About   Help   FAQ
Gene Expression Data
Assay Details
Assay
Reference: J:153498 Diez-Roux G, et al., A high-resolution anatomical atlas of the transcriptome in the mouse embryo. PLoS Biol. 2011;9(1):e1000582
Assay type: RNA in situ
MGI Accession ID: MGI:4823594
Gene symbol: Calb1
Gene name: calbindin 1
Probe: MGC clone 25386
Probe preparation: Antisense labelled with digoxigenin RNA
Visualized with: Alkaline phosphatase
Assay notes: Cryosections of fresh frozen material were fixed in 4% paraformaldehyde for 20 min. before further processing. A tyramide-biotin/streptavidin amplification step was included in the in situ hybridization procedure.
Results
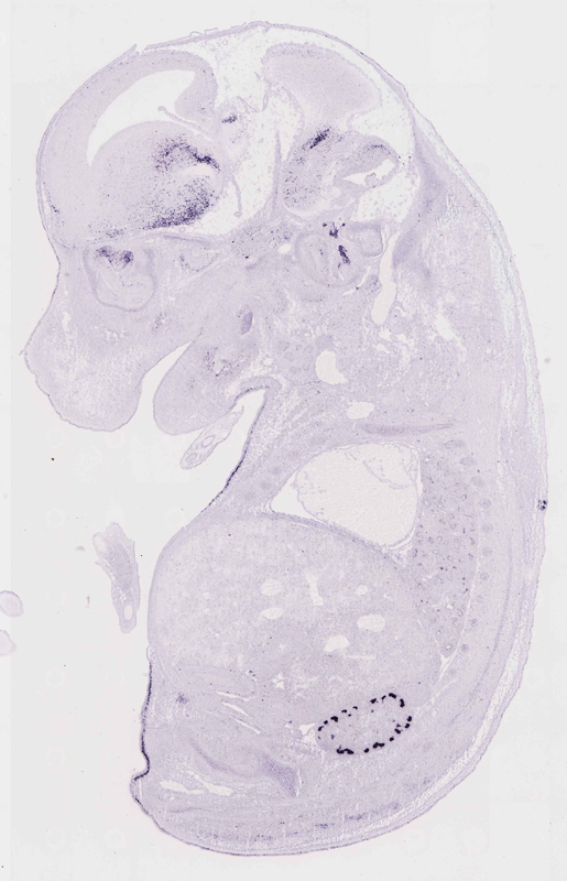
Specimen 6C - Calb1: embryonic day 14.5 (more )
Note: This specimen is a merged color composite; it was assumed this image was derived from specimens in this assay.
Structure Level Pattern Image Note
TS23: thalamus mantle layer Present Regionally restricted 6C composite Expression is present in the ventral pole.

Specimen euxassay_007049_01: embryonic day 14.5 (more )
Structure Level Pattern Image Note
TS23: skin Strong Regionally restricted euxassay_007049_01
TS23: pharyngo-tympanic tube Strong Regionally restricted euxassay_007049_01
TS23: telencephalon mantle layer Strong Spotted euxassay_007049_01
TS23: stomach Strong Single cells euxassay_007049_01

Specimen euxassay_007049_02: embryonic day 14.5 (more )
Structure Level Pattern Image Note
TS23: skin Strong Regionally restricted euxassay_007049_02
TS23: pharyngo-tympanic tube Strong Regionally restricted euxassay_007049_02
TS23: telencephalon mantle layer Strong Spotted euxassay_007049_02
TS23: stomach Strong Single cells euxassay_007049_02

Specimen euxassay_007049_03: embryonic day 14.5 (more )
Structure Level Pattern Image Note
TS23: skin Strong Regionally restricted euxassay_007049_03
TS23: pharyngo-tympanic tube Strong Regionally restricted euxassay_007049_03
TS23: telencephalon mantle layer Strong Spotted euxassay_007049_03
TS23: rest of cerebellum mantle layer Strong Spotted euxassay_007049_03
TS23: stomach Strong Single cells euxassay_007049_03

Specimen euxassay_007049_04: embryonic day 14.5 (more )
Structure Level Pattern Image Note
TS23: skin Strong Regionally restricted euxassay_007049_04
TS23: pharyngo-tympanic tube Strong Regionally restricted euxassay_007049_04
TS23: trigeminal ganglion Moderate Spotted euxassay_007049_04
TS23: perioptic mesenchyme Moderate Regionally restricted euxassay_007049_04
TS23: telencephalon mantle layer Strong Spotted euxassay_007049_04
TS23: rest of cerebellum mantle layer Strong Spotted euxassay_007049_04
TS23: pons mantle layer Strong Spotted euxassay_007049_04
TS23: stomach Strong Single cells euxassay_007049_04
TS23: left lung Strong Regionally restricted euxassay_007049_04

Specimen euxassay_007049_05: embryonic day 14.5 (more )
Structure Level Pattern Image Note
TS23: skin Strong Regionally restricted euxassay_007049_05
TS23: trigeminal ganglion Moderate Spotted euxassay_007049_05
TS23: perioptic mesenchyme Moderate Regionally restricted euxassay_007049_05
TS23: telencephalon mantle layer Strong Spotted euxassay_007049_05
TS23: rest of cerebellum mantle layer Strong Spotted euxassay_007049_05
TS23: pons mantle layer Strong Spotted euxassay_007049_05
TS23: stomach Strong Single cells euxassay_007049_05
TS23: left lung Strong Regionally restricted euxassay_007049_05

Specimen euxassay_007049_06: embryonic day 14.5 (more )
Structure Level Pattern Image Note
TS23: skin Strong Regionally restricted euxassay_007049_06
TS23: inner ear Strong Regionally restricted euxassay_007049_06
TS23: trigeminal ganglion Strong Spotted euxassay_007049_06
TS23: perioptic mesenchyme Moderate Regionally restricted euxassay_007049_06
TS23: telencephalon mantle layer Strong Spotted euxassay_007049_06
TS23: rest of cerebellum mantle layer Strong Spotted euxassay_007049_06
TS23: medulla oblongata basal plate mantle layer Strong Spotted euxassay_007049_06
TS23: pons mantle layer Strong Spotted euxassay_007049_06
TS23: stomach Strong Single cells euxassay_007049_06
TS23: left lung Moderate Regionally restricted euxassay_007049_06

Specimen euxassay_007049_07: embryonic day 14.5 (more )
Structure Level Pattern Image Note
TS23: skin Strong Regionally restricted euxassay_007049_07
TS23: inner ear Strong Regionally restricted euxassay_007049_07
TS23: trigeminal ganglion Moderate Spotted euxassay_007049_07
TS23: perioptic mesenchyme Moderate Regionally restricted euxassay_007049_07
TS23: telencephalon mantle layer Strong Spotted euxassay_007049_07
TS23: diencephalon lateral wall mantle layer Strong Spotted euxassay_007049_07
TS23: medulla oblongata basal plate mantle layer Strong Spotted euxassay_007049_07
TS23: rest of cerebellum mantle layer Strong Spotted euxassay_007049_07
TS23: pons mantle layer Strong Spotted euxassay_007049_07
TS23: stomach Strong Single cells euxassay_007049_07
TS23: left lung Moderate Regionally restricted euxassay_007049_07

Specimen euxassay_007049_08: embryonic day 14.5 (more )
Structure Level Pattern Image Note
TS23: skin Strong Regionally restricted euxassay_007049_08
TS23: inner ear Strong Regionally restricted euxassay_007049_08
TS23: metanephros Strong Regionally restricted euxassay_007049_08 There was strong expression in the excretory component.
TS23: trigeminal ganglion Moderate Spotted euxassay_007049_08
TS23: vagus ganglion Moderate Spotted euxassay_007049_08
TS23: perioptic mesenchyme Moderate Regionally restricted euxassay_007049_08
TS23: diencephalon lateral wall mantle layer Strong Spotted euxassay_007049_08
TS23: telencephalon mantle layer Strong Spotted euxassay_007049_08
TS23: midbrain mantle layer Strong Spotted euxassay_007049_08
TS23: medulla oblongata basal plate mantle layer Strong Spotted euxassay_007049_08
TS23: rest of cerebellum mantle layer Strong Spotted euxassay_007049_08
TS23: pons mantle layer Strong Spotted euxassay_007049_08
TS23: dorsal root ganglion Strong Spotted euxassay_007049_08
TS23: midgut Strong Single cells euxassay_007049_08
TS23: stomach Strong Single cells euxassay_007049_08
TS23: left lung Strong Regionally restricted euxassay_007049_08

Specimen euxassay_007049_09: embryonic day 14.5 (more )
Structure Level Pattern Image Note
TS23: skin Strong Regionally restricted euxassay_007049_09
TS23: inner ear Strong Regionally restricted euxassay_007049_09
TS23: renal cortex Strong Regionally restricted euxassay_007049_09
TS23: trigeminal ganglion Moderate Spotted euxassay_007049_09
TS23: olfactory epithelium Moderate Regionally restricted euxassay_007049_09
TS23: diencephalon lateral wall mantle layer Strong Spotted euxassay_007049_09
TS23: telencephalon mantle layer Strong Spotted euxassay_007049_09
TS23: midbrain marginal layer Strong Spotted euxassay_007049_09
TS23: medulla oblongata basal plate mantle layer Strong Spotted euxassay_007049_09
TS23: rest of cerebellum mantle layer Strong Spotted euxassay_007049_09
TS23: pons mantle layer Strong Spotted euxassay_007049_09
TS23: spinal cord mantle layer Strong Spotted euxassay_007049_09
TS23: dorsal root ganglion Strong Spotted euxassay_007049_09
TS23: stomach Strong Single cells euxassay_007049_09
TS23: midgut Strong Single cells euxassay_007049_09
TS23: left lung Moderate Regionally restricted euxassay_007049_09

Specimen euxassay_007049_10: embryonic day 14.5 (more )
Structure Level Pattern Image Note
TS23: skin Strong Regionally restricted euxassay_007049_10
TS23: renal cortex Strong Regionally restricted euxassay_007049_10
TS23: trigeminal ganglion Moderate Spotted euxassay_007049_10
TS23: olfactory epithelium Strong Regionally restricted euxassay_007049_10
TS23: diencephalon lateral wall mantle layer Strong Spotted euxassay_007049_10
TS23: telencephalon mantle layer Strong Spotted euxassay_007049_10
TS23: midbrain mantle layer Strong Spotted euxassay_007049_10
TS23: medulla oblongata basal plate mantle layer Strong Spotted euxassay_007049_10
TS23: rest of cerebellum mantle layer Strong Spotted euxassay_007049_10
TS23: pons mantle layer Strong Spotted euxassay_007049_10
TS23: spinal cord mantle layer Strong Spotted euxassay_007049_10
TS23: dorsal root ganglion Strong Spotted euxassay_007049_10
TS23: stomach Strong Single cells euxassay_007049_10
TS23: midgut Strong Single cells euxassay_007049_10
TS23: left lung Moderate Regionally restricted euxassay_007049_10

Specimen euxassay_007049_11: embryonic day 14.5 (more )
Structure Level Pattern Image Note
TS23: skin Strong Regionally restricted euxassay_007049_11
TS23: renal cortex Strong Regionally restricted euxassay_007049_11
TS23: olfactory epithelium Moderate Regionally restricted euxassay_007049_11
TS23: diencephalon lateral wall mantle layer Strong Spotted euxassay_007049_11
TS23: telencephalon mantle layer Strong Spotted euxassay_007049_11
TS23: midbrain mantle layer Strong Spotted euxassay_007049_11
TS23: medulla oblongata basal plate mantle layer Strong Spotted euxassay_007049_11
TS23: rest of cerebellum mantle layer Strong Spotted euxassay_007049_11
TS23: pons mantle layer Strong Spotted euxassay_007049_11
TS23: spinal cord mantle layer Strong Spotted euxassay_007049_11
TS23: dorsal root ganglion Strong Spotted euxassay_007049_11
TS23: stomach Strong Single cells euxassay_007049_11
TS23: midgut Strong Single cells euxassay_007049_11
TS23: left lung Moderate Regionally restricted euxassay_007049_11

Specimen euxassay_007049_12: embryonic day 14.5 (more )
Structure Level Pattern Image Note
TS23: skin Strong Regionally restricted euxassay_007049_12
TS23: renal cortex Strong Regionally restricted euxassay_007049_12
TS23: olfactory epithelium Moderate Regionally restricted euxassay_007049_12
TS23: diencephalon lateral wall mantle layer Strong Spotted euxassay_007049_12
TS23: telencephalon mantle layer Strong Spotted euxassay_007049_12
TS23: midbrain mantle layer Strong Spotted euxassay_007049_12
TS23: medulla oblongata basal plate mantle layer Strong Spotted euxassay_007049_12
TS23: rest of cerebellum mantle layer Strong Spotted euxassay_007049_12
TS23: pons mantle layer Strong Spotted euxassay_007049_12
TS23: spinal cord mantle layer Strong Spotted euxassay_007049_12
TS23: dorsal root ganglion Strong Spotted euxassay_007049_12
TS23: midgut Strong Single cells euxassay_007049_12
TS23: left lung Moderate Regionally restricted euxassay_007049_12

Specimen euxassay_007049_13: embryonic day 14.5 (more )
Structure Level Pattern Image Note
TS23: skin Strong Regionally restricted euxassay_007049_13
TS23: olfactory epithelium Strong Regionally restricted euxassay_007049_13
TS23: diencephalon lateral wall mantle layer Strong Spotted euxassay_007049_13
TS23: telencephalon mantle layer Strong Spotted euxassay_007049_13
TS23: midbrain mantle layer Strong Spotted euxassay_007049_13
TS23: medulla oblongata basal plate mantle layer Strong Spotted euxassay_007049_13
TS23: rest of cerebellum mantle layer Strong Spotted euxassay_007049_13
TS23: pons mantle layer Strong Spotted euxassay_007049_13
TS23: spinal cord mantle layer Strong Spotted euxassay_007049_13
TS23: dorsal root ganglion Strong Spotted euxassay_007049_13
TS23: midgut Strong Single cells euxassay_007049_13
TS23: left lung Moderate Regionally restricted euxassay_007049_13

Specimen euxassay_007049_14: embryonic day 14.5 (more )
Structure Level Pattern Image Note
TS23: skin Strong Regionally restricted euxassay_007049_14
TS23: olfactory epithelium Moderate Regionally restricted euxassay_007049_14
TS23: diencephalon lateral wall mantle layer Strong Spotted euxassay_007049_14
TS23: telencephalon mantle layer Strong Spotted euxassay_007049_14
TS23: midbrain mantle layer Strong Spotted euxassay_007049_14
TS23: medulla oblongata basal plate mantle layer Strong Spotted euxassay_007049_14
TS23: rest of cerebellum mantle layer Strong Spotted euxassay_007049_14
TS23: pons mantle layer Strong Spotted euxassay_007049_14
TS23: spinal cord mantle layer Strong Spotted euxassay_007049_14
TS23: dorsal root ganglion Strong Spotted euxassay_007049_14
TS23: midgut Strong Single cells euxassay_007049_14
TS23: left lung Moderate Regionally restricted euxassay_007049_14

Specimen euxassay_007049_15: embryonic day 14.5 (more )
Structure Level Pattern Image Note
TS23: skin Strong Regionally restricted euxassay_007049_15
TS23: olfactory epithelium Moderate Regionally restricted euxassay_007049_15
TS23: diencephalon lateral wall mantle layer Strong Spotted euxassay_007049_15
TS23: telencephalon mantle layer Strong Spotted euxassay_007049_15
TS23: midbrain mantle layer Strong Spotted euxassay_007049_15
TS23: medulla oblongata basal plate mantle layer Strong Spotted euxassay_007049_15
TS23: rest of cerebellum mantle layer Strong Spotted euxassay_007049_15
TS23: pons mantle layer Strong Spotted euxassay_007049_15
TS23: spinal cord mantle layer Strong Spotted euxassay_007049_15
TS23: dorsal root ganglion Strong Spotted euxassay_007049_15
TS23: midgut Strong Single cells euxassay_007049_15
TS23: left lung Moderate Regionally restricted euxassay_007049_15

Specimen euxassay_007049_16: embryonic day 14.5 (more )
Structure Level Pattern Image Note
TS23: skin Strong Regionally restricted euxassay_007049_16
TS23: olfactory epithelium Moderate Regionally restricted euxassay_007049_16
TS23: diencephalon lateral wall mantle layer Strong Spotted euxassay_007049_16
TS23: telencephalon mantle layer Strong Spotted euxassay_007049_16
TS23: midbrain mantle layer Strong Spotted euxassay_007049_16
TS23: medulla oblongata basal plate mantle layer Strong Spotted euxassay_007049_16
TS23: rest of cerebellum mantle layer Strong Spotted euxassay_007049_16
TS23: pons mantle layer Strong Spotted euxassay_007049_16
TS23: spinal cord mantle layer Strong Spotted euxassay_007049_16
TS23: midgut Strong Single cells euxassay_007049_16
TS23: right lung Moderate Regionally restricted euxassay_007049_16

Specimen euxassay_007049_17: embryonic day 14.5 (more )
Structure Level Pattern Image Note
TS23: skin Strong Regionally restricted euxassay_007049_17
TS23: olfactory epithelium Moderate Regionally restricted euxassay_007049_17
TS23: diencephalon lateral wall mantle layer Strong Spotted euxassay_007049_17
TS23: telencephalon mantle layer Strong Spotted euxassay_007049_17
TS23: midbrain mantle layer Strong Spotted euxassay_007049_17
TS23: medulla oblongata basal plate mantle layer Strong Spotted euxassay_007049_17
TS23: rest of cerebellum mantle layer Strong Spotted euxassay_007049_17
TS23: pons mantle layer Strong Spotted euxassay_007049_17
TS23: spinal cord mantle layer Strong Spotted euxassay_007049_17
TS23: dorsal root ganglion Strong Spotted euxassay_007049_17
TS23: midgut Strong Single cells euxassay_007049_17
TS23: right lung Moderate Regionally restricted euxassay_007049_17

Specimen euxassay_007049_18: embryonic day 14.5 (more )
Structure Level Pattern Image Note
TS23: skin Strong Regionally restricted euxassay_007049_18
TS23: inner ear Strong Regionally restricted euxassay_007049_18
TS23: renal cortex Strong Regionally restricted euxassay_007049_18
TS23: trigeminal ganglion Moderate Spotted euxassay_007049_18
TS23: vagus ganglion Moderate Spotted euxassay_007049_18
TS23: olfactory epithelium Moderate Regionally restricted euxassay_007049_18
TS23: diencephalon lateral wall mantle layer Strong Spotted euxassay_007049_18
TS23: telencephalon mantle layer Strong Spotted euxassay_007049_18
TS23: midbrain mantle layer Strong Spotted euxassay_007049_18
TS23: pons mantle layer Strong Spotted euxassay_007049_18
TS23: rest of cerebellum mantle layer Strong Spotted euxassay_007049_18
TS23: medulla oblongata basal plate mantle layer Strong Spotted euxassay_007049_18
TS23: spinal cord mantle layer Strong Spotted euxassay_007049_18
TS23: dorsal root ganglion Strong Spotted euxassay_007049_18
TS23: midgut Strong Single cells euxassay_007049_18
TS23: right lung Moderate Regionally restricted euxassay_007049_18

Specimen euxassay_007049_19: embryonic day 14.5 (more )
Structure Level Pattern Image Note
TS23: skin Strong Regionally restricted euxassay_007049_19
TS23: inner ear Strong Regionally restricted euxassay_007049_19
TS23: renal cortex Strong Regionally restricted euxassay_007049_19
TS23: vagus ganglion Moderate Spotted euxassay_007049_19
TS23: trigeminal ganglion Moderate Spotted euxassay_007049_19
TS23: glossopharyngeal ganglion Moderate Spotted euxassay_007049_19
TS23: olfactory epithelium Moderate Regionally restricted euxassay_007049_19
TS23: diencephalon lateral wall mantle layer Strong Spotted euxassay_007049_19
TS23: telencephalon mantle layer Strong Spotted euxassay_007049_19
TS23: midbrain mantle layer Strong Spotted euxassay_007049_19
TS23: rest of cerebellum mantle layer Strong Spotted euxassay_007049_19
TS23: pons mantle layer Strong Spotted euxassay_007049_19
TS23: medulla oblongata basal plate mantle layer Strong Spotted euxassay_007049_19
TS23: dorsal root ganglion Strong Spotted euxassay_007049_19
TS23: midgut Strong Single cells euxassay_007049_19
TS23: right lung Moderate Regionally restricted euxassay_007049_19

Specimen euxassay_007049_20: embryonic day 14.5 (more )
Structure Level Pattern Image Note
TS23: skin Strong Regionally restricted euxassay_007049_20
TS23: inner ear Strong Regionally restricted euxassay_007049_20
TS23: renal cortex Strong Regionally restricted euxassay_007049_20
TS23: trigeminal ganglion Moderate Spotted euxassay_007049_20
TS23: olfactory epithelium Strong Regionally restricted euxassay_007049_20
TS23: diencephalon lateral wall mantle layer Strong Spotted euxassay_007049_20
TS23: telencephalon mantle layer Strong Spotted euxassay_007049_20
TS23: rest of cerebellum mantle layer Strong Spotted euxassay_007049_20
TS23: pons mantle layer Strong Spotted euxassay_007049_20
TS23: midgut Strong Single cells euxassay_007049_20
TS23: right lung Moderate Regionally restricted euxassay_007049_20

Specimen euxassay_007049_21: embryonic day 14.5 (more )
Structure Level Pattern Image Note
TS23: skin Strong Regionally restricted euxassay_007049_21
TS23: renal cortex Strong Regionally restricted euxassay_007049_21
TS23: trigeminal ganglion Strong Spotted euxassay_007049_21
TS23: perioptic mesenchyme Moderate Regionally restricted euxassay_007049_21
TS23: olfactory epithelium Moderate Regionally restricted euxassay_007049_21
TS23: telencephalon mantle layer Strong Spotted euxassay_007049_21
TS23: rest of cerebellum mantle layer Strong Spotted euxassay_007049_21
TS23: pons mantle layer Strong Spotted euxassay_007049_21
TS23: midgut Strong Single cells euxassay_007049_21
TS23: right lung Moderate Regionally restricted euxassay_007049_21

Specimen euxassay_007049_22: embryonic day 14.5 (more )
Structure Level Pattern Image Note
TS23: skin Strong Regionally restricted euxassay_007049_22
TS23: renal cortex Strong Regionally restricted euxassay_007049_22
TS23: trigeminal ganglion Strong Spotted euxassay_007049_22
TS23: perioptic mesenchyme Moderate Regionally restricted euxassay_007049_22
TS23: telencephalon mantle layer Strong Spotted euxassay_007049_22
TS23: rest of cerebellum mantle layer Strong Spotted euxassay_007049_22
TS23: midgut Strong Single cells euxassay_007049_22
TS23: right lung Moderate Regionally restricted euxassay_007049_22

Specimen euxassay_007049_23: embryonic day 14.5 (more )
Structure Level Pattern Image Note
TS23: skin Strong Regionally restricted euxassay_007049_23
TS23: pharyngo-tympanic tube Strong Regionally restricted euxassay_007049_23
TS23: trigeminal ganglion Strong Spotted euxassay_007049_23
TS23: perioptic mesenchyme Moderate Regionally restricted euxassay_007049_23
TS23: telencephalon mantle layer Strong Spotted euxassay_007049_23
TS23: right lung Moderate Regionally restricted euxassay_007049_23

Specimen euxassay_007049_24: embryonic day 14.5 (more )
Structure Level Pattern Image Note
TS23: skin Strong Regionally restricted euxassay_007049_24
TS23: pharyngo-tympanic tube Strong Regionally restricted euxassay_007049_24
TS23: perioptic mesenchyme Moderate Regionally restricted euxassay_007049_24
TS23: telencephalon mantle layer Strong Spotted euxassay_007049_24
TS23: right lung Moderate Regionally restricted euxassay_007049_24


Contributing Projects:
Mouse Genome Database (MGD), Gene Expression Database (GXD), Mouse Models of Human Cancer database (MMHCdb) (formerly Mouse Tumor Biology (MTB)), Gene Ontology (GO)
Citing These Resources
Funding Information
Warranty Disclaimer, Privacy Notice, Licensing, & Copyright
Send questions and comments to User Support.
last database update
12/30/2025
MGI 6.24
The Jackson Laboratory