About   Help   FAQ
Gene Expression Data
Assay Details
Assay
Reference: J:153498 Diez-Roux G, et al., A high-resolution anatomical atlas of the transcriptome in the mouse embryo. PLoS Biol. 2011;9(1):e1000582
Assay type: RNA in situ
MGI Accession ID: MGI:4823523
Gene symbol: Bub3
Gene name: BUB3 mitotic checkpoint protein
Probe: MGC clone 36204
Probe preparation: Antisense labelled with digoxigenin RNA
Visualized with: Alkaline phosphatase
Assay notes: Cryosections of fresh frozen material were fixed in 4% paraformaldehyde for 20 min. before further processing. A tyramide-biotin/streptavidin amplification step was included in the in situ hybridization procedure.
Results
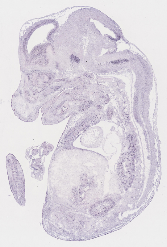
Specimen euxassay_004484_01: embryonic day 14.5 (more )
Structure Level Pattern Image Note
TS23: utricle Strong Regionally restricted euxassay_004484_01
TS23: saccule Strong Regionally restricted euxassay_004484_01

Specimen euxassay_004484_02: embryonic day 14.5 (more )
Structure Level Pattern Image Note
TS23: saccule Strong Regionally restricted euxassay_004484_02
TS23: utricle Strong Regionally restricted euxassay_004484_02

Specimen euxassay_004484_03: embryonic day 14.5 (more )
Structure Level Pattern Image Note
TS23: utricle Strong Regionally restricted euxassay_004484_03
TS23: saccule Strong Regionally restricted euxassay_004484_03

Specimen euxassay_004484_04: embryonic day 14.5 (more )
Structure Level Pattern Image Note
TS23: utricle Strong Regionally restricted euxassay_004484_04
TS23: saccule Strong Regionally restricted euxassay_004484_04

Specimen euxassay_004484_05: embryonic day 14.5 (more )
Structure Level Pattern Image Note
TS23: utricle Strong Regionally restricted euxassay_004484_05
TS23: saccule Strong Regionally restricted euxassay_004484_05

Specimen euxassay_004484_07: embryonic day 14.5 (more )
Structure Level Pattern Image Note
TS23: hindbrain Moderate Regionally restricted euxassay_004484_07

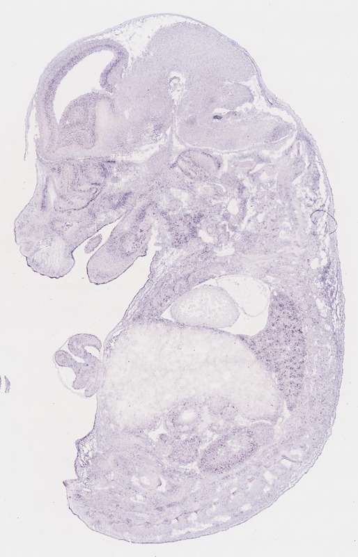
Specimen euxassay_004484_08: embryonic day 14.5 (more )
Structure Level Pattern Image Note
TS23: diencephalon lateral wall mantle layer Moderate Regionally restricted euxassay_004484_08
TS23: telencephalon mantle layer Moderate Regionally restricted euxassay_004484_08
TS23: hindbrain Moderate Regionally restricted euxassay_004484_08
TS23: midbrain mantle layer Moderate Regionally restricted euxassay_004484_08

Specimen euxassay_004484_09: embryonic day 14.5 (more )
Structure Level Pattern Image Note
TS23: diencephalon lateral wall mantle layer Moderate Regionally restricted euxassay_004484_09
TS23: telencephalon mantle layer Moderate Regionally restricted euxassay_004484_09
TS23: midbrain lateral wall Moderate Regionally restricted euxassay_004484_09
TS23: hindbrain Moderate Regionally restricted euxassay_004484_09

Specimen euxassay_004484_10: embryonic day 14.5 (more )
Structure Level Pattern Image Note
TS23: diencephalon lateral wall mantle layer Moderate Regionally restricted euxassay_004484_10
TS23: telencephalon mantle layer Moderate Regionally restricted euxassay_004484_10
TS23: hindbrain Moderate Regionally restricted euxassay_004484_10
TS23: midbrain mantle layer Moderate Regionally restricted euxassay_004484_10

Specimen euxassay_004484_11: embryonic day 14.5 (more )
Structure Level Pattern Image Note
TS23: telencephalon mantle layer Moderate Regionally restricted euxassay_004484_11
TS23: hindbrain Moderate Regionally restricted euxassay_004484_11
TS23: midbrain mantle layer Moderate Regionally restricted euxassay_004484_11

Specimen euxassay_004484_12: embryonic day 14.5 (more )
Structure Level Pattern Image Note
TS23: diencephalon lateral wall mantle layer Moderate Regionally restricted euxassay_004484_12
TS23: hindbrain Moderate Regionally restricted euxassay_004484_12
TS23: midbrain mantle layer Moderate Regionally restricted euxassay_004484_12

Specimen euxassay_004484_13: embryonic day 14.5 (more )
Structure Level Pattern Image Note
TS23: diencephalon lateral wall mantle layer Moderate Regionally restricted euxassay_004484_13
TS23: telencephalon mantle layer Moderate Regionally restricted euxassay_004484_13
TS23: hindbrain Moderate Regionally restricted euxassay_004484_13
TS23: midbrain mantle layer Moderate Regionally restricted euxassay_004484_13

Specimen euxassay_004484_14: embryonic day 14.5 (more )
Structure Level Pattern Image Note
TS23: diencephalon lateral wall mantle layer Moderate Regionally restricted euxassay_004484_14
TS23: hindbrain Moderate Regionally restricted euxassay_004484_14
TS23: midbrain mantle layer Moderate Regionally restricted euxassay_004484_14

Specimen euxassay_004484_15: embryonic day 14.5 (more )
Structure Level Pattern Image Note
TS23: diencephalon lateral wall mantle layer Moderate Regionally restricted euxassay_004484_15
TS23: midbrain mantle layer Moderate Regionally restricted euxassay_004484_15
TS23: hindbrain Moderate Regionally restricted euxassay_004484_15

Specimen euxassay_004484_16: embryonic day 14.5 (more )
Structure Level Pattern Image Note
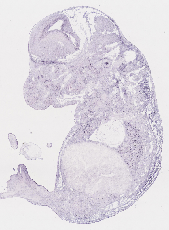
TS23: diencephalon lateral wall mantle layer Moderate Regionally restricted euxassay_004484_16

Specimen euxassay_004484_19: embryonic day 14.5 (more )
Structure Level Pattern Image Note
TS23: saccule Strong Regionally restricted euxassay_004484_19
TS23: utricle Strong Regionally restricted euxassay_004484_19

Specimen euxassay_004484_20: embryonic day 14.5 (more )
Structure Level Pattern Image Note
TS23: saccule Strong Regionally restricted euxassay_004484_20
TS23: utricle Strong Regionally restricted euxassay_004484_20

Specimen euxassay_004484_21: embryonic day 14.5 (more )
Structure Level Pattern Image Note
TS23: saccule Strong Regionally restricted euxassay_004484_21
TS23: utricle Strong Regionally restricted euxassay_004484_21

Specimen euxassay_004484_22: embryonic day 14.5 (more )
Structure Level Pattern Image Note
TS23: saccule Strong Regionally restricted euxassay_004484_22
TS23: utricle Strong Regionally restricted euxassay_004484_22

Specimen euxassay_004484_23: embryonic day 14.5 (more )
Structure Level Pattern Image Note
TS23: saccule Strong Regionally restricted euxassay_004484_23
TS23: utricle Strong Regionally restricted euxassay_004484_23


Contributing Projects:
Mouse Genome Database (MGD), Gene Expression Database (GXD), Mouse Models of Human Cancer database (MMHCdb) (formerly Mouse Tumor Biology (MTB)), Gene Ontology (GO)
Citing These Resources
Funding Information
Warranty Disclaimer, Privacy Notice, Licensing, & Copyright
Send questions and comments to User Support.
last database update
12/30/2025
MGI 6.24
The Jackson Laboratory