About   Help   FAQ
Gene Expression Data
Assay Details
Assay
Reference: J:153498 Diez-Roux G, et al., A high-resolution anatomical atlas of the transcriptome in the mouse embryo. PLoS Biol. 2011;9(1):e1000582
Assay type: RNA in situ
MGI Accession ID: MGI:4823543
Gene symbol: C1s1
Gene name: complement component 1, s subcomponent 1
Probe: MGC clone 37773
Probe preparation: Antisense labelled with digoxigenin RNA
Visualized with: Alkaline phosphatase
Assay notes: Cryosections of fresh frozen material were fixed in 4% paraformaldehyde for 20 min. before further processing. A tyramide-biotin/streptavidin amplification step was included in the in situ hybridization procedure.
Results
Specimen euxassay_003047_01: embryonic day 14.5 (more )
Structure Level Pattern Image Note
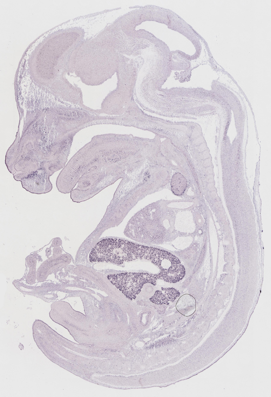
TS23: liver lobe Moderate Regionally restricted euxassay_003047_01

Specimen euxassay_003047_02: embryonic day 14.5 (more )
Structure Level Pattern Image Note
TS23: liver lobe Moderate Regionally restricted euxassay_003047_02

Specimen euxassay_003047_03: embryonic day 14.5 (more )
Structure Level Pattern Image Note
TS23: liver lobe Moderate Regionally restricted euxassay_003047_03

Specimen euxassay_003047_04: embryonic day 14.5 (more )
Structure Level Pattern Image Note
TS23: liver lobe Moderate Regionally restricted euxassay_003047_04

Specimen euxassay_003047_05: embryonic day 14.5 (more )
Structure Level Pattern Image Note
TS23: liver lobe Moderate Regionally restricted euxassay_003047_05

Specimen euxassay_003047_06: embryonic day 14.5 (more )
Structure Level Pattern Image Note
TS23: liver lobe Moderate Regionally restricted euxassay_003047_06

Specimen euxassay_003047_07: embryonic day 14.5 (more )
Structure Level Pattern Image Note
TS23: liver lobe Moderate Regionally restricted euxassay_003047_07

Specimen euxassay_003047_08: embryonic day 14.5 (more )
Structure Level Pattern Image Note
TS23: liver lobe Moderate Regionally restricted euxassay_003047_08

Specimen euxassay_003047_09: embryonic day 14.5 (more )
Structure Level Pattern Image Note
TS23: liver lobe Moderate Regionally restricted euxassay_003047_09
TS23: renal calyx Moderate Regionally restricted euxassay_003047_09

Specimen euxassay_003047_10: embryonic day 14.5 (more )
Structure Level Pattern Image Note
TS23: liver lobe Moderate Regionally restricted euxassay_003047_10
TS23: renal calyx Moderate Regionally restricted euxassay_003047_10

Specimen euxassay_003047_11: embryonic day 14.5 (more )
Structure Level Pattern Image Note
TS23: liver lobe Moderate Regionally restricted euxassay_003047_11
TS23: renal calyx Moderate Regionally restricted euxassay_003047_11

Specimen euxassay_003047_12: embryonic day 14.5 (more )
Structure Level Pattern Image Note
TS23: liver lobe Moderate Regionally restricted euxassay_003047_12

Specimen euxassay_003047_13: embryonic day 14.5 (more )
Structure Level Pattern Image Note
TS23: liver lobe Moderate Regionally restricted euxassay_003047_13

Specimen euxassay_003047_14: embryonic day 14.5 (more )
Structure Level Pattern Image Note
TS23: liver lobe Moderate Regionally restricted euxassay_003047_14

Specimen euxassay_003047_15: embryonic day 14.5 (more )
Structure Level Pattern Image Note
TS23: liver lobe Moderate Regionally restricted euxassay_003047_15

Specimen euxassay_003047_16: embryonic day 14.5 (more )
Structure Level Pattern Image Note
TS23: liver lobe Moderate Regionally restricted euxassay_003047_16

Specimen euxassay_003047_17: embryonic day 14.5 (more )
Structure Level Pattern Image Note
TS23: liver lobe Moderate Regionally restricted euxassay_003047_17

Specimen euxassay_003047_18: embryonic day 14.5 (more )
Structure Level Pattern Image Note
TS23: liver lobe Moderate Regionally restricted euxassay_003047_18

Specimen euxassay_003047_19: embryonic day 14.5 (more )
Structure Level Pattern Image Note
TS23: liver lobe Moderate Regionally restricted euxassay_003047_19
TS23: renal calyx Moderate Regionally restricted euxassay_003047_19

Specimen euxassay_003047_20: embryonic day 14.5 (more )
Structure Level Pattern Image Note
TS23: liver lobe Moderate Regionally restricted euxassay_003047_20
TS23: renal calyx Moderate Regionally restricted euxassay_003047_20

Specimen euxassay_003047_21: embryonic day 14.5 (more )
Structure Level Pattern Image Note
TS23: liver lobe Weak Regionally restricted euxassay_003047_21
TS23: renal calyx Moderate Regionally restricted euxassay_003047_21

Specimen euxassay_003047_22: embryonic day 14.5 (more )
Structure Level Pattern Image Note
TS23: liver lobe Weak Regionally restricted euxassay_003047_22
TS23: renal calyx Moderate Regionally restricted euxassay_003047_22

Specimen euxassay_003047_23: embryonic day 14.5 (more )
Structure Level Pattern Image Note
TS23: liver lobe Weak Regionally restricted euxassay_003047_23

Specimen euxassay_003047_24: embryonic day 14.5 (more )
Structure Level Pattern Image Note
TS23: liver lobe Weak Regionally restricted euxassay_003047_24


Contributing Projects:
Mouse Genome Database (MGD), Gene Expression Database (GXD), Mouse Models of Human Cancer database (MMHCdb) (formerly Mouse Tumor Biology (MTB)), Gene Ontology (GO)
Citing These Resources
Funding Information
Warranty Disclaimer, Privacy Notice, Licensing, & Copyright
Send questions and comments to User Support.
last database update
12/30/2025
MGI 6.24
The Jackson Laboratory