About   Help   FAQ
Gene Expression Data
Assay Details
Assay
Reference: J:153498 Diez-Roux G, et al., A high-resolution anatomical atlas of the transcriptome in the mouse embryo. PLoS Biol. 2011;9(1):e1000582
Assay type: RNA in situ
MGI Accession ID: MGI:4823426
Gene symbol: Trappc14
Gene name: trafficking protein particle complex 14
Probe: MGC clone 47434
Probe preparation: Antisense labelled with digoxigenin RNA
Visualized with: Alkaline phosphatase
Assay notes: Cryosections of fresh frozen material were fixed in 4% paraformaldehyde for 20 min. before further processing. A tyramide-biotin/streptavidin amplification step was included in the in situ hybridization procedure.
Results
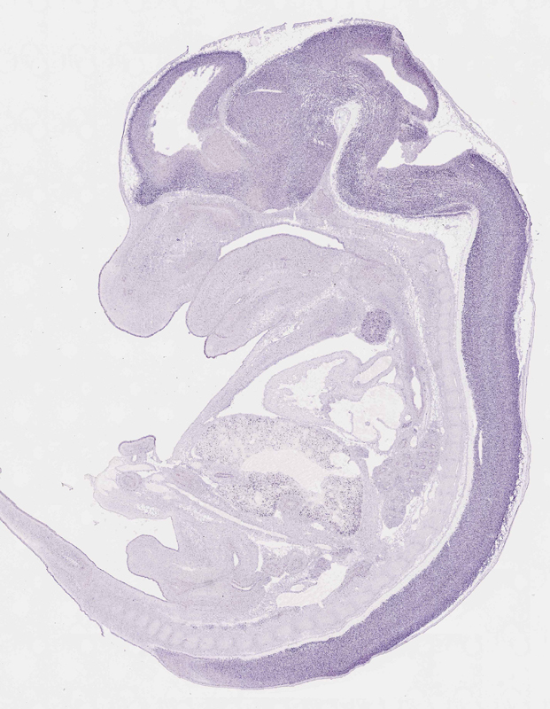
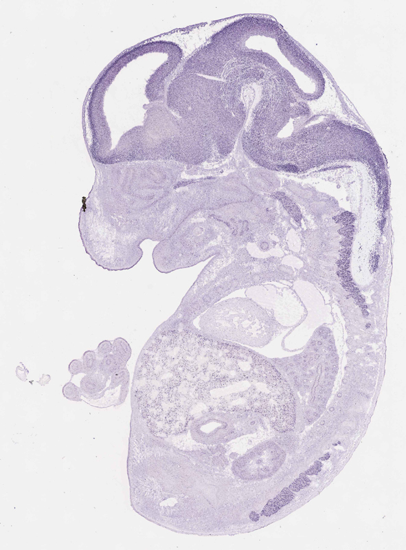
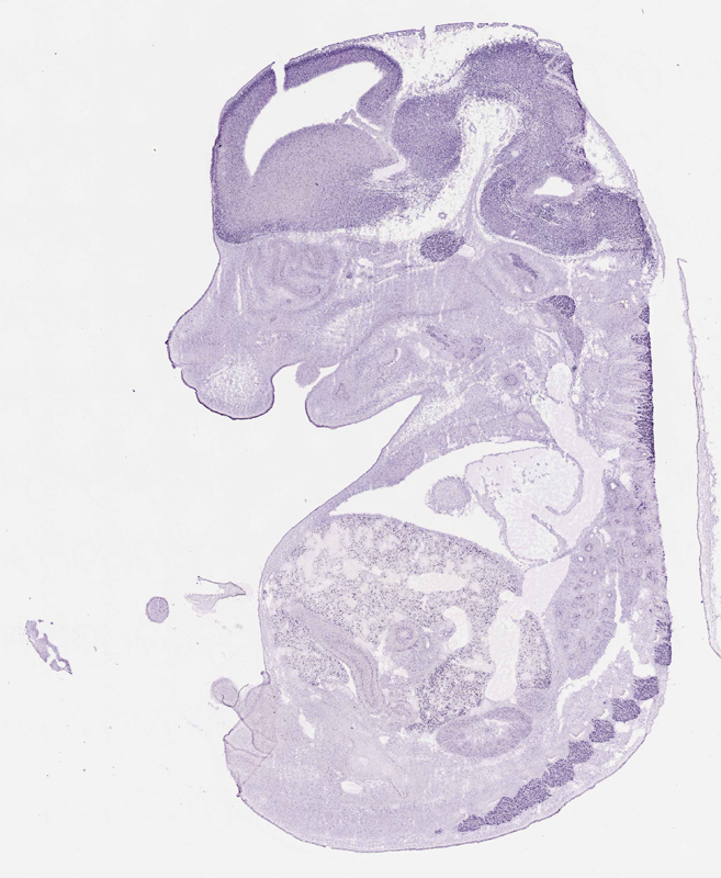
Specimen euxassay_007006_01: embryonic day 14.5 (more )
Structure Level Pattern Image Note
TS23: liver Strong Spotted euxassay_007006_01
TS23: neural retina Moderate Regionally restricted euxassay_007006_01
TS23: brain Strong Regionally restricted euxassay_007006_01

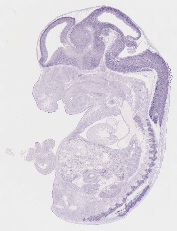
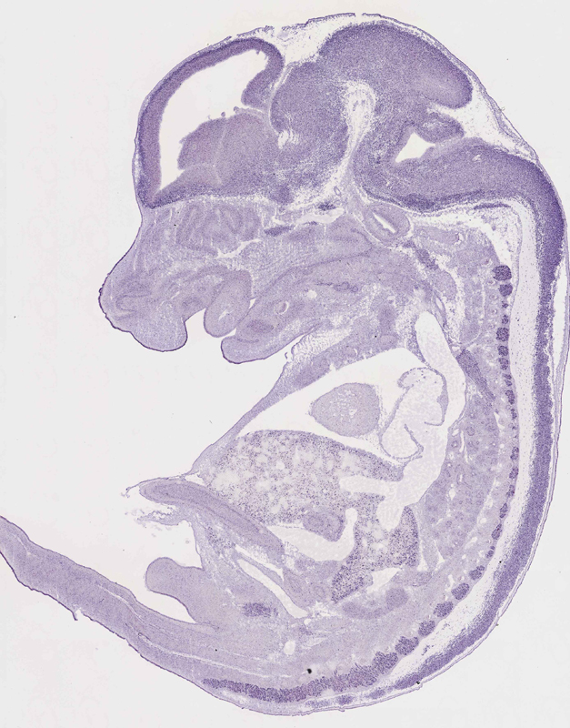
Specimen euxassay_007006_02: embryonic day 14.5 (more )
Structure Level Pattern Image Note
TS23: liver Strong Spotted euxassay_007006_02
TS23: neural retina Moderate Regionally restricted euxassay_007006_02
TS23: brain Strong Regionally restricted euxassay_007006_02

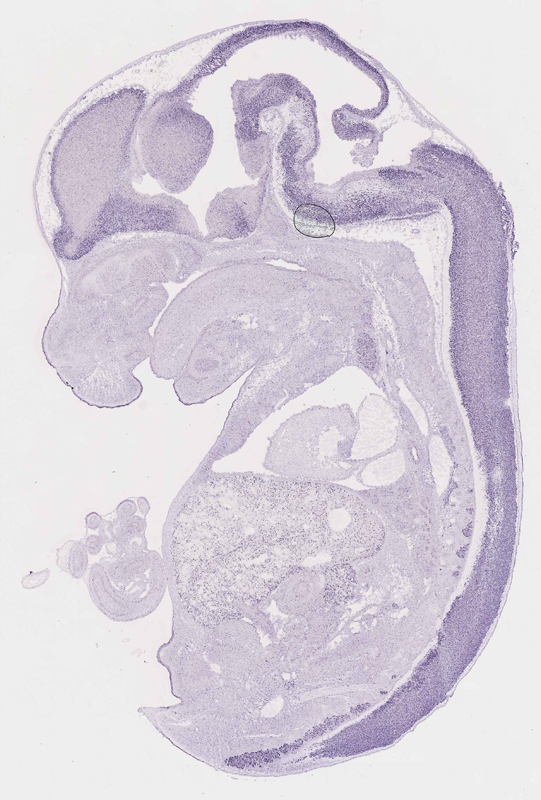
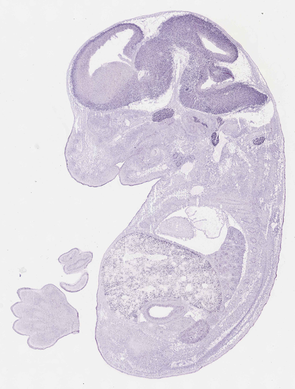
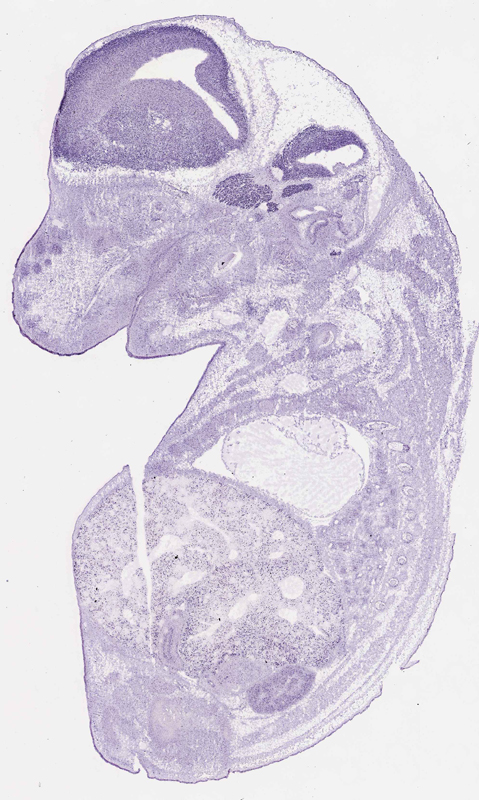
Specimen euxassay_007006_03: embryonic day 14.5 (more )
Structure Level Pattern Image Note
TS23: liver Strong Spotted euxassay_007006_03
TS23: neural retina Strong Regionally restricted euxassay_007006_03
TS23: brain Strong Regionally restricted euxassay_007006_03
TS23: trigeminal ganglion Strong Regionally restricted euxassay_007006_03

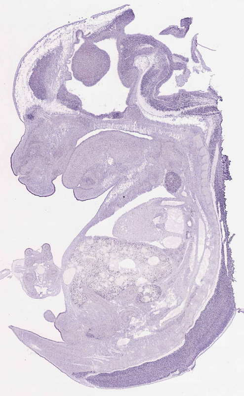
Specimen euxassay_007006_04: embryonic day 14.5 (more )
Structure Level Pattern Image Note
TS23: liver Strong Spotted euxassay_007006_04
TS23: neural retina Strong Regionally restricted euxassay_007006_04
TS23: brain Strong Regionally restricted euxassay_007006_04
TS23: trigeminal ganglion Strong Regionally restricted euxassay_007006_04

Specimen euxassay_007006_05: embryonic day 14.5 (more )
Structure Level Pattern Image Note
TS23: liver Strong Spotted euxassay_007006_05
TS23: brain Strong Regionally restricted euxassay_007006_05
TS23: trigeminal ganglion Strong Regionally restricted euxassay_007006_05
TS23: facial ganglion Strong Regionally restricted euxassay_007006_05

Specimen euxassay_007006_06: embryonic day 14.5 (more )
Structure Level Pattern Image Note
TS23: liver Strong Spotted euxassay_007006_06
TS23: brain Strong Regionally restricted euxassay_007006_06
TS23: trigeminal ganglion Strong Regionally restricted euxassay_007006_06
TS23: facial ganglion Strong Regionally restricted euxassay_007006_06

Specimen euxassay_007006_07: embryonic day 14.5 (more )
Structure Level Pattern Image Note
TS23: liver Strong Spotted euxassay_007006_07
TS23: brain Strong Regionally restricted euxassay_007006_07
TS23: trigeminal ganglion Strong Regionally restricted euxassay_007006_07
TS23: glossopharyngeal ganglion Strong Regionally restricted euxassay_007006_07
TS23: vestibulo-cochlear ganglion Strong Regionally restricted euxassay_007006_07
TS23: facial ganglion Strong Regionally restricted euxassay_007006_07

Specimen euxassay_007006_08: embryonic day 14.5 (more )
Structure Level Pattern Image Note
TS23: liver Strong Spotted euxassay_007006_08
TS23: brain Strong Regionally restricted euxassay_007006_08
TS23: trigeminal ganglion Strong Regionally restricted euxassay_007006_08
TS23: glossopharyngeal ganglion Strong Regionally restricted euxassay_007006_08
TS23: vestibulo-cochlear ganglion Strong Regionally restricted euxassay_007006_08

Specimen euxassay_007006_09: embryonic day 14.5 (more )
Structure Level Pattern Image Note
TS23: liver Strong Spotted euxassay_007006_09
TS23: brain Strong Regionally restricted euxassay_007006_09
TS23: spinal cord Strong Regionally restricted euxassay_007006_09
TS23: trigeminal ganglion Strong Regionally restricted euxassay_007006_09
TS23: vagus ganglion Strong Regionally restricted euxassay_007006_09

Specimen euxassay_007006_10: embryonic day 14.5 (more )
Structure Level Pattern Image Note
TS23: liver Strong Spotted euxassay_007006_10
TS23: brain Strong Regionally restricted euxassay_007006_10
TS23: spinal cord Strong Regionally restricted euxassay_007006_10
TS23: trigeminal nerve Moderate Regionally restricted euxassay_007006_10
TS23: cervical ganglion Moderate Regionally restricted euxassay_007006_10

Specimen euxassay_007006_11: embryonic day 14.5 (more )
Structure Level Pattern Image Note
TS23: liver Strong Spotted euxassay_007006_11
TS23: brain Strong Regionally restricted euxassay_007006_11
TS23: spinal cord Strong Regionally restricted euxassay_007006_11
TS23: trigeminal nerve Moderate Regionally restricted euxassay_007006_11
TS23: cervico-thoracic ganglion Moderate Regionally restricted euxassay_007006_11

Specimen euxassay_007006_12: embryonic day 14.5 (more )
Structure Level Pattern Image Note
TS23: liver Strong Spotted euxassay_007006_12
TS23: brain Strong Regionally restricted euxassay_007006_12
TS23: spinal cord Strong Regionally restricted euxassay_007006_12
TS23: cervico-thoracic ganglion Moderate Regionally restricted euxassay_007006_12
TS23: thymus primordium Moderate Regionally restricted euxassay_007006_12

Specimen euxassay_007006_13: embryonic day 14.5 (more )
Structure Level Pattern Image Note
TS23: liver Strong Spotted euxassay_007006_13
TS23: brain Strong Regionally restricted euxassay_007006_13
TS23: spinal cord Strong Regionally restricted euxassay_007006_13
TS23: cervico-thoracic ganglion Moderate Regionally restricted euxassay_007006_13
TS23: thoracic ganglion Moderate Regionally restricted euxassay_007006_13
TS23: thymus primordium Moderate Regionally restricted euxassay_007006_13

Specimen euxassay_007006_14: embryonic day 14.5 (more )
Structure Level Pattern Image Note
TS23: liver Strong Spotted euxassay_007006_14
TS23: brain Strong Regionally restricted euxassay_007006_14
TS23: spinal cord Strong Regionally restricted euxassay_007006_14
TS23: thymus primordium Moderate Regionally restricted euxassay_007006_14

Specimen euxassay_007006_15: embryonic day 14.5 (more )
Structure Level Pattern Image Note
TS23: liver Strong Spotted euxassay_007006_15
TS23: brain Strong Regionally restricted euxassay_007006_15
TS23: spinal cord Strong Regionally restricted euxassay_007006_15
TS23: thoracic ganglion Moderate Regionally restricted euxassay_007006_15
TS23: thymus primordium Moderate Regionally restricted euxassay_007006_15

Specimen euxassay_007006_16: embryonic day 14.5 (more )
Structure Level Pattern Image Note
TS23: liver Strong Spotted euxassay_007006_16
TS23: brain Strong Regionally restricted euxassay_007006_16
TS23: spinal cord Strong Regionally restricted euxassay_007006_16
TS23: cervico-thoracic ganglion Moderate Regionally restricted euxassay_007006_16
TS23: thymus primordium Moderate Regionally restricted euxassay_007006_16

Specimen euxassay_007006_17: embryonic day 14.5 (more )
Structure Level Pattern Image Note
TS23: liver Strong Spotted euxassay_007006_17
TS23: brain Strong Regionally restricted euxassay_007006_17
TS23: spinal cord Strong Regionally restricted euxassay_007006_17
TS23: trigeminal ganglion Strong Regionally restricted euxassay_007006_17
TS23: trigeminal nerve Strong Regionally restricted euxassay_007006_17
TS23: thoracic ganglion Moderate Regionally restricted euxassay_007006_17
TS23: cervico-thoracic ganglion Moderate Regionally restricted euxassay_007006_17
TS23: cervical ganglion Moderate Regionally restricted euxassay_007006_17

Specimen euxassay_007006_18: embryonic day 14.5 (more )
Structure Level Pattern Image Note
TS23: liver Strong Spotted euxassay_007006_18
TS23: brain Strong Regionally restricted euxassay_007006_18
TS23: vagus ganglion Strong Regionally restricted euxassay_007006_18
TS23: trigeminal ganglion Strong Regionally restricted euxassay_007006_18
TS23: vestibulo-cochlear ganglion Strong Regionally restricted euxassay_007006_18
TS23: cervical ganglion Moderate Regionally restricted euxassay_007006_18

Specimen euxassay_007006_19: embryonic day 14.5 (more )
Structure Level Pattern Image Note
TS23: liver Strong Spotted euxassay_007006_19
TS23: brain Strong Regionally restricted euxassay_007006_19
TS23: trigeminal ganglion Strong Regionally restricted euxassay_007006_19
TS23: glossopharyngeal ganglion Strong Regionally restricted euxassay_007006_19
TS23: vestibulo-cochlear ganglion Strong Regionally restricted euxassay_007006_19

Specimen euxassay_007006_20: embryonic day 14.5 (more )
Structure Level Pattern Image Note
TS23: liver Strong Spotted euxassay_007006_20
TS23: brain Strong Regionally restricted euxassay_007006_20
TS23: trigeminal ganglion Strong Regionally restricted euxassay_007006_20
TS23: facial ganglion Strong Regionally restricted euxassay_007006_20
TS23: vestibulo-cochlear ganglion Strong Regionally restricted euxassay_007006_20
TS23: glossopharyngeal ganglion Strong Regionally restricted euxassay_007006_20

Specimen euxassay_007006_21: embryonic day 14.5 (more )
Structure Level Pattern Image Note
TS23: liver Strong Spotted euxassay_007006_21
TS23: brain Strong Regionally restricted euxassay_007006_21
TS23: trigeminal ganglion Strong Regionally restricted euxassay_007006_21
TS23: facial ganglion Strong Regionally restricted euxassay_007006_21

Specimen euxassay_007006_22: embryonic day 14.5 (more )
Structure Level Pattern Image Note
TS23: liver Strong Spotted euxassay_007006_22
TS23: brain Strong Regionally restricted euxassay_007006_22
TS23: trigeminal ganglion Strong Regionally restricted euxassay_007006_22
TS23: facial ganglion Strong Regionally restricted euxassay_007006_22

Specimen euxassay_007006_23: embryonic day 14.5 (more )
Structure Level Pattern Image Note
TS23: liver Strong Spotted euxassay_007006_23
TS23: neural retina Strong Regionally restricted euxassay_007006_23
TS23: brain Strong Regionally restricted euxassay_007006_23
TS23: trigeminal ganglion Strong Regionally restricted euxassay_007006_23

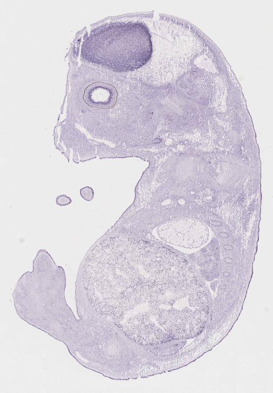
Specimen euxassay_007006_24: embryonic day 14.5 (more )
Structure Level Pattern Image Note
TS23: liver Strong Spotted euxassay_007006_24
TS23: neural retina Strong Regionally restricted euxassay_007006_24
TS23: brain Strong Regionally restricted euxassay_007006_24


Contributing Projects:
Mouse Genome Database (MGD), Gene Expression Database (GXD), Mouse Models of Human Cancer database (MMHCdb) (formerly Mouse Tumor Biology (MTB)), Gene Ontology (GO)
Citing These Resources
Funding Information
Warranty Disclaimer, Privacy Notice, Licensing, & Copyright
Send questions and comments to User Support.
last database update
01/28/2026
MGI 6.24
The Jackson Laboratory