About   Help   FAQ
Gene Expression Data
Assay Details
Assay
Reference: J:153498 Diez-Roux G, et al., A high-resolution anatomical atlas of the transcriptome in the mouse embryo. PLoS Biol. 2011;9(1):e1000582
Assay type: RNA in situ
MGI Accession ID: MGI:4823573
Gene symbol: Cacna1a
Gene name: calcium channel, voltage-dependent, P/Q type, alpha 1A subunit
Probe: T35005
Probe preparation: Antisense labelled with digoxigenin RNA
Visualized with: Alkaline phosphatase
Assay notes: Cryosections of fresh frozen material were fixed in 4% paraformaldehyde for 20 min. before further processing. A tyramide-biotin/streptavidin amplification step was included in the in situ hybridization procedure.
Results
Specimen euxassay_006343_02: embryonic day 14.5 (more )
Structure Level Pattern Image Note
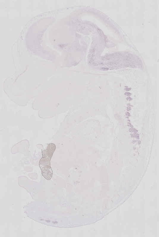
TS23: brain Weak Regionally restricted euxassay_006343_02

Specimen euxassay_006343_03: embryonic day 14.5 (more )
Structure Level Pattern Image Note
TS23: trigeminal ganglion Moderate Regionally restricted euxassay_006343_03
TS23: facial ganglion Moderate Regionally restricted euxassay_006343_03
TS23: brain Weak Regionally restricted euxassay_006343_03

Specimen euxassay_006343_04: embryonic day 14.5 (more )
Structure Level Pattern Image Note
TS23: brain Weak Regionally restricted euxassay_006343_04

Specimen euxassay_006343_05: embryonic day 14.5 (more )
Structure Level Pattern Image Note
TS23: trigeminal ganglion Moderate Regionally restricted euxassay_006343_05
TS23: vestibulo-cochlear ganglion Moderate Regionally restricted euxassay_006343_05
TS23: facial ganglion Moderate Regionally restricted euxassay_006343_05
TS23: dorsal root ganglion Moderate Regionally restricted euxassay_006343_05
TS23: brain Weak Regionally restricted euxassay_006343_05

Specimen euxassay_006343_06: embryonic day 14.5 (more )
Structure Level Pattern Image Note
TS23: trigeminal ganglion Moderate Regionally restricted euxassay_006343_06
TS23: glossopharyngeal ganglion Moderate Regionally restricted euxassay_006343_06
TS23: vestibulo-cochlear ganglion Moderate Regionally restricted euxassay_006343_06
TS23: dorsal root ganglion Moderate Regionally restricted euxassay_006343_06
TS23: brain Weak Regionally restricted euxassay_006343_06

Specimen euxassay_006343_07: embryonic day 14.5 (more )
Structure Level Pattern Image Note
TS23: trigeminal ganglion Moderate Regionally restricted euxassay_006343_07
TS23: vestibulo-cochlear ganglion Moderate Regionally restricted euxassay_006343_07
TS23: vagus ganglion Moderate Regionally restricted euxassay_006343_07
TS23: dorsal root ganglion Moderate Regionally restricted euxassay_006343_07
TS23: central nervous system Weak Regionally restricted euxassay_006343_07

Specimen euxassay_006343_08: embryonic day 14.5 (more )
Structure Level Pattern Image Note
TS23: trigeminal ganglion Moderate Regionally restricted euxassay_006343_08
TS23: vestibulo-cochlear ganglion Moderate Regionally restricted euxassay_006343_08
TS23: dorsal root ganglion Moderate Regionally restricted euxassay_006343_08
TS23: brain Weak Regionally restricted euxassay_006343_08
TS23: spinal cord Weak Regionally restricted euxassay_006343_08

Specimen euxassay_006343_09: embryonic day 14.5 (more )
Structure Level Pattern Image Note
TS23: trigeminal ganglion Moderate Regionally restricted euxassay_006343_09
TS23: trigeminal nerve Moderate Regionally restricted euxassay_006343_09
TS23: dorsal root ganglion Moderate Regionally restricted euxassay_006343_09
TS23: brain Weak Regionally restricted euxassay_006343_09
TS23: spinal cord Moderate Regionally restricted euxassay_006343_09

Specimen euxassay_006343_10: embryonic day 14.5 (more )
Structure Level Pattern Image Note
TS23: dorsal root ganglion Moderate Regionally restricted euxassay_006343_10
TS23: spinal cord Weak Regionally restricted euxassay_006343_10
TS23: brain Weak Regionally restricted euxassay_006343_10

Specimen euxassay_006343_11: embryonic day 14.5 (more )
Structure Level Pattern Image Note
TS23: brain Weak Regionally restricted euxassay_006343_11
TS23: spinal cord Weak Regionally restricted euxassay_006343_11

Specimen euxassay_006343_12: embryonic day 14.5 (more )
Structure Level Pattern Image Note
TS23: brain Weak Regionally restricted euxassay_006343_12
TS23: spinal cord Weak Regionally restricted euxassay_006343_12

Specimen euxassay_006343_13: embryonic day 14.5 (more )
Structure Level Pattern Image Note
TS23: dorsal root ganglion Moderate Regionally restricted euxassay_006343_13
TS23: brain Weak Regionally restricted euxassay_006343_13
TS23: spinal cord Weak Regionally restricted euxassay_006343_13

Specimen euxassay_006343_14: embryonic day 14.5 (more )
Structure Level Pattern Image Note
TS23: dorsal root ganglion Moderate Regionally restricted euxassay_006343_14
TS23: brain Weak Regionally restricted euxassay_006343_14

Specimen euxassay_006343_15: embryonic day 14.5 (more )
Structure Level Pattern Image Note
TS23: dorsal root ganglion Moderate Regionally restricted euxassay_006343_15
TS23: brain Weak Regionally restricted euxassay_006343_15

Specimen euxassay_006343_16: embryonic day 14.5 (more )
Structure Level Pattern Image Note
TS23: trigeminal nerve Weak Regionally restricted euxassay_006343_16
TS23: trigeminal ganglion Moderate Regionally restricted euxassay_006343_16
TS23: vagus ganglion Moderate Regionally restricted euxassay_006343_16
TS23: dorsal root ganglion Moderate Regionally restricted euxassay_006343_16
TS23: brain Weak Regionally restricted euxassay_006343_16

Specimen euxassay_006343_17: embryonic day 14.5 (more )
Structure Level Pattern Image Note
TS23: vestibulo-cochlear ganglion Moderate Regionally restricted euxassay_006343_17
TS23: trigeminal ganglion Moderate Regionally restricted euxassay_006343_17
TS23: glossopharyngeal ganglion Moderate Regionally restricted euxassay_006343_17
TS23: brain Weak Regionally restricted euxassay_006343_17

Specimen euxassay_006343_18: embryonic day 14.5 (more )
Structure Level Pattern Image Note
TS23: vestibulo-cochlear ganglion Moderate Regionally restricted euxassay_006343_18
TS23: trigeminal ganglion Moderate Regionally restricted euxassay_006343_18
TS23: brain Weak Regionally restricted euxassay_006343_18

Specimen euxassay_006343_19: embryonic day 14.5 (more )
Structure Level Pattern Image Note
TS23: trigeminal ganglion Moderate Regionally restricted euxassay_006343_19
TS23: brain Weak Regionally restricted euxassay_006343_19

Specimen euxassay_006343_20: embryonic day 14.5 (more )
Structure Level Pattern Image Note
TS23: trigeminal ganglion Moderate Regionally restricted euxassay_006343_20
TS23: facial ganglion Moderate Regionally restricted euxassay_006343_20
TS23: brain Weak Regionally restricted euxassay_006343_20

Specimen euxassay_006343_21: embryonic day 14.5 (more )
Structure Level Pattern Image Note
TS23: trigeminal ganglion Moderate Regionally restricted euxassay_006343_21
TS23: brain Weak Regionally restricted euxassay_006343_21

Specimen euxassay_006343_22: embryonic day 14.5 (more )
Structure Level Pattern Image Note
TS23: brain Weak Regionally restricted euxassay_006343_22

Specimen euxassay_006343_23: embryonic day 14.5 (more )
Structure Level Pattern Image Note
TS23: brain Weak Regionally restricted euxassay_006343_23

Specimen euxassay_006343_24: embryonic day 14.5 (more )
Structure Level Pattern Image Note
TS23: brain Weak Regionally restricted euxassay_006343_24


Contributing Projects:
Mouse Genome Database (MGD), Gene Expression Database (GXD), Mouse Models of Human Cancer database (MMHCdb) (formerly Mouse Tumor Biology (MTB)), Gene Ontology (GO)
Citing These Resources
Funding Information
Warranty Disclaimer, Privacy Notice, Licensing, & Copyright
Send questions and comments to User Support.
last database update
09/30/2025
MGI 6.24
The Jackson Laboratory