About   Help   FAQ
Gene Expression Data
Assay Details
Assay
Reference: J:153498 Diez-Roux G, et al., A high-resolution anatomical atlas of the transcriptome in the mouse embryo. PLoS Biol. 2011;9(1):e1000582
Assay type: RNA in situ
MGI Accession ID: MGI:4823581
Gene symbol: Cacnb1
Gene name: calcium channel, voltage-dependent, beta 1 subunit
Probe: T38901
Probe preparation: Antisense labelled with digoxigenin RNA
Visualized with: Alkaline phosphatase
Assay notes: Cryosections of fresh frozen material were fixed in 4% paraformaldehyde for 20 min. before further processing. A tyramide-biotin/streptavidin amplification step was included in the in situ hybridization procedure.
Results
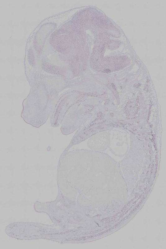
Specimen euxassay_010905_01: embryonic day 14.5 (more )
Structure Level Pattern Image Note
TS23: vertebral axis musculature Weak Regionally restricted euxassay_010905_01
TS23: diaphragm Weak Regionally restricted euxassay_010905_01

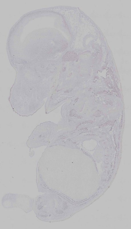
Specimen euxassay_010905_02: embryonic day 14.5 (more )
Structure Level Pattern Image Note
TS23: diaphragm Moderate Regionally restricted euxassay_010905_02
TS23: vertebral axis musculature Moderate Regionally restricted euxassay_010905_02
TS23: upper arm muscle Moderate Regionally restricted euxassay_010905_02
TS23: upper leg muscle Moderate Regionally restricted euxassay_010905_02
TS23: brain Weak Regionally restricted euxassay_010905_02
TS23: trigeminal ganglion Moderate Regionally restricted euxassay_010905_02
TS23: facial ganglion Moderate Regionally restricted euxassay_010905_02

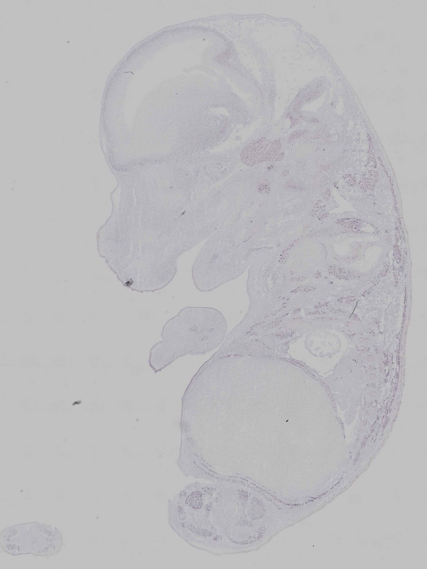
Specimen euxassay_010905_03: embryonic day 14.5 (more )
Structure Level Pattern Image Note
TS23: diaphragm Moderate Regionally restricted euxassay_010905_03
TS23: vertebral axis musculature Moderate Regionally restricted euxassay_010905_03
TS23: upper arm muscle Moderate Regionally restricted euxassay_010905_03
TS23: upper leg muscle Moderate Regionally restricted euxassay_010905_03
TS23: lower leg rest of mesenchyme Moderate Regionally restricted euxassay_010905_03
TS23: brain Moderate Regionally restricted euxassay_010905_03
TS23: trigeminal ganglion Moderate Regionally restricted euxassay_010905_03
TS23: facial ganglion Moderate Regionally restricted euxassay_010905_03

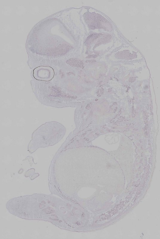
Specimen euxassay_010905_04: embryonic day 14.5 (more )
Structure Level Pattern Image Note
TS23: diaphragm Weak Regionally restricted euxassay_010905_04
TS23: vertebral axis musculature Weak Regionally restricted euxassay_010905_04
TS23: upper arm muscle Moderate Regionally restricted euxassay_010905_04
TS23: lower leg rest of mesenchyme Moderate Regionally restricted euxassay_010905_04
TS23: upper leg muscle Moderate Regionally restricted euxassay_010905_04
TS23: brain Moderate Regionally restricted euxassay_010905_04
TS23: spinal cord Moderate Regionally restricted euxassay_010905_04
TS23: trigeminal ganglion Moderate Regionally restricted euxassay_010905_04
TS23: facial ganglion Moderate Regionally restricted euxassay_010905_04
TS23: glossopharyngeal ganglion Moderate Regionally restricted euxassay_010905_04
TS23: dorsal root ganglion Moderate Regionally restricted euxassay_010905_04

Specimen euxassay_010905_05: embryonic day 14.5 (more )
Structure Level Pattern Image Note
TS23: diaphragm Weak Regionally restricted euxassay_010905_05
TS23: vertebral axis musculature Weak Regionally restricted euxassay_010905_05
TS23: brain Moderate Regionally restricted euxassay_010905_05
TS23: spinal cord Moderate Regionally restricted euxassay_010905_05
TS23: trigeminal ganglion Moderate Regionally restricted euxassay_010905_05
TS23: vagus ganglion Moderate Regionally restricted euxassay_010905_05
TS23: dorsal root ganglion Moderate Regionally restricted euxassay_010905_05

Specimen euxassay_010905_06: embryonic day 14.5 (more )
Structure Level Pattern Image Note
TS23: diaphragm Weak Regionally restricted euxassay_010905_06
TS23: vertebral axis musculature Weak Regionally restricted euxassay_010905_06
TS23: brain Moderate Regionally restricted euxassay_010905_06
TS23: spinal cord Moderate Regionally restricted euxassay_010905_06
TS23: trigeminal ganglion Moderate Regionally restricted euxassay_010905_06
TS23: dorsal root ganglion Moderate Regionally restricted euxassay_010905_06

Specimen euxassay_010905_07: embryonic day 14.5 (more )
Structure Level Pattern Image Note
TS23: diaphragm Weak Regionally restricted euxassay_010905_07
TS23: vertebral axis musculature Weak Regionally restricted euxassay_010905_07
TS23: brain Moderate Regionally restricted euxassay_010905_07
TS23: spinal cord Moderate Regionally restricted euxassay_010905_07
TS23: trigeminal ganglion Moderate Regionally restricted euxassay_010905_07
TS23: dorsal root ganglion Moderate Regionally restricted euxassay_010905_07

Specimen euxassay_010905_08: embryonic day 14.5 (more )
Structure Level Pattern Image Note
TS23: diaphragm Weak Regionally restricted euxassay_010905_08
TS23: vertebral axis musculature Weak Regionally restricted euxassay_010905_08
TS23: brain Weak Regionally restricted euxassay_010905_08
TS23: spinal cord Weak Regionally restricted euxassay_010905_08

Specimen euxassay_010905_09: embryonic day 14.5 (more )
Structure Level Pattern Image Note
TS23: diaphragm Weak Regionally restricted euxassay_010905_09
TS23: vertebral axis musculature Weak Regionally restricted euxassay_010905_09
TS23: tail paraxial mesenchyme Weak Regionally restricted euxassay_010905_09
TS23: brain Moderate Regionally restricted euxassay_010905_09
TS23: spinal cord Moderate Regionally restricted euxassay_010905_09
TS23: trigeminal nerve Moderate Regionally restricted euxassay_010905_09

Specimen euxassay_010905_10: embryonic day 14.5 (more )
Structure Level Pattern Image Note
TS23: diaphragm Weak Regionally restricted euxassay_010905_10
TS23: vertebral axis musculature Weak Regionally restricted euxassay_010905_10
TS23: tail paraxial mesenchyme Weak Regionally restricted euxassay_010905_10
TS23: brain Moderate Regionally restricted euxassay_010905_10
TS23: spinal cord Moderate Regionally restricted euxassay_010905_10

Specimen euxassay_010905_11: embryonic day 14.5 (more )
Structure Level Pattern Image Note
TS23: diaphragm Weak Regionally restricted euxassay_010905_11
TS23: vertebral axis musculature Weak Regionally restricted euxassay_010905_11
TS23: tail paraxial mesenchyme Weak Regionally restricted euxassay_010905_11
TS23: tongue muscle Moderate Regionally restricted euxassay_010905_11
TS23: brain Moderate Regionally restricted euxassay_010905_11
TS23: spinal cord Moderate Regionally restricted euxassay_010905_11

Specimen euxassay_010905_12: embryonic day 14.5 (more )
Structure Level Pattern Image Note
TS23: diaphragm Weak Regionally restricted euxassay_010905_12
TS23: vertebral axis musculature Weak Regionally restricted euxassay_010905_12
TS23: tail paraxial mesenchyme Weak Regionally restricted euxassay_010905_12
TS23: tongue muscle Weak Regionally restricted euxassay_010905_12
TS23: brain Moderate Regionally restricted euxassay_010905_12
TS23: dorsal root ganglion Moderate Regionally restricted euxassay_010905_12

Specimen euxassay_010905_13: embryonic day 14.5 (more )
Structure Level Pattern Image Note
TS23: diaphragm Moderate Regionally restricted euxassay_010905_13
TS23: vertebral axis musculature Moderate Regionally restricted euxassay_010905_13
TS23: tail paraxial mesenchyme Moderate Regionally restricted euxassay_010905_13
TS23: tongue muscle Moderate Regionally restricted euxassay_010905_13
TS23: brain Moderate Regionally restricted euxassay_010905_13
TS23: dorsal root ganglion Moderate Regionally restricted euxassay_010905_13

Specimen euxassay_010905_14: embryonic day 14.5 (more )
Structure Level Pattern Image Note
TS23: diaphragm Moderate Regionally restricted euxassay_010905_14
TS23: vertebral axis musculature Moderate Regionally restricted euxassay_010905_14
TS23: tail paraxial mesenchyme Moderate Regionally restricted euxassay_010905_14
TS23: tongue muscle Moderate Regionally restricted euxassay_010905_14
TS23: brain Moderate Regionally restricted euxassay_010905_14

Specimen euxassay_010905_15: embryonic day 14.5 (more )
Structure Level Pattern Image Note
TS23: diaphragm Moderate Regionally restricted euxassay_010905_15
TS23: vertebral axis musculature Moderate Regionally restricted euxassay_010905_15
TS23: tongue muscle Moderate Regionally restricted euxassay_010905_15
TS23: brain Moderate Regionally restricted euxassay_010905_15
TS23: trigeminal nerve Moderate Regionally restricted euxassay_010905_15

Specimen euxassay_010905_16: embryonic day 14.5 (more )
Structure Level Pattern Image Note
TS23: diaphragm Weak Regionally restricted euxassay_010905_16
TS23: vertebral axis musculature Weak Regionally restricted euxassay_010905_16
TS23: upper leg muscle Moderate Regionally restricted euxassay_010905_16
TS23: brain Moderate Regionally restricted euxassay_010905_16
TS23: trigeminal ganglion Moderate Regionally restricted euxassay_010905_16
TS23: trigeminal nerve Moderate Regionally restricted euxassay_010905_16

Specimen euxassay_010905_17: embryonic day 14.5 (more )
Structure Level Pattern Image Note
TS23: diaphragm Weak Regionally restricted euxassay_010905_17
TS23: vertebral axis musculature Weak Regionally restricted euxassay_010905_17
TS23: upper leg muscle Moderate Regionally restricted euxassay_010905_17
TS23: brain Moderate Regionally restricted euxassay_010905_17
TS23: trigeminal ganglion Moderate Regionally restricted euxassay_010905_17
TS23: facial ganglion Moderate Regionally restricted euxassay_010905_17

Specimen euxassay_010905_18: embryonic day 14.5 (more )
Structure Level Pattern Image Note
TS23: diaphragm Moderate Regionally restricted euxassay_010905_18
TS23: vertebral axis musculature Moderate Regionally restricted euxassay_010905_18
TS23: upper leg muscle Moderate Regionally restricted euxassay_010905_18
TS23: brain Weak Regionally restricted euxassay_010905_18
TS23: trigeminal ganglion Moderate Regionally restricted euxassay_010905_18
TS23: facial ganglion Moderate Regionally restricted euxassay_010905_18

Specimen euxassay_010905_19: embryonic day 14.5 (more )
Structure Level Pattern Image Note
TS23: diaphragm Moderate Regionally restricted euxassay_010905_19
TS23: vertebral axis musculature Moderate Regionally restricted euxassay_010905_19
TS23: upper arm muscle Moderate Regionally restricted euxassay_010905_19
TS23: brain Weak Regionally restricted euxassay_010905_19
TS23: trigeminal ganglion Moderate Regionally restricted euxassay_010905_19
TS23: facial ganglion Moderate Regionally restricted euxassay_010905_19

Specimen euxassay_010905_20: embryonic day 14.5 (more )
Structure Level Pattern Image Note
TS23: diaphragm Weak Regionally restricted euxassay_010905_20
TS23: vertebral axis musculature Weak Regionally restricted euxassay_010905_20
TS23: brain Weak Regionally restricted euxassay_010905_20
TS23: trigeminal ganglion Moderate Regionally restricted euxassay_010905_20

Specimen euxassay_010905_21: embryonic day 14.5 (more )
Structure Level Pattern Image Note
TS23: diaphragm Weak Regionally restricted euxassay_010905_21
TS23: vertebral axis musculature Weak Regionally restricted euxassay_010905_21
TS23: brain Weak Regionally restricted euxassay_010905_21


Contributing Projects:
Mouse Genome Database (MGD), Gene Expression Database (GXD), Mouse Models of Human Cancer database (MMHCdb) (formerly Mouse Tumor Biology (MTB)), Gene Ontology (GO)
Citing These Resources
Funding Information
Warranty Disclaimer, Privacy Notice, Licensing, & Copyright
Send questions and comments to User Support.
last database update
12/30/2025
MGI 6.24
The Jackson Laboratory