About   Help   FAQ
Gene Expression Data
Assay Details
Assay
Reference: J:153498 Diez-Roux G, et al., A high-resolution anatomical atlas of the transcriptome in the mouse embryo. PLoS Biol. 2011;9(1):e1000582
Assay type: RNA in situ
MGI Accession ID: MGI:4823607
Gene symbol: Camkv
Gene name: CaM kinase-like vesicle-associated
Probe: MGC clone 28873
Probe preparation: Antisense labelled with digoxigenin RNA
Visualized with: Alkaline phosphatase
Assay notes: Cryosections of fresh frozen material were fixed in 4% paraformaldehyde for 20 min. before further processing. A tyramide-biotin/streptavidin amplification step was included in the in situ hybridization procedure.
Results
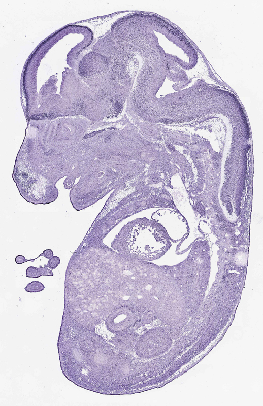
Specimen euxassay_007008_01: embryonic day 14.5 (more )
Structure Level Pattern Image Note
TS23: cerebral cortex marginal layer Strong Regionally restricted euxassay_007008_01

Specimen euxassay_007008_02: embryonic day 14.5 (more )
Structure Level Pattern Image Note
TS23: cerebral cortex marginal layer Strong Regionally restricted euxassay_007008_02
TS23: telencephalon mantle layer Strong Regionally restricted euxassay_007008_02
TS23: hindbrain Strong Regionally restricted euxassay_007008_02
TS23: forelimb digit 3 phalanx Strong Regionally restricted euxassay_007008_02
TS23: forelimb digit 2 phalanx Strong Regionally restricted euxassay_007008_02

Specimen euxassay_007008_03: embryonic day 14.5 (more )
Structure Level Pattern Image Note
TS23: cerebral cortex marginal layer Strong Regionally restricted euxassay_007008_03
TS23: telencephalon mantle layer Strong Regionally restricted euxassay_007008_03
TS23: hindbrain Strong Regionally restricted euxassay_007008_03
TS23: hindlimb digit 1 phalanx Strong Regionally restricted euxassay_007008_03
TS23: hindlimb digit 2 phalanx Strong Regionally restricted euxassay_007008_03
TS23: hindlimb digit 3 phalanx Strong Regionally restricted euxassay_007008_03
TS23: hindlimb digit 4 phalanx Strong Regionally restricted euxassay_007008_03

Specimen euxassay_007008_04: embryonic day 14.5 (more )
Structure Level Pattern Image Note
TS23: cerebral cortex marginal layer Strong Regionally restricted euxassay_007008_04
TS23: telencephalon mantle layer Strong Regionally restricted euxassay_007008_04
TS23: hindbrain Strong Regionally restricted euxassay_007008_04
TS23: hindlimb digit 1 phalanx Strong Regionally restricted euxassay_007008_04
TS23: hindlimb digit 2 phalanx Strong Regionally restricted euxassay_007008_04
TS23: hindlimb digit 3 phalanx Strong Regionally restricted euxassay_007008_04
TS23: hindlimb digit 4 phalanx Strong Regionally restricted euxassay_007008_04
TS23: hindlimb digit 5 phalanx Strong Regionally restricted euxassay_007008_04

Specimen euxassay_007008_05: embryonic day 14.5 (more )
Structure Level Pattern Image Note
TS23: cerebral cortex marginal layer Strong Regionally restricted euxassay_007008_05
TS23: telencephalon mantle layer Strong Regionally restricted euxassay_007008_05
TS23: hindbrain Strong Regionally restricted euxassay_007008_05
TS23: midbrain Strong Regionally restricted euxassay_007008_05
TS23: hindlimb digit 1 phalanx Strong Regionally restricted euxassay_007008_05
TS23: hindlimb digit 2 phalanx Strong Regionally restricted euxassay_007008_05
TS23: hindlimb digit 3 phalanx Strong Regionally restricted euxassay_007008_05
TS23: hindlimb digit 4 phalanx Strong Regionally restricted euxassay_007008_05
TS23: hindlimb digit 5 phalanx Strong Regionally restricted euxassay_007008_05

Specimen euxassay_007008_06: embryonic day 14.5 (more )
Structure Level Pattern Image Note
TS23: cerebral cortex marginal layer Strong Regionally restricted euxassay_007008_06
TS23: telencephalon mantle layer Strong Regionally restricted euxassay_007008_06
TS23: hindbrain Strong Regionally restricted euxassay_007008_06
TS23: midbrain Strong Regionally restricted euxassay_007008_06
TS23: diencephalon Strong Regionally restricted euxassay_007008_06
TS23: hindlimb digit 5 phalanx Strong Regionally restricted euxassay_007008_06
TS23: hindlimb digit 4 phalanx Strong Regionally restricted euxassay_007008_06
TS23: hindlimb digit 3 phalanx Strong Regionally restricted euxassay_007008_06

Specimen euxassay_007008_07: embryonic day 14.5 (more )
Structure Level Pattern Image Note
TS23: cerebral cortex marginal layer Strong Regionally restricted euxassay_007008_07
TS23: telencephalon mantle layer Strong Regionally restricted euxassay_007008_07
TS23: diencephalon Strong Regionally restricted euxassay_007008_07
TS23: hindbrain Strong Regionally restricted euxassay_007008_07
TS23: midbrain Strong Regionally restricted euxassay_007008_07
TS23: hindlimb digit 5 phalanx Strong Regionally restricted euxassay_007008_07
TS23: hindlimb digit 4 phalanx Strong Regionally restricted euxassay_007008_07

Specimen euxassay_007008_08: embryonic day 14.5 (more )
Structure Level Pattern Image Note
TS23: cerebral cortex marginal layer Strong Regionally restricted euxassay_007008_08
TS23: telencephalon mantle layer Strong Regionally restricted euxassay_007008_08
TS23: diencephalon Strong Regionally restricted euxassay_007008_08
TS23: hindbrain Strong Regionally restricted euxassay_007008_08
TS23: midbrain Strong Regionally restricted euxassay_007008_08

Specimen euxassay_007008_09: embryonic day 14.5 (more )
Structure Level Pattern Image Note
TS23: cerebral cortex marginal layer Strong Regionally restricted euxassay_007008_09
TS23: olfactory cortex marginal layer Strong Regionally restricted euxassay_007008_09
TS23: telencephalon mantle layer Strong Regionally restricted euxassay_007008_09
TS23: diencephalon Strong Regionally restricted euxassay_007008_09
TS23: hindbrain Strong Regionally restricted euxassay_007008_09
TS23: midbrain Strong Regionally restricted euxassay_007008_09
TS23: spinal cord Strong Regionally restricted euxassay_007008_09

Specimen euxassay_007008_10: embryonic day 14.5 (more )
Structure Level Pattern Image Note
TS23: cerebral cortex marginal layer Strong Regionally restricted euxassay_007008_10
TS23: olfactory cortex marginal layer Strong Regionally restricted euxassay_007008_10
TS23: telencephalon mantle layer Strong Regionally restricted euxassay_007008_10
TS23: diencephalon Strong Regionally restricted euxassay_007008_10
TS23: hindbrain Strong Regionally restricted euxassay_007008_10
TS23: midbrain Strong Regionally restricted euxassay_007008_10
TS23: spinal cord Strong Regionally restricted euxassay_007008_10

Specimen euxassay_007008_11: embryonic day 14.5 (more )
Structure Level Pattern Image Note
TS23: cerebral cortex marginal layer Strong Regionally restricted euxassay_007008_11
TS23: olfactory cortex marginal layer Strong Regionally restricted euxassay_007008_11
TS23: telencephalon mantle layer Strong Regionally restricted euxassay_007008_11
TS23: diencephalon Strong Regionally restricted euxassay_007008_11
TS23: hindbrain Strong Regionally restricted euxassay_007008_11
TS23: midbrain Strong Regionally restricted euxassay_007008_11
TS23: spinal cord Strong Regionally restricted euxassay_007008_11

Specimen euxassay_007008_12: embryonic day 14.5 (more )
Structure Level Pattern Image Note
TS23: cerebral cortex marginal layer Strong Regionally restricted euxassay_007008_12
TS23: olfactory cortex marginal layer Strong Regionally restricted euxassay_007008_12
TS23: telencephalon mantle layer Strong Regionally restricted euxassay_007008_12
TS23: diencephalon Strong Regionally restricted euxassay_007008_12
TS23: hindbrain Strong Regionally restricted euxassay_007008_12
TS23: midbrain Strong Regionally restricted euxassay_007008_12
TS23: spinal cord Strong Regionally restricted euxassay_007008_12

Specimen euxassay_007008_13: embryonic day 14.5 (more )
Structure Level Pattern Image Note
TS23: telencephalon mantle layer Strong Regionally restricted euxassay_007008_13
TS23: diencephalon Strong Regionally restricted euxassay_007008_13
TS23: hindbrain Strong Regionally restricted euxassay_007008_13
TS23: midbrain Strong Regionally restricted euxassay_007008_13
TS23: spinal cord Strong Regionally restricted euxassay_007008_13

Specimen euxassay_007008_14: embryonic day 14.5 (more )
Structure Level Pattern Image Note
TS23: olfactory cortex marginal layer Strong Regionally restricted euxassay_007008_14
TS23: cerebral cortex marginal layer Strong Regionally restricted euxassay_007008_14
TS23: telencephalon mantle layer Strong Regionally restricted euxassay_007008_14
TS23: diencephalon Strong Regionally restricted euxassay_007008_14
TS23: midbrain Strong Regionally restricted euxassay_007008_14
TS23: hindbrain Strong Regionally restricted euxassay_007008_14
TS23: spinal cord Strong Regionally restricted euxassay_007008_14

Specimen euxassay_007008_15: embryonic day 14.5 (more )
Structure Level Pattern Image Note
TS23: cerebral cortex marginal layer Strong Regionally restricted euxassay_007008_15
TS23: olfactory cortex marginal layer Strong Regionally restricted euxassay_007008_15
TS23: telencephalon mantle layer Strong Regionally restricted euxassay_007008_15
TS23: diencephalon Strong Regionally restricted euxassay_007008_15
TS23: hindbrain Strong Regionally restricted euxassay_007008_15
TS23: midbrain Strong Regionally restricted euxassay_007008_15
TS23: spinal cord Strong Regionally restricted euxassay_007008_15

Specimen euxassay_007008_16: embryonic day 14.5 (more )
Structure Level Pattern Image Note
TS23: cerebral cortex marginal layer Strong Regionally restricted euxassay_007008_16
TS23: telencephalon mantle layer Strong Regionally restricted euxassay_007008_16
TS23: olfactory cortex marginal layer Strong Regionally restricted euxassay_007008_16
TS23: diencephalon Strong Regionally restricted euxassay_007008_16
TS23: hindbrain Strong Regionally restricted euxassay_007008_16
TS23: midbrain Strong Regionally restricted euxassay_007008_16
TS23: spinal cord Strong Regionally restricted euxassay_007008_16

Specimen euxassay_007008_17: embryonic day 14.5 (more )
Structure Level Pattern Image Note
TS23: cerebral cortex marginal layer Strong Regionally restricted euxassay_007008_17
TS23: telencephalon mantle layer Strong Regionally restricted euxassay_007008_17
TS23: olfactory cortex marginal layer Strong Regionally restricted euxassay_007008_17
TS23: diencephalon Strong Regionally restricted euxassay_007008_17
TS23: hindbrain Strong Regionally restricted euxassay_007008_17
TS23: midbrain Strong Regionally restricted euxassay_007008_17
TS23: spinal cord Strong Regionally restricted euxassay_007008_17

Specimen euxassay_007008_18: embryonic day 14.5 (more )
Structure Level Pattern Image Note
TS23: cerebral cortex marginal layer Strong Regionally restricted euxassay_007008_18
TS23: telencephalon mantle layer Strong Regionally restricted euxassay_007008_18
TS23: diencephalon Strong Regionally restricted euxassay_007008_18
TS23: hindbrain Strong Regionally restricted euxassay_007008_18
TS23: midbrain Strong Regionally restricted euxassay_007008_18
TS23: spinal cord Strong Regionally restricted euxassay_007008_18

Specimen euxassay_007008_19: embryonic day 14.5 (more )
Structure Level Pattern Image Note
TS23: cerebral cortex marginal layer Strong Regionally restricted euxassay_007008_19
TS23: telencephalon mantle layer Strong Regionally restricted euxassay_007008_19
TS23: hindbrain Strong Regionally restricted euxassay_007008_19
TS23: midbrain Strong Regionally restricted euxassay_007008_19

Specimen euxassay_007008_20: embryonic day 14.5 (more )
Structure Level Pattern Image Note
TS23: telencephalon mantle layer Strong Regionally restricted euxassay_007008_20
TS23: cerebral cortex marginal layer Strong Regionally restricted euxassay_007008_20
TS23: hindbrain Strong Regionally restricted euxassay_007008_20

Specimen euxassay_007008_21: embryonic day 14.5 (more )
Structure Level Pattern Image Note
TS23: cerebral cortex marginal layer Strong Regionally restricted euxassay_007008_21
TS23: telencephalon mantle layer Strong Regionally restricted euxassay_007008_21
TS23: hindlimb digit 5 phalanx Strong Regionally restricted euxassay_007008_21
TS23: hindlimb digit 4 phalanx Strong Regionally restricted euxassay_007008_21
TS23: hindlimb digit 3 phalanx Strong Regionally restricted euxassay_007008_21
TS23: hindlimb digit 2 phalanx Strong Regionally restricted euxassay_007008_21
TS23: hindlimb digit 1 phalanx Strong Regionally restricted euxassay_007008_21

Specimen euxassay_007008_22: embryonic day 14.5 (more )
Structure Level Pattern Image Note
TS23: cerebral cortex marginal layer Strong Regionally restricted euxassay_007008_22
TS23: hindlimb digit 5 phalanx Strong Regionally restricted euxassay_007008_22
TS23: hindlimb digit 4 phalanx Strong Regionally restricted euxassay_007008_22
TS23: hindlimb digit 3 phalanx Strong Regionally restricted euxassay_007008_22
TS23: hindlimb digit 2 phalanx Strong Regionally restricted euxassay_007008_22
TS23: hindlimb digit 1 phalanx Strong Regionally restricted euxassay_007008_22


Contributing Projects:
Mouse Genome Database (MGD), Gene Expression Database (GXD), Mouse Models of Human Cancer database (MMHCdb) (formerly Mouse Tumor Biology (MTB)), Gene Ontology (GO)
Citing These Resources
Funding Information
Warranty Disclaimer, Privacy Notice, Licensing, & Copyright
Send questions and comments to User Support.
last database update
01/20/2026
MGI 6.24
The Jackson Laboratory