About   Help   FAQ
Gene Expression Data
Assay Details
Assay
Reference: J:153498 Diez-Roux G, et al., A high-resolution anatomical atlas of the transcriptome in the mouse embryo. PLoS Biol. 2011;9(1):e1000582
Assay type: RNA in situ
MGI Accession ID: MGI:4823389
Gene symbol: Bambi
Gene name: BMP and activin membrane-bound inhibitor
Probe: MGC clone 30413
Probe preparation: Antisense labelled with digoxigenin RNA
Visualized with: Alkaline phosphatase
Assay notes: Cryosections of fresh frozen material were fixed in 4% paraformaldehyde for 20 min. before further processing. A tyramide-biotin/streptavidin amplification step was included in the in situ hybridization procedure.
Results
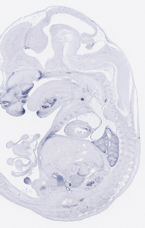
Specimen euxassay_001194_01: embryonic day 14.5 (more )
Note: Additional information for this specimen was included in the Eurexpress data submission file.
Structure Level Pattern Image Note
TS23: chondrocranium Moderate Regionally restricted euxassay_001194_01
TS23: limb Moderate Regionally restricted euxassay_001194_01
TS23: limb musculature Present euxassay_001194_01

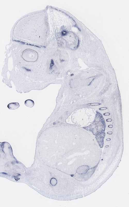
Specimen euxassay_001194_02: embryonic day 14.5 (more )
Note: Additional information for this specimen was included in the Eurexpress data submission file.
Structure Level Pattern Image Note
TS23: chondrocranium Moderate Regionally restricted euxassay_001194_02
TS23: limb Moderate Regionally restricted euxassay_001194_02
TS23: limb musculature Present euxassay_001194_02

Specimen euxassay_001194_03: embryonic day 14.5 (more )
Note: Additional information for this specimen was included in the Eurexpress data submission file.
Structure Level Pattern Image Note
TS23: chondrocranium Moderate Regionally restricted euxassay_001194_03
TS23: limb Moderate Regionally restricted euxassay_001194_03
TS23: limb musculature Present euxassay_001194_03

Specimen euxassay_001194_04: embryonic day 14.5 (more )
Note: Additional information for this specimen was included in the Eurexpress data submission file.
Structure Level Pattern Image Note
TS23: chondrocranium Moderate Regionally restricted euxassay_001194_04
TS23: axial skeleton Moderate Regionally restricted euxassay_001194_04 periosteum
TS23: Meckel's cartilage Moderate Regionally restricted euxassay_001194_04
TS23: limb Moderate Regionally restricted euxassay_001194_04
TS23: limb musculature Present euxassay_001194_04

Specimen euxassay_001194_05: embryonic day 14.5 (more )
Note: Additional information for this specimen was included in the Eurexpress data submission file.
Structure Level Pattern Image Note
TS23: chondrocranium Moderate Regionally restricted euxassay_001194_05
TS23: axial skeleton Moderate Regionally restricted euxassay_001194_05 periosteum
TS23: Meckel's cartilage Moderate Regionally restricted euxassay_001194_05
TS23: limb Moderate Regionally restricted euxassay_001194_05
TS23: limb musculature Present euxassay_001194_05
TS23: lung Weak Regionally restricted euxassay_001194_05
TS23: femur Weak Regionally restricted euxassay_001194_05

Specimen euxassay_001194_06: embryonic day 14.5 (more )
Note: Additional information for this specimen was included in the Eurexpress data submission file.
Structure Level Pattern Image Note
TS23: chondrocranium Weak Regionally restricted euxassay_001194_06
TS23: axial skeleton Moderate Regionally restricted euxassay_001194_06 periosteum
TS23: Meckel's cartilage Moderate Regionally restricted euxassay_001194_06
TS23: upper jaw molar Moderate Regionally restricted euxassay_001194_06
TS23: limb Moderate Regionally restricted euxassay_001194_06
TS23: limb musculature Present euxassay_001194_06
TS23: lung Weak Regionally restricted euxassay_001194_06
TS23: clavicle Moderate Regionally restricted euxassay_001194_06
TS23: femur Weak Regionally restricted euxassay_001194_06

Specimen euxassay_001194_07: embryonic day 14.5 (more )
Note: Additional information for this specimen was included in the Eurexpress data submission file.
Structure Level Pattern Image Note
TS23: chondrocranium Weak Regionally restricted euxassay_001194_07
TS23: axial skeleton Moderate Regionally restricted euxassay_001194_07 periosteum
TS23: nasal capsule Weak Regionally restricted euxassay_001194_07
TS23: Meckel's cartilage Moderate Regionally restricted euxassay_001194_07
TS23: upper jaw molar Moderate Regionally restricted euxassay_001194_07
TS23: lung Weak Regionally restricted euxassay_001194_07
TS23: clavicle Moderate Regionally restricted euxassay_001194_07
TS23: femur Weak Regionally restricted euxassay_001194_07

Specimen euxassay_001194_08: embryonic day 14.5 (more )
Note: Additional information for this specimen was included in the Eurexpress data submission file.
Structure Level Pattern Image Note
TS23: axial skeleton Moderate Regionally restricted euxassay_001194_08 periosteum
TS23: nasal capsule Weak Regionally restricted euxassay_001194_08
TS23: Meckel's cartilage Moderate Regionally restricted euxassay_001194_08
TS23: lower jaw molar Moderate Regionally restricted euxassay_001194_08
TS23: upper jaw molar Moderate Regionally restricted euxassay_001194_08
TS23: upper lip Weak Regionally restricted euxassay_001194_08
TS23: lung Weak Regionally restricted euxassay_001194_08
TS23: clavicle Moderate Regionally restricted euxassay_001194_08
TS23: renal calyx Weak Regionally restricted euxassay_001194_08
TS23: femur Weak Regionally restricted euxassay_001194_08

Specimen euxassay_001194_09: embryonic day 14.5 (more )
Note: Additional information for this specimen was included in the Eurexpress data submission file.
Structure Level Pattern Image Note
TS23: axial skeleton Moderate Regionally restricted euxassay_001194_09 periosteum
TS23: nasal capsule Weak Regionally restricted euxassay_001194_09
TS23: upper jaw molar Moderate Regionally restricted euxassay_001194_09
TS23: lower jaw molar Moderate Regionally restricted euxassay_001194_09
TS23: Meckel's cartilage Moderate Regionally restricted euxassay_001194_09
TS23: upper lip Moderate Regionally restricted euxassay_001194_09
TS23: lung Weak Regionally restricted euxassay_001194_09
TS23: clavicle Moderate Regionally restricted euxassay_001194_09
TS23: renal calyx Weak Regionally restricted euxassay_001194_09

Specimen euxassay_001194_10: embryonic day 14.5 (more )
Note: Additional information for this specimen was included in the Eurexpress data submission file.
Structure Level Pattern Image Note
TS23: axial skeleton Moderate Regionally restricted euxassay_001194_10 periosteum
TS23: nasal capsule Weak Regionally restricted euxassay_001194_10
TS23: Meckel's cartilage Moderate Regionally restricted euxassay_001194_10
TS23: upper lip Moderate Regionally restricted euxassay_001194_10
TS23: lung Weak Regionally restricted euxassay_001194_10
TS23: clavicle Moderate Regionally restricted euxassay_001194_10
TS23: renal calyx Weak Regionally restricted euxassay_001194_10

Specimen euxassay_001194_11: embryonic day 14.5 (more )
Note: Additional information for this specimen was included in the Eurexpress data submission file.
Structure Level Pattern Image Note
TS23: axial skeleton Weak Regionally restricted euxassay_001194_11 periosteum
TS23: nasal capsule Weak Regionally restricted euxassay_001194_11
TS23: Meckel's cartilage Moderate Regionally restricted euxassay_001194_11
TS23: upper jaw incisor Moderate Regionally restricted euxassay_001194_11
TS23: upper lip Moderate Regionally restricted euxassay_001194_11
TS23: lower lip Moderate Regionally restricted euxassay_001194_11
TS23: external naris Weak Regionally restricted euxassay_001194_11
TS23: genital tubercle of male Weak Regionally restricted euxassay_001194_11
TS23: lung Weak Regionally restricted euxassay_001194_11
TS23: clavicle Moderate Regionally restricted euxassay_001194_11
TS23: renal calyx Weak Regionally restricted euxassay_001194_11

Specimen euxassay_001194_12: embryonic day 14.5 (more )
Note: Additional information for this specimen was included in the Eurexpress data submission file.
Structure Level Pattern Image Note
TS23: nasal capsule Weak Regionally restricted euxassay_001194_12
TS23: upper jaw incisor Moderate Regionally restricted euxassay_001194_12
TS23: lower jaw incisor Moderate Regionally restricted euxassay_001194_12
TS23: Meckel's cartilage Moderate Regionally restricted euxassay_001194_12
TS23: upper lip Moderate Regionally restricted euxassay_001194_12
TS23: lower lip Moderate Regionally restricted euxassay_001194_12
TS23: external naris Weak Regionally restricted euxassay_001194_12
TS23: bladder Weak Uniform euxassay_001194_12
TS23: glans of male genital tubercle Moderate Uniform euxassay_001194_12 glans
TS23: genital tubercle of male Weak Regionally restricted euxassay_001194_12
TS23: lung Weak Regionally restricted euxassay_001194_12
TS23: clavicle Moderate Regionally restricted euxassay_001194_12
TS23: renal calyx Weak Regionally restricted euxassay_001194_12

Specimen euxassay_001194_13: embryonic day 14.5 (more )
Note: Additional information for this specimen was included in the Eurexpress data submission file.
Structure Level Pattern Image Note
TS23: axial skeleton Weak Regionally restricted euxassay_001194_13 periosteum
TS23: nasal capsule Weak Regionally restricted euxassay_001194_13
TS23: lower jaw incisor Moderate Regionally restricted euxassay_001194_13
TS23: lower lip Moderate Regionally restricted euxassay_001194_13
TS23: upper lip Moderate Regionally restricted euxassay_001194_13
TS23: bladder Weak Uniform euxassay_001194_13
TS23: nephric duct of male Moderate Regionally restricted euxassay_001194_13
TS23: glans of male genital tubercle Moderate Uniform euxassay_001194_13 glans
TS23: genital tubercle of male Weak Regionally restricted euxassay_001194_13
TS23: lung Weak Regionally restricted euxassay_001194_13

Specimen euxassay_001194_14: embryonic day 14.5 (more )
Note: Additional information for this specimen was included in the Eurexpress data submission file.
Structure Level Pattern Image Note
TS23: nasal capsule Weak Regionally restricted euxassay_001194_14
TS23: lower lip Moderate Regionally restricted euxassay_001194_14
TS23: upper lip Moderate Regionally restricted euxassay_001194_14
TS23: bladder Weak Uniform euxassay_001194_14
TS23: nephric duct of male Moderate Regionally restricted euxassay_001194_14
TS23: glans of male genital tubercle Moderate Uniform euxassay_001194_14 glans
TS23: genital tubercle of male Weak Regionally restricted euxassay_001194_14

Specimen euxassay_001194_15: embryonic day 14.5 (more )
Note: Additional information for this specimen was included in the Eurexpress data submission file.
Structure Level Pattern Image Note
TS23: nasal capsule Weak Regionally restricted euxassay_001194_15
TS23: upper jaw incisor Moderate Regionally restricted euxassay_001194_15
TS23: lower lip Moderate Regionally restricted euxassay_001194_15
TS23: upper lip Moderate Regionally restricted euxassay_001194_15
TS23: bladder Weak Uniform euxassay_001194_15
TS23: nephric duct of male Moderate Regionally restricted euxassay_001194_15
TS23: glans of male genital tubercle Moderate Uniform euxassay_001194_15 glans
TS23: genital tubercle of male Weak Regionally restricted euxassay_001194_15

Specimen euxassay_001194_16: embryonic day 14.5 (more )
Note: Additional information for this specimen was included in the Eurexpress data submission file.
Structure Level Pattern Image Note
TS23: nasal capsule Weak Regionally restricted euxassay_001194_16
TS23: upper jaw incisor Moderate Regionally restricted euxassay_001194_16
TS23: lower jaw incisor Moderate Regionally restricted euxassay_001194_16
TS23: lower lip Moderate Regionally restricted euxassay_001194_16
TS23: upper lip Moderate Regionally restricted euxassay_001194_16
TS23: bladder Weak Uniform euxassay_001194_16
TS23: glans of male genital tubercle Moderate Uniform euxassay_001194_16 glans
TS23: genital tubercle of male Weak Regionally restricted euxassay_001194_16
TS23: lung Weak Regionally restricted euxassay_001194_16

Specimen euxassay_001194_17: embryonic day 14.5 (more )
Note: Additional information for this specimen was included in the Eurexpress data submission file.
Structure Level Pattern Image Note
TS23: nasal capsule Weak Regionally restricted euxassay_001194_17
TS23: lower jaw incisor Moderate Regionally restricted euxassay_001194_17
TS23: upper jaw incisor Moderate Regionally restricted euxassay_001194_17
TS23: lower lip Moderate Regionally restricted euxassay_001194_17
TS23: upper lip Moderate Regionally restricted euxassay_001194_17
TS23: bladder Weak Uniform euxassay_001194_17
TS23: glans of male genital tubercle Moderate Uniform euxassay_001194_17 glans
TS23: genital tubercle of male Weak Regionally restricted euxassay_001194_17
TS23: lung Weak Regionally restricted euxassay_001194_17
TS23: clavicle Moderate Regionally restricted euxassay_001194_17

Specimen euxassay_001194_18: embryonic day 14.5 (more )
Structure Level Pattern Image Note
TS23: nasal capsule Weak Regionally restricted euxassay_001194_18
TS23: lower jaw incisor Moderate Regionally restricted euxassay_001194_18
TS23: upper jaw incisor Moderate Regionally restricted euxassay_001194_18
TS23: lower lip Moderate Regionally restricted euxassay_001194_18
TS23: upper lip Moderate Regionally restricted euxassay_001194_18
TS23: external naris Weak Regionally restricted euxassay_001194_18
TS23: genital tubercle of male Weak Regionally restricted euxassay_001194_18
TS23: lung Weak Regionally restricted euxassay_001194_18
TS23: clavicle Moderate Regionally restricted euxassay_001194_18

Specimen euxassay_001194_19: embryonic day 14.5 (more )
Note: Additional information for this specimen was included in the Eurexpress data submission file.
Structure Level Pattern Image Note
TS23: chondrocranium Weak Regionally restricted euxassay_001194_19
TS23: axial skeleton Weak Regionally restricted euxassay_001194_19 periosteum
TS23: nasal capsule Weak Regionally restricted euxassay_001194_19
TS23: lower jaw molar Moderate Regionally restricted euxassay_001194_19
TS23: Meckel's cartilage Moderate Regionally restricted euxassay_001194_19
TS23: upper jaw molar Moderate Regionally restricted euxassay_001194_19
TS23: upper lip Moderate Regionally restricted euxassay_001194_19
TS23: external naris Weak Regionally restricted euxassay_001194_19
TS23: lung Weak Regionally restricted euxassay_001194_19
TS23: clavicle Moderate Regionally restricted euxassay_001194_19
TS23: renal calyx Weak Regionally restricted euxassay_001194_19

Specimen euxassay_001194_20: embryonic day 14.5 (more )
Structure Level Pattern Image Note
TS23: chondrocranium Weak Regionally restricted euxassay_001194_20
TS23: nasal capsule Weak Regionally restricted euxassay_001194_20
TS23: Meckel's cartilage Moderate Regionally restricted euxassay_001194_20
TS23: lower jaw molar Moderate Regionally restricted euxassay_001194_20
TS23: upper jaw molar Moderate Regionally restricted euxassay_001194_20
TS23: upper lip Moderate Regionally restricted euxassay_001194_20
TS23: external naris Weak Regionally restricted euxassay_001194_20
TS23: lung Weak Regionally restricted euxassay_001194_20
TS23: clavicle Moderate Regionally restricted euxassay_001194_20
TS23: renal calyx Weak Regionally restricted euxassay_001194_20

Specimen euxassay_001194_21: embryonic day 14.5 (more )
Note: Additional information for this specimen was included in the Eurexpress data submission file.
Structure Level Pattern Image Note
TS23: chondrocranium Weak Regionally restricted euxassay_001194_21
TS23: axial skeleton Weak Regionally restricted euxassay_001194_21 periosteum
TS23: Meckel's cartilage Moderate Regionally restricted euxassay_001194_21
TS23: lower jaw molar Moderate Regionally restricted euxassay_001194_21
TS23: upper jaw molar Moderate Regionally restricted euxassay_001194_21
TS23: lung Weak Regionally restricted euxassay_001194_21
TS23: clavicle Moderate Regionally restricted euxassay_001194_21
TS23: renal calyx Weak Regionally restricted euxassay_001194_21

Specimen euxassay_001194_22: embryonic day 14.5 (more )
Note: Additional information for this specimen was included in the Eurexpress data submission file.
Structure Level Pattern Image Note
TS23: chondrocranium Moderate Regionally restricted euxassay_001194_22
TS23: axial skeleton Weak Regionally restricted euxassay_001194_22 periosteum
TS23: Meckel's cartilage Moderate Regionally restricted euxassay_001194_22
TS23: upper jaw molar Moderate Regionally restricted euxassay_001194_22
TS23: limb Moderate Regionally restricted euxassay_001194_22
TS23: limb musculature Present euxassay_001194_22
TS23: lung Weak Regionally restricted euxassay_001194_22
TS23: renal calyx Weak Regionally restricted euxassay_001194_22
TS23: femur Weak Regionally restricted euxassay_001194_22

Specimen euxassay_001194_23: embryonic day 14.5 (more )
Note: Additional information for this specimen was included in the Eurexpress data submission file.
Structure Level Pattern Image Note
TS23: chondrocranium Moderate Regionally restricted euxassay_001194_23
TS23: axial skeleton Weak Regionally restricted euxassay_001194_23 periosteum
TS23: Meckel's cartilage Moderate Regionally restricted euxassay_001194_23
TS23: limb Moderate Regionally restricted euxassay_001194_23
TS23: limb musculature Present euxassay_001194_23
TS23: lung Weak Regionally restricted euxassay_001194_23
TS23: femur Weak Regionally restricted euxassay_001194_23

Specimen euxassay_001194_24: embryonic day 14.5 (more )
Note: Additional information for this specimen was included in the Eurexpress data submission file.
Structure Level Pattern Image Note
TS23: chondrocranium Moderate Regionally restricted euxassay_001194_24
TS23: axial skeleton Weak Regionally restricted euxassay_001194_24 periosteum
TS23: Meckel's cartilage Moderate Regionally restricted euxassay_001194_24
TS23: limb Moderate Regionally restricted euxassay_001194_24
TS23: limb musculature Present euxassay_001194_24
TS23: lung Weak Regionally restricted euxassay_001194_24
TS23: femur Weak Regionally restricted euxassay_001194_24


Contributing Projects:
Mouse Genome Database (MGD), Gene Expression Database (GXD), Mouse Models of Human Cancer database (MMHCdb) (formerly Mouse Tumor Biology (MTB)), Gene Ontology (GO)
Citing These Resources
Funding Information
Warranty Disclaimer, Privacy Notice, Licensing, & Copyright
Send questions and comments to User Support.
last database update
12/30/2025
MGI 6.24
The Jackson Laboratory