upper leg muscle Moderate Regionally restricted euxassay_012131_08

Specimen euxassay_012131_09: embryonic day 14.5 (more )
Structure Level Pattern Image Note
TS23: diaphragm Strong Regionally restricted euxassay_012131_09
TS23: vertebral axis musculature Strong Regionally restricted euxassay_012131_09
TS23: heart ventricle Strong Regionally restricted euxassay_012131_09
TS23: midgut Strong Regionally restricted euxassay_012131_09
TS23: stomach Strong Regionally restricted euxassay_012131_09
TS23: esophagus Strong Regionally restricted euxassay_012131_09
TS23: olfactory epithelium Strong Regionally restricted euxassay_012131_09
TS23: dorsal root ganglion Moderate Regionally restricted euxassay_012131_09
TS23: brain Strong Regionally restricted euxassay_012131_09
TS23: spinal cord Strong Regionally restricted euxassay_012131_09
TS23: upper leg muscle Moderate Regionally restricted euxassay_012131_09

Specimen euxassay_012131_10: embryonic day 14.5 (more )
Structure Level Pattern Image Note
TS23: diaphragm Strong Regionally restricted euxassay_012131_10
TS23: vertebral axis musculature Strong Regionally restricted euxassay_012131_10
TS23: heart ventricle Strong Regionally restricted euxassay_012131_10
TS23: midgut Strong Regionally restricted euxassay_012131_10
TS23: esophagus Strong Regionally restricted euxassay_012131_10
TS23: tongue extrinsic muscle Strong Regionally restricted euxassay_012131_10
TS23: olfactory epithelium Strong Regionally restricted euxassay_012131_10
TS23: dorsal root ganglion Moderate Regionally restricted euxassay_012131_10
TS23: brain Strong Regionally restricted euxassay_012131_10
TS23: spinal cord Strong Regionally restricted euxassay_012131_10
TS23: upper leg muscle Moderate Regionally restricted euxassay_012131_10

Specimen euxassay_012131_11: embryonic day 14.5 (more )
Structure Level Pattern Image Note
TS23: diaphragm Strong Regionally restricted euxassay_012131_11
TS23: vertebral axis musculature Strong Regionally restricted euxassay_012131_11
TS23: heart ventricle Strong Regionally restricted euxassay_012131_11
TS23: midgut Strong Regionally restricted euxassay_012131_11
TS23: tongue extrinsic muscle Strong Regionally restricted euxassay_012131_11
TS23: olfactory epithelium Strong Regionally restricted euxassay_012131_11
TS23: dorsal root ganglion Moderate Regionally restricted euxassay_012131_11
TS23: brain Strong Regionally restricted euxassay_012131_11
TS23: spinal cord Strong Regionally restricted euxassay_012131_11

Specimen euxassay_012131_12: embryonic day 14.5 (more )
Structure Level Pattern Image Note
TS23: diaphragm Strong Regionally restricted euxassay_012131_12
TS23: vertebral axis musculature Strong Regionally restricted euxassay_012131_12
TS23: heart ventricle Strong Regionally restricted euxassay_012131_12
TS23: midgut Strong Regionally restricted euxassay_012131_12
TS23: tongue extrinsic muscle Strong Regionally restricted euxassay_012131_12
TS23: tongue intrinsic muscle Strong Regionally restricted euxassay_012131_12
TS23: olfactory epithelium Strong Regionally restricted euxassay_012131_12
TS23: vomeronasal organ Strong Regionally restricted euxassay_012131_12
TS23: dorsal root ganglion Moderate Regionally restricted euxassay_012131_12
TS23: brain Strong Regionally restricted euxassay_012131_12
TS23: spinal cord Strong Regionally restricted euxassay_012131_12

Specimen euxassay_012131_13: embryonic day 14.5 (more )
Structure Level Pattern Image Note
TS23: diaphragm Strong Regionally restricted euxassay_012131_13
TS23: vertebral axis musculature Strong Regionally restricted euxassay_012131_13
TS23: heart ventricle Strong Regionally restricted euxassay_012131_13
TS23: midgut Strong Regionally restricted euxassay_012131_13
TS23: tongue extrinsic muscle Strong Regionally restricted euxassay_012131_13
TS23: dorsal root ganglion Moderate Regionally restricted euxassay_012131_13
TS23: brain Strong Regionally restricted euxassay_012131_13
TS23: spinal cord Strong Regionally restricted euxassay_012131_13

Specimen euxassay_012131_14: embryonic day 14.5 (more )
Structure Level Pattern Image Note
TS23: diaphragm Strong Regionally restricted euxassay_012131_14
TS23: vertebral axis musculature Strong Regionally restricted euxassay_012131_14
TS23: heart ventricle Strong Regionally restricted euxassay_012131_14
TS23: midgut Strong Regionally restricted euxassay_012131_14
TS23: olfactory epithelium Strong Regionally restricted euxassay_012131_14
TS23: vagus ganglion Moderate Regionally restricted euxassay_012131_14
TS23: brain Strong Regionally restricted euxassay_012131_14
TS23: spinal cord Strong Regionally restricted euxassay_012131_14

Specimen euxassay_012131_15: embryonic day 14.5 (more )
Structure Level Pattern Image Note
TS23: diaphragm Strong Regionally restricted euxassay_012131_15
TS23: vertebral axis musculature Strong Regionally restricted euxassay_012131_15
TS23: heart ventricle Strong Regionally restricted euxassay_012131_15
TS23: midgut Strong Regionally restricted euxassay_012131_15
TS23: olfactory epithelium Strong Regionally restricted euxassay_012131_15
TS23: vomeronasal organ Strong Regionally restricted euxassay_012131_15
TS23: glossopharyngeal ganglion Moderate Regionally restricted euxassay_012131_15
TS23: trigeminal ganglion Moderate Regionally restricted euxassay_012131_15
TS23: vestibulo-cochlear ganglion Moderate Regionally restricted euxassay_012131_15
TS23: brain Strong Regionally restricted euxassay_012131_15

Specimen euxassay_012131_16: embryonic day 14.5 (more )
Structure Level Pattern Image Note
TS23: diaphragm Strong Regionally restricted euxassay_012131_16
TS23: vertebral axis musculature Strong Regionally restricted euxassay_012131_16
TS23: midgut Strong Regionally restricted euxassay_012131_16
TS23: olfactory epithelium Strong Regionally restricted euxassay_012131_16
TS23: trigeminal ganglion Moderate Regionally restricted euxassay_012131_16
TS23: vestibulo-cochlear ganglion Moderate Regionally restricted euxassay_012131_16
TS23: brain Strong Regionally restricted euxassay_012131_16

Specimen euxassay_012131_17: embryonic day 14.5 (more )
Structure Level Pattern Image Note
TS23: diaphragm Strong Regionally restricted euxassay_012131_17
TS23: vertebral axis musculature Strong Regionally restricted euxassay_012131_17
TS23: midgut Strong Regionally restricted euxassay_012131_17
TS23: olfactory epithelium Strong Regionally restricted euxassay_012131_17
TS23: trigeminal ganglion Moderate Regionally restricted euxassay_012131_17
TS23: brain Strong Regionally restricted euxassay_012131_17
TS23: upper arm muscle Moderate Regionally restricted euxassay_012131_17

Specimen euxassay_012131_18: embryonic day 14.5 (more )
Structure Level Pattern Image Note
TS23: diaphragm Strong Regionally restricted euxassay_012131_18
TS23: vertebral axis musculature Strong Regionally restricted euxassay_012131_18
TS23: midgut Strong Regionally restricted euxassay_012131_18
TS23: olfactory epithelium Strong Regionally restricted euxassay_012131_18
TS23: trigeminal ganglion Moderate Regionally restricted euxassay_012131_18
TS23: facial ganglion Moderate Regionally restricted euxassay_012131_18
TS23: brain Strong Regionally restricted euxassay_012131_18
TS23: upper arm muscle Moderate Regionally restricted euxassay_012131_18

Specimen euxassay_012131_19: embryonic day 14.5 (more )
Structure Level Pattern Image Note
TS23: diaphragm Strong Regionally restricted euxassay_012131_19
TS23: vertebral axis musculature Strong Regionally restricted euxassay_012131_19
TS23: trigeminal ganglion Moderate Regionally restricted euxassay_012131_19
TS23: facial ganglion Moderate Regionally restricted euxassay_012131_19
TS23: brain Strong Regionally restricted euxassay_012131_19
TS23: upper leg muscle Moderate Regionally restricted euxassay_012131_19
TS23: upper arm muscle Moderate Regionally restricted euxassay_012131_19

Specimen euxassay_012131_20: embryonic day 14.5 (more )
Structure Level Pattern Image Note
TS23: diaphragm Strong Regionally restricted euxassay_012131_20
TS23: vertebral axis musculature Strong Regionally restricted euxassay_012131_20
TS23: trigeminal ganglion Moderate Regionally restricted euxassay_012131_20
TS23: brain Strong Regionally restricted euxassay_012131_20
TS23: upper leg muscle Moderate Regionally restricted euxassay_012131_20
TS23: upper arm muscle Moderate Regionally restricted euxassay_012131_20

Specimen euxassay_012131_21: embryonic day 14.5 (more )
Structure Level Pattern Image Note
TS23: diaphragm Strong Regionally restricted euxassay_012131_21
TS23: vertebral axis musculature Strong Regionally restricted euxassay_012131_21
TS23: retina Strong Regionally restricted euxassay_012131_21
TS23: brain Strong Regionally restricted euxassay_012131_21
TS23: upper leg muscle Moderate Regionally restricted euxassay_012131_21
TS23: upper arm muscle Moderate Regionally restricted euxassay_012131_21

Specimen euxassay_012131_22: embryonic day 14.5 (more )
Structure Level Pattern Image Note
TS23: diaphragm Strong Regionally restricted euxassay_012131_22
TS23: vertebral axis musculature Strong Regionally restricted euxassay_012131_22
TS23: brain Strong Regionally restricted euxassay_012131_22
TS23: upper leg muscle Moderate Regionally restricted euxassay_012131_22
TS23: upper arm muscle Moderate Regionally restricted euxassay_012131_22

Specimen euxassay_012131_23: embryonic day 14.5 (more )
Structure Level Pattern Image Note
TS23: diaphragm Strong Regionally restricted euxassay_012131_23
TS23: vertebral axis musculature Strong Regionally restricted euxassay_012131_23
TS23: brain Strong Regionally restricted euxassay_012131_23
TS23: upper leg muscle Moderate Regionally restricted euxassay_012131_23
TS23: upper arm muscle Moderate Regionally restricted euxassay_012131_23

Specimen euxassay_012131_24: embryonic day 14.5 (more )
Structure Level Pattern Image Note
TS23: diaphragm Strong Regionally restricted euxassay_012131_24
TS23: vertebral axis musculature Strong Regionally restricted euxassay_012131_24
TS23: brain Strong Regionally restricted euxassay_012131_24
TS23: upper leg muscle Moderate Regionally restricted euxassay_012131_24
TS23: upper arm muscle Moderate Regionally restricted euxassay_012131_24


Contributing Projects:
Mouse Genome Database (MGD), Gene Expression Database (GXD), Mouse Models of Human Cancer database (MMHCdb) (formerly Mouse Tumor Biology (MTB)), Gene Ontology (GO)
Citing These Resources
Funding Information
Warranty Disclaimer, Privacy Notice, Licensing, & Copyright
Send questions and comments to User Support.
last database update
01/20/2026
MGI 6.24
The Jackson Laboratory