About   Help   FAQ
Gene Expression Data
Assay Details
Assay
Reference: J:153498 Diez-Roux G, et al., A high-resolution anatomical atlas of the transcriptome in the mouse embryo. PLoS Biol. 2011;9(1):e1000582
Assay type: RNA in situ
MGI Accession ID: MGI:4823553
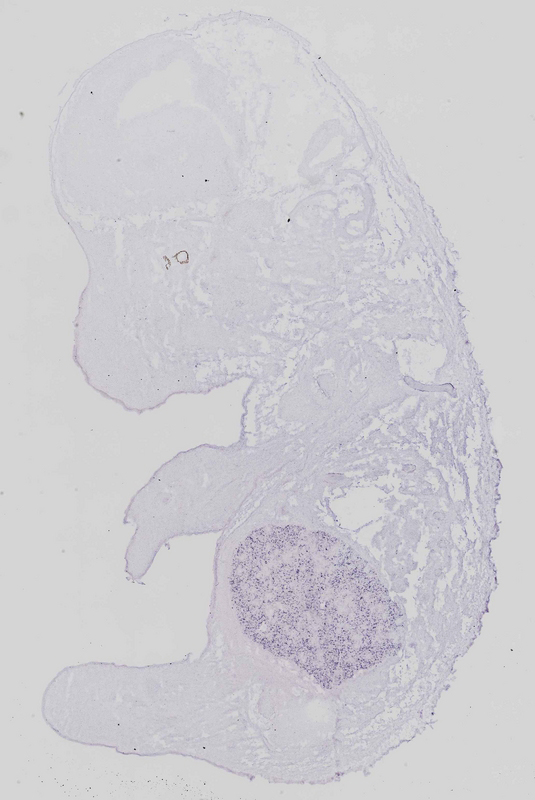
Gene symbol: C3
Gene name: complement component 3
Probe: MGC clone 49527
Probe preparation: Antisense labelled with digoxigenin RNA
Visualized with: Alkaline phosphatase
Assay notes: Cryosections of fresh frozen material were fixed in 4% paraformaldehyde for 20 min. before further processing. A tyramide-biotin/streptavidin amplification step was included in the in situ hybridization procedure.
Results
Specimen euxassay_001854_01: embryonic day 14.5 (more )
Structure Level Pattern Image Note
TS23: liver lobe Strong Uniform euxassay_001854_01

Specimen euxassay_001854_02: embryonic day 14.5 (more )
Structure Level Pattern Image Note
TS23: liver lobe Strong Uniform euxassay_001854_02

Specimen euxassay_001854_03: embryonic day 14.5 (more )
Structure Level Pattern Image Note
TS23: liver lobe Strong Uniform euxassay_001854_03

Specimen euxassay_001854_04: embryonic day 14.5 (more )
Structure Level Pattern Image Note
TS23: liver lobe Strong Uniform euxassay_001854_04

Specimen euxassay_001854_05: embryonic day 14.5 (more )
Structure Level Pattern Image Note
TS23: liver lobe Strong Uniform euxassay_001854_05

Specimen euxassay_001854_06: embryonic day 14.5 (more )
Structure Level Pattern Image Note
TS23: liver lobe Strong Uniform euxassay_001854_06

Specimen euxassay_001854_07: embryonic day 14.5 (more )
Structure Level Pattern Image Note
TS23: liver lobe Strong Uniform euxassay_001854_07

Specimen euxassay_001854_08: embryonic day 14.5 (more )
Structure Level Pattern Image Note
TS23: liver lobe Strong Uniform euxassay_001854_08

Specimen euxassay_001854_09: embryonic day 14.5 (more )
Structure Level Pattern Image Note
TS23: liver lobe Strong Uniform euxassay_001854_09

Specimen euxassay_001854_10: embryonic day 14.5 (more )
Structure Level Pattern Image Note
TS23: liver lobe Strong Uniform euxassay_001854_10

Specimen euxassay_001854_11: embryonic day 14.5 (more )
Structure Level Pattern Image Note
TS23: liver lobe Strong Uniform euxassay_001854_11

Specimen euxassay_001854_12: embryonic day 14.5 (more )
Structure Level Pattern Image Note
TS23: liver lobe Strong Uniform euxassay_001854_12

Specimen euxassay_001854_13: embryonic day 14.5 (more )
Structure Level Pattern Image Note
TS23: liver lobe Strong Uniform euxassay_001854_13

Specimen euxassay_001854_14: embryonic day 14.5 (more )
Structure Level Pattern Image Note
TS23: liver lobe Strong Uniform euxassay_001854_14

Specimen euxassay_001854_15: embryonic day 14.5 (more )
Structure Level Pattern Image Note
TS23: liver lobe Strong Uniform euxassay_001854_15

Specimen euxassay_001854_16: embryonic day 14.5 (more )
Structure Level Pattern Image Note
TS23: liver lobe Strong Uniform euxassay_001854_16

Specimen euxassay_001854_17: embryonic day 14.5 (more )
Structure Level Pattern Image Note
TS23: liver lobe Strong Uniform euxassay_001854_17

Specimen euxassay_001854_18: embryonic day 14.5 (more )
Structure Level Pattern Image Note
TS23: liver lobe Strong Uniform euxassay_001854_18

Specimen euxassay_001854_19: embryonic day 14.5 (more )
Structure Level Pattern Image Note
TS23: liver lobe Strong Uniform euxassay_001854_19

Specimen euxassay_001854_20: embryonic day 14.5 (more )
Structure Level Pattern Image Note
TS23: liver lobe Moderate Uniform euxassay_001854_20

Specimen euxassay_001854_21: embryonic day 14.5 (more )
Structure Level Pattern Image Note
TS23: liver lobe Moderate Uniform euxassay_001854_21

Specimen euxassay_001854_22: embryonic day 14.5 (more )
Structure Level Pattern Image Note
TS23: liver lobe Moderate Uniform euxassay_001854_22


Contributing Projects:
Mouse Genome Database (MGD), Gene Expression Database (GXD), Mouse Models of Human Cancer database (MMHCdb) (formerly Mouse Tumor Biology (MTB)), Gene Ontology (GO)
Citing These Resources
Funding Information
Warranty Disclaimer, Privacy Notice, Licensing, & Copyright
Send questions and comments to User Support.
last database update
12/30/2025
MGI 6.24
The Jackson Laboratory