About   Help   FAQ
Gene Expression Data
Assay Details
Assay
Reference: J:153498 Diez-Roux G, et al., A high-resolution anatomical atlas of the transcriptome in the mouse embryo. PLoS Biol. 2011;9(1):e1000582
Assay type: RNA in situ
MGI Accession ID: MGI:4823430
Gene symbol: Cdin1
Gene name: CDAN1 interacting nuclease 1
Probe: MGC clone 62402
Probe preparation: Antisense labelled with digoxigenin RNA
Visualized with: Alkaline phosphatase
Assay notes: Cryosections of fresh frozen material were fixed in 4% paraformaldehyde for 20 min. before further processing. A tyramide-biotin/streptavidin amplification step was included in the in situ hybridization procedure.
Results
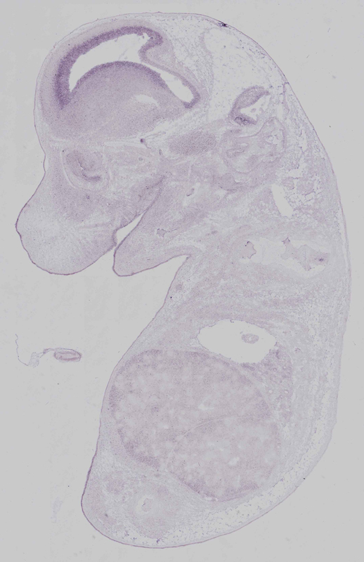
Specimen euxassay_005181_01: embryonic day 14.5 (more )
Note: Additional information for this specimen was included in the Eurexpress data submission file.
Structure Level Pattern Image Note
TS23: brain Moderate Regionally restricted euxassay_005181_01
TS23: brain ventricular layer Present euxassay_005181_01
TS23: telencephalon ventricular layer Strong Regionally restricted euxassay_005181_01
TS23: retina Moderate Regionally restricted euxassay_005181_01

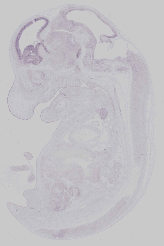
Specimen euxassay_005181_02: embryonic day 14.5 (more )
Note: Additional information for this specimen was included in the Eurexpress data submission file.
Structure Level Pattern Image Note
TS23: brain Moderate Regionally restricted euxassay_005181_02
TS23: brain ventricular layer Present euxassay_005181_02
TS23: telencephalon ventricular layer Strong Regionally restricted euxassay_005181_02
TS23: retina Moderate Regionally restricted euxassay_005181_02

Specimen euxassay_005181_03: embryonic day 14.5 (more )
Structure Level Pattern Image Note
TS23: brain Moderate Regionally restricted euxassay_005181_03
TS23: telencephalon ventricular layer Strong Regionally restricted euxassay_005181_03
TS23: metanephros Moderate Regionally restricted euxassay_005181_03
TS23: retina Moderate Regionally restricted euxassay_005181_03

Specimen euxassay_005181_04: embryonic day 14.5 (more )
Structure Level Pattern Image Note
TS23: brain Moderate Regionally restricted euxassay_005181_04
TS23: telencephalon ventricular layer Strong Regionally restricted euxassay_005181_04
TS23: metanephros Moderate Regionally restricted euxassay_005181_04
TS23: retina Moderate Regionally restricted euxassay_005181_04

Specimen euxassay_005181_05: embryonic day 14.5 (more )
Structure Level Pattern Image Note
TS23: brain Moderate Regionally restricted euxassay_005181_05
TS23: spinal cord Moderate Regionally restricted euxassay_005181_05
TS23: telencephalon ventricular layer Strong Regionally restricted euxassay_005181_05
TS23: metanephros Moderate Regionally restricted euxassay_005181_05

Specimen euxassay_005181_06: embryonic day 14.5 (more )
Structure Level Pattern Image Note
TS23: submandibular gland primordium Moderate Regionally restricted euxassay_005181_06
TS23: brain Moderate Regionally restricted euxassay_005181_06
TS23: spinal cord Moderate Regionally restricted euxassay_005181_06
TS23: telencephalon ventricular layer Strong Regionally restricted euxassay_005181_06
TS23: midbrain ventricular layer Strong Regionally restricted euxassay_005181_06
TS23: metanephros Moderate Regionally restricted euxassay_005181_06

Specimen euxassay_005181_07: embryonic day 14.5 (more )
Structure Level Pattern Image Note
TS23: thymus primordium Moderate Regionally restricted euxassay_005181_07
TS23: brain Moderate Regionally restricted euxassay_005181_07
TS23: spinal cord Moderate Regionally restricted euxassay_005181_07
TS23: midbrain ventricular layer Strong Regionally restricted euxassay_005181_07
TS23: telencephalon ventricular layer Strong Regionally restricted euxassay_005181_07

Specimen euxassay_005181_08: embryonic day 14.5 (more )
Structure Level Pattern Image Note
TS23: thymus primordium Moderate Regionally restricted euxassay_005181_08
TS23: brain Moderate Regionally restricted euxassay_005181_08
TS23: spinal cord Moderate Regionally restricted euxassay_005181_08
TS23: telencephalon ventricular layer Strong Regionally restricted euxassay_005181_08
TS23: midbrain ventricular layer Strong Regionally restricted euxassay_005181_08
TS23: adenohypophysis Weak Regionally restricted euxassay_005181_08

Specimen euxassay_005181_09: embryonic day 14.5 (more )
Structure Level Pattern Image Note
TS23: brain Moderate Regionally restricted euxassay_005181_09
TS23: spinal cord Moderate Regionally restricted euxassay_005181_09
TS23: telencephalon ventricular layer Strong Regionally restricted euxassay_005181_09
TS23: midbrain ventricular layer Strong Regionally restricted euxassay_005181_09
TS23: adenohypophysis Weak Regionally restricted euxassay_005181_09

Specimen euxassay_005181_10: embryonic day 14.5 (more )
Structure Level Pattern Image Note
TS23: thymus primordium Moderate Regionally restricted euxassay_005181_10
TS23: brain Moderate Regionally restricted euxassay_005181_10
TS23: spinal cord Moderate Regionally restricted euxassay_005181_10
TS23: telencephalon ventricular layer Strong Regionally restricted euxassay_005181_10
TS23: midbrain ventricular layer Strong Regionally restricted euxassay_005181_10
TS23: adenohypophysis Weak Regionally restricted euxassay_005181_10
TS23: metanephros Moderate Regionally restricted euxassay_005181_10

Specimen euxassay_005181_11: embryonic day 14.5 (more )
Structure Level Pattern Image Note
TS23: thymus primordium Moderate Regionally restricted euxassay_005181_11
TS23: brain Moderate Regionally restricted euxassay_005181_11
TS23: telencephalon ventricular layer Strong Regionally restricted euxassay_005181_11
TS23: midbrain ventricular layer Strong Regionally restricted euxassay_005181_11
TS23: adenohypophysis Weak Regionally restricted euxassay_005181_11
TS23: metanephros Moderate Regionally restricted euxassay_005181_11

Specimen euxassay_005181_12: embryonic day 14.5 (more )
Structure Level Pattern Image Note
TS23: brain Moderate Regionally restricted euxassay_005181_12
TS23: telencephalon ventricular layer Strong Regionally restricted euxassay_005181_12
TS23: midbrain ventricular layer Strong Regionally restricted euxassay_005181_12
TS23: metanephros Moderate Regionally restricted euxassay_005181_12

Specimen euxassay_005181_13: embryonic day 14.5 (more )
Structure Level Pattern Image Note
TS23: submandibular gland primordium Moderate Regionally restricted euxassay_005181_13
TS23: brain Moderate Regionally restricted euxassay_005181_13
TS23: telencephalon ventricular layer Strong Regionally restricted euxassay_005181_13
TS23: metanephros Moderate Regionally restricted euxassay_005181_13

Specimen euxassay_005181_14: embryonic day 14.5 (more )
Structure Level Pattern Image Note
TS23: submandibular gland primordium Moderate Regionally restricted euxassay_005181_14
TS23: brain Moderate Regionally restricted euxassay_005181_14
TS23: telencephalon ventricular layer Strong Regionally restricted euxassay_005181_14

Specimen euxassay_005181_15: embryonic day 14.5 (more )
Structure Level Pattern Image Note
TS23: submandibular gland primordium Moderate Regionally restricted euxassay_005181_15
TS23: brain Moderate Regionally restricted euxassay_005181_15
TS23: telencephalon ventricular layer Strong Regionally restricted euxassay_005181_15

Specimen euxassay_005181_16: embryonic day 14.5 (more )
Structure Level Pattern Image Note
TS23: submandibular gland primordium Moderate Regionally restricted euxassay_005181_16
TS23: brain Moderate Regionally restricted euxassay_005181_16
TS23: telencephalon ventricular layer Strong Regionally restricted euxassay_005181_16

Specimen euxassay_005181_17: embryonic day 14.5 (more )
Structure Level Pattern Image Note
TS23: brain Moderate Regionally restricted euxassay_005181_17
TS23: telencephalon ventricular layer Strong Regionally restricted euxassay_005181_17

Specimen euxassay_005181_18: embryonic day 14.5 (more )
Structure Level Pattern Image Note
TS23: brain Moderate Regionally restricted euxassay_005181_18
TS23: telencephalon ventricular layer Strong Regionally restricted euxassay_005181_18

Specimen euxassay_005181_19: embryonic day 14.5 (more )
Structure Level Pattern Image Note
TS23: brain Moderate Regionally restricted euxassay_005181_19
TS23: telencephalon ventricular layer Strong Regionally restricted euxassay_005181_19

Specimen euxassay_005181_20: embryonic day 14.5 (more )
Structure Level Pattern Image Note
TS23: brain Moderate Regionally restricted euxassay_005181_20
TS23: telencephalon ventricular layer Strong Regionally restricted euxassay_005181_20
TS23: neural retina Moderate Regionally restricted euxassay_005181_20


Contributing Projects:
Mouse Genome Database (MGD), Gene Expression Database (GXD), Mouse Models of Human Cancer database (MMHCdb) (formerly Mouse Tumor Biology (MTB)), Gene Ontology (GO)
Citing These Resources
Funding Information
Warranty Disclaimer, Privacy Notice, Licensing, & Copyright
Send questions and comments to User Support.
last database update
01/06/2026
MGI 6.24
The Jackson Laboratory