About   Help   FAQ
Gene Expression Data
Assay Details
Assay
Reference: J:153498 Diez-Roux G, et al., A high-resolution anatomical atlas of the transcriptome in the mouse embryo. PLoS Biol. 2011;9(1):e1000582
Assay type: RNA in situ
MGI Accession ID: MGI:4823637
Gene symbol: Card6
Gene name: caspase recruitment domain family, member 6
Probe: T37619
Probe preparation: Antisense labelled with digoxigenin RNA
Visualized with: Alkaline phosphatase
Assay notes: Cryosections of fresh frozen material were fixed in 4% paraformaldehyde for 20 min. before further processing. A tyramide-biotin/streptavidin amplification step was included in the in situ hybridization procedure.
Results
Specimen euxassay_012170_03: embryonic day 14.5 (more )
Structure Level Pattern Image Note
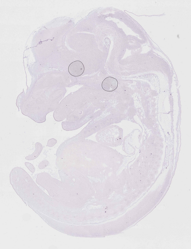
TS23: vertebral axis musculature Moderate Spotted euxassay_012170_03

Specimen euxassay_012170_04: embryonic day 14.5 (more )
Structure Level Pattern Image Note
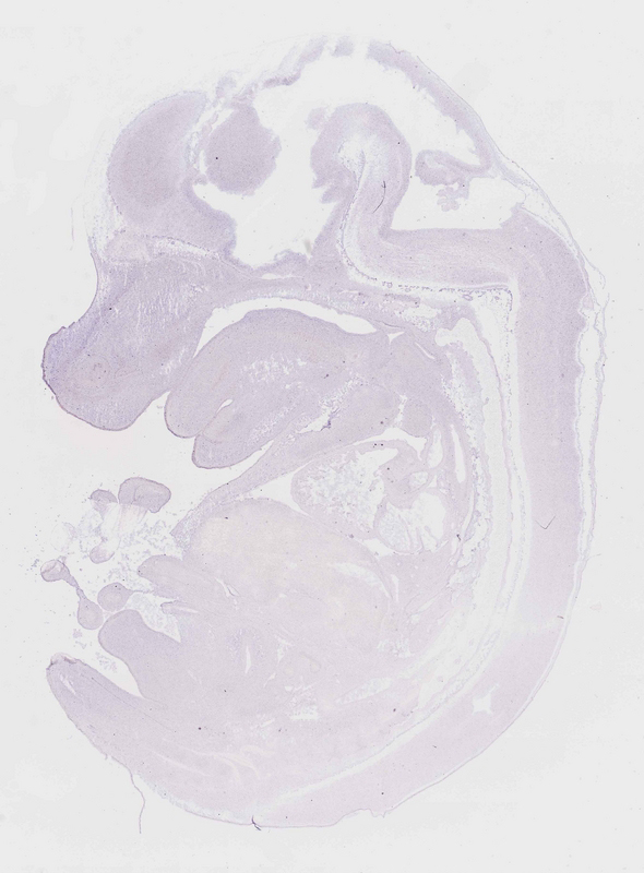
TS23: lung Strong Spotted euxassay_012170_04
TS23: vertebral axis musculature Strong Spotted euxassay_012170_04
TS23: upper leg muscle Strong Spotted euxassay_012170_04

Specimen euxassay_012170_05: embryonic day 14.5 (more )
Structure Level Pattern Image Note
TS23: lung Strong Spotted euxassay_012170_05
TS23: vertebral axis musculature Moderate Spotted euxassay_012170_05
TS23: upper leg muscle Strong Spotted euxassay_012170_05

Specimen euxassay_012170_06: embryonic day 14.5 (more )
Structure Level Pattern Image Note
TS23: heart ventricle Strong Spotted euxassay_012170_06
TS23: lung Strong Spotted euxassay_012170_06
TS23: upper leg muscle Strong Spotted euxassay_012170_06

Specimen euxassay_012170_07: embryonic day 14.5 (more )
Structure Level Pattern Image Note
TS23: heart ventricle Strong Spotted euxassay_012170_07
TS23: lung Strong Spotted euxassay_012170_07
TS23: upper leg muscle Strong Spotted euxassay_012170_07

Specimen euxassay_012170_08: embryonic day 14.5 (more )
Structure Level Pattern Image Note
TS23: heart ventricle Strong Spotted euxassay_012170_08
TS23: lung Strong Spotted euxassay_012170_08
TS23: vertebral axis musculature Strong Spotted euxassay_012170_08

Specimen euxassay_012170_09: embryonic day 14.5 (more )
Structure Level Pattern Image Note
TS23: heart ventricle Strong Spotted euxassay_012170_09

Specimen euxassay_012170_10: embryonic day 14.5 (more )
Structure Level Pattern Image Note
TS23: heart ventricle Strong Spotted euxassay_012170_10

Specimen euxassay_012170_11: embryonic day 14.5 (more )
Structure Level Pattern Image Note
TS23: heart ventricle Strong Spotted euxassay_012170_11

Specimen euxassay_012170_12: embryonic day 14.5 (more )
Structure Level Pattern Image Note
TS23: heart ventricle Moderate Spotted euxassay_012170_12
TS23: lung Strong Spotted euxassay_012170_12

Specimen euxassay_012170_13: embryonic day 14.5 (more )
Structure Level Pattern Image Note
TS23: heart ventricle Moderate Spotted euxassay_012170_13

Specimen euxassay_012170_14: embryonic day 14.5 (more )
Structure Level Pattern Image Note
TS23: heart ventricle Moderate Spotted euxassay_012170_14
TS23: lung Moderate Regionally restricted euxassay_012170_14

Specimen euxassay_012170_15: embryonic day 14.5 (more )
Structure Level Pattern Image Note
TS23: heart ventricle Moderate Spotted euxassay_012170_15
TS23: lung Strong Regionally restricted euxassay_012170_15

Specimen euxassay_012170_16: embryonic day 14.5 (more )
Structure Level Pattern Image Note
TS23: heart ventricle Moderate Spotted euxassay_012170_16
TS23: lung Strong Regionally restricted euxassay_012170_16
TS23: vertebral axis musculature Strong Spotted euxassay_012170_16

Specimen euxassay_012170_17: embryonic day 14.5 (more )
Structure Level Pattern Image Note
TS23: lung Moderate Regionally restricted euxassay_012170_17

Specimen euxassay_012170_20: embryonic day 14.5 (more )
Structure Level Pattern Image Note
TS23: lung Strong Regionally restricted euxassay_012170_20

Specimen euxassay_012170_22: embryonic day 14.5 (more )
Structure Level Pattern Image Note
TS23: upper leg muscle Strong Spotted euxassay_012170_22

Specimen euxassay_012170_23: embryonic day 14.5 (more )
Structure Level Pattern Image Note
TS23: vertebral axis musculature Strong Spotted euxassay_012170_23
TS23: upper leg muscle Strong Spotted euxassay_012170_23
TS23: upper arm muscle Strong Spotted euxassay_012170_23

Specimen euxassay_012170_24: embryonic day 14.5 (more )
Structure Level Pattern Image Note
TS23: vertebral axis musculature Strong Spotted euxassay_012170_24
TS23: upper leg muscle Strong Spotted euxassay_012170_24
TS23: upper arm muscle Strong Spotted euxassay_012170_24


Contributing Projects:
Mouse Genome Database (MGD), Gene Expression Database (GXD), Mouse Models of Human Cancer database (MMHCdb) (formerly Mouse Tumor Biology (MTB)), Gene Ontology (GO)
Citing These Resources
Funding Information
Warranty Disclaimer, Privacy Notice, Licensing, & Copyright
Send questions and comments to User Support.
last database update
12/30/2025
MGI 6.24
The Jackson Laboratory