About   Help   FAQ
Gene Expression Data
Assay Details
Assay
Reference: J:153498 Diez-Roux G, et al., A high-resolution anatomical atlas of the transcriptome in the mouse embryo. PLoS Biol. 2011;9(1):e1000582
Assay type: RNA in situ
MGI Accession ID: MGI:4823749
Gene symbol: Cd99l2
Gene name: CD99 antigen-like 2
Probe: IMAGE clone 1546722
Probe preparation: Antisense labelled with digoxigenin RNA
Visualized with: Alkaline phosphatase
Assay notes: Cryosections of fresh frozen material were fixed in 4% paraformaldehyde for 20 min. before further processing. A tyramide-biotin/streptavidin amplification step was included in the in situ hybridization procedure.
Results
Specimen euxassay_007800_03: embryonic day 14.5 (more )
Structure Level Pattern Image Note
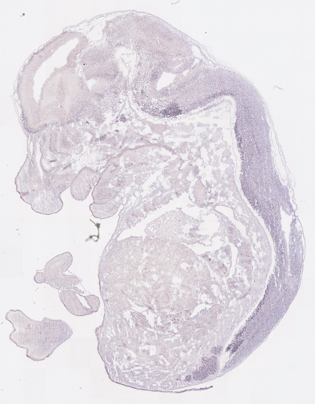
TS23: trigeminal ganglion Moderate Regionally restricted euxassay_007800_03

Specimen euxassay_007800_04: embryonic day 14.5 (more )
Structure Level Pattern Image Note
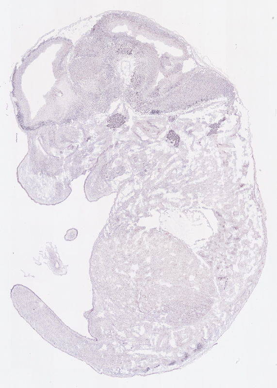
TS23: trigeminal ganglion Moderate Regionally restricted euxassay_007800_04

Specimen euxassay_007800_05: embryonic day 14.5 (more )
Structure Level Pattern Image Note
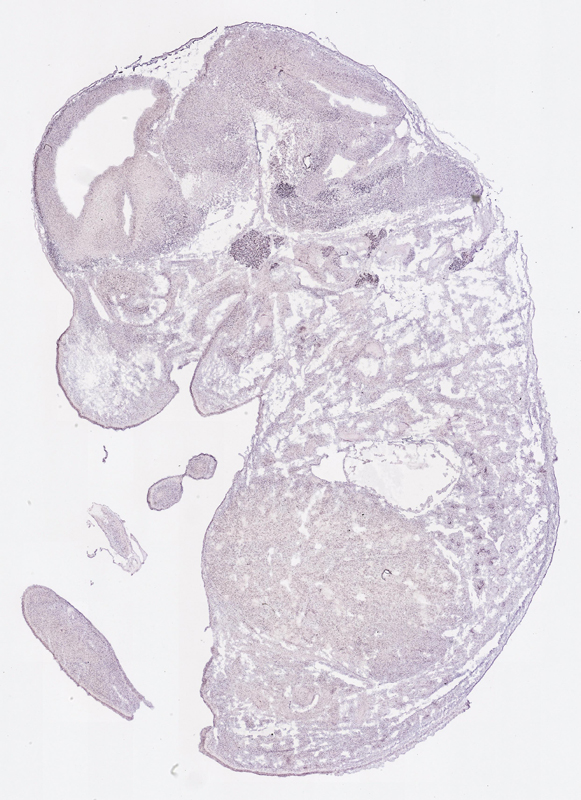
TS23: trigeminal ganglion Moderate Regionally restricted euxassay_007800_05

Specimen euxassay_007800_06: embryonic day 14.5 (more )
Structure Level Pattern Image Note
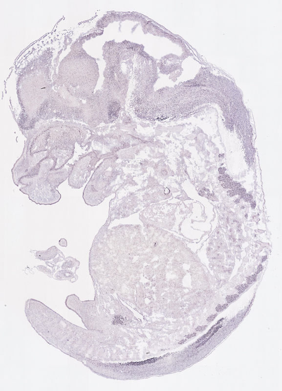
TS23: trigeminal ganglion Moderate Regionally restricted euxassay_007800_06
TS23: vestibulo-cochlear ganglion Moderate Regionally restricted euxassay_007800_06
TS23: dorsal root ganglion Moderate Regionally restricted euxassay_007800_06

Specimen euxassay_007800_07: embryonic day 14.5 (more )
Structure Level Pattern Image Note
TS23: trigeminal ganglion Moderate Regionally restricted euxassay_007800_07
TS23: vestibulo-cochlear ganglion Moderate Regionally restricted euxassay_007800_07
TS23: glossopharyngeal ganglion Moderate Regionally restricted euxassay_007800_07
TS23: dorsal root ganglion Moderate Regionally restricted euxassay_007800_07

Specimen euxassay_007800_08: embryonic day 14.5 (more )
Note: Additional information for this specimen was included in the Eurexpress data submission file.
Structure Level Pattern Image Note
TS23: trigeminal ganglion Moderate Regionally restricted euxassay_007800_08
TS23: dorsal root ganglion Moderate Regionally restricted euxassay_007800_08
TS23: pons mantle layer Weak Regionally restricted euxassay_007800_08 trigeminal motor nucleus
TS23: medulla oblongata basal plate mantle layer Moderate Regionally restricted euxassay_007800_08 facial motor nucleus

Specimen euxassay_007800_09: embryonic day 14.5 (more )
Note: Additional information for this specimen was included in the Eurexpress data submission file.
Structure Level Pattern Image Note
TS23: medulla oblongata basal plate mantle layer Moderate Regionally restricted euxassay_007800_09 facial motor nucleus

Specimen euxassay_007800_13: embryonic day 14.5 (more )
Structure Level Pattern Image Note
TS23: dorsal root ganglion Moderate Regionally restricted euxassay_007800_13

Specimen euxassay_007800_14: embryonic day 14.5 (more )
Structure Level Pattern Image Note
TS23: dorsal root ganglion Moderate Regionally restricted euxassay_007800_14

Specimen euxassay_007800_15: embryonic day 14.5 (more )
Note: Additional information for this specimen was included in the Eurexpress data submission file.
Structure Level Pattern Image Note
TS23: dorsal root ganglion Moderate Regionally restricted euxassay_007800_15
TS23: medulla oblongata basal plate mantle layer Moderate Regionally restricted euxassay_007800_15 facial motor nucleus

Specimen euxassay_007800_16: embryonic day 14.5 (more )
Note: Additional information for this specimen was included in the Eurexpress data submission file.
Structure Level Pattern Image Note
TS23: glossopharyngeal ganglion Moderate Regionally restricted euxassay_007800_16
TS23: trigeminal ganglion Moderate Regionally restricted euxassay_007800_16
TS23: dorsal root ganglion Moderate Regionally restricted euxassay_007800_16
TS23: medulla oblongata basal plate mantle layer Moderate Regionally restricted euxassay_007800_16 facial motor nucleus

Specimen euxassay_007800_17: embryonic day 14.5 (more )
Note: Additional information for this specimen was included in the Eurexpress data submission file.
Structure Level Pattern Image Note
TS23: trigeminal ganglion Moderate Regionally restricted euxassay_007800_17
TS23: glossopharyngeal ganglion Moderate Regionally restricted euxassay_007800_17
TS23: vestibulo-cochlear ganglion Moderate Regionally restricted euxassay_007800_17
TS23: dorsal root ganglion Moderate Regionally restricted euxassay_007800_17
TS23: pons mantle layer Weak Regionally restricted euxassay_007800_17 trigeminal motor nucleus

Specimen euxassay_007800_18: embryonic day 14.5 (more )
Structure Level Pattern Image Note
TS23: trigeminal ganglion Moderate Regionally restricted euxassay_007800_18

Specimen euxassay_007800_19: embryonic day 14.5 (more )
Structure Level Pattern Image Note
TS23: trigeminal ganglion Moderate Regionally restricted euxassay_007800_19

Specimen euxassay_007800_20: embryonic day 14.5 (more )
Structure Level Pattern Image Note
TS23: trigeminal ganglion Moderate Regionally restricted euxassay_007800_20

Specimen euxassay_007800_21: embryonic day 14.5 (more )
Structure Level Pattern Image Note
TS23: trigeminal ganglion Moderate Regionally restricted euxassay_007800_21


Contributing Projects:
Mouse Genome Database (MGD), Gene Expression Database (GXD), Mouse Models of Human Cancer database (MMHCdb) (formerly Mouse Tumor Biology (MTB)), Gene Ontology (GO)
Citing These Resources
Funding Information
Warranty Disclaimer, Privacy Notice, Licensing, & Copyright
Send questions and comments to User Support.
last database update
01/28/2026
MGI 6.24
The Jackson Laboratory