About   Help   FAQ
Gene Expression Data
Assay Details
Assay
Reference: J:153498 Diez-Roux G, et al., A high-resolution anatomical atlas of the transcriptome in the mouse embryo. PLoS Biol. 2011;9(1):e1000582
Assay type: RNA in situ
MGI Accession ID: MGI:4823644
Gene symbol: Casp7
Gene name: caspase 7
Probe: IMAGE clone 1499194
Probe preparation: Antisense labelled with digoxigenin RNA
Visualized with: Alkaline phosphatase
Assay notes: Cryosections of fresh frozen material were fixed in 4% paraformaldehyde for 20 min. before further processing. A tyramide-biotin/streptavidin amplification step was included in the in situ hybridization procedure.
Results
Specimen euxassay_006180_04: embryonic day 14.5 (more )
Structure Level Pattern Image Note
TS23: metencephalon part of 4th ventricle choroid plexus Strong Regionally restricted euxassay_006180_04

Specimen euxassay_006180_05: embryonic day 14.5 (more )
Structure Level Pattern Image Note
TS23: metencephalon part of 4th ventricle choroid plexus Strong Regionally restricted euxassay_006180_05

Specimen euxassay_006180_06: embryonic day 14.5 (more )
Structure Level Pattern Image Note
TS23: metencephalon part of 4th ventricle choroid plexus Strong Regionally restricted euxassay_006180_06

Specimen euxassay_006180_07: embryonic day 14.5 (more )
Structure Level Pattern Image Note
TS23: metencephalon part of 4th ventricle choroid plexus Strong Regionally restricted euxassay_006180_07

Specimen euxassay_006180_08: embryonic day 14.5 (more )
Structure Level Pattern Image Note
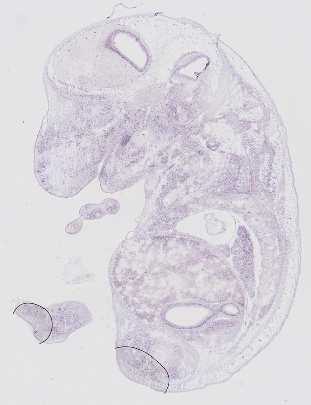
TS23: olfactory epithelium Strong Regionally restricted euxassay_006180_08
TS23: choroid invagination Strong Regionally restricted euxassay_006180_08
TS23: metencephalon part of 4th ventricle choroid plexus Strong Regionally restricted euxassay_006180_08

Specimen euxassay_006180_09: embryonic day 14.5 (more )
Structure Level Pattern Image Note
TS23: olfactory epithelium Strong Regionally restricted euxassay_006180_09
TS23: choroid invagination Strong Regionally restricted euxassay_006180_09
TS23: metencephalon part of 4th ventricle choroid plexus Strong Regionally restricted euxassay_006180_09
TS23: thymus primordium Moderate Regionally restricted euxassay_006180_09

Specimen euxassay_006180_10: embryonic day 14.5 (more )
Structure Level Pattern Image Note
TS23: olfactory epithelium Strong Regionally restricted euxassay_006180_10
TS23: choroid invagination Strong Regionally restricted euxassay_006180_10
TS23: metencephalon part of 4th ventricle choroid plexus Strong Regionally restricted euxassay_006180_10
TS23: thymus primordium Moderate Regionally restricted euxassay_006180_10

Specimen euxassay_006180_11: embryonic day 14.5 (more )
Structure Level Pattern Image Note
TS23: olfactory epithelium Strong Regionally restricted euxassay_006180_11
TS23: choroid invagination Strong Regionally restricted euxassay_006180_11
TS23: diencephalon roof plate Strong Regionally restricted euxassay_006180_11
TS23: metencephalon part of 4th ventricle choroid plexus Strong Regionally restricted euxassay_006180_11
TS23: thymus primordium Moderate Regionally restricted euxassay_006180_11

Specimen euxassay_006180_12: embryonic day 14.5 (more )
Structure Level Pattern Image Note
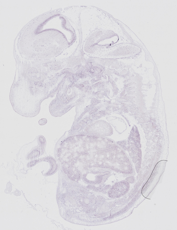
TS23: choroid invagination Strong Regionally restricted euxassay_006180_12
TS23: diencephalon roof plate Strong Regionally restricted euxassay_006180_12
TS23: thymus primordium Moderate Regionally restricted euxassay_006180_12

Specimen euxassay_006180_13: embryonic day 14.5 (more )
Structure Level Pattern Image Note
TS23: olfactory epithelium Strong Regionally restricted euxassay_006180_13
TS23: diencephalon roof plate Strong Regionally restricted euxassay_006180_13
TS23: choroid invagination Strong Regionally restricted euxassay_006180_13
TS23: thymus primordium Moderate Regionally restricted euxassay_006180_13

Specimen euxassay_006180_14: embryonic day 14.5 (more )
Structure Level Pattern Image Note
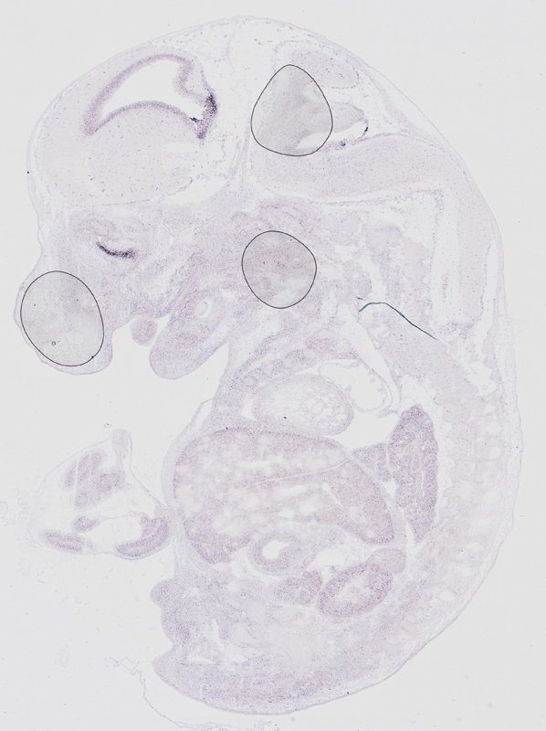
TS23: olfactory epithelium Strong Regionally restricted euxassay_006180_14
TS23: diencephalon roof plate Strong Regionally restricted euxassay_006180_14
TS23: metencephalon part of 4th ventricle choroid plexus Strong Regionally restricted euxassay_006180_14

Specimen euxassay_006180_15: embryonic day 14.5 (more )
Structure Level Pattern Image Note
TS23: olfactory epithelium Strong Regionally restricted euxassay_006180_15
TS23: diencephalon roof plate Strong Regionally restricted euxassay_006180_15
TS23: metencephalon part of 4th ventricle choroid plexus Strong Regionally restricted euxassay_006180_15

Specimen euxassay_006180_16: embryonic day 14.5 (more )
Structure Level Pattern Image Note
TS23: olfactory epithelium Strong Regionally restricted euxassay_006180_16
TS23: choroid invagination Strong Regionally restricted euxassay_006180_16
TS23: diencephalon roof plate Strong Regionally restricted euxassay_006180_16
TS23: metencephalon part of 4th ventricle choroid plexus Strong Regionally restricted euxassay_006180_16

Specimen euxassay_006180_17: embryonic day 14.5 (more )
Structure Level Pattern Image Note
TS23: olfactory epithelium Strong Regionally restricted euxassay_006180_17
TS23: choroid invagination Strong Regionally restricted euxassay_006180_17
TS23: diencephalon roof plate Strong Regionally restricted euxassay_006180_17
TS23: metencephalon part of 4th ventricle choroid plexus Strong Regionally restricted euxassay_006180_17

Specimen euxassay_006180_18: embryonic day 14.5 (more )
Structure Level Pattern Image Note
TS23: choroid invagination Strong Regionally restricted euxassay_006180_18
TS23: diencephalon roof plate Strong Regionally restricted euxassay_006180_18
TS23: metencephalon part of 4th ventricle choroid plexus Strong Regionally restricted euxassay_006180_18

Specimen euxassay_006180_19: embryonic day 14.5 (more )
Structure Level Pattern Image Note
TS23: choroid invagination Strong Regionally restricted euxassay_006180_19
TS23: diencephalon roof plate Strong Regionally restricted euxassay_006180_19
TS23: metencephalon part of 4th ventricle choroid plexus Strong Regionally restricted euxassay_006180_19

Specimen euxassay_006180_20: embryonic day 14.5 (more )
Structure Level Pattern Image Note
TS23: choroid invagination Strong Regionally restricted euxassay_006180_20
TS23: metencephalon part of 4th ventricle choroid plexus Strong Regionally restricted euxassay_006180_20

Specimen euxassay_006180_21: embryonic day 14.5 (more )
Structure Level Pattern Image Note
TS23: choroid invagination Strong Regionally restricted euxassay_006180_21
TS23: metencephalon part of 4th ventricle choroid plexus Strong Regionally restricted euxassay_006180_21

Specimen euxassay_006180_22: embryonic day 14.5 (more )
Structure Level Pattern Image Note
TS23: metencephalon part of 4th ventricle choroid plexus Strong Regionally restricted euxassay_006180_22


Contributing Projects:
Mouse Genome Database (MGD), Gene Expression Database (GXD), Mouse Models of Human Cancer database (MMHCdb) (formerly Mouse Tumor Biology (MTB)), Gene Ontology (GO)
Citing These Resources
Funding Information
Warranty Disclaimer, Privacy Notice, Licensing, & Copyright
Send questions and comments to User Support.
last database update
09/30/2025
MGI 6.24
The Jackson Laboratory