About   Help   FAQ
Gene Expression Data
Assay Details
Assay
Reference: J:153498 Diez-Roux G, et al., A high-resolution anatomical atlas of the transcriptome in the mouse embryo. PLoS Biol. 2011;9(1):e1000582
Assay type: RNA in situ
MGI Accession ID: MGI:4823583
Gene symbol: Cacnb3
Gene name: calcium channel, voltage-dependent, beta 3 subunit
Probe: T35118
Probe preparation: Antisense labelled with digoxigenin RNA
Visualized with: Alkaline phosphatase
Assay notes: Cryosections of fresh frozen material were fixed in 4% paraformaldehyde for 20 min. before further processing. A tyramide-biotin/streptavidin amplification step was included in the in situ hybridization procedure.
Results
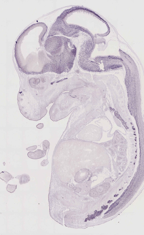
Specimen euxassay_007145_01: embryonic day 14.5 (more )
Structure Level Pattern Image Note
TS23: brain Moderate Uniform euxassay_007145_01
TS23: retina nuclear layer Strong Regionally restricted euxassay_007145_01
TS23: neural retina Strong Regionally restricted euxassay_007145_01

Specimen euxassay_007145_02: embryonic day 14.5 (more )
Structure Level Pattern Image Note
TS23: brain Moderate Uniform euxassay_007145_02
TS23: retina nuclear layer Strong Regionally restricted euxassay_007145_02
TS23: neural retina Strong Regionally restricted euxassay_007145_02

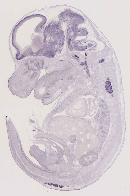
Specimen euxassay_007145_03: embryonic day 14.5 (more )
Structure Level Pattern Image Note
TS23: trigeminal ganglion Strong Regionally restricted euxassay_007145_03
TS23: facial ganglion Strong Regionally restricted euxassay_007145_03
TS23: brain Moderate Uniform euxassay_007145_03
TS23: retina nuclear layer Strong Regionally restricted euxassay_007145_03
TS23: neural retina Strong Regionally restricted euxassay_007145_03

Specimen euxassay_007145_04: embryonic day 14.5 (more )
Structure Level Pattern Image Note
TS23: trigeminal ganglion Strong Regionally restricted euxassay_007145_04
TS23: facial ganglion Strong Regionally restricted euxassay_007145_04
TS23: brain Moderate Uniform euxassay_007145_04
TS23: retina nuclear layer Strong Regionally restricted euxassay_007145_04
TS23: neural retina Strong Regionally restricted euxassay_007145_04

Specimen euxassay_007145_05: embryonic day 14.5 (more )
Structure Level Pattern Image Note
TS23: trigeminal ganglion Strong Regionally restricted euxassay_007145_05
TS23: vestibulo-cochlear ganglion Strong Regionally restricted euxassay_007145_05
TS23: brain Moderate Uniform euxassay_007145_05

Specimen euxassay_007145_06: embryonic day 14.5 (more )
Structure Level Pattern Image Note
TS23: trigeminal ganglion Strong Regionally restricted euxassay_007145_06
TS23: vestibulo-cochlear ganglion Strong Regionally restricted euxassay_007145_06
TS23: glossopharyngeal ganglion Strong Regionally restricted euxassay_007145_06
TS23: dorsal root ganglion Strong Regionally restricted euxassay_007145_06
TS23: brain Moderate Uniform euxassay_007145_06

Specimen euxassay_007145_07: embryonic day 14.5 (more )
Structure Level Pattern Image Note
TS23: trigeminal ganglion Strong Regionally restricted euxassay_007145_07
TS23: glossopharyngeal ganglion Strong Regionally restricted euxassay_007145_07
TS23: vestibulo-cochlear ganglion Strong Regionally restricted euxassay_007145_07
TS23: dorsal root ganglion Strong Regionally restricted euxassay_007145_07
TS23: brain Moderate Uniform euxassay_007145_07
TS23: spinal cord Moderate Uniform euxassay_007145_07

Specimen euxassay_007145_08: embryonic day 14.5 (more )
Structure Level Pattern Image Note
TS23: trigeminal ganglion Strong Regionally restricted euxassay_007145_08
TS23: vestibulo-cochlear ganglion Strong Regionally restricted euxassay_007145_08
TS23: vagus ganglion Moderate Regionally restricted euxassay_007145_08
TS23: dorsal root ganglion Strong Regionally restricted euxassay_007145_08
TS23: brain Moderate Uniform euxassay_007145_08
TS23: spinal cord Moderate Uniform euxassay_007145_08

Specimen euxassay_007145_09: embryonic day 14.5 (more )
Structure Level Pattern Image Note
TS23: vagus ganglion Moderate Regionally restricted euxassay_007145_09
TS23: trigeminal ganglion Strong Regionally restricted euxassay_007145_09
TS23: dorsal root ganglion Strong Regionally restricted euxassay_007145_09
TS23: cervical ganglion Moderate Regionally restricted euxassay_007145_09
TS23: brain Moderate Uniform euxassay_007145_09
TS23: spinal cord Moderate Uniform euxassay_007145_09

Specimen euxassay_007145_10: embryonic day 14.5 (more )
Structure Level Pattern Image Note
TS23: trigeminal nerve Strong Regionally restricted euxassay_007145_10
TS23: dorsal root ganglion Strong Regionally restricted euxassay_007145_10
TS23: cervico-thoracic ganglion Moderate Regionally restricted euxassay_007145_10
TS23: brain Moderate Uniform euxassay_007145_10
TS23: spinal cord Moderate Uniform euxassay_007145_10

Specimen euxassay_007145_11: embryonic day 14.5 (more )
Structure Level Pattern Image Note
TS23: trigeminal nerve Strong Regionally restricted euxassay_007145_11
TS23: dorsal root ganglion Strong Regionally restricted euxassay_007145_11
TS23: thoracic ganglion Moderate Regionally restricted euxassay_007145_11
TS23: brain Moderate Uniform euxassay_007145_11
TS23: spinal cord Moderate Uniform euxassay_007145_11

Specimen euxassay_007145_13: embryonic day 14.5 (more )
Structure Level Pattern Image Note
TS23: dorsal root ganglion Strong Regionally restricted euxassay_007145_13
TS23: thoracic ganglion Moderate Regionally restricted euxassay_007145_13
TS23: brain Moderate Uniform euxassay_007145_13
TS23: spinal cord Moderate Uniform euxassay_007145_13

Specimen euxassay_007145_14: embryonic day 14.5 (more )
Structure Level Pattern Image Note
TS23: thoracic ganglion Moderate Regionally restricted euxassay_007145_14
TS23: brain Moderate Uniform euxassay_007145_14
TS23: spinal cord Moderate Uniform euxassay_007145_14

Specimen euxassay_007145_15: embryonic day 14.5 (more )
Structure Level Pattern Image Note
TS23: dorsal root ganglion Strong Regionally restricted euxassay_007145_15
TS23: brain Moderate Uniform euxassay_007145_15
TS23: spinal cord Moderate Uniform euxassay_007145_15

Specimen euxassay_007145_16: embryonic day 14.5 (more )
Structure Level Pattern Image Note
TS23: dorsal root ganglion Strong Regionally restricted euxassay_007145_16
TS23: cervico-thoracic ganglion Moderate Regionally restricted euxassay_007145_16
TS23: cervical ganglion Moderate Regionally restricted euxassay_007145_16
TS23: brain Moderate Uniform euxassay_007145_16

Specimen euxassay_007145_17: embryonic day 14.5 (more )
Structure Level Pattern Image Note
TS23: vagus ganglion Strong Regionally restricted euxassay_007145_17
TS23: vestibulo-cochlear ganglion Strong Regionally restricted euxassay_007145_17
TS23: glossopharyngeal ganglion Strong Regionally restricted euxassay_007145_17
TS23: dorsal root ganglion Strong Regionally restricted euxassay_007145_17
TS23: cervical ganglion Moderate Regionally restricted euxassay_007145_17
TS23: brain Moderate Uniform euxassay_007145_17

Specimen euxassay_007145_18: embryonic day 14.5 (more )
Structure Level Pattern Image Note
TS23: glossopharyngeal ganglion Strong Regionally restricted euxassay_007145_18
TS23: trigeminal ganglion Strong Regionally restricted euxassay_007145_18
TS23: trigeminal nerve Strong Regionally restricted euxassay_007145_18
TS23: vestibulo-cochlear ganglion Strong Regionally restricted euxassay_007145_18
TS23: brain Moderate Uniform euxassay_007145_18

Specimen euxassay_007145_19: embryonic day 14.5 (more )
Structure Level Pattern Image Note
TS23: vestibulo-cochlear ganglion Strong Regionally restricted euxassay_007145_19
TS23: trigeminal ganglion Strong Regionally restricted euxassay_007145_19
TS23: trigeminal nerve Strong Regionally restricted euxassay_007145_19
TS23: brain Moderate Uniform euxassay_007145_19

Specimen euxassay_007145_20: embryonic day 14.5 (more )
Structure Level Pattern Image Note
TS23: trigeminal ganglion Strong Regionally restricted euxassay_007145_20
TS23: facial ganglion Strong Regionally restricted euxassay_007145_20
TS23: brain Moderate Uniform euxassay_007145_20

Specimen euxassay_007145_21: embryonic day 14.5 (more )
Structure Level Pattern Image Note
TS23: trigeminal ganglion Strong Regionally restricted euxassay_007145_21
TS23: facial ganglion Strong Regionally restricted euxassay_007145_21
TS23: brain Moderate Uniform euxassay_007145_21

Specimen euxassay_007145_22: embryonic day 14.5 (more )
Structure Level Pattern Image Note
TS23: trigeminal ganglion Strong Regionally restricted euxassay_007145_22
TS23: brain Moderate Uniform euxassay_007145_22

Specimen euxassay_007145_23: embryonic day 14.5 (more )
Structure Level Pattern Image Note
TS23: trigeminal ganglion Strong Regionally restricted euxassay_007145_23
TS23: brain Moderate Uniform euxassay_007145_23

Specimen euxassay_007145_24: embryonic day 14.5 (more )
Structure Level Pattern Image Note
TS23: brain Moderate Uniform euxassay_007145_24
TS23: retina nuclear layer Moderate Regionally restricted euxassay_007145_24


Contributing Projects:
Mouse Genome Database (MGD), Gene Expression Database (GXD), Mouse Models of Human Cancer database (MMHCdb) (formerly Mouse Tumor Biology (MTB)), Gene Ontology (GO)
Citing These Resources
Funding Information
Warranty Disclaimer, Privacy Notice, Licensing, & Copyright
Send questions and comments to User Support.
last database update
12/30/2025
MGI 6.24
The Jackson Laboratory