About   Help   FAQ
Gene Expression Data
Assay Details
Assay
Reference: J:153498 Diez-Roux G, et al., A high-resolution anatomical atlas of the transcriptome in the mouse embryo. PLoS Biol. 2011;9(1):e1000582
Assay type: RNA in situ
MGI Accession ID: MGI:4823433
Gene symbol: BC061237
Gene name: cDNA sequence BC061237
Probe: MGC clone 74390
Probe preparation: Antisense labelled with digoxigenin RNA
Visualized with: Alkaline phosphatase
Assay notes: Cryosections of fresh frozen material were fixed in 4% paraformaldehyde for 20 min. before further processing. A tyramide-biotin/streptavidin amplification step was included in the in situ hybridization procedure.
Results
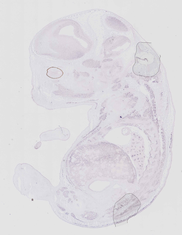
Specimen euxassay_006341_01: embryonic day 14.5 (more )
Structure Level Pattern Image Note
TS23: vertebral axis musculature Moderate Regionally restricted euxassay_006341_01
TS23: liver Moderate Regionally restricted euxassay_006341_01
TS23: lower leg mesenchyme Moderate Regionally restricted euxassay_006341_01
TS23: foot mesenchyme Moderate Regionally restricted euxassay_006341_01
TS23: hand mesenchyme Moderate Regionally restricted euxassay_006341_01
TS23: brain Moderate Regionally restricted euxassay_006341_01

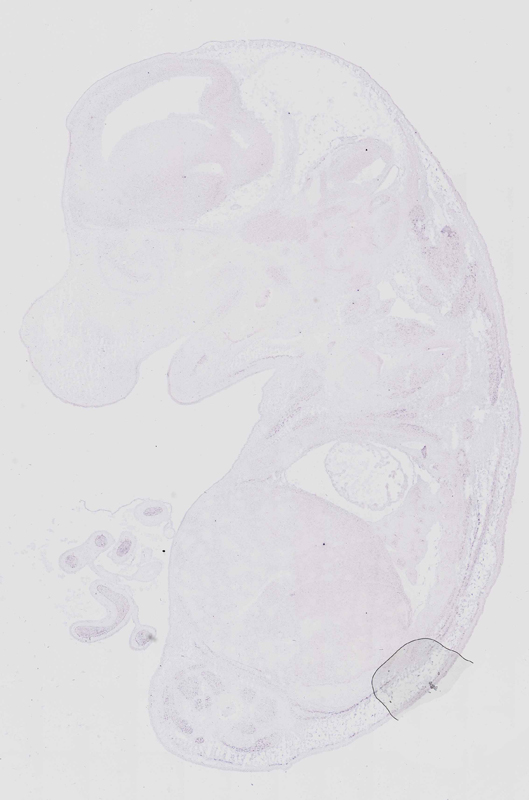
Specimen euxassay_006341_02: embryonic day 14.5 (more )
Structure Level Pattern Image Note
TS23: vertebral axis musculature Moderate Regionally restricted euxassay_006341_02
TS23: liver Moderate Regionally restricted euxassay_006341_02
TS23: lung Moderate Regionally restricted euxassay_006341_02
TS23: lower leg mesenchyme Moderate Regionally restricted euxassay_006341_02
TS23: hand mesenchyme Moderate Regionally restricted euxassay_006341_02
TS23: brain Moderate Regionally restricted euxassay_006341_02

Specimen euxassay_006341_03: embryonic day 14.5 (more )
Structure Level Pattern Image Note
TS23: vertebral axis musculature Moderate Regionally restricted euxassay_006341_03
TS23: lung Moderate Regionally restricted euxassay_006341_03
TS23: liver Moderate Regionally restricted euxassay_006341_03
TS23: lower leg mesenchyme Moderate Regionally restricted euxassay_006341_03
TS23: upper leg mesenchyme Moderate Regionally restricted euxassay_006341_03
TS23: brain Weak Regionally restricted euxassay_006341_03
TS23: trigeminal ganglion Weak Regionally restricted euxassay_006341_03

Specimen euxassay_006341_04: embryonic day 14.5 (more )
Structure Level Pattern Image Note
TS23: vertebral axis musculature Moderate Regionally restricted euxassay_006341_04
TS23: liver Moderate Regionally restricted euxassay_006341_04
TS23: lung Moderate Regionally restricted euxassay_006341_04
TS23: lower leg mesenchyme Moderate Regionally restricted euxassay_006341_04
TS23: upper leg mesenchyme Moderate Regionally restricted euxassay_006341_04
TS23: brain Weak Regionally restricted euxassay_006341_04
TS23: trigeminal ganglion Weak Regionally restricted euxassay_006341_04

Specimen euxassay_006341_05: embryonic day 14.5 (more )
Structure Level Pattern Image Note
TS23: vertebral axis musculature Moderate Regionally restricted euxassay_006341_05
TS23: liver Moderate Regionally restricted euxassay_006341_05
TS23: lung Moderate Regionally restricted euxassay_006341_05
TS23: dorsal root ganglion Moderate Regionally restricted euxassay_006341_05
TS23: brain Moderate Regionally restricted euxassay_006341_05
TS23: trigeminal ganglion Moderate Regionally restricted euxassay_006341_05
TS23: glossopharyngeal ganglion Moderate Regionally restricted euxassay_006341_05
TS23: vestibulo-cochlear ganglion Moderate Regionally restricted euxassay_006341_05

Specimen euxassay_006341_06: embryonic day 14.5 (more )
Structure Level Pattern Image Note
TS23: vertebral axis musculature Moderate Regionally restricted euxassay_006341_06
TS23: liver Moderate Regionally restricted euxassay_006341_06
TS23: lung Moderate Regionally restricted euxassay_006341_06
TS23: dorsal root ganglion Moderate Regionally restricted euxassay_006341_06
TS23: brain Moderate Regionally restricted euxassay_006341_06
TS23: spinal cord Moderate Regionally restricted euxassay_006341_06
TS23: vagus ganglion Moderate Regionally restricted euxassay_006341_06
TS23: trigeminal ganglion Moderate Regionally restricted euxassay_006341_06
TS23: glossopharyngeal ganglion Moderate Regionally restricted euxassay_006341_06

Specimen euxassay_006341_07: embryonic day 14.5 (more )
Structure Level Pattern Image Note
TS23: vertebral axis musculature Moderate Regionally restricted euxassay_006341_07
TS23: liver Moderate Regionally restricted euxassay_006341_07
TS23: lung Moderate Regionally restricted euxassay_006341_07
TS23: dorsal root ganglion Moderate Regionally restricted euxassay_006341_07
TS23: foot mesenchyme Moderate Regionally restricted euxassay_006341_07
TS23: spinal cord Moderate Regionally restricted euxassay_006341_07
TS23: brain Moderate Regionally restricted euxassay_006341_07
TS23: trigeminal ganglion Moderate Regionally restricted euxassay_006341_07
TS23: cervico-thoracic ganglion Moderate Regionally restricted euxassay_006341_07
TS23: cervical ganglion Moderate Regionally restricted euxassay_006341_07

Specimen euxassay_006341_08: embryonic day 14.5 (more )
Structure Level Pattern Image Note
TS23: vertebral axis musculature Moderate Regionally restricted euxassay_006341_08
TS23: liver Moderate Regionally restricted euxassay_006341_08
TS23: lung Moderate Regionally restricted euxassay_006341_08
TS23: dorsal root ganglion Moderate Regionally restricted euxassay_006341_08
TS23: tail paraxial mesenchyme Moderate Regionally restricted euxassay_006341_08
TS23: brain Moderate Regionally restricted euxassay_006341_08
TS23: spinal cord Moderate Regionally restricted euxassay_006341_08
TS23: trigeminal ganglion Moderate Regionally restricted euxassay_006341_08

Specimen euxassay_006341_09: embryonic day 14.5 (more )
Structure Level Pattern Image Note
TS23: vertebral axis musculature Moderate Regionally restricted euxassay_006341_09
TS23: liver Moderate Regionally restricted euxassay_006341_09
TS23: lung Moderate Regionally restricted euxassay_006341_09
TS23: tail paraxial mesenchyme Moderate Regionally restricted euxassay_006341_09
TS23: brain Moderate Regionally restricted euxassay_006341_09
TS23: spinal cord Moderate Regionally restricted euxassay_006341_09
TS23: trigeminal nerve Moderate Regionally restricted euxassay_006341_09
TS23: thoracic ganglion Weak Regionally restricted euxassay_006341_09
TS23: cervico-thoracic ganglion Moderate Regionally restricted euxassay_006341_09
TS23: cervical ganglion Moderate Regionally restricted euxassay_006341_09

Specimen euxassay_006341_10: embryonic day 14.5 (more )
Structure Level Pattern Image Note
TS23: vertebral axis musculature Moderate Regionally restricted euxassay_006341_10
TS23: liver Moderate Regionally restricted euxassay_006341_10
TS23: lung Moderate Regionally restricted euxassay_006341_10
TS23: tail paraxial mesenchyme Moderate Regionally restricted euxassay_006341_10
TS23: brain Moderate Regionally restricted euxassay_006341_10
TS23: spinal cord Moderate Regionally restricted euxassay_006341_10
TS23: midgut Weak Regionally restricted euxassay_006341_10
TS23: trigeminal nerve Moderate Regionally restricted euxassay_006341_10
TS23: thoracic ganglion Weak Regionally restricted euxassay_006341_10

Specimen euxassay_006341_11: embryonic day 14.5 (more )
Structure Level Pattern Image Note
TS23: vertebral axis musculature Moderate Regionally restricted euxassay_006341_11
TS23: lung Moderate Regionally restricted euxassay_006341_11
TS23: liver Weak Regionally restricted euxassay_006341_11
TS23: tongue muscle Weak Spotted euxassay_006341_11
TS23: tail paraxial mesenchyme Weak Regionally restricted euxassay_006341_11
TS23: brain Moderate Regionally restricted euxassay_006341_11
TS23: spinal cord Moderate Regionally restricted euxassay_006341_11
TS23: midgut Weak Regionally restricted euxassay_006341_11
TS23: cervico-thoracic ganglion Weak Regionally restricted euxassay_006341_11
TS23: thoracic ganglion Weak Regionally restricted euxassay_006341_11

Specimen euxassay_006341_12: embryonic day 14.5 (more )
Structure Level Pattern Image Note
TS23: vertebral axis musculature Moderate Regionally restricted euxassay_006341_12
TS23: lung Moderate Regionally restricted euxassay_006341_12
TS23: liver Moderate Regionally restricted euxassay_006341_12
TS23: tongue muscle Weak Spotted euxassay_006341_12
TS23: dorsal root ganglion Moderate Regionally restricted euxassay_006341_12
TS23: tail paraxial mesenchyme Weak Regionally restricted euxassay_006341_12
TS23: brain Moderate Regionally restricted euxassay_006341_12
TS23: spinal cord Moderate Regionally restricted euxassay_006341_12
TS23: midgut Weak Regionally restricted euxassay_006341_12
TS23: bladder Weak Regionally restricted euxassay_006341_12
TS23: cervico-thoracic ganglion Weak Regionally restricted euxassay_006341_12

Specimen euxassay_006341_13: embryonic day 14.5 (more )
Structure Level Pattern Image Note
TS23: vertebral axis musculature Moderate Regionally restricted euxassay_006341_13
TS23: lung Moderate Regionally restricted euxassay_006341_13
TS23: liver Moderate Regionally restricted euxassay_006341_13
TS23: tongue muscle Moderate Regionally restricted euxassay_006341_13
TS23: dorsal root ganglion Moderate Regionally restricted euxassay_006341_13
TS23: tail paraxial mesenchyme Moderate Regionally restricted euxassay_006341_13
TS23: brain Moderate Regionally restricted euxassay_006341_13
TS23: spinal cord Moderate Regionally restricted euxassay_006341_13
TS23: midgut Weak Regionally restricted euxassay_006341_13
TS23: bladder Moderate Regionally restricted euxassay_006341_13
TS23: cervico-thoracic ganglion Weak Regionally restricted euxassay_006341_13
TS23: cervical ganglion Weak Regionally restricted euxassay_006341_13

Specimen euxassay_006341_14: embryonic day 14.5 (more )
Structure Level Pattern Image Note
TS23: vertebral axis musculature Moderate Regionally restricted euxassay_006341_14
TS23: lung Moderate Regionally restricted euxassay_006341_14
TS23: liver Moderate Regionally restricted euxassay_006341_14
TS23: tongue muscle Weak Regionally restricted euxassay_006341_14
TS23: dorsal root ganglion Weak Regionally restricted euxassay_006341_14
TS23: tail paraxial mesenchyme Moderate Regionally restricted euxassay_006341_14
TS23: brain Moderate Regionally restricted euxassay_006341_14
TS23: midgut Weak Regionally restricted euxassay_006341_14
TS23: cervical ganglion Weak Regionally restricted euxassay_006341_14
TS23: cervico-thoracic ganglion Weak Regionally restricted euxassay_006341_14

Specimen euxassay_006341_15: embryonic day 14.5 (more )
Structure Level Pattern Image Note
TS23: vertebral axis musculature Moderate Regionally restricted euxassay_006341_15
TS23: lung Moderate Regionally restricted euxassay_006341_15
TS23: liver Moderate Regionally restricted euxassay_006341_15
TS23: tongue muscle Weak Regionally restricted euxassay_006341_15
TS23: tail paraxial mesenchyme Weak Regionally restricted euxassay_006341_15
TS23: brain Moderate Regionally restricted euxassay_006341_15
TS23: midgut Weak Regionally restricted euxassay_006341_15
TS23: cervical ganglion Weak Regionally restricted euxassay_006341_15

Specimen euxassay_006341_16: embryonic day 14.5 (more )
Structure Level Pattern Image Note
TS23: vertebral axis musculature Moderate Regionally restricted euxassay_006341_16
TS23: lung Moderate Regionally restricted euxassay_006341_16
TS23: liver Moderate Regionally restricted euxassay_006341_16
TS23: tail paraxial mesenchyme Moderate Regionally restricted euxassay_006341_16
TS23: brain Moderate Regionally restricted euxassay_006341_16
TS23: midgut Moderate Regionally restricted euxassay_006341_16
TS23: cervical ganglion Weak Regionally restricted euxassay_006341_16

Specimen euxassay_006341_17: embryonic day 14.5 (more )
Structure Level Pattern Image Note
TS23: vertebral axis musculature Moderate Regionally restricted euxassay_006341_17
TS23: lung Weak Regionally restricted euxassay_006341_17
TS23: liver Weak Regionally restricted euxassay_006341_17
TS23: tail paraxial mesenchyme Moderate Regionally restricted euxassay_006341_17
TS23: brain Weak Regionally restricted euxassay_006341_17
TS23: midgut Moderate Regionally restricted euxassay_006341_17
TS23: trigeminal nerve Weak Regionally restricted euxassay_006341_17
TS23: trigeminal ganglion Weak Regionally restricted euxassay_006341_17
TS23: glossopharyngeal ganglion Weak Regionally restricted euxassay_006341_17
TS23: vagus ganglion Weak Regionally restricted euxassay_006341_17

Specimen euxassay_006341_18: embryonic day 14.5 (more )
Structure Level Pattern Image Note
TS23: vertebral axis musculature Moderate Regionally restricted euxassay_006341_18
TS23: lung Weak Regionally restricted euxassay_006341_18
TS23: liver Weak Regionally restricted euxassay_006341_18
TS23: brain Weak Regionally restricted euxassay_006341_18
TS23: midgut Moderate Regionally restricted euxassay_006341_18
TS23: trigeminal ganglion Weak Regionally restricted euxassay_006341_18

Specimen euxassay_006341_19: embryonic day 14.5 (more )
Structure Level Pattern Image Note
TS23: vertebral axis musculature Moderate Regionally restricted euxassay_006341_19
TS23: lung Weak Regionally restricted euxassay_006341_19
TS23: liver Weak Regionally restricted euxassay_006341_19
TS23: midgut Moderate Regionally restricted euxassay_006341_19
TS23: trigeminal ganglion Weak Regionally restricted euxassay_006341_19

Specimen euxassay_006341_20: embryonic day 14.5 (more )
Structure Level Pattern Image Note
TS23: vertebral axis musculature Weak Regionally restricted euxassay_006341_20
TS23: lung Weak Regionally restricted euxassay_006341_20
TS23: liver Weak Regionally restricted euxassay_006341_20
TS23: midgut Weak Regionally restricted euxassay_006341_20
TS23: trigeminal ganglion Weak Regionally restricted euxassay_006341_20

Specimen euxassay_006341_21: embryonic day 14.5 (more )
Structure Level Pattern Image Note
TS23: vertebral axis musculature Moderate Regionally restricted euxassay_006341_21
TS23: lung Moderate Regionally restricted euxassay_006341_21
TS23: liver Moderate Regionally restricted euxassay_006341_21
TS23: upper leg mesenchyme Moderate Regionally restricted euxassay_006341_21
TS23: lower leg mesenchyme Moderate Regionally restricted euxassay_006341_21
TS23: foot mesenchyme Moderate Regionally restricted euxassay_006341_21
TS23: midgut Strong Regionally restricted euxassay_006341_21
TS23: trigeminal ganglion Weak Regionally restricted euxassay_006341_21

Specimen euxassay_006341_22: embryonic day 14.5 (more )
Structure Level Pattern Image Note
TS23: vertebral axis musculature Weak Regionally restricted euxassay_006341_22
TS23: liver Moderate Regionally restricted euxassay_006341_22
TS23: midgut Strong Regionally restricted euxassay_006341_22

Specimen euxassay_006341_23: embryonic day 14.5 (more )
Structure Level Pattern Image Note
TS23: vertebral axis musculature Moderate Regionally restricted euxassay_006341_23
TS23: liver Moderate Regionally restricted euxassay_006341_23
TS23: midgut Strong Regionally restricted euxassay_006341_23

Specimen euxassay_006341_24: embryonic day 14.5 (more )
Structure Level Pattern Image Note
TS23: vertebral axis musculature Moderate Regionally restricted euxassay_006341_24
TS23: liver Moderate Regionally restricted euxassay_006341_24
TS23: midgut Strong Regionally restricted euxassay_006341_24


Contributing Projects:
Mouse Genome Database (MGD), Gene Expression Database (GXD), Mouse Models of Human Cancer database (MMHCdb) (formerly Mouse Tumor Biology (MTB)), Gene Ontology (GO)
Citing These Resources
Funding Information
Warranty Disclaimer, Privacy Notice, Licensing, & Copyright
Send questions and comments to User Support.
last database update
12/30/2025
MGI 6.24
The Jackson Laboratory