About   Help   FAQ
Gene Expression Data
Assay Details
Assay
Reference: J:153498 Diez-Roux G, et al., A high-resolution anatomical atlas of the transcriptome in the mouse embryo. PLoS Biol. 2011;9(1):e1000582
Assay type: RNA in situ
MGI Accession ID: MGI:4823521
Gene symbol: Bub1
Gene name: BUB1, mitotic checkpoint serine/threonine kinase
Probe: MGC clone 18385
Probe preparation: Antisense labelled with digoxigenin RNA
Visualized with: Alkaline phosphatase
Assay notes: Cryosections of fresh frozen material were fixed in 4% paraformaldehyde for 20 min. before further processing. A tyramide-biotin/streptavidin amplification step was included in the in situ hybridization procedure.
Results
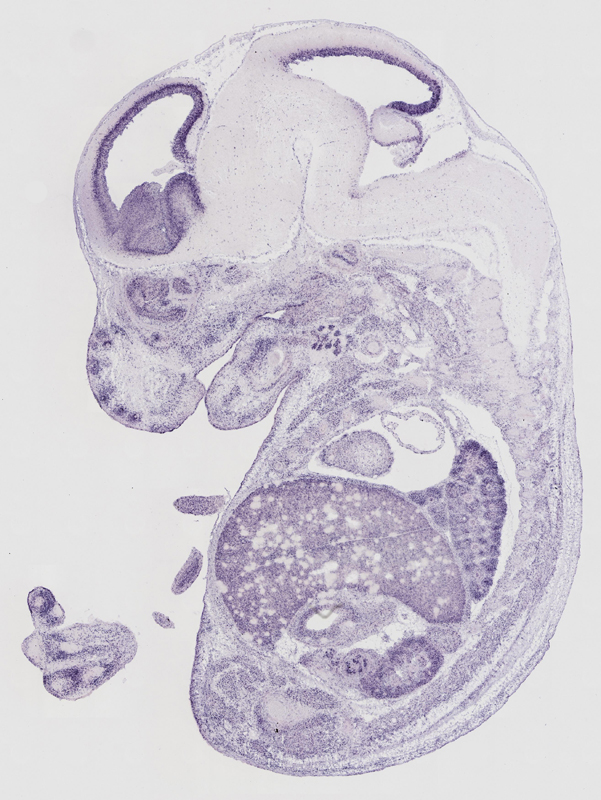
Specimen euxassay_003361_01: embryonic day 14.5 (more )
Structure Level Pattern Image Note
TS23: cochlear duct Moderate Regionally restricted euxassay_003361_01
TS23: liver Moderate Regionally restricted euxassay_003361_01
TS23: 4th ventricle Moderate Regionally restricted euxassay_003361_01
TS23: telencephalon ventricular layer Moderate Regionally restricted euxassay_003361_01
TS23: retina Moderate Regionally restricted euxassay_003361_01

Specimen euxassay_003361_02: embryonic day 14.5 (more )
Structure Level Pattern Image Note
TS23: cochlea Moderate Regionally restricted euxassay_003361_02
TS23: liver Moderate Regionally restricted euxassay_003361_02
TS23: rib Moderate Regionally restricted euxassay_003361_02
TS23: 4th ventricle Moderate Regionally restricted euxassay_003361_02
TS23: telencephalon ventricular layer Moderate Regionally restricted euxassay_003361_02
TS23: retina Moderate Regionally restricted euxassay_003361_02

Specimen euxassay_003361_03: embryonic day 14.5 (more )
Structure Level Pattern Image Note
TS23: liver Moderate Regionally restricted euxassay_003361_03
TS23: rib Moderate Regionally restricted euxassay_003361_03
TS23: telencephalon ventricular layer Moderate Regionally restricted euxassay_003361_03
TS23: 4th ventricle Moderate Regionally restricted euxassay_003361_03
TS23: retina Moderate Regionally restricted euxassay_003361_03

Specimen euxassay_003361_04: embryonic day 14.5 (more )
Structure Level Pattern Image Note
TS23: lung Strong Regionally restricted euxassay_003361_04
TS23: liver Moderate Regionally restricted euxassay_003361_04
TS23: rib Moderate Regionally restricted euxassay_003361_04
TS23: telencephalon ventricular layer Moderate Regionally restricted euxassay_003361_04
TS23: 4th ventricle Moderate Regionally restricted euxassay_003361_04
TS23: retina Moderate Regionally restricted euxassay_003361_04

Specimen euxassay_003361_05: embryonic day 14.5 (more )
Structure Level Pattern Image Note
TS23: vibrissa Moderate Regionally restricted euxassay_003361_05
TS23: lung Strong Regionally restricted euxassay_003361_05
TS23: liver Moderate Regionally restricted euxassay_003361_05
TS23: pancreas Strong Regionally restricted euxassay_003361_05
TS23: rib Moderate Regionally restricted euxassay_003361_05
TS23: telencephalon ventricular layer Moderate Regionally restricted euxassay_003361_05
TS23: 4th ventricle Moderate Regionally restricted euxassay_003361_05
TS23: 3rd ventricle Moderate Regionally restricted euxassay_003361_05
TS23: testis Moderate Regionally restricted euxassay_003361_05

Specimen euxassay_003361_06: embryonic day 14.5 (more )
Structure Level Pattern Image Note
TS23: vibrissa Moderate Regionally restricted euxassay_003361_06
TS23: submandibular gland primordium Strong Regionally restricted euxassay_003361_06
TS23: lung Strong Regionally restricted euxassay_003361_06
TS23: liver Moderate Regionally restricted euxassay_003361_06
TS23: pancreas Strong Regionally restricted euxassay_003361_06
TS23: rib Moderate Regionally restricted euxassay_003361_06
TS23: 3rd ventricle Moderate Regionally restricted euxassay_003361_06
TS23: telencephalon ventricular layer Moderate Regionally restricted euxassay_003361_06
TS23: 4th ventricle Moderate Regionally restricted euxassay_003361_06
TS23: testis Moderate Regionally restricted euxassay_003361_06
TS23: upper jaw molar Moderate Regionally restricted euxassay_003361_06
TS23: lower jaw molar Moderate Regionally restricted euxassay_003361_06

Specimen euxassay_003361_07: embryonic day 14.5 (more )
Structure Level Pattern Image Note
TS23: turbinate bone primordium Moderate Regionally restricted euxassay_003361_07
TS23: vibrissa Moderate Regionally restricted euxassay_003361_07
TS23: submandibular gland primordium Strong Regionally restricted euxassay_003361_07
TS23: lung Strong Regionally restricted euxassay_003361_07
TS23: liver Moderate Regionally restricted euxassay_003361_07
TS23: pancreas Strong Regionally restricted euxassay_003361_07
TS23: renal cortex Strong Regionally restricted euxassay_003361_07
TS23: rib Moderate Regionally restricted euxassay_003361_07
TS23: telencephalon ventricular layer Moderate Regionally restricted euxassay_003361_07
TS23: 3rd ventricle Moderate Regionally restricted euxassay_003361_07
TS23: 4th ventricle Moderate Regionally restricted euxassay_003361_07
TS23: testis Moderate Regionally restricted euxassay_003361_07
TS23: upper jaw molar Moderate Regionally restricted euxassay_003361_07
TS23: lower jaw molar Moderate Regionally restricted euxassay_003361_07

Specimen euxassay_003361_08: embryonic day 14.5 (more )
Structure Level Pattern Image Note
TS23: turbinate bone primordium Moderate Regionally restricted euxassay_003361_08
TS23: vibrissa Moderate Regionally restricted euxassay_003361_08
TS23: submandibular gland primordium Strong Regionally restricted euxassay_003361_08
TS23: lung Strong Regionally restricted euxassay_003361_08
TS23: liver Moderate Regionally restricted euxassay_003361_08
TS23: pancreas Strong Regionally restricted euxassay_003361_08
TS23: renal cortex Strong Regionally restricted euxassay_003361_08
TS23: adrenal gland Moderate Regionally restricted euxassay_003361_08
TS23: foregut-midgut junction Moderate Regionally restricted euxassay_003361_08
TS23: midgut loop Moderate Regionally restricted euxassay_003361_08
TS23: rib Moderate Regionally restricted euxassay_003361_08
TS23: 3rd ventricle Moderate Regionally restricted euxassay_003361_08
TS23: 4th ventricle Moderate Regionally restricted euxassay_003361_08
TS23: telencephalon ventricular layer Moderate Regionally restricted euxassay_003361_08
TS23: testis Moderate Regionally restricted euxassay_003361_08
TS23: upper jaw molar Moderate Regionally restricted euxassay_003361_08
TS23: lower jaw molar Moderate Regionally restricted euxassay_003361_08

Specimen euxassay_003361_09: embryonic day 14.5 (more )
Structure Level Pattern Image Note
TS23: turbinate bone primordium Moderate Regionally restricted euxassay_003361_09
TS23: vibrissa Moderate Regionally restricted euxassay_003361_09
TS23: submandibular gland primordium Strong Regionally restricted euxassay_003361_09
TS23: tongue Moderate Regionally restricted euxassay_003361_09
TS23: lung Strong Regionally restricted euxassay_003361_09
TS23: liver Moderate Regionally restricted euxassay_003361_09
TS23: pancreas Strong Regionally restricted euxassay_003361_09
TS23: renal cortex Strong Regionally restricted euxassay_003361_09
TS23: adrenal gland Moderate Regionally restricted euxassay_003361_09
TS23: midgut loop Moderate Regionally restricted euxassay_003361_09
TS23: rib Moderate Regionally restricted euxassay_003361_09
TS23: 4th ventricle Moderate Regionally restricted euxassay_003361_09
TS23: telencephalon ventricular layer Moderate Regionally restricted euxassay_003361_09
TS23: 3rd ventricle Moderate Regionally restricted euxassay_003361_09

Specimen euxassay_003361_10: embryonic day 14.5 (more )
Structure Level Pattern Image Note
TS23: turbinate bone primordium Moderate Regionally restricted euxassay_003361_10
TS23: vibrissa Moderate Regionally restricted euxassay_003361_10
TS23: submandibular gland primordium Strong Regionally restricted euxassay_003361_10
TS23: tongue Moderate Regionally restricted euxassay_003361_10
TS23: thymus primordium Strong Regionally restricted euxassay_003361_10
TS23: lung Strong Regionally restricted euxassay_003361_10
TS23: liver Moderate Regionally restricted euxassay_003361_10
TS23: pancreas Strong Regionally restricted euxassay_003361_10
TS23: renal cortex Strong Regionally restricted euxassay_003361_10
TS23: adrenal gland Moderate Regionally restricted euxassay_003361_10
TS23: midgut loop Moderate Regionally restricted euxassay_003361_10
TS23: rib Moderate Regionally restricted euxassay_003361_10
TS23: 4th ventricle Moderate Regionally restricted euxassay_003361_10
TS23: telencephalon ventricular layer Moderate Regionally restricted euxassay_003361_10
TS23: 3rd ventricle Moderate Regionally restricted euxassay_003361_10

Specimen euxassay_003361_11: embryonic day 14.5 (more )
Structure Level Pattern Image Note
TS23: turbinate bone primordium Moderate Regionally restricted euxassay_003361_11
TS23: lower jaw incisor Strong Regionally restricted euxassay_003361_11
TS23: tongue Moderate Regionally restricted euxassay_003361_11
TS23: thymus primordium Strong Regionally restricted euxassay_003361_11
TS23: lung Strong Regionally restricted euxassay_003361_11
TS23: liver Moderate Regionally restricted euxassay_003361_11
TS23: pancreas Moderate Regionally restricted euxassay_003361_11
TS23: renal cortex Strong Regionally restricted euxassay_003361_11
TS23: glans of male genital tubercle Moderate Regionally restricted euxassay_003361_11
TS23: midgut loop Moderate Regionally restricted euxassay_003361_11
TS23: rib Moderate Regionally restricted euxassay_003361_11
TS23: 4th ventricle Moderate Regionally restricted euxassay_003361_11
TS23: 3rd ventricle Moderate Regionally restricted euxassay_003361_11
TS23: telencephalon ventricular layer Moderate Regionally restricted euxassay_003361_11

Specimen euxassay_003361_12: embryonic day 14.5 (more )
Structure Level Pattern Image Note
TS23: naris Strong Regionally restricted euxassay_003361_12
TS23: turbinate bone primordium Moderate Regionally restricted euxassay_003361_12
TS23: upper jaw incisor Strong Regionally restricted euxassay_003361_12
TS23: lower jaw incisor Strong Regionally restricted euxassay_003361_12
TS23: tongue Moderate Regionally restricted euxassay_003361_12
TS23: thymus primordium Strong Regionally restricted euxassay_003361_12
TS23: lung Strong Regionally restricted euxassay_003361_12
TS23: liver Moderate Regionally restricted euxassay_003361_12
TS23: glans of male genital tubercle Moderate Regionally restricted euxassay_003361_12
TS23: midgut Moderate Regionally restricted euxassay_003361_12
TS23: midgut loop Moderate Regionally restricted euxassay_003361_12
TS23: telencephalon ventricular layer Moderate Regionally restricted euxassay_003361_12
TS23: 3rd ventricle Moderate Regionally restricted euxassay_003361_12
TS23: 4th ventricle Moderate Regionally restricted euxassay_003361_12

Specimen euxassay_003361_13: embryonic day 14.5 (more )
Structure Level Pattern Image Note
TS23: naris Moderate Regionally restricted euxassay_003361_13
TS23: turbinate bone primordium Moderate Regionally restricted euxassay_003361_13
TS23: upper jaw incisor Moderate Regionally restricted euxassay_003361_13
TS23: lower jaw incisor Moderate Regionally restricted euxassay_003361_13
TS23: tongue Moderate Regionally restricted euxassay_003361_13
TS23: thymus primordium Strong Regionally restricted euxassay_003361_13
TS23: lung Strong Regionally restricted euxassay_003361_13
TS23: liver Moderate Regionally restricted euxassay_003361_13
TS23: glans of male genital tubercle Moderate Regionally restricted euxassay_003361_13
TS23: midgut Moderate Regionally restricted euxassay_003361_13
TS23: midgut loop Moderate Regionally restricted euxassay_003361_13
TS23: 4th ventricle Moderate Regionally restricted euxassay_003361_13
TS23: telencephalon ventricular layer Moderate Regionally restricted euxassay_003361_13
TS23: 3rd ventricle Moderate Regionally restricted euxassay_003361_13

Specimen euxassay_003361_14: embryonic day 14.5 (more )
Structure Level Pattern Image Note
TS23: naris Moderate Regionally restricted euxassay_003361_14
TS23: turbinate bone primordium Moderate Regionally restricted euxassay_003361_14
TS23: tongue Moderate Regionally restricted euxassay_003361_14
TS23: thymus primordium Strong Regionally restricted euxassay_003361_14
TS23: lung Strong Regionally restricted euxassay_003361_14
TS23: liver Moderate Regionally restricted euxassay_003361_14
TS23: glans of male genital tubercle Moderate Regionally restricted euxassay_003361_14
TS23: midgut Moderate Regionally restricted euxassay_003361_14
TS23: midgut loop Moderate Regionally restricted euxassay_003361_14
TS23: rib Moderate Regionally restricted euxassay_003361_14
TS23: 4th ventricle Moderate Regionally restricted euxassay_003361_14
TS23: telencephalon ventricular layer Moderate Regionally restricted euxassay_003361_14
TS23: 3rd ventricle Moderate Regionally restricted euxassay_003361_14

Specimen euxassay_003361_15: embryonic day 14.5 (more )
Structure Level Pattern Image Note
TS23: naris Weak Regionally restricted euxassay_003361_15
TS23: turbinate bone primordium Moderate Regionally restricted euxassay_003361_15
TS23: lower jaw incisor Moderate Regionally restricted euxassay_003361_15
TS23: tongue Moderate Regionally restricted euxassay_003361_15
TS23: cochlea Moderate Regionally restricted euxassay_003361_15
TS23: thymus primordium Strong Regionally restricted euxassay_003361_15
TS23: lung Strong Regionally restricted euxassay_003361_15
TS23: liver Moderate Regionally restricted euxassay_003361_15
TS23: pancreas Moderate Regionally restricted euxassay_003361_15
TS23: glans of male genital tubercle Moderate Regionally restricted euxassay_003361_15
TS23: midgut Moderate Regionally restricted euxassay_003361_15
TS23: midgut loop Moderate Regionally restricted euxassay_003361_15
TS23: rib Moderate Regionally restricted euxassay_003361_15
TS23: telencephalon ventricular layer Moderate Regionally restricted euxassay_003361_15
TS23: 4th ventricle Moderate Regionally restricted euxassay_003361_15

Specimen euxassay_003361_16: embryonic day 14.5 (more )
Structure Level Pattern Image Note
TS23: naris Moderate Regionally restricted euxassay_003361_16
TS23: turbinate bone primordium Moderate Regionally restricted euxassay_003361_16
TS23: upper jaw incisor Strong Regionally restricted euxassay_003361_16
TS23: lower jaw incisor Strong Regionally restricted euxassay_003361_16
TS23: submandibular gland primordium Strong Regionally restricted euxassay_003361_16
TS23: tongue Moderate Regionally restricted euxassay_003361_16
TS23: cochlea Moderate Regionally restricted euxassay_003361_16
TS23: lung Strong Regionally restricted euxassay_003361_16
TS23: liver Moderate Regionally restricted euxassay_003361_16
TS23: renal cortex Strong Regionally restricted euxassay_003361_16
TS23: glans of male genital tubercle Moderate Regionally restricted euxassay_003361_16
TS23: midgut Moderate Regionally restricted euxassay_003361_16
TS23: midgut loop Moderate Regionally restricted euxassay_003361_16
TS23: rib Moderate Regionally restricted euxassay_003361_16
TS23: 4th ventricle Moderate Regionally restricted euxassay_003361_16
TS23: telencephalon ventricular layer Moderate Regionally restricted euxassay_003361_16

Specimen euxassay_003361_17: embryonic day 14.5 (more )
Structure Level Pattern Image Note
TS23: naris Moderate Regionally restricted euxassay_003361_17
TS23: turbinate bone primordium Moderate Regionally restricted euxassay_003361_17
TS23: submandibular gland primordium Strong Regionally restricted euxassay_003361_17
TS23: tongue Moderate Regionally restricted euxassay_003361_17
TS23: cochlear duct Moderate Regionally restricted euxassay_003361_17
TS23: lung Strong Regionally restricted euxassay_003361_17
TS23: liver Moderate Regionally restricted euxassay_003361_17
TS23: renal cortex Strong Regionally restricted euxassay_003361_17
TS23: glans of male genital tubercle Moderate Regionally restricted euxassay_003361_17
TS23: adrenal gland Moderate Regionally restricted euxassay_003361_17
TS23: midgut loop Moderate Regionally restricted euxassay_003361_17
TS23: rib Moderate Regionally restricted euxassay_003361_17
TS23: telencephalon ventricular layer Moderate Regionally restricted euxassay_003361_17
TS23: 4th ventricle Moderate Regionally restricted euxassay_003361_17

Specimen euxassay_003361_18: embryonic day 14.5 (more )
Structure Level Pattern Image Note
TS23: naris Moderate Regionally restricted euxassay_003361_18
TS23: turbinate bone primordium Moderate Regionally restricted euxassay_003361_18
TS23: submandibular gland primordium Strong Regionally restricted euxassay_003361_18
TS23: cochlear duct Moderate Regionally restricted euxassay_003361_18
TS23: lung Strong Regionally restricted euxassay_003361_18
TS23: liver Moderate Regionally restricted euxassay_003361_18
TS23: renal cortex Strong Regionally restricted euxassay_003361_18
TS23: glans of male genital tubercle Moderate Regionally restricted euxassay_003361_18
TS23: adrenal gland Moderate Regionally restricted euxassay_003361_18
TS23: midgut loop Moderate Regionally restricted euxassay_003361_18
TS23: rib Moderate Regionally restricted euxassay_003361_18
TS23: 4th ventricle Moderate Regionally restricted euxassay_003361_18
TS23: telencephalon ventricular layer Moderate Regionally restricted euxassay_003361_18
TS23: upper jaw molar Moderate Regionally restricted euxassay_003361_18
TS23: lower jaw molar Moderate Regionally restricted euxassay_003361_18

Specimen euxassay_003361_19: embryonic day 14.5 (more )
Structure Level Pattern Image Note
TS23: naris Moderate Regionally restricted euxassay_003361_19
TS23: turbinate bone primordium Moderate Regionally restricted euxassay_003361_19
TS23: submandibular gland primordium Strong Regionally restricted euxassay_003361_19
TS23: lung Strong Regionally restricted euxassay_003361_19
TS23: liver Moderate Regionally restricted euxassay_003361_19
TS23: renal cortex Strong Regionally restricted euxassay_003361_19
TS23: adrenal gland Moderate Regionally restricted euxassay_003361_19
TS23: midgut loop Moderate Regionally restricted euxassay_003361_19
TS23: rib Moderate Regionally restricted euxassay_003361_19
TS23: telencephalon ventricular layer Moderate Regionally restricted euxassay_003361_19
TS23: 4th ventricle Moderate Regionally restricted euxassay_003361_19
TS23: upper jaw molar Moderate Regionally restricted euxassay_003361_19
TS23: lower jaw molar Moderate Regionally restricted euxassay_003361_19

Specimen euxassay_003361_20: embryonic day 14.5 (more )
Structure Level Pattern Image Note
TS23: turbinate bone primordium Moderate Regionally restricted euxassay_003361_20
TS23: lung Strong Regionally restricted euxassay_003361_20
TS23: liver Moderate Regionally restricted euxassay_003361_20
TS23: pancreas Strong Regionally restricted euxassay_003361_20
TS23: metanephros Moderate Regionally restricted euxassay_003361_20
TS23: renal cortex Moderate Regionally restricted euxassay_003361_20
TS23: midgut loop Moderate Regionally restricted euxassay_003361_20
TS23: rib Moderate Regionally restricted euxassay_003361_20
TS23: 4th ventricle Moderate Regionally restricted euxassay_003361_20
TS23: telencephalon ventricular layer Moderate Regionally restricted euxassay_003361_20
TS23: testis Moderate Regionally restricted euxassay_003361_20

Specimen euxassay_003361_21: embryonic day 14.5 (more )
Structure Level Pattern Image Note
TS23: vibrissa Moderate Regionally restricted euxassay_003361_21
TS23: lung Strong Regionally restricted euxassay_003361_21
TS23: liver Moderate Regionally restricted euxassay_003361_21
TS23: pancreas Strong Regionally restricted euxassay_003361_21
TS23: rib Moderate Regionally restricted euxassay_003361_21
TS23: telencephalon ventricular layer Moderate Regionally restricted euxassay_003361_21
TS23: testis Moderate Regionally restricted euxassay_003361_21

Specimen euxassay_003361_22: embryonic day 14.5 (more )
Structure Level Pattern Image Note
TS23: vibrissa Moderate Regionally restricted euxassay_003361_22
TS23: lung Strong Regionally restricted euxassay_003361_22
TS23: liver Moderate Regionally restricted euxassay_003361_22
TS23: rib Moderate Regionally restricted euxassay_003361_22
TS23: retina Moderate Regionally restricted euxassay_003361_22


Contributing Projects:
Mouse Genome Database (MGD), Gene Expression Database (GXD), Mouse Models of Human Cancer database (MMHCdb) (formerly Mouse Tumor Biology (MTB)), Gene Ontology (GO)
Citing These Resources
Funding Information
Warranty Disclaimer, Privacy Notice, Licensing, & Copyright
Send questions and comments to User Support.
last database update
01/20/2026
MGI 6.24
The Jackson Laboratory