About   Help   FAQ
Gene Expression Data
Assay Details
Assay
Reference: J:153498 Diez-Roux G, et al., A high-resolution anatomical atlas of the transcriptome in the mouse embryo. PLoS Biol. 2011;9(1):e1000582
Assay type: RNA in situ
MGI Accession ID: MGI:4823588
Gene symbol: Cacybp
Gene name: calcyclin binding protein
Probe: IMAGE clone 1886450
Probe preparation: Antisense labelled with digoxigenin RNA
Visualized with: Alkaline phosphatase
Assay notes: Cryosections of fresh frozen material were fixed in 4% paraformaldehyde for 20 min. before further processing. A tyramide-biotin/streptavidin amplification step was included in the in situ hybridization procedure.
Results
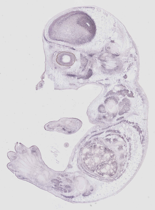
Specimen euxassay_006213_01: embryonic day 14.5 (more )
Structure Level Pattern Image Note
TS23: vertebral axis musculature Strong Regionally restricted euxassay_006213_01
TS23: liver left lobe Moderate Regionally restricted euxassay_006213_01
TS23: telencephalon Moderate Uniform euxassay_006213_01

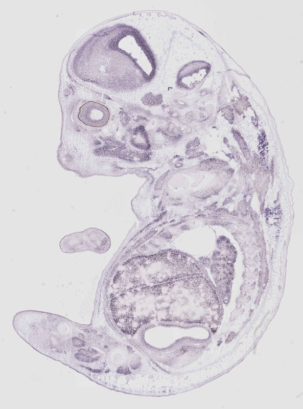
Specimen euxassay_006213_02: embryonic day 14.5 (more )
Structure Level Pattern Image Note
TS23: vertebral axis musculature Strong Regionally restricted euxassay_006213_02
TS23: liver left lobe Moderate Regionally restricted euxassay_006213_02
TS23: telencephalon Moderate Uniform euxassay_006213_02

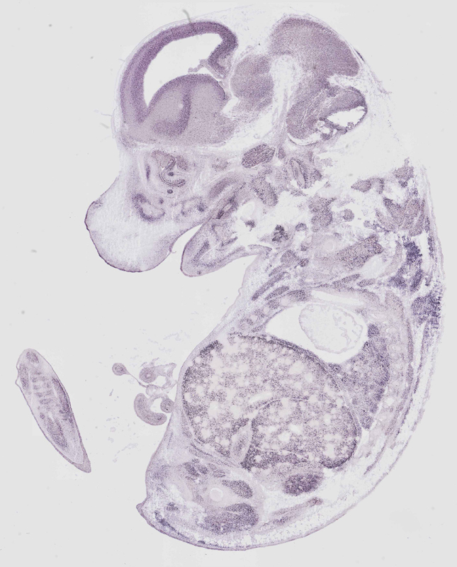
Specimen euxassay_006213_03: embryonic day 14.5 (more )
Structure Level Pattern Image Note
TS23: vertebral axis musculature Strong Regionally restricted euxassay_006213_03
TS23: liver left lobe Moderate Regionally restricted euxassay_006213_03
TS23: telencephalon Moderate Uniform euxassay_006213_03
TS23: hindbrain Moderate Uniform euxassay_006213_03
TS23: mandible Moderate Regionally restricted euxassay_006213_03

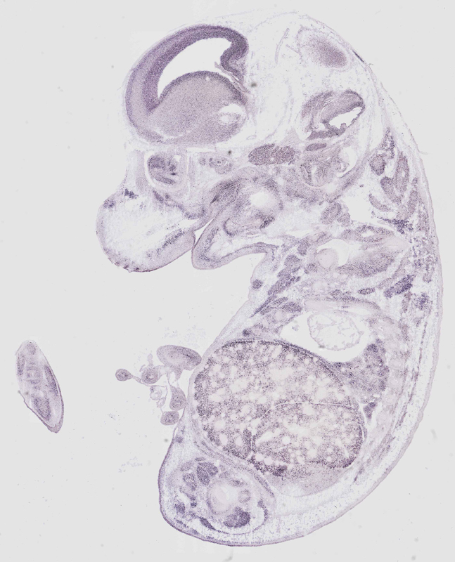
Specimen euxassay_006213_04: embryonic day 14.5 (more )
Structure Level Pattern Image Note
TS23: vertebral axis musculature Strong Regionally restricted euxassay_006213_04
TS23: orbito-sphenoid Weak Regionally restricted euxassay_006213_04
TS23: trigeminal ganglion Moderate Regionally restricted euxassay_006213_04
TS23: liver left lobe Moderate Regionally restricted euxassay_006213_04
TS23: telencephalon Moderate Uniform euxassay_006213_04
TS23: hindbrain Moderate Uniform euxassay_006213_04
TS23: mandible Moderate Regionally restricted euxassay_006213_04

Specimen euxassay_006213_05: embryonic day 14.5 (more )
Structure Level Pattern Image Note
TS23: vertebral axis musculature Strong Regionally restricted euxassay_006213_05
TS23: orbito-sphenoid Strong Regionally restricted euxassay_006213_05
TS23: trigeminal ganglion Moderate Regionally restricted euxassay_006213_05
TS23: facial ganglion Moderate Regionally restricted euxassay_006213_05
TS23: liver left lobe Moderate Regionally restricted euxassay_006213_05
TS23: telencephalon Moderate Uniform euxassay_006213_05
TS23: hindbrain Moderate Uniform euxassay_006213_05
TS23: mandible Moderate Regionally restricted euxassay_006213_05

Specimen euxassay_006213_06: embryonic day 14.5 (more )
Structure Level Pattern Image Note
TS23: vertebral axis musculature Strong Regionally restricted euxassay_006213_06
TS23: orbito-sphenoid Strong Regionally restricted euxassay_006213_06
TS23: trigeminal ganglion Moderate Regionally restricted euxassay_006213_06
TS23: submandibular gland primordium Strong Regionally restricted euxassay_006213_06
TS23: renal cortex Moderate Regionally restricted euxassay_006213_06
TS23: dorsal root ganglion Moderate Regionally restricted euxassay_006213_06
TS23: vibrissa Moderate Regionally restricted euxassay_006213_06
TS23: liver left lobe Moderate Regionally restricted euxassay_006213_06
TS23: telencephalon Moderate Uniform euxassay_006213_06
TS23: hindbrain Moderate Uniform euxassay_006213_06
TS23: midbrain Moderate Uniform euxassay_006213_06
TS23: mandible Moderate Regionally restricted euxassay_006213_06
TS23: maxilla Moderate Regionally restricted euxassay_006213_06

Specimen euxassay_006213_07: embryonic day 14.5 (more )
Structure Level Pattern Image Note
TS23: vertebral axis musculature Strong Regionally restricted euxassay_006213_07
TS23: orbito-sphenoid Strong Regionally restricted euxassay_006213_07
TS23: trigeminal ganglion Moderate Regionally restricted euxassay_006213_07
TS23: glossopharyngeal ganglion Moderate Regionally restricted euxassay_006213_07
TS23: submandibular gland primordium Strong Regionally restricted euxassay_006213_07
TS23: renal cortex Moderate Regionally restricted euxassay_006213_07
TS23: dorsal root ganglion Moderate Regionally restricted euxassay_006213_07
TS23: vibrissa Moderate Regionally restricted euxassay_006213_07
TS23: liver left lobe Moderate Regionally restricted euxassay_006213_07
TS23: telencephalon Moderate Uniform euxassay_006213_07
TS23: hindbrain Moderate Uniform euxassay_006213_07
TS23: midbrain Moderate Uniform euxassay_006213_07
TS23: mandible Weak Regionally restricted euxassay_006213_07
TS23: maxilla Weak Regionally restricted euxassay_006213_07

Specimen euxassay_006213_08: embryonic day 14.5 (more )
Structure Level Pattern Image Note
TS23: vertebral axis musculature Strong Regionally restricted euxassay_006213_08
TS23: trigeminal ganglion Moderate Regionally restricted euxassay_006213_08
TS23: submandibular gland primordium Strong Regionally restricted euxassay_006213_08
TS23: renal cortex Moderate Regionally restricted euxassay_006213_08
TS23: dorsal root ganglion Moderate Regionally restricted euxassay_006213_08
TS23: vibrissa Moderate Regionally restricted euxassay_006213_08
TS23: liver left lobe Moderate Regionally restricted euxassay_006213_08
TS23: spinal cord Moderate Uniform euxassay_006213_08
TS23: midbrain Moderate Uniform euxassay_006213_08
TS23: hindbrain Moderate Uniform euxassay_006213_08
TS23: telencephalon Moderate Uniform euxassay_006213_08
TS23: diencephalon Moderate Uniform euxassay_006213_08
TS23: maxilla Weak Regionally restricted euxassay_006213_08
TS23: mandible Weak Regionally restricted euxassay_006213_08
TS23: lower jaw molar Weak Regionally restricted euxassay_006213_08
TS23: upper jaw molar Weak Regionally restricted euxassay_006213_08

Specimen euxassay_006213_09: embryonic day 14.5 (more )
Structure Level Pattern Image Note
TS23: vertebral axis musculature Strong Regionally restricted euxassay_006213_09
TS23: trigeminal ganglion Moderate Regionally restricted euxassay_006213_09
TS23: submandibular gland primordium Strong Regionally restricted euxassay_006213_09
TS23: renal cortex Moderate Regionally restricted euxassay_006213_09
TS23: dorsal root ganglion Moderate Regionally restricted euxassay_006213_09
TS23: cervical ganglion Moderate Regionally restricted euxassay_006213_09
TS23: cervico-thoracic ganglion Moderate Regionally restricted euxassay_006213_09
TS23: vibrissa Moderate Regionally restricted euxassay_006213_09
TS23: liver left lobe Moderate Regionally restricted euxassay_006213_09
TS23: diencephalon Moderate Uniform euxassay_006213_09
TS23: telencephalon Moderate Uniform euxassay_006213_09
TS23: hindbrain Moderate Uniform euxassay_006213_09
TS23: midbrain Moderate Uniform euxassay_006213_09
TS23: spinal cord Moderate Uniform euxassay_006213_09
TS23: olfactory epithelium Weak Regionally restricted euxassay_006213_09
TS23: upper jaw molar Weak Regionally restricted euxassay_006213_09
TS23: maxilla Weak Regionally restricted euxassay_006213_09
TS23: lower jaw molar Weak Regionally restricted euxassay_006213_09
TS23: mandible Weak Regionally restricted euxassay_006213_09

Specimen euxassay_006213_10: embryonic day 14.5 (more )
Structure Level Pattern Image Note
TS23: vertebral axis musculature Moderate Regionally restricted euxassay_006213_10
TS23: renal cortex Moderate Regionally restricted euxassay_006213_10
TS23: dorsal root ganglion Moderate Regionally restricted euxassay_006213_10
TS23: thoracic ganglion Moderate Regionally restricted euxassay_006213_10
TS23: vibrissa Moderate Regionally restricted euxassay_006213_10
TS23: liver left lobe Moderate Regionally restricted euxassay_006213_10
TS23: diencephalon Moderate Uniform euxassay_006213_10
TS23: telencephalon Moderate Uniform euxassay_006213_10
TS23: hindbrain Moderate Uniform euxassay_006213_10
TS23: midbrain Moderate Uniform euxassay_006213_10
TS23: spinal cord Moderate Uniform euxassay_006213_10
TS23: thymus primordium Moderate Uniform euxassay_006213_10
TS23: olfactory epithelium Weak Regionally restricted euxassay_006213_10
TS23: upper jaw molar Weak Regionally restricted euxassay_006213_10
TS23: mandible Weak Regionally restricted euxassay_006213_10
TS23: maxilla Weak Regionally restricted euxassay_006213_10
TS23: lower jaw molar Weak Regionally restricted euxassay_006213_10

Specimen euxassay_006213_11: embryonic day 14.5 (more )
Structure Level Pattern Image Note
TS23: vertebral axis musculature Moderate Regionally restricted euxassay_006213_11
TS23: dorsal root ganglion Moderate Regionally restricted euxassay_006213_11
TS23: thoracic ganglion Moderate Regionally restricted euxassay_006213_11
TS23: liver left lobe Moderate Regionally restricted euxassay_006213_11
TS23: diencephalon Moderate Uniform euxassay_006213_11
TS23: telencephalon Moderate Uniform euxassay_006213_11
TS23: hindbrain Moderate Uniform euxassay_006213_11
TS23: midbrain Moderate Uniform euxassay_006213_11
TS23: spinal cord Moderate Uniform euxassay_006213_11
TS23: thymus primordium Moderate Uniform euxassay_006213_11
TS23: olfactory epithelium Weak Regionally restricted euxassay_006213_11
TS23: mandible Weak Regionally restricted euxassay_006213_11
TS23: maxilla Weak Regionally restricted euxassay_006213_11

Specimen euxassay_006213_12: embryonic day 14.5 (more )
Structure Level Pattern Image Note
TS23: vertebral axis musculature Moderate Regionally restricted euxassay_006213_12
TS23: liver left lobe Moderate Regionally restricted euxassay_006213_12
TS23: diencephalon Moderate Uniform euxassay_006213_12
TS23: telencephalon Moderate Uniform euxassay_006213_12
TS23: hindbrain Moderate Uniform euxassay_006213_12
TS23: midbrain Moderate Uniform euxassay_006213_12
TS23: spinal cord Moderate Uniform euxassay_006213_12
TS23: thymus primordium Moderate Uniform euxassay_006213_12
TS23: olfactory epithelium Weak Regionally restricted euxassay_006213_12
TS23: mandible Weak Regionally restricted euxassay_006213_12
TS23: maxilla Weak Regionally restricted euxassay_006213_12

Specimen euxassay_006213_13: embryonic day 14.5 (more )
Structure Level Pattern Image Note
TS23: vertebral axis musculature Moderate Regionally restricted euxassay_006213_13
TS23: liver left lobe Moderate Regionally restricted euxassay_006213_13
TS23: diencephalon Moderate Uniform euxassay_006213_13
TS23: telencephalon Moderate Uniform euxassay_006213_13
TS23: hindbrain Moderate Uniform euxassay_006213_13
TS23: midbrain Moderate Uniform euxassay_006213_13
TS23: spinal cord Moderate Uniform euxassay_006213_13
TS23: thymus primordium Moderate Uniform euxassay_006213_13
TS23: olfactory epithelium Moderate Regionally restricted euxassay_006213_13

Specimen euxassay_006213_14: embryonic day 14.5 (more )
Structure Level Pattern Image Note
TS23: vertebral axis musculature Moderate Regionally restricted euxassay_006213_14
TS23: dorsal root ganglion Moderate Regionally restricted euxassay_006213_14
TS23: liver right lobe Moderate Regionally restricted euxassay_006213_14
TS23: diencephalon Moderate Uniform euxassay_006213_14
TS23: telencephalon Moderate Uniform euxassay_006213_14
TS23: hindbrain Moderate Uniform euxassay_006213_14
TS23: midbrain Moderate Uniform euxassay_006213_14
TS23: spinal cord Moderate Uniform euxassay_006213_14
TS23: thymus primordium Moderate Uniform euxassay_006213_14

Specimen euxassay_006213_15: embryonic day 14.5 (more )
Structure Level Pattern Image Note
TS23: vertebral axis musculature Moderate Regionally restricted euxassay_006213_15
TS23: renal cortex Moderate Regionally restricted euxassay_006213_15
TS23: dorsal root ganglion Moderate Regionally restricted euxassay_006213_15
TS23: cervico-thoracic ganglion Moderate Regionally restricted euxassay_006213_15
TS23: liver right lobe Moderate Regionally restricted euxassay_006213_15
TS23: diencephalon Moderate Uniform euxassay_006213_15
TS23: telencephalon Moderate Uniform euxassay_006213_15
TS23: hindbrain Moderate Uniform euxassay_006213_15
TS23: midbrain Moderate Uniform euxassay_006213_15
TS23: spinal cord Moderate Uniform euxassay_006213_15
TS23: olfactory epithelium Weak Regionally restricted euxassay_006213_15

Specimen euxassay_006213_16: embryonic day 14.5 (more )
Structure Level Pattern Image Note
TS23: vertebral axis musculature Moderate Regionally restricted euxassay_006213_16
TS23: submandibular gland primordium Strong Regionally restricted euxassay_006213_16
TS23: renal cortex Moderate Regionally restricted euxassay_006213_16
TS23: cervical ganglion Moderate Regionally restricted euxassay_006213_16
TS23: liver right lobe Moderate Regionally restricted euxassay_006213_16
TS23: diencephalon Moderate Uniform euxassay_006213_16
TS23: telencephalon Moderate Uniform euxassay_006213_16
TS23: hindbrain Moderate Uniform euxassay_006213_16
TS23: midbrain Moderate Uniform euxassay_006213_16
TS23: olfactory epithelium Weak Regionally restricted euxassay_006213_16
TS23: mandible Weak Regionally restricted euxassay_006213_16
TS23: maxilla Weak Regionally restricted euxassay_006213_16

Specimen euxassay_006213_17: embryonic day 14.5 (more )
Structure Level Pattern Image Note
TS23: vertebral axis musculature Strong Regionally restricted euxassay_006213_17
TS23: glossopharyngeal ganglion Moderate Regionally restricted euxassay_006213_17
TS23: submandibular gland primordium Strong Regionally restricted euxassay_006213_17
TS23: renal cortex Moderate Regionally restricted euxassay_006213_17
TS23: liver right lobe Moderate Regionally restricted euxassay_006213_17
TS23: diencephalon Moderate Uniform euxassay_006213_17
TS23: telencephalon Moderate Uniform euxassay_006213_17
TS23: hindbrain Moderate Uniform euxassay_006213_17
TS23: midbrain Moderate Uniform euxassay_006213_17
TS23: olfactory epithelium Weak Regionally restricted euxassay_006213_17
TS23: mandible Weak Regionally restricted euxassay_006213_17
TS23: maxilla Weak Regionally restricted euxassay_006213_17

Specimen euxassay_006213_18: embryonic day 14.5 (more )
Structure Level Pattern Image Note
TS23: vertebral axis musculature Strong Regionally restricted euxassay_006213_18
TS23: glossopharyngeal ganglion Moderate Regionally restricted euxassay_006213_18
TS23: trigeminal ganglion Moderate Regionally restricted euxassay_006213_18
TS23: submandibular gland primordium Strong Regionally restricted euxassay_006213_18
TS23: renal cortex Moderate Regionally restricted euxassay_006213_18
TS23: liver right lobe Moderate Regionally restricted euxassay_006213_18
TS23: diencephalon Moderate Uniform euxassay_006213_18
TS23: telencephalon Moderate Uniform euxassay_006213_18
TS23: hindbrain Moderate Uniform euxassay_006213_18
TS23: midbrain Moderate Uniform euxassay_006213_18
TS23: olfactory epithelium Weak Regionally restricted euxassay_006213_18
TS23: lower jaw molar Weak Regionally restricted euxassay_006213_18
TS23: upper jaw molar Weak Regionally restricted euxassay_006213_18
TS23: mandible Weak Regionally restricted euxassay_006213_18
TS23: maxilla Weak Regionally restricted euxassay_006213_18

Specimen euxassay_006213_19: embryonic day 14.5 (more )
Structure Level Pattern Image Note
TS23: vertebral axis musculature Strong Regionally restricted euxassay_006213_19
TS23: trigeminal ganglion Moderate Regionally restricted euxassay_006213_19
TS23: renal cortex Moderate Regionally restricted euxassay_006213_19
TS23: liver right lobe Moderate Regionally restricted euxassay_006213_19
TS23: diencephalon Moderate Uniform euxassay_006213_19
TS23: telencephalon Moderate Uniform euxassay_006213_19
TS23: hindbrain Moderate Uniform euxassay_006213_19
TS23: midbrain Moderate Uniform euxassay_006213_19
TS23: olfactory epithelium Moderate Regionally restricted euxassay_006213_19
TS23: maxilla Weak Regionally restricted euxassay_006213_19
TS23: mandible Weak Regionally restricted euxassay_006213_19
TS23: lower jaw molar Weak Regionally restricted euxassay_006213_19
TS23: upper jaw molar Weak Regionally restricted euxassay_006213_19

Specimen euxassay_006213_20: embryonic day 14.5 (more )
Structure Level Pattern Image Note
TS23: vertebral axis musculature Moderate Regionally restricted euxassay_006213_20
TS23: trigeminal ganglion Moderate Regionally restricted euxassay_006213_20
TS23: vibrissa Moderate Regionally restricted euxassay_006213_20
TS23: liver right lobe Moderate Regionally restricted euxassay_006213_20
TS23: telencephalon Moderate Uniform euxassay_006213_20
TS23: hindbrain Moderate Uniform euxassay_006213_20
TS23: midbrain Moderate Uniform euxassay_006213_20
TS23: olfactory epithelium Moderate Regionally restricted euxassay_006213_20
TS23: maxilla Weak Regionally restricted euxassay_006213_20
TS23: mandible Weak Regionally restricted euxassay_006213_20

Specimen euxassay_006213_21: embryonic day 14.5 (more )
Structure Level Pattern Image Note
TS23: vertebral axis musculature Strong Regionally restricted euxassay_006213_21
TS23: trigeminal ganglion Moderate Regionally restricted euxassay_006213_21
TS23: vibrissa Moderate Regionally restricted euxassay_006213_21
TS23: liver right lobe Moderate Regionally restricted euxassay_006213_21
TS23: telencephalon Moderate Uniform euxassay_006213_21
TS23: hindbrain Moderate Uniform euxassay_006213_21
TS23: mandible Moderate Regionally restricted euxassay_006213_21

Specimen euxassay_006213_22: embryonic day 14.5 (more )
Structure Level Pattern Image Note
TS23: vertebral axis musculature Strong Regionally restricted euxassay_006213_22
TS23: orbito-sphenoid Strong Regionally restricted euxassay_006213_22
TS23: trigeminal ganglion Moderate Regionally restricted euxassay_006213_22
TS23: facial ganglion Moderate Regionally restricted euxassay_006213_22
TS23: vibrissa Moderate Regionally restricted euxassay_006213_22
TS23: liver right lobe Moderate Regionally restricted euxassay_006213_22
TS23: telencephalon Moderate Uniform euxassay_006213_22
TS23: hindbrain Moderate Uniform euxassay_006213_22
TS23: mandible Moderate Regionally restricted euxassay_006213_22

Specimen euxassay_006213_23: embryonic day 14.5 (more )
Structure Level Pattern Image Note
TS23: vertebral axis musculature Strong Regionally restricted euxassay_006213_23
TS23: orbito-sphenoid Strong Regionally restricted euxassay_006213_23
TS23: trigeminal ganglion Moderate Regionally restricted euxassay_006213_23
TS23: vibrissa Moderate Regionally restricted euxassay_006213_23
TS23: liver right lobe Moderate Regionally restricted euxassay_006213_23
TS23: telencephalon Moderate Uniform euxassay_006213_23
TS23: mandible Moderate Regionally restricted euxassay_006213_23

Specimen euxassay_006213_24: embryonic day 14.5 (more )
Structure Level Pattern Image Note
TS23: vertebral axis musculature Strong Regionally restricted euxassay_006213_24
TS23: orbito-sphenoid Moderate Regionally restricted euxassay_006213_24
TS23: liver right lobe Moderate Regionally restricted euxassay_006213_24
TS23: brain Moderate Uniform euxassay_006213_24
TS23: forebrain Moderate Uniform euxassay_006213_24


Contributing Projects:
Mouse Genome Database (MGD), Gene Expression Database (GXD), Mouse Models of Human Cancer database (MMHCdb) (formerly Mouse Tumor Biology (MTB)), Gene Ontology (GO)
Citing These Resources
Funding Information
Warranty Disclaimer, Privacy Notice, Licensing, & Copyright
Send questions and comments to User Support.
last database update
01/20/2026
MGI 6.24
The Jackson Laboratory