About   Help   FAQ
Gene Expression Data
Assay Details
Assay
Reference: J:153498 Diez-Roux G, et al., A high-resolution anatomical atlas of the transcriptome in the mouse embryo. PLoS Biol. 2011;9(1):e1000582
Assay type: RNA in situ
MGI Accession ID: MGI:4823478
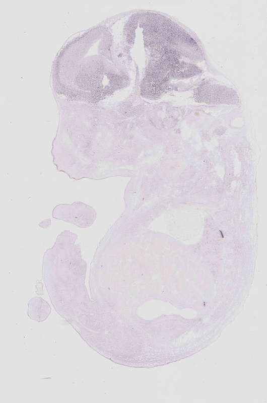
Gene symbol: Blcap
Gene name: bladder cancer associated protein
Probe: IMAGE clone 1531255
Probe preparation: Antisense labelled with digoxigenin RNA
Visualized with: Alkaline phosphatase
Assay notes: Cryosections of fresh frozen material were fixed in 4% paraformaldehyde for 20 min. before further processing. A tyramide-biotin/streptavidin amplification step was included in the in situ hybridization procedure.
Results
Specimen euxassay_005827_01: embryonic day 14.5 (more )
Structure Level Pattern Image Note
TS23: brain Moderate Regionally restricted euxassay_005827_01

Specimen euxassay_005827_02: embryonic day 14.5 (more )
Structure Level Pattern Image Note
TS23: brain Moderate Regionally restricted euxassay_005827_02

Specimen euxassay_005827_03: embryonic day 14.5 (more )
Structure Level Pattern Image Note
TS23: brain Moderate Regionally restricted euxassay_005827_03

Specimen euxassay_005827_04: embryonic day 14.5 (more )
Structure Level Pattern Image Note
TS23: brain Moderate Regionally restricted euxassay_005827_04

Specimen euxassay_005827_05: embryonic day 14.5 (more )
Structure Level Pattern Image Note
TS23: brain Moderate Regionally restricted euxassay_005827_05

Specimen euxassay_005827_06: embryonic day 14.5 (more )
Structure Level Pattern Image Note
TS23: brain Moderate Regionally restricted euxassay_005827_06
TS23: spinal cord Moderate Regionally restricted euxassay_005827_06

Specimen euxassay_005827_07: embryonic day 14.5 (more )
Structure Level Pattern Image Note
TS23: brain Moderate Regionally restricted euxassay_005827_07
TS23: spinal cord Moderate Regionally restricted euxassay_005827_07

Specimen euxassay_005827_08: embryonic day 14.5 (more )
Structure Level Pattern Image Note
TS23: brain Moderate Regionally restricted euxassay_005827_08
TS23: spinal cord Moderate Regionally restricted euxassay_005827_08

Specimen euxassay_005827_09: embryonic day 14.5 (more )
Structure Level Pattern Image Note
TS23: brain Moderate Regionally restricted euxassay_005827_09
TS23: spinal cord Moderate Regionally restricted euxassay_005827_09

Specimen euxassay_005827_10: embryonic day 14.5 (more )
Structure Level Pattern Image Note
TS23: spinal cord Moderate Regionally restricted euxassay_005827_10
TS23: brain Moderate Regionally restricted euxassay_005827_10

Specimen euxassay_005827_11: embryonic day 14.5 (more )
Structure Level Pattern Image Note
TS23: spinal cord Moderate Regionally restricted euxassay_005827_11
TS23: brain Moderate Regionally restricted euxassay_005827_11

Specimen euxassay_005827_12: embryonic day 14.5 (more )
Structure Level Pattern Image Note
TS23: spinal cord Moderate Regionally restricted euxassay_005827_12
TS23: brain Moderate Regionally restricted euxassay_005827_12

Specimen euxassay_005827_13: embryonic day 14.5 (more )
Structure Level Pattern Image Note
TS23: spinal cord Moderate Regionally restricted euxassay_005827_13
TS23: brain Moderate Regionally restricted euxassay_005827_13

Specimen euxassay_005827_14: embryonic day 14.5 (more )
Structure Level Pattern Image Note
TS23: spinal cord Moderate Regionally restricted euxassay_005827_14
TS23: brain Moderate Regionally restricted euxassay_005827_14

Specimen euxassay_005827_15: embryonic day 14.5 (more )
Structure Level Pattern Image Note
TS23: spinal cord Moderate Regionally restricted euxassay_005827_15
TS23: brain Moderate Regionally restricted euxassay_005827_15

Specimen euxassay_005827_16: embryonic day 14.5 (more )
Structure Level Pattern Image Note
TS23: brain Moderate Regionally restricted euxassay_005827_16

Specimen euxassay_005827_17: embryonic day 14.5 (more )
Structure Level Pattern Image Note
TS23: brain Moderate Regionally restricted euxassay_005827_17

Specimen euxassay_005827_18: embryonic day 14.5 (more )
Structure Level Pattern Image Note
TS23: brain Moderate Regionally restricted euxassay_005827_18

Specimen euxassay_005827_19: embryonic day 14.5 (more )
Structure Level Pattern Image Note
TS23: brain Moderate Regionally restricted euxassay_005827_19

Specimen euxassay_005827_20: embryonic day 14.5 (more )
Structure Level Pattern Image Note
TS23: brain Moderate Regionally restricted euxassay_005827_20

Specimen euxassay_005827_21: embryonic day 14.5 (more )
Structure Level Pattern Image Note
TS23: brain Moderate Regionally restricted euxassay_005827_21

Specimen euxassay_005827_22: embryonic day 14.5 (more )
Structure Level Pattern Image Note
TS23: brain Moderate Regionally restricted euxassay_005827_22

Specimen euxassay_005827_23: embryonic day 14.5 (more )
Structure Level Pattern Image Note
TS23: brain Moderate Regionally restricted euxassay_005827_23


Contributing Projects:
Mouse Genome Database (MGD), Gene Expression Database (GXD), Mouse Models of Human Cancer database (MMHCdb) (formerly Mouse Tumor Biology (MTB)), Gene Ontology (GO)
Citing These Resources
Funding Information
Warranty Disclaimer, Privacy Notice, Licensing, & Copyright
Send questions and comments to User Support.
last database update
12/30/2025
MGI 6.24
The Jackson Laboratory