About   Help   FAQ
Gene Expression Data
Assay Details
Assay
Reference: J:153498 Diez-Roux G, et al., A high-resolution anatomical atlas of the transcriptome in the mouse embryo. PLoS Biol. 2011;9(1):e1000582
Assay type: RNA in situ
MGI Accession ID: MGI:4823470
Gene symbol: Bhmt
Gene name: betaine-homocysteine methyltransferase
Probe: MGC clone 46866
Probe preparation: Antisense labelled with digoxigenin RNA
Visualized with: Alkaline phosphatase
Assay notes: Cryosections of fresh frozen material were fixed in 4% paraformaldehyde for 20 min. before further processing. A tyramide-biotin/streptavidin amplification step was included in the in situ hybridization procedure.
Results
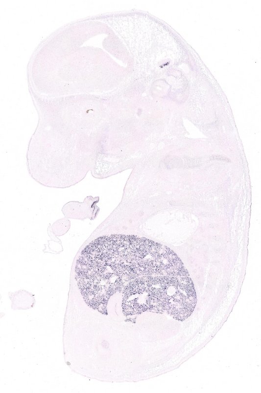
Specimen euxassay_001266_01: embryonic day 14.5 (more )
Structure Level Pattern Image Note
TS23: liver lobe Strong Regionally restricted euxassay_001266_01

Specimen euxassay_001266_02: embryonic day 14.5 (more )
Structure Level Pattern Image Note
TS23: liver lobe Strong Regionally restricted euxassay_001266_02

Specimen euxassay_001266_03: embryonic day 14.5 (more )
Structure Level Pattern Image Note
TS23: liver lobe Strong Regionally restricted euxassay_001266_03

Specimen euxassay_001266_04: embryonic day 14.5 (more )
Structure Level Pattern Image Note
TS23: liver lobe Strong Regionally restricted euxassay_001266_04

Specimen euxassay_001266_05: embryonic day 14.5 (more )
Structure Level Pattern Image Note
TS23: liver lobe Strong Regionally restricted euxassay_001266_05

Specimen euxassay_001266_06: embryonic day 14.5 (more )
Structure Level Pattern Image Note
TS23: liver lobe Strong Regionally restricted euxassay_001266_06

Specimen euxassay_001266_07: embryonic day 14.5 (more )
Structure Level Pattern Image Note
TS23: liver lobe Strong Regionally restricted euxassay_001266_07

Specimen euxassay_001266_08: embryonic day 14.5 (more )
Structure Level Pattern Image Note
TS23: liver lobe Strong Regionally restricted euxassay_001266_08

Specimen euxassay_001266_09: embryonic day 14.5 (more )
Structure Level Pattern Image Note
TS23: liver lobe Strong Regionally restricted euxassay_001266_09

Specimen euxassay_001266_10: embryonic day 14.5 (more )
Structure Level Pattern Image Note
TS23: liver lobe Strong Regionally restricted euxassay_001266_10

Specimen euxassay_001266_11: embryonic day 14.5 (more )
Structure Level Pattern Image Note
TS23: liver lobe Strong Regionally restricted euxassay_001266_11

Specimen euxassay_001266_12: embryonic day 14.5 (more )
Structure Level Pattern Image Note
TS23: liver lobe Strong Regionally restricted euxassay_001266_12

Specimen euxassay_001266_13: embryonic day 14.5 (more )
Structure Level Pattern Image Note
TS23: liver lobe Strong Regionally restricted euxassay_001266_13

Specimen euxassay_001266_14: embryonic day 14.5 (more )
Structure Level Pattern Image Note
TS23: liver lobe Strong Regionally restricted euxassay_001266_14

Specimen euxassay_001266_15: embryonic day 14.5 (more )
Structure Level Pattern Image Note
TS23: liver lobe Strong Regionally restricted euxassay_001266_15

Specimen euxassay_001266_16: embryonic day 14.5 (more )
Structure Level Pattern Image Note
TS23: liver lobe Strong Regionally restricted euxassay_001266_16

Specimen euxassay_001266_17: embryonic day 14.5 (more )
Structure Level Pattern Image Note
TS23: liver lobe Strong Regionally restricted euxassay_001266_17

Specimen euxassay_001266_18: embryonic day 14.5 (more )
Structure Level Pattern Image Note
TS23: liver lobe Strong Regionally restricted euxassay_001266_18

Specimen euxassay_001266_19: embryonic day 14.5 (more )
Structure Level Pattern Image Note
TS23: liver lobe Strong Regionally restricted euxassay_001266_19

Specimen euxassay_001266_20: embryonic day 14.5 (more )
Structure Level Pattern Image Note
TS23: liver lobe Strong Regionally restricted euxassay_001266_20

Specimen euxassay_001266_21: embryonic day 14.5 (more )
Structure Level Pattern Image Note
TS23: liver lobe Strong Regionally restricted euxassay_001266_21

Specimen euxassay_001266_22: embryonic day 14.5 (more )
Structure Level Pattern Image Note
TS23: liver lobe Strong Regionally restricted euxassay_001266_22

Specimen euxassay_001266_23: embryonic day 14.5 (more )
Structure Level Pattern Image Note
TS23: liver lobe Strong Regionally restricted euxassay_001266_23

Specimen euxassay_001266_24: embryonic day 14.5 (more )
Structure Level Pattern Image Note
TS23: liver lobe Strong Regionally restricted euxassay_001266_24


Contributing Projects:
Mouse Genome Database (MGD), Gene Expression Database (GXD), Mouse Models of Human Cancer database (MMHCdb) (formerly Mouse Tumor Biology (MTB)), Gene Ontology (GO)
Citing These Resources
Funding Information
Warranty Disclaimer, Privacy Notice, Licensing, & Copyright
Send questions and comments to User Support.
last database update
01/06/2026
MGI 6.24
The Jackson Laboratory