About   Help   FAQ
Gene Expression Data
Assay Details
Assay
Reference: J:153498 Diez-Roux G, et al., A high-resolution anatomical atlas of the transcriptome in the mouse embryo. PLoS Biol. 2011;9(1):e1000582
Assay type: RNA in situ
MGI Accession ID: MGI:4823687
Gene symbol: Ccdc88c
Gene name: coiled-coil domain containing 88C
Probe: T45530
Probe preparation: Antisense labelled with digoxigenin RNA
Visualized with: Alkaline phosphatase
Assay notes: Cryosections of fresh frozen material were fixed in 4% paraformaldehyde for 20 min. before further processing. A tyramide-biotin/streptavidin amplification step was included in the in situ hybridization procedure.
Results
Specimen euxassay_016252_01: embryonic day 14.5 (more )
Structure Level Pattern Image Note
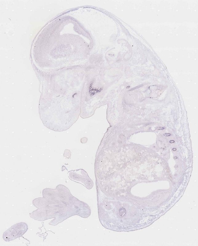
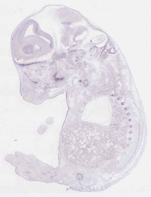
TS23: orbito-sphenoid Moderate Regionally restricted euxassay_016252_01

Specimen euxassay_016252_02: embryonic day 14.5 (more )
Structure Level Pattern Image Note
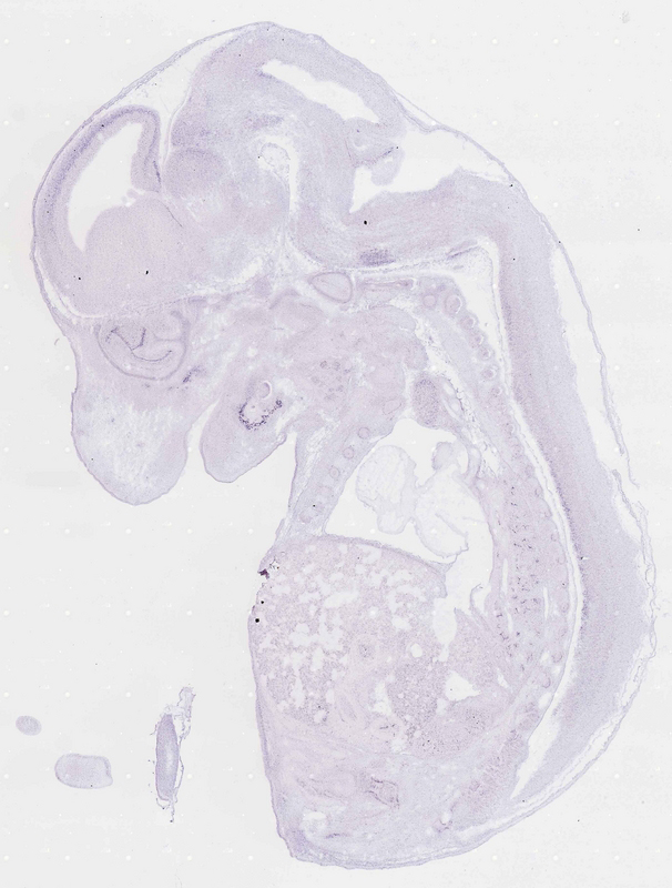
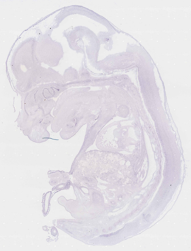
TS23: orbito-sphenoid Moderate Regionally restricted euxassay_016252_02
TS23: humerus Weak Regionally restricted euxassay_016252_02

Specimen euxassay_016252_03: embryonic day 14.5 (more )
Structure Level Pattern Image Note
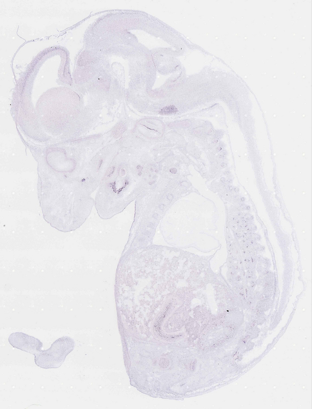
TS23: orbito-sphenoid Moderate Regionally restricted euxassay_016252_03
TS23: femur Weak Regionally restricted euxassay_016252_03
TS23: humerus Weak Regionally restricted euxassay_016252_03

Specimen euxassay_016252_04: embryonic day 14.5 (more )
Structure Level Pattern Image Note
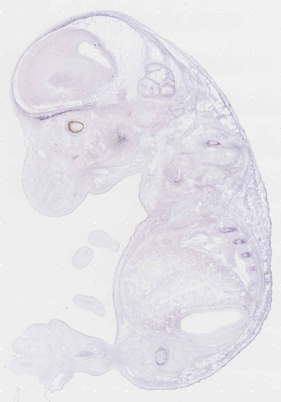
TS23: rib Moderate Regionally restricted euxassay_016252_04
TS23: orbito-sphenoid Moderate Regionally restricted euxassay_016252_04
TS23: femur Weak Regionally restricted euxassay_016252_04

Specimen euxassay_016252_05: embryonic day 14.5 (more )
Structure Level Pattern Image Note
TS23: mandible Moderate Regionally restricted euxassay_016252_05
TS23: rib Moderate Regionally restricted euxassay_016252_05

Specimen euxassay_016252_06: embryonic day 14.5 (more )
Structure Level Pattern Image Note
TS23: mandible Moderate Regionally restricted euxassay_016252_06
TS23: rib Moderate Regionally restricted euxassay_016252_06

Specimen euxassay_016252_07: embryonic day 14.5 (more )
Structure Level Pattern Image Note
TS23: mandible Moderate Regionally restricted euxassay_016252_07
TS23: rib Moderate Regionally restricted euxassay_016252_07
TS23: cerebral cortex mantle layer Weak Regionally restricted euxassay_016252_07

Specimen euxassay_016252_08: embryonic day 14.5 (more )
Structure Level Pattern Image Note
TS23: mandible Weak Regionally restricted euxassay_016252_08
TS23: maxilla Weak Regionally restricted euxassay_016252_08
TS23: rib Moderate Regionally restricted euxassay_016252_08
TS23: clavicle Weak Regionally restricted euxassay_016252_08
TS23: pons mantle layer Weak Regionally restricted euxassay_016252_08
TS23: cerebral cortex mantle layer Weak Regionally restricted euxassay_016252_08

Specimen euxassay_016252_09: embryonic day 14.5 (more )
Structure Level Pattern Image Note
TS23: mandible Weak Regionally restricted euxassay_016252_09
TS23: clavicle Weak Regionally restricted euxassay_016252_09
TS23: pons mantle layer Weak Regionally restricted euxassay_016252_09
TS23: midbrain mantle layer Weak Regionally restricted euxassay_016252_09
TS23: cerebral cortex mantle layer Weak Regionally restricted euxassay_016252_09

Specimen euxassay_016252_10: embryonic day 14.5 (more )
Note: Additional information for this specimen was included in the Eurexpress data submission file.
Structure Level Pattern Image Note
TS23: clavicle Weak Regionally restricted euxassay_016252_10
TS23: medulla oblongata basal plate mantle layer Weak Regionally restricted euxassay_016252_10 facial motor nucleus
TS23: cerebral cortex mantle layer Weak Regionally restricted euxassay_016252_10

Specimen euxassay_016252_11: embryonic day 14.5 (more )
Note: Additional information for this specimen was included in the Eurexpress data submission file.
Structure Level Pattern Image Note
TS23: medulla oblongata basal plate mantle layer Weak Regionally restricted euxassay_016252_11 facial motor nucleus
TS23: cerebral cortex mantle layer Weak Regionally restricted euxassay_016252_11

Specimen euxassay_016252_12: embryonic day 14.5 (more )
Structure Level Pattern Image Note
TS23: rest of cerebellum mantle layer Weak Regionally restricted euxassay_016252_12
TS23: ventral grey horn Weak Regionally restricted euxassay_016252_12

Specimen euxassay_016252_13: embryonic day 14.5 (more )
Structure Level Pattern Image Note
TS23: rest of cerebellum mantle layer Weak Regionally restricted euxassay_016252_13
TS23: ventral grey horn Weak Regionally restricted euxassay_016252_13

Specimen euxassay_016252_14: embryonic day 14.5 (more )
Structure Level Pattern Image Note
TS23: rest of cerebellum mantle layer Weak Regionally restricted euxassay_016252_14
TS23: ventral grey horn Weak Regionally restricted euxassay_016252_14

Specimen euxassay_016252_15: embryonic day 14.5 (more )
Structure Level Pattern Image Note
TS23: cerebral cortex mantle layer Weak Regionally restricted euxassay_016252_15

Specimen euxassay_016252_16: embryonic day 14.5 (more )
Structure Level Pattern Image Note
TS23: rest of cerebellum mantle layer Weak Regionally restricted euxassay_016252_16
TS23: ventral grey horn Weak Regionally restricted euxassay_016252_16
TS23: cerebral cortex mantle layer Weak Regionally restricted euxassay_016252_16

Specimen euxassay_016252_17: embryonic day 14.5 (more )
Note: Additional information for this specimen was included in the Eurexpress data submission file.
Structure Level Pattern Image Note
TS23: mandible Weak Regionally restricted euxassay_016252_17
TS23: maxilla Weak Regionally restricted euxassay_016252_17
TS23: rest of cerebellum mantle layer Weak Regionally restricted euxassay_016252_17
TS23: medulla oblongata basal plate mantle layer Weak Regionally restricted euxassay_016252_17 facial motor nucleus
TS23: ventral grey horn Weak Regionally restricted euxassay_016252_17
TS23: cerebral cortex mantle layer Weak Regionally restricted euxassay_016252_17

Specimen euxassay_016252_18: embryonic day 14.5 (more )
Note: Additional information for this specimen was included in the Eurexpress data submission file.
Structure Level Pattern Image Note
TS23: mandible Weak Regionally restricted euxassay_016252_18
TS23: rest of cerebellum mantle layer Weak Regionally restricted euxassay_016252_18
TS23: medulla oblongata basal plate mantle layer Weak Regionally restricted euxassay_016252_18 facial motor nucleus
TS23: cerebral cortex mantle layer Weak Regionally restricted euxassay_016252_18

Specimen euxassay_016252_19: embryonic day 14.5 (more )
Structure Level Pattern Image Note
TS23: mandible Moderate Regionally restricted euxassay_016252_19
TS23: clavicle Moderate Regionally restricted euxassay_016252_19
TS23: pons mantle layer Weak Regionally restricted euxassay_016252_19
TS23: cerebral cortex mantle layer Weak Regionally restricted euxassay_016252_19

Specimen euxassay_016252_20: embryonic day 14.5 (more )
Structure Level Pattern Image Note
TS23: mandible Moderate Regionally restricted euxassay_016252_20
TS23: clavicle Weak Regionally restricted euxassay_016252_20
TS23: midbrain mantle layer Weak Regionally restricted euxassay_016252_20
TS23: pons mantle layer Weak Regionally restricted euxassay_016252_20
TS23: cerebral cortex mantle layer Weak Regionally restricted euxassay_016252_20

Specimen euxassay_016252_21: embryonic day 14.5 (more )
Structure Level Pattern Image Note
TS23: mandible Moderate Regionally restricted euxassay_016252_21
TS23: rib Moderate Regionally restricted euxassay_016252_21
TS23: orbito-sphenoid Moderate Regionally restricted euxassay_016252_21
TS23: midbrain mantle layer Weak Regionally restricted euxassay_016252_21
TS23: femur Weak Regionally restricted euxassay_016252_21
TS23: cerebral cortex mantle layer Weak Regionally restricted euxassay_016252_21

Specimen euxassay_016252_22: embryonic day 14.5 (more )
Structure Level Pattern Image Note
TS23: mandible Moderate Regionally restricted euxassay_016252_22
TS23: rib Moderate Regionally restricted euxassay_016252_22
TS23: orbito-sphenoid Moderate Regionally restricted euxassay_016252_22
TS23: femur Weak Regionally restricted euxassay_016252_22

Specimen euxassay_016252_23: embryonic day 14.5 (more )
Structure Level Pattern Image Note
TS23: rib Moderate Regionally restricted euxassay_016252_23
TS23: orbito-sphenoid Moderate Regionally restricted euxassay_016252_23

Specimen euxassay_016252_24: embryonic day 14.5 (more )
Structure Level Pattern Image Note
TS23: rib Moderate Regionally restricted euxassay_016252_24
TS23: orbito-sphenoid Moderate Regionally restricted euxassay_016252_24

Specimen euxassay_016252_25: embryonic day 14.5 (more )
Structure Level Pattern Image Note
TS23: rib Moderate Regionally restricted euxassay_016252_25
TS23: orbito-sphenoid Moderate Regionally restricted euxassay_016252_25
TS23: humerus Weak Regionally restricted euxassay_016252_25

Specimen euxassay_016252_26: embryonic day 14.5 (more )
Structure Level Pattern Image Note
TS23: orbito-sphenoid Moderate Regionally restricted euxassay_016252_26
TS23: humerus Weak Regionally restricted euxassay_016252_26


Contributing Projects:
Mouse Genome Database (MGD), Gene Expression Database (GXD), Mouse Models of Human Cancer database (MMHCdb) (formerly Mouse Tumor Biology (MTB)), Gene Ontology (GO)
Citing These Resources
Funding Information
Warranty Disclaimer, Privacy Notice, Licensing, & Copyright
Send questions and comments to User Support.
last database update
12/30/2025
MGI 6.24
The Jackson Laboratory