About   Help   FAQ
Gene Expression Data
Assay Details
Assay
Reference: J:153498 Diez-Roux G, et al., A high-resolution anatomical atlas of the transcriptome in the mouse embryo. PLoS Biol. 2011;9(1):e1000582
Assay type: RNA in situ
MGI Accession ID: MGI:4823466
Gene symbol: Bhlhb9
Gene name: basic helix-loop-helix domain containing, class B9
Probe: T30710
Probe preparation: Antisense labelled with digoxigenin RNA
Visualized with: Alkaline phosphatase
Assay notes: Cryosections of fresh frozen material were fixed in 4% paraformaldehyde for 20 min. before further processing. A tyramide-biotin/streptavidin amplification step was included in the in situ hybridization procedure.
Results
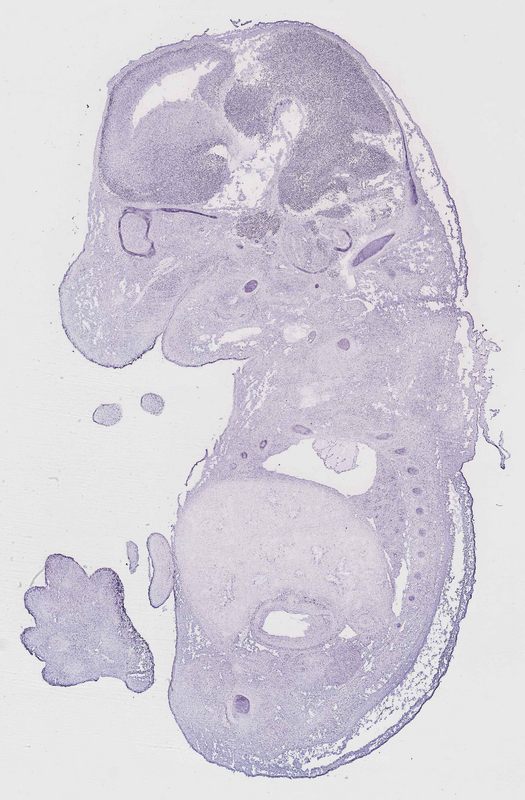
Specimen euxassay_012088_01: embryonic day 14.5 (more )
Structure Level Pattern Image Note
TS23: humerus Moderate Regionally restricted euxassay_012088_01
TS23: tibia Moderate Regionally restricted euxassay_012088_01
TS23: fibula Moderate Regionally restricted euxassay_012088_01
TS23: neural retina Weak Regionally restricted euxassay_012088_01
TS23: orbito-sphenoid Moderate Regionally restricted euxassay_012088_01
TS23: exoccipital bone Moderate Regionally restricted euxassay_012088_01
TS23: temporal bone Moderate Regionally restricted euxassay_012088_01
TS23: brain Moderate Regionally restricted euxassay_012088_01

Specimen euxassay_012088_02: embryonic day 14.5 (more )
Structure Level Pattern Image Note
TS23: humerus Moderate Regionally restricted euxassay_012088_02
TS23: tibia Moderate Regionally restricted euxassay_012088_02
TS23: neural retina Weak Regionally restricted euxassay_012088_02
TS23: orbito-sphenoid Strong Regionally restricted euxassay_012088_02
TS23: temporal bone Strong Regionally restricted euxassay_012088_02
TS23: exoccipital bone Strong Regionally restricted euxassay_012088_02
TS23: brain Moderate Regionally restricted euxassay_012088_02

Specimen euxassay_012088_03: embryonic day 14.5 (more )
Structure Level Pattern Image Note
TS23: humerus Weak Regionally restricted euxassay_012088_03
TS23: neural retina Weak Regionally restricted euxassay_012088_03
TS23: orbito-sphenoid Moderate Regionally restricted euxassay_012088_03
TS23: temporal bone Moderate Regionally restricted euxassay_012088_03
TS23: exoccipital bone Moderate Regionally restricted euxassay_012088_03
TS23: Meckel's cartilage Weak Regionally restricted euxassay_012088_03
TS23: trigeminal ganglion Moderate Regionally restricted euxassay_012088_03
TS23: brain Moderate Regionally restricted euxassay_012088_03

Specimen euxassay_012088_04: embryonic day 14.5 (more )
Structure Level Pattern Image Note
TS23: humerus Weak Regionally restricted euxassay_012088_04
TS23: scapula Weak Regionally restricted euxassay_012088_04
TS23: temporal bone Weak Regionally restricted euxassay_012088_04
TS23: exoccipital bone Weak Regionally restricted euxassay_012088_04
TS23: Meckel's cartilage Weak Regionally restricted euxassay_012088_04
TS23: trigeminal ganglion Moderate Regionally restricted euxassay_012088_04
TS23: facial ganglion Moderate Regionally restricted euxassay_012088_04
TS23: brain Moderate Regionally restricted euxassay_012088_04

Specimen euxassay_012088_05: embryonic day 14.5 (more )
Structure Level Pattern Image Note
TS23: humerus Weak Regionally restricted euxassay_012088_05
TS23: scapula Weak Regionally restricted euxassay_012088_05
TS23: orbito-sphenoid Moderate Regionally restricted euxassay_012088_05
TS23: temporal bone Moderate Regionally restricted euxassay_012088_05
TS23: exoccipital bone Moderate Regionally restricted euxassay_012088_05
TS23: Meckel's cartilage Moderate Regionally restricted euxassay_012088_05
TS23: rib Weak Regionally restricted euxassay_012088_05
TS23: trigeminal ganglion Moderate Regionally restricted euxassay_012088_05
TS23: facial ganglion Moderate Regionally restricted euxassay_012088_05
TS23: brain Moderate Regionally restricted euxassay_012088_05

Specimen euxassay_012088_06: embryonic day 14.5 (more )
Structure Level Pattern Image Note
TS23: turbinate bone primordium Moderate Regionally restricted euxassay_012088_06
TS23: orbito-sphenoid Moderate Regionally restricted euxassay_012088_06
TS23: temporal bone Moderate Regionally restricted euxassay_012088_06
TS23: exoccipital bone Moderate Regionally restricted euxassay_012088_06
TS23: Meckel's cartilage Moderate Regionally restricted euxassay_012088_06
TS23: rib Weak Regionally restricted euxassay_012088_06
TS23: trigeminal ganglion Moderate Regionally restricted euxassay_012088_06
TS23: brain Moderate Regionally restricted euxassay_012088_06

Specimen euxassay_012088_07: embryonic day 14.5 (more )
Structure Level Pattern Image Note
TS23: turbinate bone primordium Weak Regionally restricted euxassay_012088_07
TS23: exoccipital bone Weak Regionally restricted euxassay_012088_07
TS23: Meckel's cartilage Moderate Regionally restricted euxassay_012088_07
TS23: rib Weak Regionally restricted euxassay_012088_07
TS23: trigeminal ganglion Moderate Regionally restricted euxassay_012088_07
TS23: brain Moderate Regionally restricted euxassay_012088_07

Specimen euxassay_012088_08: embryonic day 14.5 (more )
Structure Level Pattern Image Note
TS23: turbinate bone primordium Weak Regionally restricted euxassay_012088_08
TS23: Meckel's cartilage Moderate Regionally restricted euxassay_012088_08
TS23: otic capsule Weak Regionally restricted euxassay_012088_08
TS23: rib Weak Regionally restricted euxassay_012088_08
TS23: trigeminal ganglion Moderate Regionally restricted euxassay_012088_08
TS23: vagus ganglion Moderate Regionally restricted euxassay_012088_08
TS23: dorsal root ganglion Moderate Regionally restricted euxassay_012088_08
TS23: brain Moderate Regionally restricted euxassay_012088_08
TS23: submandibular gland primordium Weak Regionally restricted euxassay_012088_08

Specimen euxassay_012088_09: embryonic day 14.5 (more )
Structure Level Pattern Image Note
TS23: pelvic girdle skeleton Moderate Regionally restricted euxassay_012088_09
TS23: basioccipital bone Weak Regionally restricted euxassay_012088_09
TS23: turbinate bone primordium Weak Regionally restricted euxassay_012088_09
TS23: Meckel's cartilage Weak Regionally restricted euxassay_012088_09
TS23: otic capsule Weak Regionally restricted euxassay_012088_09
TS23: axial skeleton Moderate Regionally restricted euxassay_012088_09
TS23: rib Moderate Regionally restricted euxassay_012088_09
TS23: trigeminal nerve Weak Regionally restricted euxassay_012088_09
TS23: dorsal root ganglion Moderate Regionally restricted euxassay_012088_09
TS23: brain Moderate Regionally restricted euxassay_012088_09
TS23: spinal cord Moderate Regionally restricted euxassay_012088_09
TS23: submandibular gland primordium Weak Regionally restricted euxassay_012088_09

Specimen euxassay_012088_10: embryonic day 14.5 (more )
Structure Level Pattern Image Note
TS23: pelvic girdle skeleton Moderate Regionally restricted euxassay_012088_10
TS23: basisphenoid bone Moderate Regionally restricted euxassay_012088_10
TS23: basioccipital bone Moderate Regionally restricted euxassay_012088_10
TS23: axial skeleton Moderate Regionally restricted euxassay_012088_10
TS23: rib Moderate Regionally restricted euxassay_012088_10
TS23: dorsal root ganglion Moderate Regionally restricted euxassay_012088_10
TS23: spinal cord Moderate Regionally restricted euxassay_012088_10
TS23: brain Moderate Regionally restricted euxassay_012088_10

Specimen euxassay_012088_11: embryonic day 14.5 (more )
Structure Level Pattern Image Note
TS23: basisphenoid bone Moderate Regionally restricted euxassay_012088_11
TS23: basioccipital bone Moderate Regionally restricted euxassay_012088_11
TS23: Meckel's cartilage Weak Regionally restricted euxassay_012088_11
TS23: axial skeleton Moderate Regionally restricted euxassay_012088_11
TS23: rib Moderate Regionally restricted euxassay_012088_11
TS23: spinal cord Moderate Regionally restricted euxassay_012088_11
TS23: brain Moderate Regionally restricted euxassay_012088_11

Specimen euxassay_012088_12: embryonic day 14.5 (more )
Structure Level Pattern Image Note
TS23: basioccipital bone Weak Regionally restricted euxassay_012088_12
TS23: basisphenoid bone Weak Regionally restricted euxassay_012088_12
TS23: axial skeleton Weak Regionally restricted euxassay_012088_12
TS23: spinal cord Moderate Regionally restricted euxassay_012088_12
TS23: brain Moderate Regionally restricted euxassay_012088_12

Specimen euxassay_012088_13: embryonic day 14.5 (more )
Structure Level Pattern Image Note
TS23: basisphenoid bone Moderate Regionally restricted euxassay_012088_13
TS23: basioccipital bone Moderate Regionally restricted euxassay_012088_13
TS23: Meckel's cartilage Weak Regionally restricted euxassay_012088_13
TS23: axial skeleton Moderate Regionally restricted euxassay_012088_13
TS23: spinal cord Moderate Regionally restricted euxassay_012088_13
TS23: brain Moderate Regionally restricted euxassay_012088_13

Specimen euxassay_012088_14: embryonic day 14.5 (more )
Structure Level Pattern Image Note
TS23: basisphenoid bone Moderate Regionally restricted euxassay_012088_14
TS23: basioccipital bone Moderate Regionally restricted euxassay_012088_14
TS23: Meckel's cartilage Weak Regionally restricted euxassay_012088_14
TS23: axial skeleton Moderate Regionally restricted euxassay_012088_14
TS23: spinal cord Moderate Regionally restricted euxassay_012088_14
TS23: brain Moderate Regionally restricted euxassay_012088_14

Specimen euxassay_012088_15: embryonic day 14.5 (more )
Structure Level Pattern Image Note
TS23: basioccipital bone Weak Regionally restricted euxassay_012088_15
TS23: Meckel's cartilage Weak Regionally restricted euxassay_012088_15
TS23: rib Weak Regionally restricted euxassay_012088_15
TS23: axial skeleton Weak Regionally restricted euxassay_012088_15
TS23: dorsal root ganglion Moderate Regionally restricted euxassay_012088_15
TS23: spinal cord Moderate Regionally restricted euxassay_012088_15
TS23: brain Moderate Regionally restricted euxassay_012088_15

Specimen euxassay_012088_16: embryonic day 14.5 (more )
Structure Level Pattern Image Note
TS23: pelvic girdle skeleton Moderate Regionally restricted euxassay_012088_16
TS23: basioccipital bone Weak Regionally restricted euxassay_012088_16
TS23: otic capsule Weak Regionally restricted euxassay_012088_16
TS23: rib Weak Regionally restricted euxassay_012088_16
TS23: axial skeleton Weak Regionally restricted euxassay_012088_16
TS23: trigeminal nerve Weak Regionally restricted euxassay_012088_16
TS23: trigeminal ganglion Weak Regionally restricted euxassay_012088_16
TS23: dorsal root ganglion Weak Regionally restricted euxassay_012088_16
TS23: spinal cord Moderate Regionally restricted euxassay_012088_16
TS23: brain Moderate Regionally restricted euxassay_012088_16

Specimen euxassay_012088_17: embryonic day 14.5 (more )
Structure Level Pattern Image Note
TS23: trigeminal ganglion Weak Regionally restricted euxassay_012088_17
TS23: vagus ganglion Weak Regionally restricted euxassay_012088_17
TS23: dorsal root ganglion Moderate Regionally restricted euxassay_012088_17
TS23: spinal cord Moderate Regionally restricted euxassay_012088_17
TS23: brain Moderate Regionally restricted euxassay_012088_17
TS23: submandibular gland primordium Moderate Regionally restricted euxassay_012088_17

Specimen euxassay_012088_18: embryonic day 14.5 (more )
Structure Level Pattern Image Note
TS23: glossopharyngeal ganglion Moderate Regionally restricted euxassay_012088_18
TS23: trigeminal ganglion Moderate Regionally restricted euxassay_012088_18
TS23: dorsal root ganglion Moderate Regionally restricted euxassay_012088_18
TS23: brain Moderate Regionally restricted euxassay_012088_18
TS23: submandibular gland primordium Moderate Regionally restricted euxassay_012088_18

Specimen euxassay_012088_19: embryonic day 14.5 (more )
Structure Level Pattern Image Note
TS23: trigeminal ganglion Moderate Regionally restricted euxassay_012088_19
TS23: facial ganglion Moderate Regionally restricted euxassay_012088_19
TS23: brain Moderate Regionally restricted euxassay_012088_19
TS23: submandibular gland primordium Moderate Regionally restricted euxassay_012088_19

Specimen euxassay_012088_20: embryonic day 14.5 (more )
Structure Level Pattern Image Note
TS23: trigeminal ganglion Moderate Regionally restricted euxassay_012088_20
TS23: facial ganglion Moderate Regionally restricted euxassay_012088_20
TS23: brain Moderate Regionally restricted euxassay_012088_20

Specimen euxassay_012088_21: embryonic day 14.5 (more )
Structure Level Pattern Image Note
TS23: trigeminal ganglion Moderate Regionally restricted euxassay_012088_21
TS23: brain Moderate Regionally restricted euxassay_012088_21

Specimen euxassay_012088_22: embryonic day 14.5 (more )
Structure Level Pattern Image Note
TS23: neural retina Weak Regionally restricted euxassay_012088_22
TS23: brain Moderate Regionally restricted euxassay_012088_22

Specimen euxassay_012088_23: embryonic day 14.5 (more )
Structure Level Pattern Image Note
TS23: neural retina Weak Regionally restricted euxassay_012088_23
TS23: brain Moderate Regionally restricted euxassay_012088_23

Specimen euxassay_012088_24: embryonic day 14.5 (more )
Structure Level Pattern Image Note
TS23: neural retina Weak Regionally restricted euxassay_012088_24
TS23: brain Moderate Regionally restricted euxassay_012088_24


Contributing Projects:
Mouse Genome Database (MGD), Gene Expression Database (GXD), Mouse Models of Human Cancer database (MMHCdb) (formerly Mouse Tumor Biology (MTB)), Gene Ontology (GO)
Citing These Resources
Funding Information
Warranty Disclaimer, Privacy Notice, Licensing, & Copyright
Send questions and comments to User Support.
last database update
01/06/2026
MGI 6.24
The Jackson Laboratory