About   Help   FAQ
Gene Expression Data
Assay Details
Assay
Reference: J:153498 Diez-Roux G, et al., A high-resolution anatomical atlas of the transcriptome in the mouse embryo. PLoS Biol. 2011;9(1):e1000582
Assay type: RNA in situ
MGI Accession ID: MGI:4823638
Gene symbol: Cartpt
Gene name: CART prepropeptide
Probe: MGC clone 66635
Probe preparation: Antisense labelled with digoxigenin RNA
Visualized with: Alkaline phosphatase
Assay notes: Cryosections of fresh frozen material were fixed in 4% paraformaldehyde for 20 min. before further processing. A tyramide-biotin/streptavidin amplification step was included in the in situ hybridization procedure.
Results
Specimen euxassay_007423_02: embryonic day 14.5 (more )
Structure Level Pattern Image Note
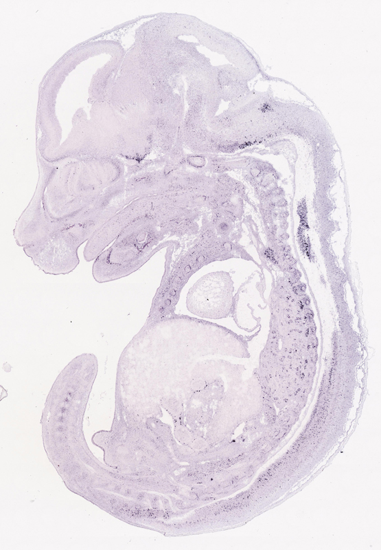
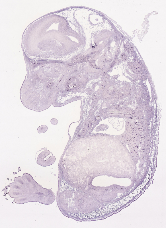
TS23: rib Moderate Regionally restricted euxassay_007423_02

Specimen euxassay_007423_03: embryonic day 14.5 (more )
Structure Level Pattern Image Note
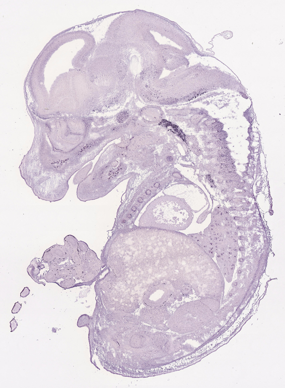
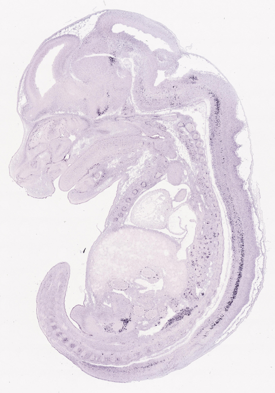
TS23: mandible Weak Regionally restricted euxassay_007423_03
TS23: rib Moderate Regionally restricted euxassay_007423_03
TS23: left lung Moderate Spotted euxassay_007423_03

Specimen euxassay_007423_04: embryonic day 14.5 (more )
Structure Level Pattern Image Note
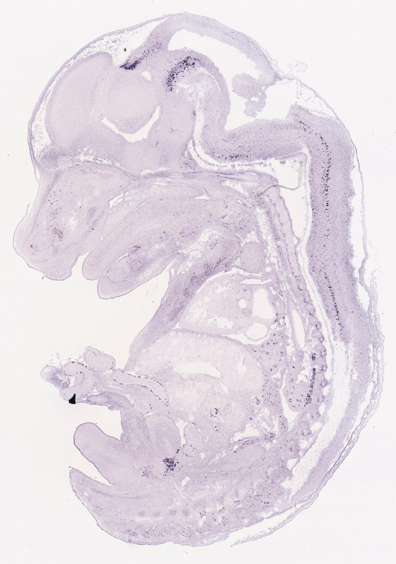
TS23: mandible Weak Regionally restricted euxassay_007423_04
TS23: rib Moderate Regionally restricted euxassay_007423_04
TS23: left lung Moderate Spotted euxassay_007423_04

Specimen euxassay_007423_05: embryonic day 14.5 (more )
Structure Level Pattern Image Note
TS23: mandible Weak Regionally restricted euxassay_007423_05
TS23: rib Moderate Regionally restricted euxassay_007423_05
TS23: left lung Moderate Spotted euxassay_007423_05

Specimen euxassay_007423_06: embryonic day 14.5 (more )
Structure Level Pattern Image Note
TS23: mandible Weak Regionally restricted euxassay_007423_06
TS23: rib Moderate Regionally restricted euxassay_007423_06
TS23: left lung Moderate Spotted euxassay_007423_06

Specimen euxassay_007423_07: embryonic day 14.5 (more )
Structure Level Pattern Image Note
TS23: diencephalon lateral wall mantle layer Moderate Regionally restricted euxassay_007423_07
TS23: mandible Moderate Regionally restricted euxassay_007423_07
TS23: rib Moderate Regionally restricted euxassay_007423_07
TS23: left lung Moderate Spotted euxassay_007423_07

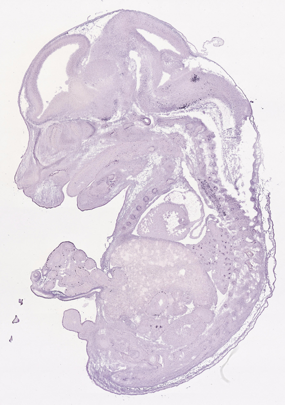
Specimen euxassay_007423_08: embryonic day 14.5 (more )
Note: Additional information for this specimen was included in the Eurexpress data submission file.
Structure Level Pattern Image Note
TS23: pons mantle layer Strong Regionally restricted euxassay_007423_08 trigeminal motor nucleus
TS23: cervical ganglion Strong Regionally restricted euxassay_007423_08
TS23: diencephalon lateral wall mantle layer Strong Regionally restricted euxassay_007423_08
TS23: mandible Moderate Regionally restricted euxassay_007423_08
TS23: rib Weak Regionally restricted euxassay_007423_08
TS23: left lung Moderate Spotted euxassay_007423_08
TS23: medulla oblongata basal plate mantle layer Moderate Regionally restricted euxassay_007423_08

Specimen euxassay_007423_09: embryonic day 14.5 (more )
Structure Level Pattern Image Note
TS23: cervical ganglion Strong Regionally restricted euxassay_007423_09
TS23: mandible Moderate Regionally restricted euxassay_007423_09
TS23: maxilla Moderate Regionally restricted euxassay_007423_09
TS23: rib Weak Regionally restricted euxassay_007423_09
TS23: left lung Moderate Spotted euxassay_007423_09
TS23: medulla oblongata basal plate mantle layer Moderate Regionally restricted euxassay_007423_09

Specimen euxassay_007423_10: embryonic day 14.5 (more )
Structure Level Pattern Image Note
TS23: cervico-thoracic ganglion Moderate Regionally restricted euxassay_007423_10
TS23: mandible Weak Regionally restricted euxassay_007423_10
TS23: maxilla Weak Regionally restricted euxassay_007423_10
TS23: rib Weak Regionally restricted euxassay_007423_10
TS23: left lung Moderate Spotted euxassay_007423_10
TS23: medulla oblongata basal plate mantle layer Moderate Regionally restricted euxassay_007423_10

Specimen euxassay_007423_11: embryonic day 14.5 (more )
Structure Level Pattern Image Note
TS23: cervico-thoracic ganglion Moderate Regionally restricted euxassay_007423_11
TS23: ventral grey horn Strong Regionally restricted euxassay_007423_11
TS23: diencephalon lateral wall mantle layer Strong Regionally restricted euxassay_007423_11
TS23: mandible Weak Regionally restricted euxassay_007423_11
TS23: olfactory epithelium Strong Single cells euxassay_007423_11
TS23: rib Weak Regionally restricted euxassay_007423_11
TS23: left lung Moderate Spotted euxassay_007423_11
TS23: medulla oblongata basal plate mantle layer Moderate Regionally restricted euxassay_007423_11

Specimen euxassay_007423_12: embryonic day 14.5 (more )
Structure Level Pattern Image Note
TS23: ventral grey horn Strong Regionally restricted euxassay_007423_12
TS23: diencephalon lateral wall mantle layer Strong Regionally restricted euxassay_007423_12
TS23: olfactory epithelium Strong Single cells euxassay_007423_12
TS23: left lung Moderate Spotted euxassay_007423_12
TS23: medulla oblongata basal plate mantle layer Moderate Regionally restricted euxassay_007423_12

Specimen euxassay_007423_13: embryonic day 14.5 (more )
Structure Level Pattern Image Note
TS23: ventral grey horn Strong Regionally restricted euxassay_007423_13

Specimen euxassay_007423_14: embryonic day 14.5 (more )
Structure Level Pattern Image Note
TS23: thoracic ganglion Moderate Regionally restricted euxassay_007423_14
TS23: ventral grey horn Strong Regionally restricted euxassay_007423_14
TS23: diencephalon lateral wall mantle layer Strong Regionally restricted euxassay_007423_14
TS23: olfactory epithelium Strong Single cells euxassay_007423_14
TS23: right lung Moderate Spotted euxassay_007423_14
TS23: medulla oblongata basal plate mantle layer Moderate Regionally restricted euxassay_007423_14

Specimen euxassay_007423_15: embryonic day 14.5 (more )
Structure Level Pattern Image Note
TS23: thoracic ganglion Moderate Regionally restricted euxassay_007423_15
TS23: ventral grey horn Strong Regionally restricted euxassay_007423_15
TS23: diencephalon lateral wall mantle layer Moderate Regionally restricted euxassay_007423_15
TS23: mandible Weak Regionally restricted euxassay_007423_15
TS23: olfactory epithelium Strong Single cells euxassay_007423_15
TS23: rib Weak Regionally restricted euxassay_007423_15
TS23: right lung Moderate Spotted euxassay_007423_15
TS23: medulla oblongata basal plate mantle layer Moderate Regionally restricted euxassay_007423_15

Specimen euxassay_007423_16: embryonic day 14.5 (more )
Structure Level Pattern Image Note
TS23: cervico-thoracic ganglion Moderate Regionally restricted euxassay_007423_16
TS23: ventral grey horn Strong Regionally restricted euxassay_007423_16
TS23: mandible Moderate Regionally restricted euxassay_007423_16
TS23: olfactory epithelium Strong Single cells euxassay_007423_16
TS23: rib Weak Regionally restricted euxassay_007423_16
TS23: right lung Moderate Spotted euxassay_007423_16
TS23: medulla oblongata basal plate mantle layer Moderate Regionally restricted euxassay_007423_16

Specimen euxassay_007423_17: embryonic day 14.5 (more )
Structure Level Pattern Image Note
TS23: cervical ganglion Strong Regionally restricted euxassay_007423_17
TS23: cervico-thoracic ganglion Moderate Regionally restricted euxassay_007423_17
TS23: ventral grey horn Moderate Regionally restricted euxassay_007423_17
TS23: mandible Weak Regionally restricted euxassay_007423_17
TS23: maxilla Weak Regionally restricted euxassay_007423_17
TS23: medulla oblongata basal plate mantle layer Moderate Regionally restricted euxassay_007423_17

Specimen euxassay_007423_18: embryonic day 14.5 (more )
Note: Additional information for this specimen was included in the Eurexpress data submission file.
Structure Level Pattern Image Note
TS23: pons mantle layer Strong Regionally restricted euxassay_007423_18 trigeminal motor nucleus
TS23: diencephalon lateral wall mantle layer Moderate Regionally restricted euxassay_007423_18
TS23: maxilla Weak Regionally restricted euxassay_007423_18
TS23: mandible Weak Regionally restricted euxassay_007423_18
TS23: rib Weak Regionally restricted euxassay_007423_18
TS23: right lung Moderate Spotted euxassay_007423_18
TS23: medulla oblongata basal plate mantle layer Moderate Regionally restricted euxassay_007423_18

Specimen euxassay_007423_19: embryonic day 14.5 (more )
Structure Level Pattern Image Note
TS23: maxilla Weak Regionally restricted euxassay_007423_19
TS23: mandible Weak Regionally restricted euxassay_007423_19
TS23: orbito-sphenoid Weak Regionally restricted euxassay_007423_19
TS23: rib Moderate Regionally restricted euxassay_007423_19
TS23: right lung Moderate Spotted euxassay_007423_19

Specimen euxassay_007423_20: embryonic day 14.5 (more )
Structure Level Pattern Image Note
TS23: mandible Weak Regionally restricted euxassay_007423_20
TS23: maxilla Weak Regionally restricted euxassay_007423_20
TS23: orbito-sphenoid Weak Regionally restricted euxassay_007423_20
TS23: rib Moderate Regionally restricted euxassay_007423_20
TS23: right lung Moderate Spotted euxassay_007423_20

Specimen euxassay_007423_21: embryonic day 14.5 (more )
Structure Level Pattern Image Note
TS23: mandible Weak Regionally restricted euxassay_007423_21
TS23: maxilla Weak Regionally restricted euxassay_007423_21
TS23: orbito-sphenoid Weak Regionally restricted euxassay_007423_21
TS23: rib Moderate Regionally restricted euxassay_007423_21
TS23: right lung Moderate Spotted euxassay_007423_21

Specimen euxassay_007423_22: embryonic day 14.5 (more )
Structure Level Pattern Image Note
TS23: mandible Weak Regionally restricted euxassay_007423_22
TS23: orbito-sphenoid Moderate Regionally restricted euxassay_007423_22
TS23: rib Moderate Regionally restricted euxassay_007423_22
TS23: right lung Moderate Spotted euxassay_007423_22

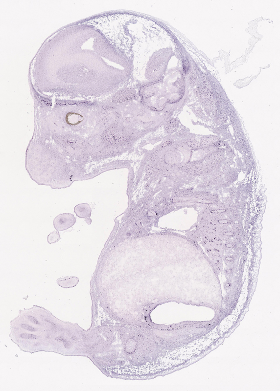
Specimen euxassay_007423_23: embryonic day 14.5 (more )
Structure Level Pattern Image Note
TS23: orbito-sphenoid Moderate Regionally restricted euxassay_007423_23
TS23: rib Moderate Regionally restricted euxassay_007423_23
TS23: right lung Moderate Spotted euxassay_007423_23

Specimen euxassay_007423_24: embryonic day 14.5 (more )
Structure Level Pattern Image Note
TS23: orbito-sphenoid Moderate Regionally restricted euxassay_007423_24
TS23: rib Moderate Regionally restricted euxassay_007423_24
TS23: right lung Moderate Spotted euxassay_007423_24


Contributing Projects:
Mouse Genome Database (MGD), Gene Expression Database (GXD), Mouse Models of Human Cancer database (MMHCdb) (formerly Mouse Tumor Biology (MTB)), Gene Ontology (GO)
Citing These Resources
Funding Information
Warranty Disclaimer, Privacy Notice, Licensing, & Copyright
Send questions and comments to User Support.
last database update
12/30/2025
MGI 6.24
The Jackson Laboratory