About   Help   FAQ
Gene Expression Data
Assay Details
Assay
Reference: J:153498 Diez-Roux G, et al., A high-resolution anatomical atlas of the transcriptome in the mouse embryo. PLoS Biol. 2011;9(1):e1000582
Assay type: RNA in situ
MGI Accession ID: MGI:4823460
Gene symbol: Bex2
Gene name: brain expressed X-linked 2
Probe: T31117
Probe preparation: Antisense labelled with digoxigenin RNA
Visualized with: Alkaline phosphatase
Assay notes: Cryosections of fresh frozen material were fixed in 4% paraformaldehyde for 20 min. before further processing. A tyramide-biotin/streptavidin amplification step was included in the in situ hybridization procedure.
Results
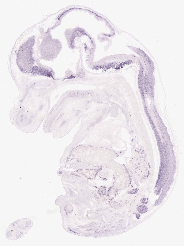
Specimen euxassay_009948_01: embryonic day 14.5 (more )
Structure Level Pattern Image Note
TS23: liver Moderate Regionally restricted euxassay_009948_01
TS23: vertebral axis musculature Moderate Regionally restricted euxassay_009948_01
TS23: upper arm muscle Moderate Regionally restricted euxassay_009948_01
TS23: upper leg muscle Moderate Regionally restricted euxassay_009948_01
TS23: lower leg rest of mesenchyme Moderate Regionally restricted euxassay_009948_01
TS23: brain Strong Regionally restricted euxassay_009948_01
TS23: neural retina Strong Regionally restricted euxassay_009948_01

Specimen euxassay_009948_02: embryonic day 14.5 (more )
Structure Level Pattern Image Note
TS23: liver Moderate Regionally restricted euxassay_009948_02
TS23: vertebral axis musculature Moderate Regionally restricted euxassay_009948_02
TS23: left lung Strong Regionally restricted euxassay_009948_02
TS23: upper arm muscle Moderate Regionally restricted euxassay_009948_02
TS23: upper leg muscle Moderate Regionally restricted euxassay_009948_02
TS23: brain Strong Regionally restricted euxassay_009948_02
TS23: neural retina Strong Regionally restricted euxassay_009948_02

Specimen euxassay_009948_03: embryonic day 14.5 (more )
Structure Level Pattern Image Note
TS23: liver Moderate Regionally restricted euxassay_009948_03
TS23: vertebral axis musculature Moderate Regionally restricted euxassay_009948_03
TS23: seminiferous cord Moderate Regionally restricted euxassay_009948_03
TS23: left lung Strong Regionally restricted euxassay_009948_03
TS23: upper arm muscle Moderate Regionally restricted euxassay_009948_03
TS23: upper leg muscle Weak Regionally restricted euxassay_009948_03
TS23: brain Strong Regionally restricted euxassay_009948_03
TS23: trigeminal ganglion Strong Regionally restricted euxassay_009948_03
TS23: neural retina Strong Regionally restricted euxassay_009948_03

Specimen euxassay_009948_04: embryonic day 14.5 (more )
Structure Level Pattern Image Note
TS23: liver Moderate Regionally restricted euxassay_009948_04
TS23: vertebral axis musculature Moderate Regionally restricted euxassay_009948_04
TS23: seminiferous cord Moderate Regionally restricted euxassay_009948_04
TS23: left lung Strong Regionally restricted euxassay_009948_04
TS23: upper arm muscle Moderate Regionally restricted euxassay_009948_04
TS23: upper leg muscle Weak Regionally restricted euxassay_009948_04
TS23: brain Strong Regionally restricted euxassay_009948_04
TS23: trigeminal ganglion Strong Regionally restricted euxassay_009948_04
TS23: facial ganglion Strong Regionally restricted euxassay_009948_04

Specimen euxassay_009948_05: embryonic day 14.5 (more )
Structure Level Pattern Image Note
TS23: liver Strong Regionally restricted euxassay_009948_05
TS23: vertebral axis musculature Moderate Regionally restricted euxassay_009948_05
TS23: seminiferous cord Strong Spotted euxassay_009948_05
TS23: metanephros Weak Regionally restricted euxassay_009948_05
TS23: left lung Strong Regionally restricted euxassay_009948_05
TS23: upper arm muscle Moderate Regionally restricted euxassay_009948_05
TS23: brain Strong Regionally restricted euxassay_009948_05
TS23: trigeminal ganglion Strong Regionally restricted euxassay_009948_05
TS23: vestibulo-cochlear ganglion Strong Regionally restricted euxassay_009948_05
TS23: facial ganglion Strong Regionally restricted euxassay_009948_05

Specimen euxassay_009948_06: embryonic day 14.5 (more )
Structure Level Pattern Image Note
TS23: liver Strong Regionally restricted euxassay_009948_06
TS23: vertebral axis musculature Moderate Regionally restricted euxassay_009948_06
TS23: seminiferous cord Strong Spotted euxassay_009948_06
TS23: metanephros Weak Regionally restricted euxassay_009948_06
TS23: stomach Moderate Regionally restricted euxassay_009948_06
TS23: left lung Strong Regionally restricted euxassay_009948_06
TS23: tail paraxial mesenchyme Moderate Regionally restricted euxassay_009948_06
TS23: brain Strong Regionally restricted euxassay_009948_06
TS23: trigeminal ganglion Strong Regionally restricted euxassay_009948_06
TS23: vestibulo-cochlear ganglion Strong Regionally restricted euxassay_009948_06
TS23: facial ganglion Strong Regionally restricted euxassay_009948_06
TS23: dorsal root ganglion Strong Regionally restricted euxassay_009948_06

Specimen euxassay_009948_07: embryonic day 14.5 (more )
Structure Level Pattern Image Note
TS23: liver Strong Regionally restricted euxassay_009948_07
TS23: vertebral axis musculature Moderate Regionally restricted euxassay_009948_07
TS23: metanephros Moderate Regionally restricted euxassay_009948_07
TS23: pancreas Strong Regionally restricted euxassay_009948_07
TS23: stomach Moderate Regionally restricted euxassay_009948_07
TS23: left lung Strong Regionally restricted euxassay_009948_07
TS23: tail paraxial mesenchyme Moderate Regionally restricted euxassay_009948_07
TS23: brain Strong Regionally restricted euxassay_009948_07
TS23: spinal cord Strong Regionally restricted euxassay_009948_07
TS23: glossopharyngeal ganglion Strong Regionally restricted euxassay_009948_07
TS23: trigeminal ganglion Strong Regionally restricted euxassay_009948_07
TS23: vestibulo-cochlear ganglion Strong Regionally restricted euxassay_009948_07
TS23: facial ganglion Strong Regionally restricted euxassay_009948_07
TS23: dorsal root ganglion Strong Regionally restricted euxassay_009948_07

Specimen euxassay_009948_08: embryonic day 14.5 (more )
Structure Level Pattern Image Note
TS23: liver Strong Regionally restricted euxassay_009948_08
TS23: vertebral axis musculature Moderate Regionally restricted euxassay_009948_08
TS23: pancreas Strong Regionally restricted euxassay_009948_08
TS23: stomach Moderate Regionally restricted euxassay_009948_08
TS23: left lung Strong Regionally restricted euxassay_009948_08
TS23: tail paraxial mesenchyme Weak Regionally restricted euxassay_009948_08
TS23: brain Strong Regionally restricted euxassay_009948_08
TS23: spinal cord Strong Regionally restricted euxassay_009948_08
TS23: vagus ganglion Strong Regionally restricted euxassay_009948_08
TS23: trigeminal ganglion Strong Regionally restricted euxassay_009948_08
TS23: cervical ganglion Strong Regionally restricted euxassay_009948_08
TS23: dorsal root ganglion Strong Regionally restricted euxassay_009948_08
TS23: olfactory epithelium Moderate Regionally restricted euxassay_009948_08

Specimen euxassay_009948_09: embryonic day 14.5 (more )
Structure Level Pattern Image Note
TS23: liver Strong Regionally restricted euxassay_009948_09
TS23: vertebral axis musculature Moderate Regionally restricted euxassay_009948_09
TS23: pancreas Strong Regionally restricted euxassay_009948_09
TS23: stomach Moderate Regionally restricted euxassay_009948_09
TS23: left lung Strong Regionally restricted euxassay_009948_09
TS23: tail paraxial mesenchyme Weak Regionally restricted euxassay_009948_09
TS23: brain Strong Regionally restricted euxassay_009948_09
TS23: spinal cord Strong Regionally restricted euxassay_009948_09
TS23: trigeminal nerve Strong Regionally restricted euxassay_009948_09
TS23: trigeminal ganglion Strong Regionally restricted euxassay_009948_09
TS23: cervical ganglion Strong Regionally restricted euxassay_009948_09
TS23: cervico-thoracic ganglion Strong Regionally restricted euxassay_009948_09
TS23: dorsal root ganglion Strong Regionally restricted euxassay_009948_09
TS23: olfactory epithelium Moderate Regionally restricted euxassay_009948_09

Specimen euxassay_009948_10: embryonic day 14.5 (more )
Structure Level Pattern Image Note
TS23: liver Strong Regionally restricted euxassay_009948_10
TS23: vertebral axis musculature Moderate Regionally restricted euxassay_009948_10
TS23: pancreas Strong Regionally restricted euxassay_009948_10
TS23: bladder Strong Regionally restricted euxassay_009948_10
TS23: left lung Strong Regionally restricted euxassay_009948_10
TS23: tail paraxial mesenchyme Weak Regionally restricted euxassay_009948_10
TS23: tongue muscle Weak Regionally restricted euxassay_009948_10
TS23: brain Strong Regionally restricted euxassay_009948_10
TS23: spinal cord Strong Regionally restricted euxassay_009948_10
TS23: thoracic ganglion Strong Regionally restricted euxassay_009948_10
TS23: cervico-thoracic ganglion Strong Regionally restricted euxassay_009948_10
TS23: dorsal root ganglion Strong Regionally restricted euxassay_009948_10
TS23: olfactory epithelium Moderate Regionally restricted euxassay_009948_10

Specimen euxassay_009948_11: embryonic day 14.5 (more )
Structure Level Pattern Image Note
TS23: liver Strong Regionally restricted euxassay_009948_11
TS23: vertebral axis musculature Moderate Regionally restricted euxassay_009948_11
TS23: pancreas Strong Regionally restricted euxassay_009948_11
TS23: bladder Strong Regionally restricted euxassay_009948_11
TS23: right lung Strong Regionally restricted euxassay_009948_11
TS23: tail paraxial mesenchyme Weak Regionally restricted euxassay_009948_11
TS23: tongue muscle Weak Regionally restricted euxassay_009948_11
TS23: brain Strong Regionally restricted euxassay_009948_11
TS23: spinal cord Strong Regionally restricted euxassay_009948_11
TS23: thoracic ganglion Strong Regionally restricted euxassay_009948_11
TS23: dorsal root ganglion Strong Regionally restricted euxassay_009948_11
TS23: olfactory epithelium Moderate Regionally restricted euxassay_009948_11

Specimen euxassay_009948_12: embryonic day 14.5 (more )
Structure Level Pattern Image Note
TS23: liver Strong Regionally restricted euxassay_009948_12
TS23: vertebral axis musculature Moderate Regionally restricted euxassay_009948_12
TS23: pancreas Strong Regionally restricted euxassay_009948_12
TS23: midgut Moderate Regionally restricted euxassay_009948_12
TS23: bladder Strong Regionally restricted euxassay_009948_12
TS23: right lung Strong Regionally restricted euxassay_009948_12
TS23: tail paraxial mesenchyme Weak Regionally restricted euxassay_009948_12
TS23: tongue muscle Moderate Regionally restricted euxassay_009948_12
TS23: brain Strong Regionally restricted euxassay_009948_12
TS23: spinal cord Strong Regionally restricted euxassay_009948_12
TS23: thoracic ganglion Strong Regionally restricted euxassay_009948_12
TS23: dorsal root ganglion Strong Regionally restricted euxassay_009948_12
TS23: olfactory epithelium Moderate Regionally restricted euxassay_009948_12
TS23: vomeronasal organ Moderate Regionally restricted euxassay_009948_12

Specimen euxassay_009948_13: embryonic day 14.5 (more )
Structure Level Pattern Image Note
TS23: liver Strong Regionally restricted euxassay_009948_13
TS23: vertebral axis musculature Moderate Regionally restricted euxassay_009948_13
TS23: metanephros Moderate Regionally restricted euxassay_009948_13
TS23: pancreas Strong Regionally restricted euxassay_009948_13
TS23: midgut Strong Regionally restricted euxassay_009948_13
TS23: right lung Strong Regionally restricted euxassay_009948_13
TS23: tail paraxial mesenchyme Moderate Regionally restricted euxassay_009948_13
TS23: tongue muscle Moderate Regionally restricted euxassay_009948_13
TS23: brain Strong Regionally restricted euxassay_009948_13
TS23: spinal cord Strong Regionally restricted euxassay_009948_13
TS23: cervico-thoracic ganglion Strong Regionally restricted euxassay_009948_13
TS23: dorsal root ganglion Strong Regionally restricted euxassay_009948_13

Specimen euxassay_009948_14: embryonic day 14.5 (more )
Structure Level Pattern Image Note
TS23: liver Strong Regionally restricted euxassay_009948_14
TS23: vertebral axis musculature Moderate Regionally restricted euxassay_009948_14
TS23: metanephros Moderate Regionally restricted euxassay_009948_14
TS23: pancreas Strong Regionally restricted euxassay_009948_14
TS23: midgut Strong Regionally restricted euxassay_009948_14
TS23: right lung Strong Regionally restricted euxassay_009948_14
TS23: tail paraxial mesenchyme Moderate Regionally restricted euxassay_009948_14
TS23: tongue muscle Moderate Regionally restricted euxassay_009948_14
TS23: brain Strong Regionally restricted euxassay_009948_14
TS23: spinal cord Strong Regionally restricted euxassay_009948_14
TS23: cervico-thoracic ganglion Strong Regionally restricted euxassay_009948_14
TS23: dorsal root ganglion Strong Regionally restricted euxassay_009948_14
TS23: olfactory epithelium Moderate Regionally restricted euxassay_009948_14

Specimen euxassay_009948_15: embryonic day 14.5 (more )
Structure Level Pattern Image Note
TS23: liver Strong Regionally restricted euxassay_009948_15
TS23: vertebral axis musculature Moderate Regionally restricted euxassay_009948_15
TS23: metanephros Weak Regionally restricted euxassay_009948_15
TS23: pancreas Strong Regionally restricted euxassay_009948_15
TS23: midgut Moderate Regionally restricted euxassay_009948_15
TS23: right lung Strong Regionally restricted euxassay_009948_15
TS23: upper leg muscle Weak Regionally restricted euxassay_009948_15
TS23: tail paraxial mesenchyme Moderate Regionally restricted euxassay_009948_15
TS23: tongue muscle Weak Regionally restricted euxassay_009948_15
TS23: brain Strong Regionally restricted euxassay_009948_15
TS23: spinal cord Strong Regionally restricted euxassay_009948_15
TS23: cervico-thoracic ganglion Strong Regionally restricted euxassay_009948_15
TS23: dorsal root ganglion Strong Regionally restricted euxassay_009948_15
TS23: olfactory epithelium Moderate Regionally restricted euxassay_009948_15
TS23: vomeronasal organ Moderate Regionally restricted euxassay_009948_15

Specimen euxassay_009948_16: embryonic day 14.5 (more )
Structure Level Pattern Image Note
TS23: liver Strong Regionally restricted euxassay_009948_16
TS23: vertebral axis musculature Moderate Regionally restricted euxassay_009948_16
TS23: seminiferous cord Strong Spotted euxassay_009948_16
TS23: midgut Moderate Regionally restricted euxassay_009948_16
TS23: right lung Strong Regionally restricted euxassay_009948_16
TS23: upper leg muscle Weak Regionally restricted euxassay_009948_16
TS23: tail paraxial mesenchyme Moderate Regionally restricted euxassay_009948_16
TS23: brain Strong Regionally restricted euxassay_009948_16
TS23: spinal cord Strong Regionally restricted euxassay_009948_16
TS23: cervical ganglion Strong Regionally restricted euxassay_009948_16
TS23: cervico-thoracic ganglion Strong Regionally restricted euxassay_009948_16
TS23: dorsal root ganglion Strong Regionally restricted euxassay_009948_16
TS23: olfactory epithelium Moderate Regionally restricted euxassay_009948_16

Specimen euxassay_009948_17: embryonic day 14.5 (more )
Structure Level Pattern Image Note
TS23: liver Strong Regionally restricted euxassay_009948_17
TS23: vertebral axis musculature Moderate Regionally restricted euxassay_009948_17
TS23: seminiferous cord Strong Spotted euxassay_009948_17
TS23: midgut Moderate Regionally restricted euxassay_009948_17
TS23: right lung Strong Regionally restricted euxassay_009948_17
TS23: upper leg muscle Moderate Regionally restricted euxassay_009948_17
TS23: brain Strong Regionally restricted euxassay_009948_17
TS23: trigeminal ganglion Strong Regionally restricted euxassay_009948_17
TS23: trigeminal nerve Strong Regionally restricted euxassay_009948_17
TS23: cervical ganglion Strong Regionally restricted euxassay_009948_17
TS23: dorsal root ganglion Strong Regionally restricted euxassay_009948_17
TS23: olfactory epithelium Strong Regionally restricted euxassay_009948_17

Specimen euxassay_009948_18: embryonic day 14.5 (more )
Structure Level Pattern Image Note
TS23: liver Strong Regionally restricted euxassay_009948_18
TS23: vertebral axis musculature Moderate Regionally restricted euxassay_009948_18
TS23: seminiferous cord Strong Spotted euxassay_009948_18
TS23: midgut Moderate Regionally restricted euxassay_009948_18
TS23: right lung Strong Regionally restricted euxassay_009948_18
TS23: upper leg muscle Moderate Regionally restricted euxassay_009948_18
TS23: brain Strong Regionally restricted euxassay_009948_18
TS23: trigeminal ganglion Strong Regionally restricted euxassay_009948_18
TS23: vagus ganglion Strong Regionally restricted euxassay_009948_18
TS23: vestibulo-cochlear ganglion Strong Regionally restricted euxassay_009948_18
TS23: glossopharyngeal ganglion Strong Regionally restricted euxassay_009948_18
TS23: dorsal root ganglion Strong Regionally restricted euxassay_009948_18
TS23: olfactory epithelium Moderate Regionally restricted euxassay_009948_18

Specimen euxassay_009948_19: embryonic day 14.5 (more )
Structure Level Pattern Image Note
TS23: liver Strong Regionally restricted euxassay_009948_19
TS23: vertebral axis musculature Moderate Regionally restricted euxassay_009948_19
TS23: midgut Moderate Regionally restricted euxassay_009948_19
TS23: right lung Strong Regionally restricted euxassay_009948_19
TS23: upper leg muscle Moderate Regionally restricted euxassay_009948_19
TS23: brain Strong Regionally restricted euxassay_009948_19
TS23: trigeminal ganglion Strong Regionally restricted euxassay_009948_19
TS23: glossopharyngeal ganglion Strong Regionally restricted euxassay_009948_19
TS23: vestibulo-cochlear ganglion Strong Regionally restricted euxassay_009948_19
TS23: facial ganglion Strong Regionally restricted euxassay_009948_19
TS23: olfactory epithelium Moderate Regionally restricted euxassay_009948_19

Specimen euxassay_009948_20: embryonic day 14.5 (more )
Structure Level Pattern Image Note
TS23: liver Moderate Regionally restricted euxassay_009948_20
TS23: vertebral axis musculature Moderate Regionally restricted euxassay_009948_20
TS23: midgut Moderate Regionally restricted euxassay_009948_20
TS23: right lung Strong Regionally restricted euxassay_009948_20
TS23: brain Strong Regionally restricted euxassay_009948_20
TS23: trigeminal ganglion Strong Regionally restricted euxassay_009948_20
TS23: facial ganglion Strong Regionally restricted euxassay_009948_20
TS23: glossopharyngeal ganglion Strong Regionally restricted euxassay_009948_20

Specimen euxassay_009948_21: embryonic day 14.5 (more )
Structure Level Pattern Image Note
TS23: liver Moderate Regionally restricted euxassay_009948_21
TS23: vertebral axis musculature Moderate Regionally restricted euxassay_009948_21
TS23: midgut Strong Regionally restricted euxassay_009948_21
TS23: right lung Strong Regionally restricted euxassay_009948_21
TS23: upper arm muscle Moderate Regionally restricted euxassay_009948_21
TS23: upper leg muscle Moderate Regionally restricted euxassay_009948_21
TS23: lower leg rest of mesenchyme Moderate Regionally restricted euxassay_009948_21
TS23: brain Strong Regionally restricted euxassay_009948_21
TS23: trigeminal ganglion Strong Regionally restricted euxassay_009948_21
TS23: facial ganglion Strong Regionally restricted euxassay_009948_21

Specimen euxassay_009948_22: embryonic day 14.5 (more )
Structure Level Pattern Image Note
TS23: liver Moderate Regionally restricted euxassay_009948_22
TS23: vertebral axis musculature Moderate Regionally restricted euxassay_009948_22
TS23: midgut Strong Regionally restricted euxassay_009948_22
TS23: right lung Strong Regionally restricted euxassay_009948_22
TS23: upper arm muscle Moderate Regionally restricted euxassay_009948_22
TS23: brain Strong Regionally restricted euxassay_009948_22
TS23: trigeminal ganglion Strong Regionally restricted euxassay_009948_22
TS23: facial ganglion Strong Regionally restricted euxassay_009948_22

Specimen euxassay_009948_23: embryonic day 14.5 (more )
Structure Level Pattern Image Note
TS23: liver Moderate Regionally restricted euxassay_009948_23
TS23: vertebral axis musculature Moderate Regionally restricted euxassay_009948_23
TS23: midgut Strong Regionally restricted euxassay_009948_23
TS23: right lung Strong Regionally restricted euxassay_009948_23
TS23: upper arm muscle Moderate Regionally restricted euxassay_009948_23
TS23: brain Strong Regionally restricted euxassay_009948_23
TS23: trigeminal ganglion Strong Regionally restricted euxassay_009948_23
TS23: neural retina Strong Regionally restricted euxassay_009948_23

Specimen euxassay_009948_24: embryonic day 14.5 (more )
Structure Level Pattern Image Note
TS23: liver Moderate Regionally restricted euxassay_009948_24
TS23: vertebral axis musculature Moderate Regionally restricted euxassay_009948_24
TS23: midgut Strong Regionally restricted euxassay_009948_24
TS23: upper arm muscle Moderate Regionally restricted euxassay_009948_24
TS23: brain Strong Regionally restricted euxassay_009948_24
TS23: neural retina Strong Regionally restricted euxassay_009948_24


Contributing Projects:
Mouse Genome Database (MGD), Gene Expression Database (GXD), Mouse Models of Human Cancer database (MMHCdb) (formerly Mouse Tumor Biology (MTB)), Gene Ontology (GO)
Citing These Resources
Funding Information
Warranty Disclaimer, Privacy Notice, Licensing, & Copyright
Send questions and comments to User Support.
last database update
03/24/2026
MGI 6.24
The Jackson Laboratory