About   Help   FAQ
Gene Expression Data
Assay Details
Assay
Reference: J:153498 Diez-Roux G, et al., A high-resolution anatomical atlas of the transcriptome in the mouse embryo. PLoS Biol. 2011;9(1):e1000582
Assay type: RNA in situ
MGI Accession ID: MGI:4823568
Gene symbol: Cab39
Gene name: calcium binding protein 39
Probe: MGC clone 28220
Probe preparation: Antisense labelled with digoxigenin RNA
Visualized with: Alkaline phosphatase
Assay notes: Cryosections of fresh frozen material were fixed in 4% paraformaldehyde for 20 min. before further processing. A tyramide-biotin/streptavidin amplification step was included in the in situ hybridization procedure.
Results
Specimen euxassay_003762_01: embryonic day 14.5 (more )
Structure Level Pattern Image Note
TS23: neural retina Moderate Regionally restricted euxassay_003762_01

Specimen euxassay_003762_02: embryonic day 14.5 (more )
Structure Level Pattern Image Note
TS23: neural retina Moderate Regionally restricted euxassay_003762_02

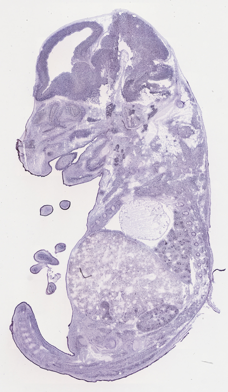
Specimen euxassay_003762_03: embryonic day 14.5 (more )
Structure Level Pattern Image Note
TS23: trigeminal ganglion Weak Regionally restricted euxassay_003762_03
TS23: facial ganglion Weak Regionally restricted euxassay_003762_03
TS23: neural retina Moderate Regionally restricted euxassay_003762_03

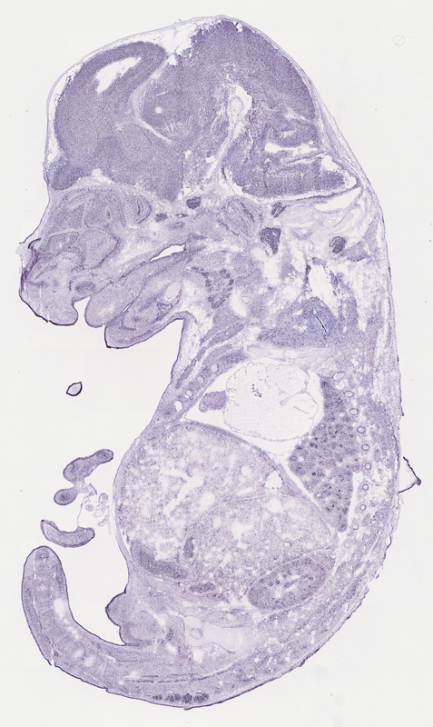
Specimen euxassay_003762_04: embryonic day 14.5 (more )
Structure Level Pattern Image Note
TS23: trigeminal ganglion Weak Regionally restricted euxassay_003762_04
TS23: facial ganglion Weak Regionally restricted euxassay_003762_04
TS23: dorsal root ganglion Moderate Regionally restricted euxassay_003762_04
TS23: neural retina Moderate Regionally restricted euxassay_003762_04

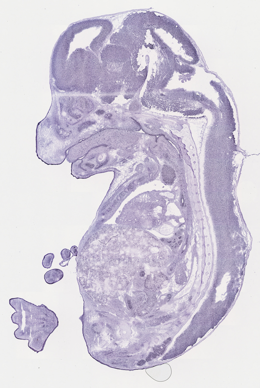
Specimen euxassay_003762_05: embryonic day 14.5 (more )
Structure Level Pattern Image Note
TS23: trigeminal ganglion Weak Regionally restricted euxassay_003762_05
TS23: glossopharyngeal ganglion Weak Regionally restricted euxassay_003762_05
TS23: dorsal root ganglion Moderate Regionally restricted euxassay_003762_05

Specimen euxassay_003762_06: embryonic day 14.5 (more )
Structure Level Pattern Image Note
TS23: trigeminal ganglion Weak Regionally restricted euxassay_003762_06
TS23: vestibulo-cochlear ganglion Weak Regionally restricted euxassay_003762_06
TS23: vagus ganglion Weak Regionally restricted euxassay_003762_06
TS23: dorsal root ganglion Moderate Regionally restricted euxassay_003762_06

Specimen euxassay_003762_07: embryonic day 14.5 (more )
Note: Additional information for this specimen was included in the Eurexpress data submission file.
Structure Level Pattern Image Note
TS23: trigeminal ganglion Weak Regionally restricted euxassay_003762_07
TS23: vagus ganglion Weak Regionally restricted euxassay_003762_07
TS23: dorsal root ganglion Moderate Regionally restricted euxassay_003762_07
TS23: clavicle Moderate Regionally restricted euxassay_003762_07 perichondrium

Specimen euxassay_003762_08: embryonic day 14.5 (more )
Note: Additional information for this specimen was included in the Eurexpress data submission file.
Structure Level Pattern Image Note
TS23: trigeminal ganglion Weak Regionally restricted euxassay_003762_08
TS23: dorsal root ganglion Moderate Regionally restricted euxassay_003762_08
TS23: clavicle Moderate Regionally restricted euxassay_003762_08 perichondrium

Specimen euxassay_003762_09: embryonic day 14.5 (more )
Structure Level Pattern Image Note
TS23: dorsal root ganglion Moderate Regionally restricted euxassay_003762_09

Specimen euxassay_003762_10: embryonic day 14.5 (more )
Structure Level Pattern Image Note
TS23: dorsal root ganglion Moderate Regionally restricted euxassay_003762_10

Specimen euxassay_003762_11: embryonic day 14.5 (more )
Structure Level Pattern Image Note
TS23: dorsal root ganglion Moderate Regionally restricted euxassay_003762_11

Specimen euxassay_003762_13: embryonic day 14.5 (more )
Structure Level Pattern Image Note
TS23: dorsal root ganglion Moderate Regionally restricted euxassay_003762_13

Specimen euxassay_003762_14: embryonic day 14.5 (more )
Note: Additional information for this specimen was included in the Eurexpress data submission file.
Structure Level Pattern Image Note
TS23: dorsal root ganglion Moderate Regionally restricted euxassay_003762_14
TS23: clavicle Moderate Regionally restricted euxassay_003762_14 perichondrium

Specimen euxassay_003762_15: embryonic day 14.5 (more )
Note: Additional information for this specimen was included in the Eurexpress data submission file.
Structure Level Pattern Image Note
TS23: vagus ganglion Weak Regionally restricted euxassay_003762_15
TS23: dorsal root ganglion Moderate Regionally restricted euxassay_003762_15
TS23: clavicle Moderate Regionally restricted euxassay_003762_15 perichondrium

Specimen euxassay_003762_16: embryonic day 14.5 (more )
Structure Level Pattern Image Note
TS23: trigeminal ganglion Weak Regionally restricted euxassay_003762_16
TS23: glossopharyngeal ganglion Weak Regionally restricted euxassay_003762_16

Specimen euxassay_003762_17: embryonic day 14.5 (more )
Structure Level Pattern Image Note
TS23: glossopharyngeal ganglion Weak Regionally restricted euxassay_003762_17
TS23: trigeminal ganglion Weak Regionally restricted euxassay_003762_17
TS23: vestibulo-cochlear ganglion Weak Regionally restricted euxassay_003762_17

Specimen euxassay_003762_18: embryonic day 14.5 (more )
Structure Level Pattern Image Note
TS23: trigeminal ganglion Weak Regionally restricted euxassay_003762_18

Specimen euxassay_003762_19: embryonic day 14.5 (more )
Structure Level Pattern Image Note
TS23: trigeminal ganglion Weak Regionally restricted euxassay_003762_19
TS23: facial ganglion Weak Regionally restricted euxassay_003762_19

Specimen euxassay_003762_20: embryonic day 14.5 (more )
Structure Level Pattern Image Note
TS23: trigeminal ganglion Weak Regionally restricted euxassay_003762_20

Specimen euxassay_003762_21: embryonic day 14.5 (more )
Structure Level Pattern Image Note
TS23: trigeminal ganglion Weak Regionally restricted euxassay_003762_21

Specimen euxassay_003762_22: embryonic day 14.5 (more )
Structure Level Pattern Image Note
TS23: neural retina Moderate Regionally restricted euxassay_003762_22

Specimen euxassay_003762_23: embryonic day 14.5 (more )
Structure Level Pattern Image Note
TS23: neural retina Moderate Regionally restricted euxassay_003762_23


Contributing Projects:
Mouse Genome Database (MGD), Gene Expression Database (GXD), Mouse Models of Human Cancer database (MMHCdb) (formerly Mouse Tumor Biology (MTB)), Gene Ontology (GO)
Citing These Resources
Funding Information
Warranty Disclaimer, Privacy Notice, Licensing, & Copyright
Send questions and comments to User Support.
last database update
01/20/2026
MGI 6.24
The Jackson Laboratory