About   Help   FAQ
Gene Expression Data
Assay Details
Assay
Reference: J:153498 Diez-Roux G, et al., A high-resolution anatomical atlas of the transcriptome in the mouse embryo. PLoS Biol. 2011;9(1):e1000582
Assay type: RNA in situ
MGI Accession ID: MGI:4823754
Gene symbol: Cdc42ep4
Gene name: CDC42 effector protein 4
Probe: MGC clone 6584
Probe preparation: Antisense labelled with digoxigenin RNA
Visualized with: Alkaline phosphatase
Assay notes: Cryosections of fresh frozen material were fixed in 4% paraformaldehyde for 20 min. before further processing. A tyramide-biotin/streptavidin amplification step was included in the in situ hybridization procedure.
Results
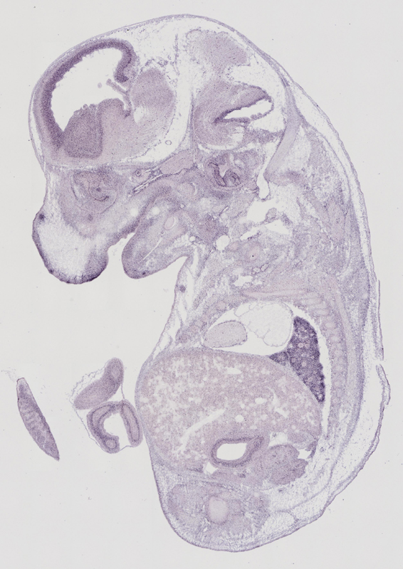
Specimen euxassay_003531_01: embryonic day 14.5 (more )
Structure Level Pattern Image Note
TS23: telencephalon ventricular layer Moderate Uniform euxassay_003531_01

Specimen euxassay_003531_02: embryonic day 14.5 (more )
Structure Level Pattern Image Note
TS23: telencephalon ventricular layer Moderate Uniform euxassay_003531_02

Specimen euxassay_003531_03: embryonic day 14.5 (more )
Structure Level Pattern Image Note
TS23: telencephalon ventricular layer Moderate Uniform euxassay_003531_03
TS23: vibrissa Moderate Regionally restricted euxassay_003531_03

Specimen euxassay_003531_04: embryonic day 14.5 (more )
Structure Level Pattern Image Note
TS23: telencephalon ventricular layer Weak Uniform euxassay_003531_04
TS23: left lung Moderate Regionally restricted euxassay_003531_04
TS23: vibrissa Moderate Regionally restricted euxassay_003531_04

Specimen euxassay_003531_05: embryonic day 14.5 (more )
Structure Level Pattern Image Note
TS23: telencephalon ventricular layer Weak Uniform euxassay_003531_05
TS23: left lung Moderate Regionally restricted euxassay_003531_05
TS23: vibrissa Moderate Regionally restricted euxassay_003531_05

Specimen euxassay_003531_06: embryonic day 14.5 (more )
Structure Level Pattern Image Note
TS23: telencephalon ventricular layer Moderate Uniform euxassay_003531_06
TS23: pons ventricular layer Moderate Regionally restricted euxassay_003531_06
TS23: left lung Moderate Regionally restricted euxassay_003531_06
TS23: vibrissa Moderate Regionally restricted euxassay_003531_06

Specimen euxassay_003531_07: embryonic day 14.5 (more )
Structure Level Pattern Image Note
TS23: telencephalon ventricular layer Moderate Uniform euxassay_003531_07
TS23: olfactory cortex ventricular layer Moderate Uniform euxassay_003531_07
TS23: pons ventricular layer Moderate Regionally restricted euxassay_003531_07
TS23: left lung Moderate Regionally restricted euxassay_003531_07

Specimen euxassay_003531_08: embryonic day 14.5 (more )
Structure Level Pattern Image Note
TS23: telencephalon ventricular layer Moderate Uniform euxassay_003531_08
TS23: olfactory cortex ventricular layer Moderate Uniform euxassay_003531_08
TS23: midbrain ventricular layer Moderate Regionally restricted euxassay_003531_08
TS23: pons ventricular layer Moderate Regionally restricted euxassay_003531_08
TS23: left lung Moderate Regionally restricted euxassay_003531_08

Specimen euxassay_003531_09: embryonic day 14.5 (more )
Structure Level Pattern Image Note
TS23: olfactory cortex ventricular layer Moderate Uniform euxassay_003531_09
TS23: telencephalon ventricular layer Moderate Uniform euxassay_003531_09
TS23: midbrain ventricular layer Moderate Regionally restricted euxassay_003531_09
TS23: pons ventricular layer Moderate Regionally restricted euxassay_003531_09
TS23: left lung Moderate Regionally restricted euxassay_003531_09

Specimen euxassay_003531_10: embryonic day 14.5 (more )
Structure Level Pattern Image Note
TS23: telencephalon ventricular layer Moderate Uniform euxassay_003531_10
TS23: midbrain ventricular layer Moderate Regionally restricted euxassay_003531_10
TS23: pons ventricular layer Moderate Regionally restricted euxassay_003531_10
TS23: medulla oblongata basal plate ventricular layer Weak Regionally restricted euxassay_003531_10
TS23: left lung Moderate Regionally restricted euxassay_003531_10

Specimen euxassay_003531_11: embryonic day 14.5 (more )
Structure Level Pattern Image Note
TS23: telencephalon ventricular layer Moderate Uniform euxassay_003531_11
TS23: midbrain ventricular layer Moderate Regionally restricted euxassay_003531_11
TS23: medulla oblongata basal plate ventricular layer Weak Regionally restricted euxassay_003531_11
TS23: left lung Moderate Regionally restricted euxassay_003531_11

Specimen euxassay_003531_12: embryonic day 14.5 (more )
Structure Level Pattern Image Note
TS23: telencephalon ventricular layer Moderate Uniform euxassay_003531_12
TS23: midbrain ventricular layer Moderate Regionally restricted euxassay_003531_12
TS23: medulla oblongata basal plate ventricular layer Weak Regionally restricted euxassay_003531_12
TS23: left lung Moderate Regionally restricted euxassay_003531_12

Specimen euxassay_003531_13: embryonic day 14.5 (more )
Structure Level Pattern Image Note
TS23: olfactory cortex ventricular layer Moderate Uniform euxassay_003531_13
TS23: telencephalon ventricular layer Moderate Uniform euxassay_003531_13
TS23: midbrain ventricular layer Moderate Regionally restricted euxassay_003531_13
TS23: medulla oblongata basal plate ventricular layer Weak Regionally restricted euxassay_003531_13
TS23: spinal cord ventricular layer Moderate Regionally restricted euxassay_003531_13
TS23: right lung Moderate Regionally restricted euxassay_003531_13

Specimen euxassay_003531_14: embryonic day 14.5 (more )
Structure Level Pattern Image Note
TS23: telencephalon ventricular layer Moderate Uniform euxassay_003531_14
TS23: pons ventricular layer Moderate Regionally restricted euxassay_003531_14
TS23: midbrain ventricular layer Moderate Regionally restricted euxassay_003531_14
TS23: spinal cord ventricular layer Moderate Regionally restricted euxassay_003531_14
TS23: medulla oblongata basal plate ventricular layer Moderate Regionally restricted euxassay_003531_14
TS23: right lung Moderate Regionally restricted euxassay_003531_14

Specimen euxassay_003531_15: embryonic day 14.5 (more )
Structure Level Pattern Image Note
TS23: telencephalon ventricular layer Moderate Uniform euxassay_003531_15
TS23: pons ventricular layer Moderate Regionally restricted euxassay_003531_15
TS23: midbrain ventricular layer Moderate Regionally restricted euxassay_003531_15
TS23: right lung Moderate Regionally restricted euxassay_003531_15

Specimen euxassay_003531_16: embryonic day 14.5 (more )
Structure Level Pattern Image Note
TS23: telencephalon ventricular layer Moderate Uniform euxassay_003531_16
TS23: pons ventricular layer Moderate Regionally restricted euxassay_003531_16
TS23: midbrain ventricular layer Moderate Regionally restricted euxassay_003531_16
TS23: right lung Moderate Regionally restricted euxassay_003531_16

Specimen euxassay_003531_17: embryonic day 14.5 (more )
Structure Level Pattern Image Note
TS23: telencephalon ventricular layer Moderate Uniform euxassay_003531_17
TS23: pons ventricular layer Moderate Regionally restricted euxassay_003531_17
TS23: midbrain ventricular layer Moderate Regionally restricted euxassay_003531_17
TS23: right lung Moderate Regionally restricted euxassay_003531_17
TS23: vibrissa Moderate Regionally restricted euxassay_003531_17

Specimen euxassay_003531_18: embryonic day 14.5 (more )
Structure Level Pattern Image Note
TS23: telencephalon ventricular layer Moderate Uniform euxassay_003531_18
TS23: midbrain ventricular layer Moderate Regionally restricted euxassay_003531_18
TS23: right lung Moderate Regionally restricted euxassay_003531_18
TS23: vibrissa Moderate Regionally restricted euxassay_003531_18

Specimen euxassay_003531_19: embryonic day 14.5 (more )
Structure Level Pattern Image Note
TS23: telencephalon ventricular layer Moderate Uniform euxassay_003531_19
TS23: right lung Moderate Regionally restricted euxassay_003531_19
TS23: vibrissa Moderate Regionally restricted euxassay_003531_19

Specimen euxassay_003531_20: embryonic day 14.5 (more )
Structure Level Pattern Image Note
TS23: telencephalon ventricular layer Moderate Uniform euxassay_003531_20
TS23: right lung Moderate Regionally restricted euxassay_003531_20

Specimen euxassay_003531_21: embryonic day 14.5 (more )
Structure Level Pattern Image Note
TS23: telencephalon ventricular layer Moderate Uniform euxassay_003531_21
TS23: right lung Moderate Regionally restricted euxassay_003531_21

Specimen euxassay_003531_22: embryonic day 14.5 (more )
Structure Level Pattern Image Note
TS23: telencephalon ventricular layer Moderate Uniform euxassay_003531_22
TS23: right lung Moderate Regionally restricted euxassay_003531_22

Specimen euxassay_003531_23: embryonic day 14.5 (more )
Structure Level Pattern Image Note
TS23: right lung Moderate Regionally restricted euxassay_003531_23


Contributing Projects:
Mouse Genome Database (MGD), Gene Expression Database (GXD), Mouse Models of Human Cancer database (MMHCdb) (formerly Mouse Tumor Biology (MTB)), Gene Ontology (GO)
Citing These Resources
Funding Information
Warranty Disclaimer, Privacy Notice, Licensing, & Copyright
Send questions and comments to User Support.
last database update
01/06/2026
MGI 6.24
The Jackson Laboratory