About   Help   FAQ
Gene Expression Data
Assay Details
Assay
Reference: J:153498 Diez-Roux G, et al., A high-resolution anatomical atlas of the transcriptome in the mouse embryo. PLoS Biol. 2011;9(1):e1000582
Assay type: RNA in situ
MGI Accession ID: MGI:4823456
Gene symbol: Bdh1
Gene name: 3-hydroxybutyrate dehydrogenase, type 1
Probe: IMAGE clone 1886294
Probe preparation: Antisense labelled with digoxigenin RNA
Visualized with: Alkaline phosphatase
Assay notes: Cryosections of fresh frozen material were fixed in 4% paraformaldehyde for 20 min. before further processing. A tyramide-biotin/streptavidin amplification step was included in the in situ hybridization procedure.
Results
Specimen euxassay_001930_01: embryonic day 14.5 (more )
Structure Level Pattern Image Note
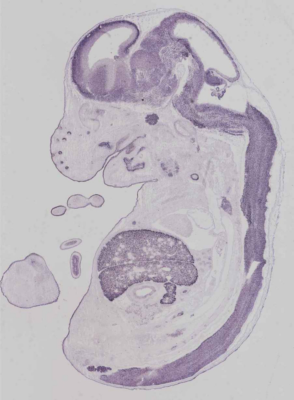
TS23: liver lobe Strong Regionally restricted euxassay_001930_01
TS23: brain Strong Uniform euxassay_001930_01
TS23: pharyngo-tympanic tube Strong Regionally restricted euxassay_001930_01

Specimen euxassay_001930_02: embryonic day 14.5 (more )
Structure Level Pattern Image Note
TS23: liver lobe Strong Regionally restricted euxassay_001930_02
TS23: brain Strong Uniform euxassay_001930_02
TS23: pharyngo-tympanic tube Moderate Regionally restricted euxassay_001930_02

Specimen euxassay_001930_03: embryonic day 14.5 (more )
Structure Level Pattern Image Note
TS23: liver lobe Strong Regionally restricted euxassay_001930_03
TS23: brain Strong Uniform euxassay_001930_03
TS23: pharyngo-tympanic tube Moderate Regionally restricted euxassay_001930_03
TS23: trigeminal ganglion Strong Regionally restricted euxassay_001930_03
TS23: Meckel's cartilage Strong Regionally restricted euxassay_001930_03

Specimen euxassay_001930_04: embryonic day 14.5 (more )
Structure Level Pattern Image Note
TS23: liver lobe Strong Regionally restricted euxassay_001930_04
TS23: brain Strong Uniform euxassay_001930_04
TS23: trigeminal ganglion Strong Regionally restricted euxassay_001930_04
TS23: facial ganglion Strong Regionally restricted euxassay_001930_04
TS23: dorsal root ganglion Strong Regionally restricted euxassay_001930_04
TS23: Meckel's cartilage Strong Regionally restricted euxassay_001930_04

Specimen euxassay_001930_05: embryonic day 14.5 (more )
Structure Level Pattern Image Note
TS23: liver lobe Strong Regionally restricted euxassay_001930_05
TS23: spinal cord Strong Uniform euxassay_001930_05
TS23: brain Strong Uniform euxassay_001930_05
TS23: trigeminal ganglion Strong Regionally restricted euxassay_001930_05
TS23: facial ganglion Strong Regionally restricted euxassay_001930_05
TS23: dorsal root ganglion Strong Regionally restricted euxassay_001930_05
TS23: Meckel's cartilage Strong Regionally restricted euxassay_001930_05
TS23: clavicle Moderate Regionally restricted euxassay_001930_05

Specimen euxassay_001930_06: embryonic day 14.5 (more )
Structure Level Pattern Image Note
TS23: liver lobe Strong Regionally restricted euxassay_001930_06
TS23: spinal cord Strong Uniform euxassay_001930_06
TS23: brain Strong Uniform euxassay_001930_06
TS23: glossopharyngeal ganglion Strong Regionally restricted euxassay_001930_06
TS23: vestibulo-cochlear ganglion Strong Regionally restricted euxassay_001930_06
TS23: trigeminal ganglion Strong Regionally restricted euxassay_001930_06
TS23: dorsal root ganglion Strong Regionally restricted euxassay_001930_06
TS23: vibrissa Weak Regionally restricted euxassay_001930_06
TS23: Meckel's cartilage Strong Regionally restricted euxassay_001930_06
TS23: clavicle Moderate Regionally restricted euxassay_001930_06

Specimen euxassay_001930_07: embryonic day 14.5 (more )
Structure Level Pattern Image Note
TS23: liver lobe Strong Regionally restricted euxassay_001930_07
TS23: spinal cord Strong Uniform euxassay_001930_07
TS23: brain Strong Uniform euxassay_001930_07
TS23: trigeminal ganglion Strong Regionally restricted euxassay_001930_07
TS23: glossopharyngeal ganglion Strong Regionally restricted euxassay_001930_07
TS23: vestibulo-cochlear ganglion Strong Regionally restricted euxassay_001930_07
TS23: dorsal root ganglion Strong Regionally restricted euxassay_001930_07
TS23: vibrissa Weak Regionally restricted euxassay_001930_07
TS23: Meckel's cartilage Strong Regionally restricted euxassay_001930_07
TS23: submandibular gland primordium Strong Regionally restricted euxassay_001930_07
TS23: oral epithelium Strong Regionally restricted euxassay_001930_07
TS23: clavicle Moderate Regionally restricted euxassay_001930_07

Specimen euxassay_001930_08: embryonic day 14.5 (more )
Structure Level Pattern Image Note
TS23: liver lobe Strong Regionally restricted euxassay_001930_08
TS23: spinal cord Strong Uniform euxassay_001930_08
TS23: brain Strong Uniform euxassay_001930_08
TS23: trigeminal ganglion Strong Regionally restricted euxassay_001930_08
TS23: dorsal root ganglion Strong Regionally restricted euxassay_001930_08
TS23: vibrissa Strong Regionally restricted euxassay_001930_08
TS23: Meckel's cartilage Strong Regionally restricted euxassay_001930_08
TS23: lower jaw molar Strong Regionally restricted euxassay_001930_08
TS23: upper jaw molar Strong Regionally restricted euxassay_001930_08
TS23: submandibular gland primordium Strong Regionally restricted euxassay_001930_08
TS23: cervical ganglion Moderate Regionally restricted euxassay_001930_08
TS23: cervico-thoracic ganglion Moderate Regionally restricted euxassay_001930_08
TS23: oral epithelium Moderate Regionally restricted euxassay_001930_08
TS23: clavicle Moderate Regionally restricted euxassay_001930_08

Specimen euxassay_001930_09: embryonic day 14.5 (more )
Structure Level Pattern Image Note
TS23: liver lobe Strong Regionally restricted euxassay_001930_09
TS23: spinal cord Strong Uniform euxassay_001930_09
TS23: brain Strong Uniform euxassay_001930_09
TS23: trigeminal ganglion Strong Regionally restricted euxassay_001930_09
TS23: vibrissa Strong Regionally restricted euxassay_001930_09
TS23: upper jaw molar Strong Regionally restricted euxassay_001930_09
TS23: lower jaw molar Strong Regionally restricted euxassay_001930_09
TS23: Meckel's cartilage Strong Regionally restricted euxassay_001930_09
TS23: submandibular gland primordium Strong Regionally restricted euxassay_001930_09
TS23: cervico-thoracic ganglion Moderate Regionally restricted euxassay_001930_09
TS23: midgut Strong Regionally restricted euxassay_001930_09
TS23: oral epithelium Strong Regionally restricted euxassay_001930_09
TS23: clavicle Strong Regionally restricted euxassay_001930_09

Specimen euxassay_001930_10: embryonic day 14.5 (more )
Structure Level Pattern Image Note
TS23: liver lobe Strong Regionally restricted euxassay_001930_10
TS23: brain Strong Uniform euxassay_001930_10
TS23: spinal cord Strong Uniform euxassay_001930_10
TS23: vibrissa Strong Regionally restricted euxassay_001930_10
TS23: upper jaw molar Strong Regionally restricted euxassay_001930_10
TS23: lower jaw molar Strong Regionally restricted euxassay_001930_10
TS23: Meckel's cartilage Strong Regionally restricted euxassay_001930_10
TS23: thymus primordium Moderate Regionally restricted euxassay_001930_10
TS23: olfactory epithelium Moderate Regionally restricted euxassay_001930_10
TS23: thoracic ganglion Moderate Regionally restricted euxassay_001930_10
TS23: midgut Strong Regionally restricted euxassay_001930_10
TS23: hindgut Strong Regionally restricted euxassay_001930_10
TS23: foregut-midgut junction Strong Regionally restricted euxassay_001930_10
TS23: oral epithelium Strong Regionally restricted euxassay_001930_10
TS23: clavicle Strong Regionally restricted euxassay_001930_10
TS23: esophagus Moderate Regionally restricted euxassay_001930_10

Specimen euxassay_001930_11: embryonic day 14.5 (more )
Structure Level Pattern Image Note
TS23: liver lobe Strong Regionally restricted euxassay_001930_11
TS23: brain Strong Uniform euxassay_001930_11
TS23: spinal cord Strong Uniform euxassay_001930_11
TS23: dorsal root ganglion Strong Regionally restricted euxassay_001930_11
TS23: vibrissa Strong Regionally restricted euxassay_001930_11
TS23: upper jaw molar Strong Regionally restricted euxassay_001930_11
TS23: lower jaw molar Strong Regionally restricted euxassay_001930_11
TS23: Meckel's cartilage Strong Regionally restricted euxassay_001930_11
TS23: thymus primordium Moderate Regionally restricted euxassay_001930_11
TS23: olfactory epithelium Moderate Regionally restricted euxassay_001930_11
TS23: midgut Strong Regionally restricted euxassay_001930_11
TS23: hindgut Strong Regionally restricted euxassay_001930_11
TS23: oral epithelium Strong Regionally restricted euxassay_001930_11
TS23: esophagus Moderate Regionally restricted euxassay_001930_11

Specimen euxassay_001930_12: embryonic day 14.5 (more )
Structure Level Pattern Image Note
TS23: liver lobe Strong Regionally restricted euxassay_001930_12
TS23: brain Strong Uniform euxassay_001930_12
TS23: spinal cord Strong Uniform euxassay_001930_12
TS23: dorsal root ganglion Strong Regionally restricted euxassay_001930_12
TS23: Meckel's cartilage Moderate Regionally restricted euxassay_001930_12
TS23: lower jaw incisor Moderate Regionally restricted euxassay_001930_12
TS23: upper jaw incisor Moderate Regionally restricted euxassay_001930_12
TS23: thymus primordium Moderate Regionally restricted euxassay_001930_12
TS23: olfactory epithelium Moderate Regionally restricted euxassay_001930_12
TS23: midgut Strong Regionally restricted euxassay_001930_12
TS23: hindgut Strong Regionally restricted euxassay_001930_12
TS23: oral epithelium Strong Regionally restricted euxassay_001930_12
TS23: bladder Weak Regionally restricted euxassay_001930_12

Specimen euxassay_001930_13: embryonic day 14.5 (more )
Structure Level Pattern Image Note
TS23: liver lobe Strong Regionally restricted euxassay_001930_13
TS23: brain Strong Uniform euxassay_001930_13
TS23: spinal cord Strong Uniform euxassay_001930_13
TS23: dorsal root ganglion Strong Regionally restricted euxassay_001930_13
TS23: upper jaw incisor Strong Regionally restricted euxassay_001930_13
TS23: Meckel's cartilage Strong Regionally restricted euxassay_001930_13
TS23: lower jaw incisor Strong Regionally restricted euxassay_001930_13
TS23: thymus primordium Moderate Regionally restricted euxassay_001930_13
TS23: olfactory epithelium Moderate Regionally restricted euxassay_001930_13
TS23: midgut Strong Regionally restricted euxassay_001930_13
TS23: oral epithelium Strong Regionally restricted euxassay_001930_13
TS23: bladder Weak Regionally restricted euxassay_001930_13

Specimen euxassay_001930_14: embryonic day 14.5 (more )
Structure Level Pattern Image Note
TS23: liver lobe Strong Regionally restricted euxassay_001930_14
TS23: brain Strong Uniform euxassay_001930_14
TS23: dorsal root ganglion Strong Regionally restricted euxassay_001930_14
TS23: lower jaw incisor Strong Regionally restricted euxassay_001930_14
TS23: upper jaw incisor Strong Regionally restricted euxassay_001930_14
TS23: thymus primordium Moderate Regionally restricted euxassay_001930_14
TS23: olfactory epithelium Moderate Regionally restricted euxassay_001930_14
TS23: midgut Strong Regionally restricted euxassay_001930_14
TS23: oral epithelium Strong Regionally restricted euxassay_001930_14
TS23: naris Moderate Regionally restricted euxassay_001930_14

Specimen euxassay_001930_15: embryonic day 14.5 (more )
Structure Level Pattern Image Note
TS23: liver lobe Strong Regionally restricted euxassay_001930_15
TS23: brain Strong Uniform euxassay_001930_15
TS23: dorsal root ganglion Strong Regionally restricted euxassay_001930_15
TS23: upper jaw incisor Moderate Regionally restricted euxassay_001930_15
TS23: lower jaw incisor Moderate Regionally restricted euxassay_001930_15
TS23: thymus primordium Moderate Regionally restricted euxassay_001930_15
TS23: olfactory epithelium Moderate Regionally restricted euxassay_001930_15
TS23: cervico-thoracic ganglion Moderate Regionally restricted euxassay_001930_15
TS23: midgut Strong Regionally restricted euxassay_001930_15
TS23: oral epithelium Strong Regionally restricted euxassay_001930_15
TS23: naris Moderate Regionally restricted euxassay_001930_15

Specimen euxassay_001930_16: embryonic day 14.5 (more )
Structure Level Pattern Image Note
TS23: liver lobe Strong Regionally restricted euxassay_001930_16
TS23: brain Strong Uniform euxassay_001930_16
TS23: glossopharyngeal ganglion Strong Regionally restricted euxassay_001930_16
TS23: dorsal root ganglion Strong Regionally restricted euxassay_001930_16
TS23: olfactory epithelium Moderate Regionally restricted euxassay_001930_16
TS23: cervical ganglion Moderate Regionally restricted euxassay_001930_16
TS23: midgut Strong Regionally restricted euxassay_001930_16
TS23: oral epithelium Strong Regionally restricted euxassay_001930_16
TS23: clavicle Strong Regionally restricted euxassay_001930_16
TS23: naris Moderate Regionally restricted euxassay_001930_16

Specimen euxassay_001930_17: embryonic day 14.5 (more )
Structure Level Pattern Image Note
TS23: liver lobe Strong Regionally restricted euxassay_001930_17
TS23: brain Strong Uniform euxassay_001930_17
TS23: glossopharyngeal ganglion Strong Regionally restricted euxassay_001930_17
TS23: trigeminal ganglion Strong Regionally restricted euxassay_001930_17
TS23: vestibulo-cochlear ganglion Strong Regionally restricted euxassay_001930_17
TS23: lower jaw incisor Strong Regionally restricted euxassay_001930_17
TS23: upper jaw incisor Strong Regionally restricted euxassay_001930_17
TS23: submandibular gland primordium Strong Regionally restricted euxassay_001930_17
TS23: olfactory epithelium Moderate Regionally restricted euxassay_001930_17
TS23: midgut Strong Regionally restricted euxassay_001930_17
TS23: oral epithelium Strong Regionally restricted euxassay_001930_17
TS23: clavicle Moderate Regionally restricted euxassay_001930_17
TS23: naris Moderate Regionally restricted euxassay_001930_17

Specimen euxassay_001930_18: embryonic day 14.5 (more )
Structure Level Pattern Image Note
TS23: liver lobe Strong Regionally restricted euxassay_001930_18
TS23: brain Strong Uniform euxassay_001930_18
TS23: trigeminal ganglion Strong Regionally restricted euxassay_001930_18
TS23: facial ganglion Strong Regionally restricted euxassay_001930_18
TS23: vestibulo-cochlear ganglion Strong Regionally restricted euxassay_001930_18
TS23: lower jaw incisor Strong Regionally restricted euxassay_001930_18
TS23: upper jaw incisor Strong Regionally restricted euxassay_001930_18
TS23: submandibular gland primordium Strong Regionally restricted euxassay_001930_18
TS23: olfactory epithelium Moderate Regionally restricted euxassay_001930_18
TS23: oral epithelium Strong Regionally restricted euxassay_001930_18
TS23: clavicle Moderate Regionally restricted euxassay_001930_18
TS23: naris Moderate Regionally restricted euxassay_001930_18

Specimen euxassay_001930_19: embryonic day 14.5 (more )
Structure Level Pattern Image Note
TS23: liver lobe Strong Regionally restricted euxassay_001930_19
TS23: brain Strong Uniform euxassay_001930_19
TS23: facial ganglion Strong Regionally restricted euxassay_001930_19
TS23: trigeminal ganglion Strong Regionally restricted euxassay_001930_19
TS23: upper jaw molar Strong Regionally restricted euxassay_001930_19
TS23: lower jaw molar Strong Regionally restricted euxassay_001930_19
TS23: Meckel's cartilage Strong Regionally restricted euxassay_001930_19
TS23: submandibular gland primordium Strong Regionally restricted euxassay_001930_19
TS23: olfactory epithelium Moderate Regionally restricted euxassay_001930_19
TS23: oral epithelium Strong Regionally restricted euxassay_001930_19
TS23: clavicle Strong Regionally restricted euxassay_001930_19
TS23: naris Moderate Regionally restricted euxassay_001930_19

Specimen euxassay_001930_20: embryonic day 14.5 (more )
Structure Level Pattern Image Note
TS23: liver lobe Strong Regionally restricted euxassay_001930_20
TS23: brain Strong Uniform euxassay_001930_20
TS23: trigeminal ganglion Strong Regionally restricted euxassay_001930_20
TS23: facial ganglion Strong Regionally restricted euxassay_001930_20
TS23: upper jaw molar Strong Regionally restricted euxassay_001930_20
TS23: Meckel's cartilage Strong Regionally restricted euxassay_001930_20
TS23: lower jaw molar Strong Regionally restricted euxassay_001930_20
TS23: oral epithelium Strong Regionally restricted euxassay_001930_20
TS23: clavicle Strong Regionally restricted euxassay_001930_20

Specimen euxassay_001930_21: embryonic day 14.5 (more )
Structure Level Pattern Image Note
TS23: liver lobe Strong Regionally restricted euxassay_001930_21
TS23: brain Strong Uniform euxassay_001930_21
TS23: pharyngo-tympanic tube Moderate Regionally restricted euxassay_001930_21
TS23: trigeminal ganglion Strong Regionally restricted euxassay_001930_21
TS23: facial ganglion Strong Regionally restricted euxassay_001930_21
TS23: vibrissa Strong Regionally restricted euxassay_001930_21
TS23: upper jaw molar Strong Regionally restricted euxassay_001930_21
TS23: Meckel's cartilage Strong Regionally restricted euxassay_001930_21
TS23: oral epithelium Strong Regionally restricted euxassay_001930_21
TS23: clavicle Strong Regionally restricted euxassay_001930_21

Specimen euxassay_001930_22: embryonic day 14.5 (more )
Structure Level Pattern Image Note
TS23: liver lobe Strong Regionally restricted euxassay_001930_22
TS23: brain Strong Uniform euxassay_001930_22
TS23: pharyngo-tympanic tube Strong Regionally restricted euxassay_001930_22
TS23: vibrissa Strong Regionally restricted euxassay_001930_22
TS23: Meckel's cartilage Strong Regionally restricted euxassay_001930_22

Specimen euxassay_001930_23: embryonic day 14.5 (more )
Structure Level Pattern Image Note
TS23: liver lobe Strong Regionally restricted euxassay_001930_23
TS23: brain Strong Uniform euxassay_001930_23
TS23: pharyngo-tympanic tube Strong Regionally restricted euxassay_001930_23
TS23: vibrissa Strong Regionally restricted euxassay_001930_23

Specimen euxassay_001930_24: embryonic day 14.5 (more )
Structure Level Pattern Image Note
TS23: liver lobe Strong Regionally restricted euxassay_001930_24
TS23: vibrissa Moderate Regionally restricted euxassay_001930_24


Contributing Projects:
Mouse Genome Database (MGD), Gene Expression Database (GXD), Mouse Models of Human Cancer database (MMHCdb) (formerly Mouse Tumor Biology (MTB)), Gene Ontology (GO)
Citing These Resources
Funding Information
Warranty Disclaimer, Privacy Notice, Licensing, & Copyright
Send questions and comments to User Support.
last database update
12/30/2025
MGI 6.24
The Jackson Laboratory