About   Help   FAQ
Gene Expression Data
Assay Details
Assay
Reference: J:153498 Diez-Roux G, et al., A high-resolution anatomical atlas of the transcriptome in the mouse embryo. PLoS Biol. 2011;9(1):e1000582
Assay type: RNA in situ
MGI Accession ID: MGI:4823393
Gene symbol: Barx1
Gene name: BarH-like homeobox 1
Probe: T45044
Probe preparation: Antisense labelled with digoxigenin RNA
Visualized with: Alkaline phosphatase
Assay notes: Cryosections of fresh frozen material were fixed in 4% paraformaldehyde for 20 min. before further processing. A tyramide-biotin/streptavidin amplification step was included in the in situ hybridization procedure.
Results
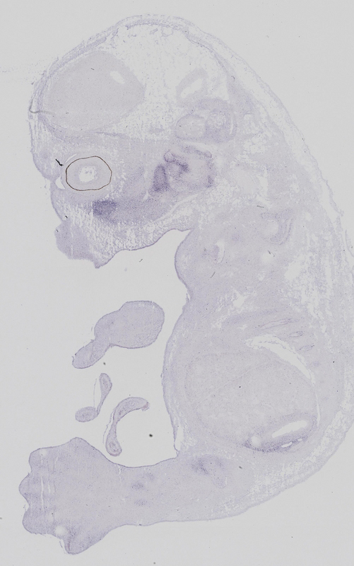
Specimen euxassay_016569_01: embryonic day 14.5 (more )
Structure Level Pattern Image Note
TS23: cranial muscle Moderate Regionally restricted euxassay_016569_01

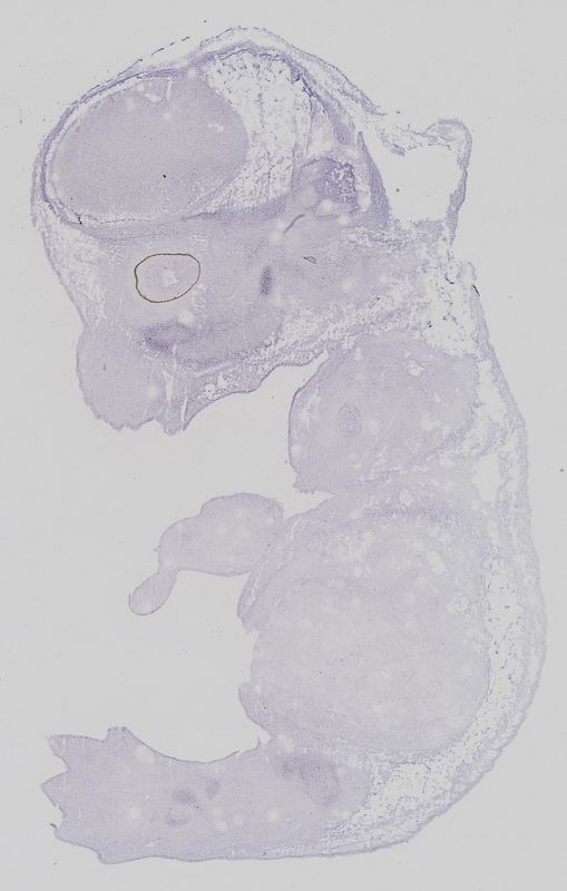
Specimen euxassay_016569_02: embryonic day 14.5 (more )
Structure Level Pattern Image Note
TS23: cranial muscle Moderate Regionally restricted euxassay_016569_02

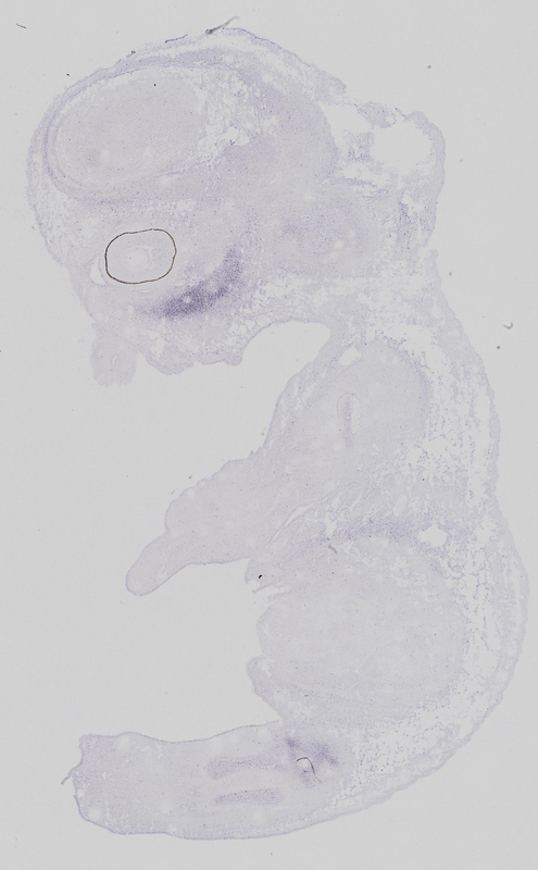
Specimen euxassay_016569_03: embryonic day 14.5 (more )
Structure Level Pattern Image Note
TS23: cranial muscle Moderate Regionally restricted euxassay_016569_03

Specimen euxassay_016569_04: embryonic day 14.5 (more )
Structure Level Pattern Image Note
TS23: cranial muscle Moderate Regionally restricted euxassay_016569_04

Specimen euxassay_016569_06: embryonic day 14.5 (more )
Structure Level Pattern Image Note
TS23: cranial muscle Weak Regionally restricted euxassay_016569_06

Specimen euxassay_016569_07: embryonic day 14.5 (more )
Structure Level Pattern Image Note
TS23: cranial muscle Moderate Regionally restricted euxassay_016569_07

Specimen euxassay_016569_08: embryonic day 14.5 (more )
Structure Level Pattern Image Note
TS23: cranial muscle Moderate Regionally restricted euxassay_016569_08

Specimen euxassay_016569_15: embryonic day 14.5 (more )
Structure Level Pattern Image Note
TS23: cranial muscle Moderate Regionally restricted euxassay_016569_15

Specimen euxassay_016569_16: embryonic day 14.5 (more )
Structure Level Pattern Image Note
TS23: cranial muscle Weak Regionally restricted euxassay_016569_16

Specimen euxassay_016569_17: embryonic day 14.5 (more )
Structure Level Pattern Image Note
TS23: cranial muscle Moderate Regionally restricted euxassay_016569_17

Specimen euxassay_016569_18: embryonic day 14.5 (more )
Structure Level Pattern Image Note
TS23: cranial muscle Moderate Regionally restricted euxassay_016569_18

Specimen euxassay_016569_19: embryonic day 14.5 (more )
Structure Level Pattern Image Note
TS23: cranial muscle Moderate Regionally restricted euxassay_016569_19

Specimen euxassay_016569_20: embryonic day 14.5 (more )
Structure Level Pattern Image Note
TS23: cranial muscle Weak Regionally restricted euxassay_016569_20

Specimen euxassay_016569_21: embryonic day 14.5 (more )
Structure Level Pattern Image Note
TS23: cranial muscle Weak Regionally restricted euxassay_016569_21

Specimen euxassay_016569_22: embryonic day 14.5 (more )
Structure Level Pattern Image Note
TS23: cranial muscle Weak Regionally restricted euxassay_016569_22

Specimen euxassay_016569_23: embryonic day 14.5 (more )
Structure Level Pattern Image Note
TS23: cranial muscle Moderate Regionally restricted euxassay_016569_23


Contributing Projects:
Mouse Genome Database (MGD), Gene Expression Database (GXD), Mouse Models of Human Cancer database (MMHCdb) (formerly Mouse Tumor Biology (MTB)), Gene Ontology (GO)
Citing These Resources
Funding Information
Warranty Disclaimer, Privacy Notice, Licensing, & Copyright
Send questions and comments to User Support.
last database update
12/30/2025
MGI 6.24
The Jackson Laboratory